Polyclonal Antibody to Immunoglobulin G (IgG)
Overview
Properties
- Product No.PAA544Ra02
- Organism SpeciesRattus norvegicus (Rat) Same name, Different species.
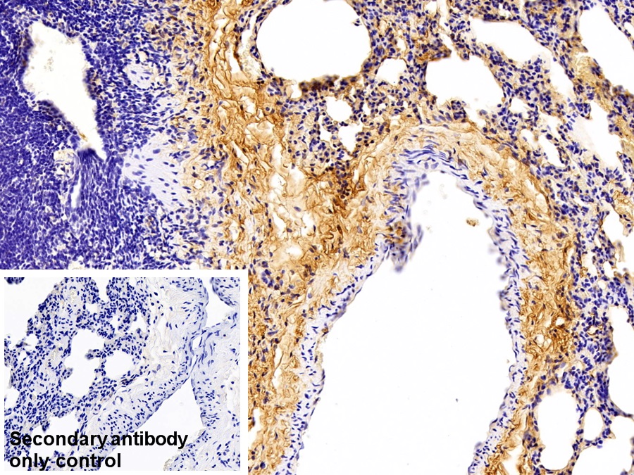
- ApplicationsIHC
If the antibody is used in flow cytometry, please check FCM antibodies.
Research use only - DownloadInstruction Manual
- CategoryInfection immunityImmune moleculeHematology
- SourcePolyclonal antibody preparation, Host Rabbit
- Ig Type IgG, Potency n/a
- PurificationAntigen-specific affinity chromatography followed by Protein A affinity chromatography
- LabelNone
- Immunogen RPA544Ra01-Recombinant Immunoglobulin G (IgG)
- Buffer Formulation0.01M PBS, pH7.4, containing 0.05% Proclin-300, 50% glycerol.
- TraitsLiquid, Concentration 0.5mg/mL
Sign into your account
Share a new citation as an author
Upload your experimental result
Review

Contact us
Please fill in the blank.
Specifity
The antibody is a rabbit polyclonal antibody raised against IgG. It has been selected for its ability to recognize IgG in immunohistochemical staining and western blotting.
Usage
Western blotting: 0.01-2µg/mL;
Immunohistochemistry: 5-20µg/mL;
Immunocytochemistry: 5-20µg/mL;
Optimal working dilutions must be determined by end user.
Storage
Store at 4°C for frequent use. Stored at -20°C in a manual defrost freezer for two year without detectable loss of activity. Avoid repeated freeze-thaw cycles.
Stability
The thermal stability is described by the loss rate. The loss rate was determined by accelerated thermal degradation test, that is, incubate the protein at 37°C for 48h, and no obvious degradation and precipitation were observed. The loss rate is less than 5% within the expiration date under appropriate storage condition.
Giveaways
Increment services
Citations
- Tryptophan Stimulates Immune Response in Broiler Chickens Challenged with Infectious Bursal Disease VaccineMedwell: 2010610616
- Immunostimulatory Effects of Arginine in Broiler Chickens Challenged with Vaccine Strain of Infectious Bursal Disease VirusMedwell: 2010594600
- EVALUATION OF PHYSICO-CHEMICAL PROPERTIES OF COLOSTRUM SUPPLEMENTED DAHIIjfans: Source
- Effects of Clostridium butyricum on growth performance, immune function, and cecal microflora in broiler chickens challenged with Escherichia coli K88Pubmed: 24570422
- Foot and Mouth Disease virus-loaded fungal chitosan nanoparticles for intranasal administration: impact of formulation on physicochemical and immunological characteristicsPubmed: 23590209
- The Effect of CXC Motif Chemokine 13 on Hepatocellular Carcinoma Associates with Wnt SignalingHindawi:Source
- Proteomics on porcine haptoglobin and IgG/IgA show protein species distribution and glycosylation pattern to remain similar in PCV2-SD infectionPubmed:24576640
- Liver functions in silica-exposed workers in Egypt: possible role of matrix remodeling and immunological factorsPubmed:24999850
- Dietary squid ink polysaccharide could enhance SIgA secretion in chemotherapeutic micePubmed:25308407
- Beneficial effect of T follicular helper cells on antibody class switching of B cells in prostate cancerPubmed:25529861
- The Effect of C-X-C Motif Chemokine 13 on Hepatocellular Carcinoma Associates with Wnt SignalingPubMed: 26161394
- Stabilization of Human Immunoglobulin G Encapsulated within Biodegradable Poly (Cyclohexane-1, 4-diyl Acetone Dimethylene Ketal) (PCADK)/ Poly (Lactic-co-Glycolic Acid) (PLGA) Blend MicrospheresPubMed: 26268563
- Growth promotion in pigs by oxytetracycline coincides with down reCavia (Guinea pig )lation of serum inflammatory parameters and of hibernation‐associated protein HP‐27Pubmed:26914286
- Neuropeptide Y stimulates osteoblastic differentiation and VEGF expression of bone marrow mesenchymal stem cells related to canonical Wnt signaling activating in vitro.Pubmed:26707636
- Effect of oral administration of Lactobacillus paracasei L9 on mouse systemic immunity and the immune response in the intestinepid:46641600021Z
- INFLUENCE OF ZINCOVIT DROP (NUTRITIONAL FOOD SUPPLEMENT) ON IMMUNE SYSTEM IN NORMAL AND CYCLOPHOSPHAMIDE INTOXICATED WISTAR RATSjournals:3790
- Expression of α-1,6-fucosyltransferase (FUT8) in rice grain and immunogenicity evaluation of plant-specific glycans.pubmed:28013072
- Long-term use of ceftriaxone sodium induced changes in gut microbiota and immune system.pubmed:28220870
- Effect of dietary protein or calcium supplement on the expression of collagen I and dentine phosphoprotein of rats with dental fluorosisC6TX00288A
- Exposure of Piglets to Enteroviruses Investigated by an Immunoassay Based on the EV-G1 VP4 Peptidepubmed:27694750
- Icariin promotes osteogenic differentiation of rat bone marrow stromal cells by activating the ERα-Wnt/β-catenin signaling pathway.pubmed:27764755
- Effects of fermented cottonseed meal on growth performance, serum biochemical parameters, immune functions, antioxidative abilities, and cecal microflora in broilers10.108:09540105.2017.1311308
- In vitro and in vivo immunomodulatory potential of Pedicularis longiflora and Allium carolinianum in alloxan-induced diabetes in ratspubmed:29091887
- Fluoride or/and aluminum induced toxicity in guinea pig teeth with the low expression of dentine phosphoprotein10.1002/jbt.21912
- Impact of Silver Nanoparticles on Immune Responses as Vaccine against Activated Staphylococcus aureus BacteriaISSN: 2319-7064
- Protective effects of astragaloside IV against ovalbumin-induced allergic rhinitis are mediated by T-box protein expressed in T cells/GATA-3 and forkhead box protein 3/retinoic acid-related orphan nuclear receptor γt.pubmed:28586019
- Influence of eggshell colour on egg yolk antibody level, incubation results, and growth in broiler breeders10.1590/s1806-92902017000200004
- Sub-chronic inhalation of reclaimed water-induced fibrotic lesion in a mouse modelPubmed:29655095
- Toll-like receptor 9 ligands increase type I interferon induced B-cell activating factor expression in chronic rhinosinusitis with nasal polyposisPubmed:30056130
- Effects of and on growth performance, immune function and volatile fatty acid level of caecal digesta in broilers10.1080:09540105.2018.1457013
- A Novel scFv Anti-Aβ Antibody Reduces Pathological Impairments in APP/PS1 Transgenic Mice via Modulation of Inflammatory Cytokines and Aβ-related EnzymesPubmed:30062438
- Supplementation of Cr Methionine During Dry Period of Dairy Cows and Its Effect on Some Production and Biochemical Parameters During Early Lactation and on …Pubmed:29497999
- Effect of Multi-Microbial Probiotic Formulation Bokashi on Pro-and Anti-Inflammatory Cytokines Profile in the Serum, Colostrum and Milk of Sows, and in a …Pubmed:29305686
- Altered immunoglobulins (A and G) in Ghanaian patients with type 2 diabetesPubmed:29623201
- Biochemical characterization of the PHARC associated serine hydrolase ABHD12 reveals its preference for very long chain lipidsPubmed: 30237167
- Fabrication and characterization of core-shell nanofibers using a next-generation airbrush for biomedical applicationsPubmed: 30433758
- Phenotypic variations in transferred progeny due to genotype of surrogate mother: Surrogate mother modulates transferred progenyPubmed: 30445548
- In vitro and in vivo cancer cell apoptosis triggered by competitive binding of Cinchona alkaloids to the RING domain of TRAF6
- Serum exosomes from newborn piglets restrict porcine epidemic diarrhea virus infection
- Ginsenoside Rg3 improves cyclophosphamide-induced immunocompetence in Balb/c micePubmed: 30974284
- Utjecaj dodatka selena u prihrani na hematološku sliku i biokemijske pokazatelje u jelena lopatara (Dama dama L.)
- Age-related chemokine alterations affect IgA secretion and gut immunity in female micePubmed: 32277312
- Effects of polysaccharides from Yingshan Yunwu tea on meat quality, immune status and intestinal microflora in chickensPubmed: 32224178
- Efficacy of Local Minocycline Agents in Treating Peri-Implantitis: An Experimental In Vivo Study in Beagle DogsPubmed: 33114168
- Physicochemical characterization and immunomodulatory activity of sulfated Chinese yam polysaccharidePubmed: 33010421
- Locally Applied Slow-Release of Minocycline Microspheres in the Treatment of Peri-Implant Mucositis: An Experimental In Vivo StudyPubmed: 32708741
- Association Between Serum Selenium Level and Subclinical Mastitis in Dairy CattlePubmed: 32583225
- Neuropeptide Y upregulates Runx2 and osterix and enhances osteogenesis in mouse MC3T3‑E1 cells via an autocrine mechanismPubmed: 33000198
- Evaluation of the effect of herbal extracts and their bioactive compounds against motion sickness by regulating neurotransmitter levels in vitro and in vivo
- Comparison of immunomodulatory effects of three polysaccharide fractions from Lentinula edodes water extracts
- Effects of chitooligosaccharide supplementation on laying performance, egg quality, blood biochemistry, antioxidant capacity and immunity of laying hens during the …
- A comparative study of autogenous, allograft and artificial bone substitutes on bone regeneration and immunotoxicity in rat femur defect model
- Curcumin loaded nanostructure hybrid lipid capsules for co-eradication of breast cancer and cancer stem cells with enhanced anticancer efficacy
- Women Scientist Scientist Mentor
- A light-induced self-powered competitive immunosensor for the detection of platelet derived growth factor-BB via an elaborately assembled bioconjugate
- Visualized podocyte-targeting and focused ultrasound responsive glucocorticoid nano-delivery system against immune-associated nephropathy without?¡33456566
- Celecoxib ameliorates liver cirrhosis via reducing inflammation and oxidative stress along spleen-liver axis in rats33577848
- Handling Associated with Drenching Does Not Impact Survival and General Health of Low Birth Weight Piglets. Animals 2021, 11, 40433562568
- Trace endotoxin in reclaimed water is only one of the risk sources in subchronic inhalation exposure34090073
- Optimized GAPDH-truncated immunogen of Streptococcus equi elicits an enhanced immune response and provides effective protection in a mouse model33647714
- Insulin-like growth factor-1 improves postoperative cognitive dysfunction following splenectomy in aged rats33574912
- The suppression of Brd4 inhibits peripheral plasma cell differentiation and exhibits therapeutic potential for systemic lupus erythematosus
- A simple and sensitive electrochemical impedimetric immunosensor for the detection of apolipoprotein E4 based on CeZnO nanoparticle
- Neonatal Buza??larda ?ki Farkl? ?mmunomod¨¹lat?r¨¹n Buza?? ?shalleri ¨¹zerine Etkileri
- Dietary Supplementation of Inulin Ameliorates Subclinical Mastitis via Regulation of Rumen Microbial Community and Metabolites in Dairy Cows34494854
- Prenatal diagnosis of maternal serum from mothers carrying β‐thalassemic fetus34559910
- Protection from Benzene-induced Immune Dysfunction in MicePubmed:35090963
- Three Urban of China: A Cohort Study of Maternal-Infant Factors and HM Protein ComponentsPubmed:35438093
- Proteomic analysis reveals USP7 as a novel regulator of palmitic acid-induced hepatocellular carcinoma cell deathPubmed:35732625
- Integrative epigenomic and transcriptomic analysis reveals the requirement of JUNB for hematopoietic fate inductionPubmed:35668082
- The effect of the multi-strain probiotic preparation EM Bokashi® on selected parameters of the cellular immune response in pigs
- 信筒子醌对系统性红斑狼疮小鼠免疫调节和治疗作用
