Polyclonal Antibody to Alpha-Melanocyte Stimulating Hormone (aMSH)
α-MSH; Intermedins; Alpha-Melanotropin, Alpha-Melanocortin; Alpha-Intermedin
Overview
Properties
- Product No.PAA239Mi08
- Organism SpeciesHomo sapiens (Human), Mus musculus (Mouse), Rattus norvegicus (Rat), Oryctolagus cuniculus (Rabbit), Sus scrofa; Porcine (Pig), Bos taurus; Bovine (Cattle), Ovis aries; Ovine (Sheep) Same name, Different species.
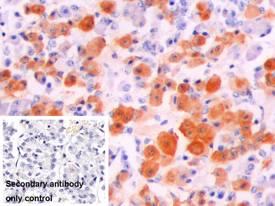
- ApplicationsIHC
If the antibody is used in flow cytometry, please check FCM antibodies.
Research use only - DownloadInstruction Manual
- CategoryTumor immunityEndocrinologyHormone metabolism
- SourcePolyclonal antibody preparation, Host Rabbit
- Ig Type IgG, Potency n/a
- PurificationAntigen-specific affinity chromatography followed by Protein A affinity chromatography
- LabelNone
- Immunogen CPA239Mi21-OVA Conjugated Alpha-Melanocyte Stimulating Hormone (aMSH)
- Buffer Formulation0.01M PBS, pH7.4, containing 0.05% Proclin-300, 50% glycerol.
- TraitsLiquid, Concentration 0.5mg/mL
Sign into your account
Share a new citation as an author
Upload your experimental result
Review

Contact us
Please fill in the blank.
Specifity
The antibody is a rabbit polyclonal antibody raised against aMSH. It has been selected for its ability to recognize aMSH in immunohistochemical staining and western blotting.
Usage
Immunohistochemistry: 5-20µg/mL;
Optimal working dilutions must be determined by end user.
Storage
Store at 4°C for frequent use. Stored at -20°C in a manual defrost freezer for two year without detectable loss of activity. Avoid repeated freeze-thaw cycles.
Stability
The thermal stability is described by the loss rate. The loss rate was determined by accelerated thermal degradation test, that is, incubate the protein at 37°C for 48h, and no obvious degradation and precipitation were observed. The loss rate is less than 5% within the expiration date under appropriate storage condition.
Organism Species More: Sus scrofa; Porcine (Pig)Giveaways
Increment services
Citations
- Generation of a human bone marrow-derived mesenchymal stem cell line expressing and secreting high levels of bioactive α-melanocyte-stimulating hormone.Pubmed: 23341471
- Pharmacological induction of skin pigmentation unveils the neuroendocrine circuit regulated by lightPubMed: 26582755
- Intermedin Restores Hyperhomocysteinemia-induced Macrophage Polarization and Improves Insulin Resistance in MicePubmed:27080257
- Pharmacological induction of skin pigmentation unveils the neuroendocrine circuit reCavia (Guinea pig )lated by lightPubmed:26582755
- Endocrine disruptors induce perturbations in endoplasmic reticulum and mitochondria of human pluripotent stem cell derivatives.pubmed:28794470
- Super-Obese Patient-Derived iPSC Hypothalamic Neurons Exhibit Obesogenic Signatures and Hormone ResponsesPubmed:29681516
- Epigenetic alterations of the POMC promoter in tobacco dependencePubmed:29871818
- Mechanisms of sustained long-term weight loss after RYGB: α-MSH is a key factorPubmed:29685637
- Alcohol Withdrawal and Proopiomelanocortin Neuropeptides in an Animal Model of Alcohol DependencePubmed: 31117084
- Intermedin alleviates the inflammatory response and stabilizes the endothelial barrier in LPS-induced ARDS through the PI3K/Akt/eNOS signaling pathwayPubmed: 32892076
- Serum alpha-melanocyte-stimulating hormone (a-MSH), brain-derived neurotrophic factor (BDNF), and agouti-related protein (AGRP) levels in children with Prader …Pubmed:35098494
