Polyclonal Antibody to Complement Component 3a (C3a)
Overview
Properties
- Product No.PAA387Ra06
- Organism SpeciesRattus norvegicus (Rat) Same name, Different species.
- ApplicationsWB; IHC
If the antibody is used in flow cytometry, please check FCM antibodies.
Research use only - DownloadInstruction Manual
- CategoryInfection immunityImmune moleculeAutoimmunity
- SourcePolyclonal antibody preparation, Host Rabbit
- Ig Type IgG, Potency n/a
- PurificationAntigen-specific affinity chromatography followed by Protein A affinity chromatography
- LabelNone
- Immunogen EPA387Ra61-Eukaryotic Complement Component 3a (C3a)
- Buffer Formulation0.01M PBS, pH7.4, containing 0.05% Proclin-300, 50% glycerol.
- TraitsLiquid, Concentration 0.5mg/mL
Sign into your account
Share a new citation as an author
Upload your experimental result
Review

Contact us
Please fill in the blank.
Specifity
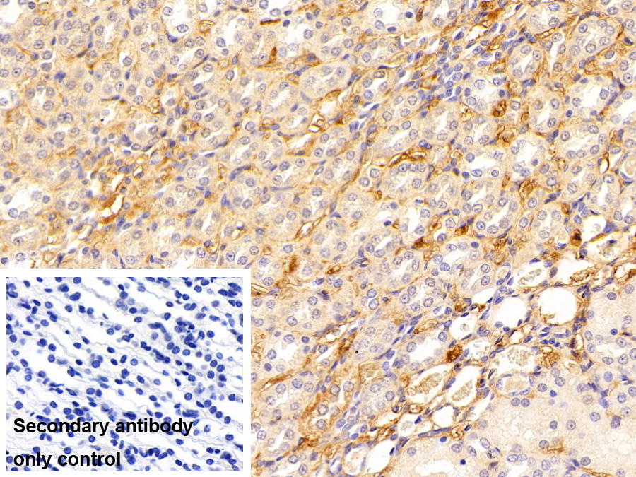
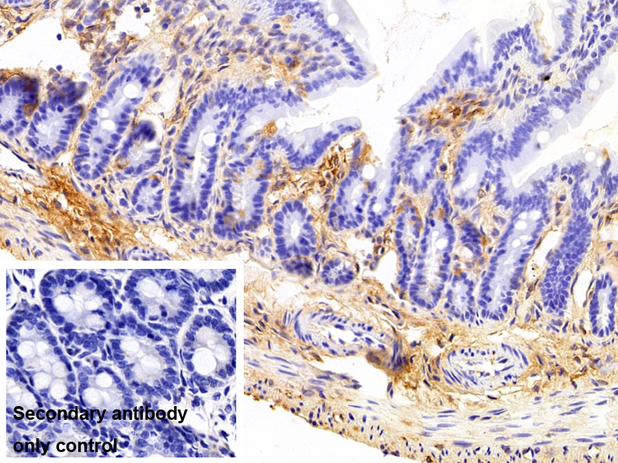
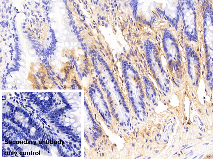
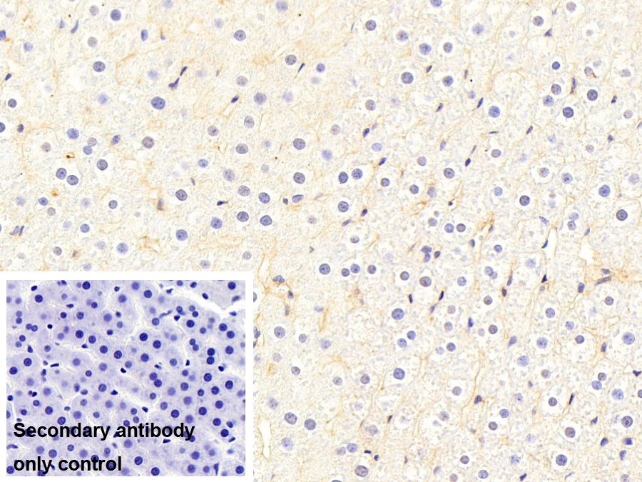
The antibody is a rabbit polyclonal antibody raised against C3a. It has been selected for its ability to recognize C3a in immunohistochemical staining and western blotting.
Usage
Western blotting: 0.01-2µg/mL;
Immunohistochemistry: 5-20µg/mL;
Optimal working dilutions must be determined by end user.
Storage
Store at 4°C for frequent use. Stored at -20°C in a manual defrost freezer for two year without detectable loss of activity. Avoid repeated freeze-thaw cycles.
Stability
The thermal stability is described by the loss rate. The loss rate was determined by accelerated thermal degradation test, that is, incubate the protein at 37°C for 48h, and no obvious degradation and precipitation were observed. The loss rate is less than 5% within the expiration date under appropriate storage condition.
Giveaways
Increment services
Citations
- Immobilization of soluble complement receptor 1 on islets.ScienceDirect: S0142961211002596
- Elevated complement factor C5a in maternal and umbilical cord plasma in preeclampsiaPubMed: 23415845
- Efficacy of a synthetic antimicrobial peptidomimetic versus vancomycin in a Staphylococcus epidermidis device-related murine peritonitis modelPubmed: 23645587
- Therapeutic effects of sesame oil on monosodium urate crystal-induced acute inflammatory response in ratsPubmed: 24353977
- Complement Split Products C3a/C5a and Receptors: Are They Regulated by Circulating Angiotensin II Type 1 Receptor Autoantibody in Severe Preeclampsia?PubMed: 26485247
- Human IgG Antinuclear Antibodies Induce Pregnancy Loss in Mice by Increasing Immune Complex Deposition in Placental Tissue: In Vivo StudyPubMed: 26388133
- Acute and prolonged complement activation in the central nervous system during herpes simplex encephalitisPubmed:27235358
- Alternative Pathway Inhibition by Exogenous Factor H Fails to Attenuate Inflammation and Vascular Leakage in Experimental Pneumococcal Sepsis in MicePubmed:26872035
- Dosagem de frações ativadas do sistema complemento em empiema induzido em ratos10183
- Interaction of gold and silver nanoparticles with human plasma: Analysis of protein corona reveals specific binding patterns.pubmed:28131092
- Accuracy of complement activation product levels to detect infected pleural effusion in ratspubmed:28474458
- The Complement C3a–C3aR Axis Promotes Development of Thoracic Aortic Dissection via Regulation of MMP2 ExpressionPubmed:29367209
- Long term safety and immunological effects of a nanobiotherapeutic, bovine poly-[hemoglobin-catalase-superoxide dismutase-carbonic anhydrase], after four weekly …Pubmed:29873524
- Mesenchymal stromal cell secretory factors induce sustained improvements in islet function pre-and post-transplantationDoi: 10.1016/j.jcyt.2018.07.007
- Intrathecal complement activation by the classical pathway in tick-borne encephalitisPubmed: 30850976
- Pathogenic roles of anti-C1q antibodies in recurrent pregnancy loss
- Hemocompatibility of biodegradable Zn-0.8 wt%(Cu, Mn, Li) alloys
- Complement-mediated hypersensitivity reactions to an amphotericin B-containing lipid complex (Abelcet) in pediatric patients and anesthetized rats: Benefits of slow infusion33549818
- Increased ratios of complement factors C3a to C3 in aqueous humor and serum mark glaucoma progression33493474
- C‐reactive protein inhibits C3a/C3aR‐dependent podocyte autophagy in favor of diabetic kidney diseasePubmed:35503088
