Polyclonal Antibody to Collagen Type I (COL1)
Overview
Properties
- Product No.PAA571Ra01
- Organism SpeciesRattus norvegicus (Rat) Same name, Different species.
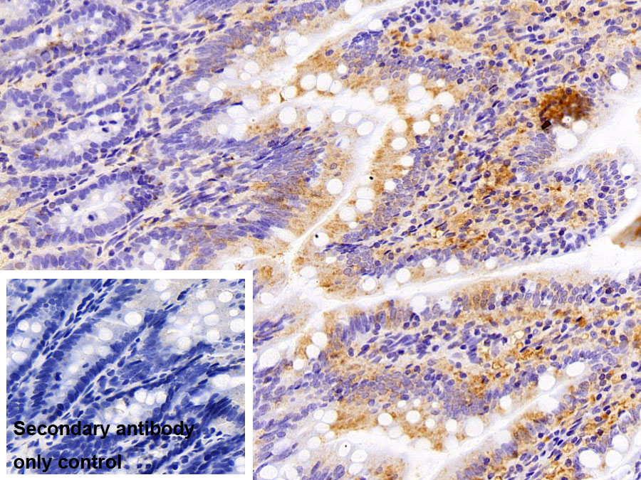
- ApplicationsWB; IHC
If the antibody is used in flow cytometry, please check FCM antibodies.
Research use only - DownloadInstruction Manual
- CategoryMetabolic pathwayDevelopmental scienceBone metabolism
- SourcePolyclonal antibody preparation, Host Rabbit
- Ig Type IgG, Potency n/a
- PurificationAntigen-specific affinity chromatography followed by Protein A affinity chromatography
- LabelNone
- Immunogen NPA571Ra01-Native Collagen Type I (COL1)
- Buffer Formulation0.01M PBS, pH7.4, containing 0.05% Proclin-300, 50% glycerol.
- TraitsLiquid, Concentration 0.5mg/mL
Sign into your account
Share a new citation as an author
Upload your experimental result
Review

Contact us
Please fill in the blank.
Specifity
The antibody is a rabbit polyclonal antibody raised against COL1. It has been selected for its ability to recognize COL1 in immunohistochemical staining and western blotting.
Usage
Western blotting: 0.01-2µg/mL;
Immunohistochemistry: 5-20µg/mL;
Optimal working dilutions must be determined by end user.
Storage
Store at 4°C for frequent use. Stored at -20°C in a manual defrost freezer for two year without detectable loss of activity. Avoid repeated freeze-thaw cycles.
Stability
The thermal stability is described by the loss rate. The loss rate was determined by accelerated thermal degradation test, that is, incubate the protein at 37°C for 48h, and no obvious degradation and precipitation were observed. The loss rate is less than 5% within the expiration date under appropriate storage condition.
Giveaways
Increment services
Citations
- Urotensin II induces phenotypic differentiation, migration, and collagen synthesis of adventitial fibroblasts from rat aortaPubMed: 18475149
- Metformin attenuates cardiac fibrosis by inhibiting the TGFβ1–Smad3 signalling pathwayOxfordJournals: source
- Serial cytokine levels during wound healing in rabbit maxillary sinus mucosaPubMed: 19958244
- Acidic pH conditions mimicking degenerative intervertebral discs impair the survival and biological behavior of human adipose-derived mesenchymal stem cellsRsmjournals: Source
- Role of moderate exercising on Achilles tendon collagen crimping patterns and proteoglycansPubmed: 23758268
- Modification of collagen formation by mesenchymal stem cells isolated from human adipose tissue in culture and after autotransplantation for abdominal hernia plastyPubmed: 24319714
- In vitro tenocyte metabolism in aging and oestrogen deficiencySpringer: Source
- A Combinatorial Relative Mass Value Evaluation of Endogenous Bioactive Proteins in Three-Dimensional Cultured Nucleus Pulposus Cells of Herniated Intervertebral Discs: Identification of Potential Target Proteins for Gene Therapeutic ApproachesPlosone: Source
- Age effects on extracellular matrix production of vocal fold scar fibroblasts in ratsPubmed: 24077847
- Protein synthesis and secretion in human mesenchymal cells derived from bone marrow, adipose tissue and Wharton's jellyPubmed: 24739658
- The unwounded skin remodeling in animal models of diabetes types 1 and 2.Pubmed: 24020818
- Fibrogenic response of hepatic stellate cells in ovarectomised rats exposed to ketogenic dietPubmed: 23568967
- Combined effect of strontium and zoledronate on hydroxyapatite structure and bone cell responsesScienceDirect: S0142961214003135
- Protective Effects of Norursodeoxycholic Acid Versus Ursodeoxycholic Acid on Thioacetamide-induced Rat Liver FibrosisScienceDirect: S0973688314000073
- Dystrophic mdx mice develop severe cardiac and respiratory dysfunction following genetic ablation of the anti-inflammatory cytokine IL-10Pubmed:24659498
- Mesenchymal stromal cell proliferation, gene expression and protein production in human platelet-rich plasma-supplemented mediaPubmed:Pmc4130592
- Carboxymethyl cellulose—hydroxyapatite hybrid hydrogel as a composite material for bone tissue engineering applicationsPubmed:23720392
- Endostar, a novel human recombinant endostatin, attenuates liver fibrosis in CCl4-induced micePubmed:24872431
- Mast cell chymase in keloid induces profibrotic response via transforming growth factor-β1/Smad activation in keloid fibroblastsPubmed:25120737
- Low-intensity pulsed ultrasound-induced ATP increases bone formation via the P2X7 receptor in osteoblast-like MC3T3-E1 cellsPubmed:25542352
- KLF15 is an essential negative regulatory factor for the cardiac remodeling response to pressure overloadPubmed:25633973
- Impact of the Uremic Milieu on the Osteogenic Potential of Mesenchymal Stem CellsPubmed:25635832
- Strontium and zoledronate hydroxyapatites graded composite coatings for bone prosthesesPubmed:25706198
- Multi‐Layered Scaffolds for Osteochondral Tissue Engineering: In Vitro Response of Co‐Cultured Human Mesenchymal Stem CellsPubMed: 26126665
- Biological Evaluation of a Prototype Material made of Polyglycolic Acid and HydroxyapatiteArticle: Jhtb
- NIM811 downregulates transforming growth factorPubMed: 26573209
- Glycyrrhizic acid alleviates bleomycin-induced pulmonary fibrosis in ratsPubMed: 26483688
- Effects of fluoride on the ultrastructure and expression of Type I collagen in rat hard tissuePubMed: 25655816
- Tanshinone IIA ameliorates bleomycin-induced pulmonary fibrosis and inhibits transforming growth factor-beta-β–dependent epithelial to mesenchymal transitionPubMed: 25911951
- SVVYGLR motif of the thrombin-cleaved N-terminal osteopontin fragment enhances the synthesis of collagen type III in myocardial fibrosisPubMed: 26112906
- Incorporation of nanostructured hydroxyapatite and poly(N-isopropylacrylamide) in demineralized bone matrix enhances osteoblast and human mesenchymal stem cell activityPubMed: 26443012
- On the Mechanism of Drug Release from Polysaccharide Hydrogels Cross-Linked with Magnetite Nanoparticles by Applying Alternating Magnetic Fields: the Case of DOXO Delivery2310-2861: 1
- Antioxidant and bone repair properties of quercetin-functionalized hydroxyapatite: an in vitro osteoblast-osteoclast-endothelial cell co-culture studyPubMed: 26689470
- Uighur medicine abnormal savda munzip (ASMq) suppresses expression of collagen and TGF-β1 with concomitant induce Smad7 in human hypertrophic scar …PubMed: 26309506
- Hybrid Macro-Porous Titanium Ornamented by Degradable 3D Gel/nHA Micro-Scaffolds for Bone Tissue RegenerationPubmed:27092492
- 白细胞介素10 上调表达对家兔慢性细菌性鼻窦炎黏膜创伤修复的影响article:11593
- Antioxidant and bone repair properties of quercetin-functionalized hydroxyapatite: An in vitro osteoblast–osteoclast–endothelial cell co-culture studyPubmed:26689470
- IL-17A mediates inflammatory and tissue remodelling events in early human tendinopathyPubmed:27263531
- Toxoplasma gondii GRA15II effector-induced M1 cells ameliorate liver fibrosis in mice infected with Schistosomiasis japonicaPubmed:27157496
- Інфаркт міокарда, ускладнений аневризмою лівого шлуночка: клінічні і структурно-функціональні особливості перебігу, діагностичні, терапевтичні та прогностичні аспектиbitstream:123456789
- Fibrosis of extracellular matrix is related to the duration of the disease but is unrelated to the dynamics of collagen metabolism in dilated cardiomyopathypubmed:27516211
- Inhibition of hesperidin on epithelial to mesenchymal transition of non-small cell lung cancer cells induced by TGF-β1sites:default
- Left ventricular reverse remodeling is not related to biopsy-detected extracellular matrix fibrosis and serum markers of fibrosis in dilated cardiomyopathy, regardless of the definition used for LVRRpubmed:28004175
- Positive feedback loop of YB-1 interacting with Smad2 promotes liver fibrosis.pubmed:28153731
- Induced pluripotent stem cells inhibit bleomycin-induced pulmonary fibrosis in mice through suppressing TGF-β1/Smad-mediated epithelial to mesenchymal …PMC5108931
- Plasma LncRNA-ATB, a Potential Biomarker for Diagnosis of Patients with Coal Workers'Pneumoconiosis: A Case-Control Study.pubmed:27556453
- Saikosaponin d induces cell death through caspase-3-dependent, caspase-3-independent andmitochondrial pathways in mammalian hepatic stellate cells.pubmed:27461108
- An advanced tri-culture model to evaluate the dynamic interplay among osteoblasts, osteoclasts, and endothelial cells.pubmed:28240358
- Magnolol Attenuates Concanavalin A-induced Hepatic Fibrosis, Inhibits CD4+ T Helper 17 (Th17) Cell Differentiation and Suppresses Hepatic Stellate Cell Activation: Blockade of Smad3/Smad4 Signalling.pubmed:28032440
- Antiresorptive and anti-angiogenetic octacalcium phosphate functionalized with bisphosphonates: An in vitro tri-culture study.pubmed:28238916
- Saikosaponin a Induces Apoptosis through Mitochondria-Dependent Pathway in Hepatic Stellate Cellspubmed:28231747
- Crystalline Silica Promotes Rat Fibrocyte Differentiation in Vitro, and Fibrocytes Participate in Silicosis in Vivopubmed:29081339
- Magnolol Attenuates Concanavalin A-induced Hepatic Fibrosis, Inhibits CD4 + T Helper 17(Th17) Cell Differentiation and Suppresses Hepatic Stellate Cell Activation: Blockade of Smad3/Smad4 Signallingdoi:10.1111
- Involvement of the calcium-sensing receptor in mineral trioxide aggregate-induced osteogenic gene expression in murine MC3T3-E1 cells.pubmed:28228629
- Icaritin induces MC3T3-E1 subclone14 cell differentiation through estrogen receptor-mediated ERK1/2 and p38 signaling activation.pubmed:28742995
- Demineralized dentin and enamel matrices as suitable substrates for bone regenerationpubmed:28731486
- Selective effect of hydroxyapatite nanoparticles on osteoporotic and healthy bone formation correlates with intracellular calcium homeostasis regulationpubmed:28698163
- Prognostic value of fibrosis-related markers in dilated cardiomyopathy: A link between osteopontin and cardiovascular events.pubmed:29120858
- Strontium‐Substituted Hydroxyapatite‐Gelatin Biomimetic Scaffolds Modulate Bone Cell ResponsePubmed:29877029
- Adenovirus‑mediated knockdown of activin A receptor type 2A attenuates immune‑induced hepatic fibrosis in mice and inhibits interleukin‑17‑induced …Pubmed:29620144
- Effect of hyperbaric oxygen therapy (HBO) on implant-associated osteitis in a femur fracture model in micePubmed:29377928
- In vitro and in vivo assessment of nanostructured porous biphasic calcium phosphate ceramics for promoting osteogenesis in an osteoporotic environmentc8ra00768c
- Evaluation of antifibrotic effects of coffee and cocoa extracts in rats with thioacetamide-induced fibrosis10.1007:s00217-018-3119-z
- BMP-2 and type I collagen preservation in human deciduous teeth after demineralizationPubmed:30045659
- Effect of transforming growth factor-β1 on α-smooth muscle actin and collagen expression in equine endometrial fibroblastsPubmed: 30321755
- Fabrication and characterization of core-shell nanofibers using a next-generation airbrush for biomedical applicationsPubmed: 30433758
- Lead exposure inhibits osteoblastic differentiation and inactivates the canonical Wnt signal and recovery by icaritin in MC3T3-E1 subclone 14 cellsPubmed: 30731080
- Effects of the (Pro) renin Receptor on Cardiac Remodeling and Function in a Rat Alcoholic Cardiomyopathy Model via the PRR-ERK1/2-NOX4 Pathway
- Methylbenzoxime as a therapeutic agent for glucocorticoid-induced osteoporosis in rats.
- Low fibrosis biomarker levels predict cardiac resynchronization therapy responsePubmed: 30988339
- High amplitude stretching of ATII cells and fibroblasts results in profibrotic effectsPubmed: 31290711
- Serum sclerostin levels are positively related to bone mineral density in peritoneal dialysis patients: a cross-sectional studyPubmed: 31315601
- Extracellular matrix deposition by adipose-derived stem cells and fibroblasts: a comparative studyPubmed: 31616972
- A multifunctional dexamethasone-delivery implant fabricated using atmospheric plasma and its effects on apoptosis, osteogenesis and inflammationPubmed: 31898081
- Pantoea agglomerans chronic exposure induces epithelial-mesenchymal transition in human lung epithelial cells and mice lungsPubmed: 32146192
- SWI/SNF complex subunit BAF60a represses hepatic ureagenesis through a crosstalk between YB-1 and PGC-1αPubmed: 32029232
- ZIF-8 Modified Multifunctional Bone-Adhesive Hydrogels Promoting Angiogenesis and Osteogenesis for Bone RegenerationPubmed: 32814397
- Distinct differences in hypoxic responses between human oral mucosa and skin fibroblasts in a 3D collagen matrixPubmed: 32588253
- Circulating fibrocytes traffic to the lung in murine acute lung injury and predict outcomes in human acute respiratory distress syndrome: a pilot studyPubmed: 32460694
- Predictors of myocardial fibrosis and loss of epicardial adipose tissue volume in the long-term period after myocardial infarction
- Tissue-Engineered Decellularized Allografts for Anterior Cruciate Ligament Reconstruction
- Ассоциации толщины эпикардиального жира и циркулирующих маркеров фиброза миокарда у пациентов с инфарктом миокарда
- Trauma magnitude of the meta-epyphyseal cancellous affects the incidence of deep vein thrombosis. A prospective cohort study on the dynamic of collagen I ¡33717478
- Uncarboxylated osteocalcin reverses the high glucose?induced inhibition of the osteogenic differentiation of MC3T3E1 cells via the GPRC6A/cAMP/PKA/AMPK signaling pathway33786607
- Beneficial impact of cathelicidin on hypersensitivity pneumonitis treatment¡ªIn vivo studies33999928
- Structural Changes and Detection of Liver Fibrosis¨CRelated Protein Levels in Coculture of Alveolar Echinococcosis-Protoscoleces and Human Hepatic Stellate cells
- Early diagnosis of myocardial fibrosis in patients with epicardial obesity
- Manuscript title Microparticles Containing MiR-625-5p In Coronary Artery Reduce Myocardial Fibrosis After Myocardial Infarction
- Structural changes and expression of hepatic fibrosis-related proteins in coculture of Echinococcus multilocularis protoscoleces and human hepatic stellate …34857049
- Esomeprazole Alleviates Fibrosis in Systemic Sclerosis by Modulating AhR/Smad2/3 SignalingPubmed:34995795
