Polyclonal Antibody to Prothrombin Fragment 1+2 (F1+2)
Overview
Properties
- Product No.PAA710Mu01
- Organism SpeciesMus musculus (Mouse) Same name, Different species.
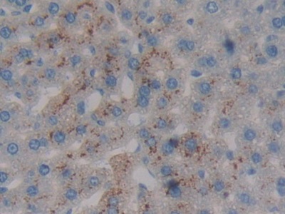
- ApplicationsWB; IHC
If the antibody is used in flow cytometry, please check FCM antibodies.
Research use only - DownloadInstruction Manual
- Category
- SourcePolyclonal antibody preparation, Host Rabbit
- Ig Type IgG, Potency n/a
- PurificationAntigen-specific affinity chromatography followed by Protein A affinity chromatography
- LabelNone
- Immunogen RPA710Mu01-Recombinant Prothrombin Fragment 1+2 (F1+2)
- Buffer Formulation0.01M PBS, pH7.4, containing 0.05% Proclin-300, 50% glycerol.
- TraitsLiquid, Concentration 500µg/mL
Sign into your account
Share a new citation as an author
Upload your experimental result
Review

Contact us
Please fill in the blank.
Specifity
The antibody is a rabbit polyclonal antibody raised against F1+2. It has been selected for its ability to recognize F1+2 in immunohistochemical staining and western blotting.
Usage
Western blotting: 0.5-2µg/mL;
Immunohistochemistry: 5-20µg/mL;
Immunocytochemistry: 5-20µg/mL;
Optimal working dilutions must be determined by end user.
Storage
Store at 4°C for frequent use. Stored at -20°C in a manual defrost freezer for two year without detectable loss of activity. Avoid repeated freeze-thaw cycles.
Stability
The thermal stability is described by the loss rate. The loss rate was determined by accelerated thermal degradation test, that is, incubate the protein at 37°C for 48h, and no obvious degradation and precipitation were observed. The loss rate is less than 5% within the expiration date under appropriate storage condition.
Organism Species More: Homo sapiens (Human)Giveaways
Increment services
Citations
- Disseminated intravascular coagulation or acute coagulopathy of trauma shock early after trauma? An observational studyBioMed: cc10553
- Changes in thrombin generation, fibrinolysis, platelet and endothelial cell activity, and inflammation following endovascular abdominal aortic aneurysm repairScienceDirect: S0741521411018568
- High levels of soluble VEGF receptor 1 early after trauma are associated with shock, sympathoadrenal activation, glycocalyx degradation and inflammation in severely injured patients: a prospective studySjtrem:1757-7241
- High sCD40L levels early after trauma are associated with enhanced shock, sympathoadrenal activation, tissue and endothelial damage, coagulopathy and mortalityWiley: source
- Evaluation of autologous plasma skin test in patients with chronic idiopathic urticariaPubMed: 21910697
- Diet Modulates Endogenous Thrombin Generation, A Biological Estimate of Thrombosis Risk, Independently of the Metabolic StatusPubMed: 22859493
- Medium-term effect of endovascular and open abdominal aortic aneurysm repair on thrombin generation and fibrinolysisPubMed: 23140799
- Markers of Thrombogenesis and Fibrinolysis and Their Relation to Inflammation and Endothelial Activation in Patients with Idiopathic Pulmonary Arterial HypertensionPlosone: Source
- Effect of endovascular and open abdominal aortic aneurysm repair on thrombin generation and fibrinolysisPubmed: 23140799
- Clinical impact of factor V Leiden, prothrombin G20210A, and MTHFR C677T mutations among sickle cell disease patients of Central IndiaPubmed: 23992124
- Study the association of adiponectin with inflammation and hypercoagulability in case of type 2 diabetic subjects with renal dysfunctionTandfonline:Source
- An ex vivo evaluation of blood coagulation and thromboresistance of two extracorporeal circuit coatings with reduced and full heparin dosePubmed:24632424
- Ex vivo simulation of cardiopulmonary bypass with human blood for hemocompatibility testingPubMed: 26243277
- Comparison of the Effect of Dabigatran and Dalteparin on Thrombus Stability in a Murine Model of Venous ThromboembolismPubMed: 26514101
- Thrombin activatable fibrinolysis inhibitor (TAFI), tissue factor pathway inhibitor (TFPI), and prothrombin fragment 1+2 levels in patients with advanced colorectal cancer aot:AOT_49_1_6_12.pdf
- Perioperative thrombocytopenia predicts poor outcome in patients undergoing transcatheter aortic valve implantationpubmed:29145170
- The causes of thrombocytopenia after transcatheter aortic valve implantationpubmed:28582640
- Elevations of Thrombotic Biomarkers in Hemoglobin H DiseasePubmed:29402840
- The cerebral thrombin system is activated after intracerebral hemorrhage and contributes to secondary lesion growth and poor neurological outcome in C57Bl/6 micePubmed: 31830857
- Enhanced Fibrin-Lysis in Grade-1 Dengue Haemorrhagic Fever
- The impact of anti-endothelial cell antibodies (AECAs) on the development of blood vessel damage in patients with systemic lupus erythematosus: the preliminary …Pubmed:35284968
