Polyclonal Antibody to Beta-Endorphin (bEP)
b-EP
Overview
Properties
- Product No.PAA806Hu08
- Organism SpeciesHomo sapiens (Human) Same name, Different species.
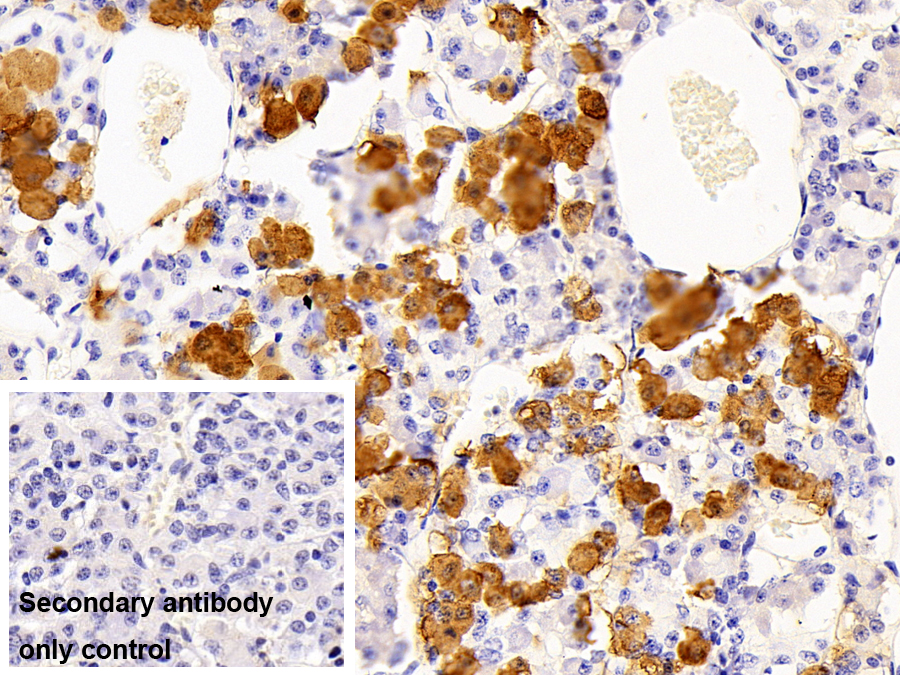
- ApplicationsIHC
If the antibody is used in flow cytometry, please check FCM antibodies.
Research use only - Downloadn/a
- CategorySignal transductionEndocrinologyNeuro scienceHormone metabolism
- SourcePolyclonal antibody preparation, Host Rabbit
- Ig Type IgG, Potency n/a
- PurificationAntigen-specific affinity chromatography followed by Protein A affinity chromatography
- LabelNone
- Immunogen n/a
- Buffer FormulationPBS, pH7.4, containing 0.02% NaN3, 50% glycerol.
- TraitsLiquid, Concentration 500µg/mL
Sign into your account
Share a new citation as an author
Upload your experimental result
Review

Contact us
Please fill in the blank.
Specifity
The antibody is a rabbit polyclonal antibody raised against bEP. It has been selected for its ability to recognize bEP in immunohistochemical staining and western blotting.
Usage
Western blotting: 0.1-2µg/mL;
Immunohistochemistry: 5-20µg/mL;
Immunocytochemistry: 5-20µg/mL;
Optimal working dilutions must be determined by end user.
Storage
Store at 4°C for frequent use. Stored at -20°C in a manual defrost freezer for two year without detectable loss of activity. Avoid repeated freeze-thaw cycles.
Stability
The thermal stability is described by the loss rate. The loss rate was determined by accelerated thermal degradation test, that is, incubate the protein at 37°C for 48h, and no obvious degradation and precipitation were observed. The loss rate is less than 5% within the expiration date under appropriate storage condition.
Organism Species More: Sus scrofa; Porcine (Pig)Giveaways
Increment services
Citations
- Endogenous μ-opioid peptides modulate immune response towards malignant melanomaPublish: RD10279
- Physiology and cell biology of acupuncture observed in calcium signaling activated by acoustic shear wave SpringerLink: tv015l3126833315
- Effect of Ramadan fasting on endorphin and endocannabinoid level in serum, PBMC and macrophageIjpsi: Source
- Evaluation of immune parameters in chronic migraine with medication overusePubmed:24867859
- Cerebrospinal fluid and plasma b-endorphin levels in children with cerebral malaria.pubmed:28413714
- Ultraviolet A photosensitivity profile of dexchlorpheniramine maleate and promethazine-based creams: Anti-inflammatory,antihistaminic, and skin barrier protection propertiesDOI: 10.1111/jocd.12349
- Non‐pharmacological interventions during childbirth for pain relief, anxiety, and neuroendocrine stress parameters: A randomized controlled trialPubmed:29512230
- КОРРЕКЦИЯ ЦИТОКИНОВОГО И ГОРМОНАЛЬНОГО ДИСБАЛАНСА ПРИ ЛЕЧЕНИИ СТАБИЛЬНОЙ СТЕНОКАРДИИ НАПРЯЖЕНИЯ10.25207:1608-6228-2018-25-3-51-55
- Plasma and cerebrospinal fluid beta-endorphin levels show a strong association in children with cerebral malaria
- Blood dopamine level enhanced by caffeine in men after treadmill runningPubmed: 31793465
- Blue light (λ= 453 nm) nitric oxide dependently induces β-endorphin production of human skin keratinocytes in-vitro and increases systemic β-endorphin levels in …Pubmed: 31553937
- Between pleasure and pain: a pilot study on the biological mechanisms associated with BDSM interactions in dominants and submissivesPubmed: 32044259
- Pain Sensitivity and Plasma Beta-Endorphin in Adolescent Non-Suicidal Self-InjuryPubmed: 32961416
- Serum β-endorphin levels are associated with addiction to suicidal behavior: a pilot studyPubmed: 32855024
- Efficacy of Acupuncture on Pain Mechanisms, Inflammatory Responses, and Wound Healing in the Acute Phase of Major Burns: An Experimental Study on Rats34309681
- Effects of transcutaneous electrical nerve stimulation applied at different frequencies during labor on hormone levels, labor pain perception, and anxiety: a randomized …
