Polyclonal Antibody to Calprotectin (CALPRO)
MRP-8/MRP-14; S100A8/A9
- UOM
- FOB US$ 140.00 US$ 326.00 US$ 465.00 US$ 1,163.00 US$ 4,650.00
- Quantity
Overview
Properties
- Product No.PAK504Mu01
- Organism SpeciesMus musculus (Mouse) Same name, Different species.
- ApplicationsWB,IHC
If the antibody is used in flow cytometry, please check FCM antibodies.
Research use only - DownloadInstruction Manual
- Category
- SourcePolyclonal antibody preparation, Host Rabbit
- Ig Type IgG, Potency n/a
- PurificationAntigen-specific affinity chromatography followed by Protein A affinity chromatography
- LabelNone
- Immunogen RPK504Mu01-Recombinant Calprotectin (CALPRO)
- Buffer Formulation0.01M PBS, pH7.4, containing 0.05% Proclin-300, 50% glycerol.
- TraitsLiquid, Concentration 500µg/mL
Sign into your account
Share a new citation as an author
Upload your experimental result
Review

Contact us
Please fill in the blank.
Specifity
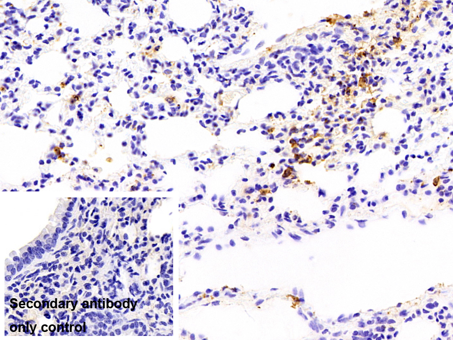
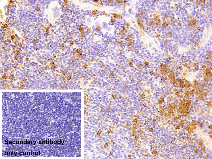
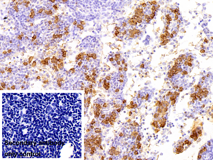
The antibody is a rabbit polyclonal antibody raised against CALPRO. It has been selected for its ability to recognize CALPRO in immunohistochemical staining and western blotting.
Usage
Western blotting: 0.5-2µg/mL;
Immunohistochemistry: 5-20µg/mL;
Immunocytochemistry: 5-20µg/mL;
Optimal working dilutions must be determined by end user.
Storage
Store at 4°C for frequent use. Stored at -20°C in a manual defrost freezer for two year without detectable loss of activity. Avoid repeated freeze-thaw cycles.
Stability
The thermal stability is described by the loss rate. The loss rate was determined by accelerated thermal degradation test, that is, incubate the protein at 37°C for 48h, and no obvious degradation and precipitation were observed. The loss rate is less than 5% within the expiration date under appropriate storage condition.
Giveaways
Increment services
Citations
- A Novel Combination of Calprotectin and CXCL12 for Predicting Malignancy in Patients with Exudative Pleural EffusionPubMed: 26632726
- Effects of (-)-Sesamin on Chronic Stress-Induced Anxiety Disorders in Micepubmed:27995494
- Immune Modulating Topical S100A8/A9 Inhibits Growth of Pseudomonas aeruginosa and Mitigates Biofilm Infection in Chronic Wounds.pubmed:28672877
- Multiplex Immuno-MALDI-TOF MS for Targeted Quantification of Protein Biomarkers and Their Proteoforms Related to Inflammation and Renal DysfunctionPubmed:29420882
- Maternal serum calprotectin level in intrahepatic cholestasis of pregnancy34254410
- Influence of Rectal Ozone Application on the Intensity of Free Radical Destruction of Lipids and Intestinal Proteins in the Dynamics of Experimental ColitisPubmed:35622259
- Serum Calprotectin and Iron Metabolism Biomarker Levels in Behçet's Disease
