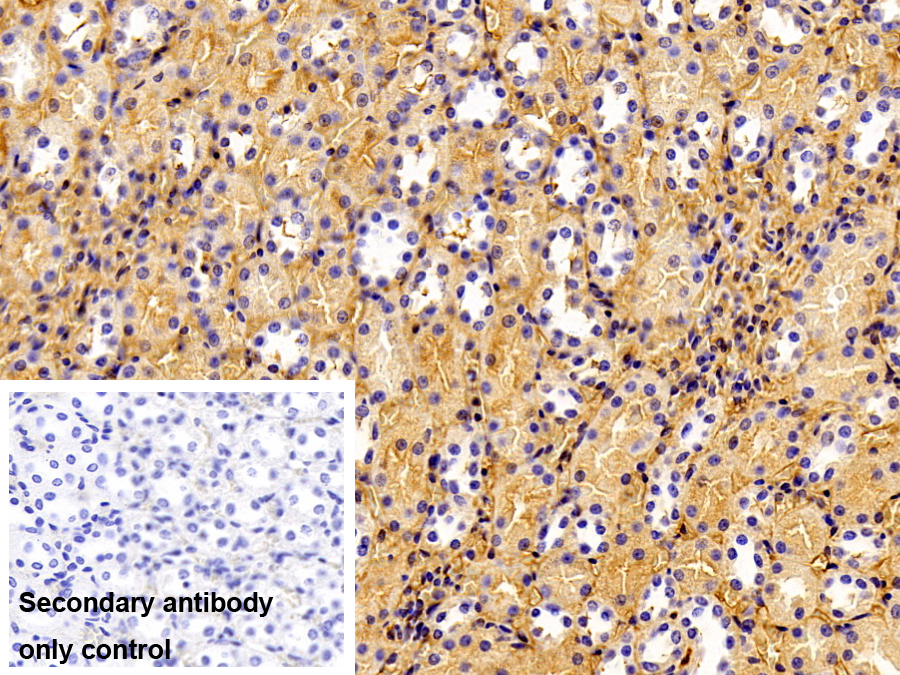
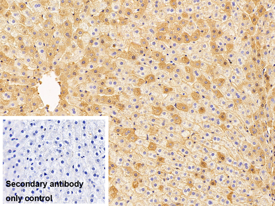
Polyclonal Antibody to Albumin (ALB)
Serum albumin
Overview
Properties
- Product No.PAB028Rb51
- Organism SpeciesOryctolagus cuniculus (Rabbit) Same name, Different species.
- ApplicationsWB,IHC
If the antibody is used in flow cytometry, please check FCM antibodies.
Research use only - DownloadInstruction Manual
- CategoryTumor immunityInfection immunityHematologyHepatologyNutrition metabolism
- SourcePolyclonal antibody preparation, Host Guinea pig
- Ig Type IgG, Potency n/a
- PurificationAntigen-specific affinity chromatography followed by Protein A affinity chromatography
- LabelAPC
- Immunogen NPB028Rb01-Native Albumin (ALB)
- Buffer FormulationPBS, pH7.4, containing 0.02% NaN3, 50% glycerol.
- TraitsLiquid, Concentration 0.5mg/mL
Sign into your account
Share a new citation as an author
Upload your experimental result
Review

Contact us
Please fill in the blank.
Specifity
The antibody is a cavia polyclonal antibody raised against ALB. It has been selected for its ability to recognize ALB in immunohistochemical staining and western blotting.
Usage
Western blotting: 0.01-2µg/mL;
Immunohistochemistry: 5-20µg/mL;
Immunocytochemistry: 5-20µg/mL;
Optimal working dilutions must be determined by end user.
Storage
Store at 4°C for frequent use. Stored at -20°C in a manual defrost freezer for two year without detectable loss of activity. Avoid repeated freeze-thaw cycles.
Stability
The thermal stability is described by the loss rate. The loss rate was determined by accelerated thermal degradation test, that is, incubate the protein at 37°C for 48h, and no obvious degradation and precipitation were observed. The loss rate is less than 5% within the expiration date under appropriate storage condition.
Giveaways
Increment services
-
Antibody Labeling Customized Service
-
Protein A/G Purification Column
-
Staining Solution for Cells and Tissue
-
Positive Control for Antibody
-
Tissue/Sections Customized Service
-
Phosphorylated Antibody Customized Service
-
Western Blot (WB) Experiment Service
-
Immunohistochemistry (IHC) Experiment Service
-
Immunocytochemistry (ICC) Experiment Service
-
Flow Cytometry (FCM) Experiment Service
-
Immunoprecipitation (IP) Experiment Service
-
Immunofluorescence (IF) Experiment Service
-
Buffer
-
DAB Chromogen Kit
-
SABC Kit
-
Long-arm Biotin Labeling Kit
-
Real Time PCR Experimental Service
Citations
- Simvastatin Reduces Endotoxin-Induced Acute Lung Injury by Decreasing Neutrophil Recruitment and Radical FormationPubMed: 22701728
- Albumin administration protects against bilirubin-induced auditory brainstem dysfunction in Gunn rat pupsOnlinelibrary: liv.12219
- Adjunctive corticosteroid therapy improves lung immunopathology and survival during severe secondary pneumococcal pneumonia in micePubmed: 24273183
- Increased Circulating Levels of Vitamin D Binding Protein in MS PatientsPubmed:25590278
- The wnt/β-catenin signaling pathway participates in rhein ameliorating kidney injury in DN micePubMed: 26346164
- Collecting Protein Biomarkers in Breath Using Electret Filters: A Preliminary Method on New Technical Model and Human StudyPubmed:26934615
- 3D Printing of Differentiated Bone Marrow Mesenchymal Cells as a New Method for Liver Tissue Engineeringart00007
- Alteration of Connexin43 expression in a rat model of obesity-related glomerulopathy.pubmed:29246788
- Resolvin D1 Promotes SIRT1 Expression to Counteract the Activation of STAT3 and NF-κB in Mice with Septic-Associated Lung InjuryPubmed:30014231
- Maternal low-quality protein diet exerts sex-specific effects on plasma amino acid profile and alters hepatic expression of methyltransferases in adult rat offspringPubmed:29582727
- Electret filter collects more exhaled albumin than glass condenser: A method comparison based on human studyPubmed:29384875
- Therapeutic efficiency of human amniotic epithelial stem cell-derived functional hepatocyte-like cells in mice with acute hepatic failurePubmed: 30463600
- Decellularized Human Liver Scaffold‐Based Three‐dimensional Culture System Facilitate HBV InfectionPubmed: 30963688
- Treatment with 3, 4-dihydroxyphenylethyl alcohol glycoside ameliorates sepsis-induced ALI in mice by reducing inflammation and regulating M1 polarizationPubmed: 31146107
- Anti-proteinuria effect of antibody against ANGPTL3 coil-coiled domain on adriamycin-induced nephropathy in micePubmed: 31256934
- A small molecule inhibitor MCC950 ameliorates kidney injury in diabetic nephropathy by inhibiting NLRP3 inflammasome activationPubmed: 31447572
- Diiodothyronines regulate metabolic homeostasis in primary human hepatocytes by modulating mTORC1 and mTORC2 activityPubmed: 31580898
- Preliminary study on the effects of enrofloxacin, flunixin meglumine and pegbovigrastim on Mycoplasma bovis pneumoniaPubmed: 31655595
- Ghrelin alleviates traumatic brain injury-induced acute lung injury through pyroptosis/NF-κB pathwayPubmed: 31918060
- Sodium butyrate ameliorates deoxycorticosterone acetate/salt-induced hypertension and renal damage by inhibiting the MR/SGK1 pathwayPubmed: 32908237
- Sleeve Gastrectomy Attenuates Diabetic Nephropathy by Upregulating Nephrin Expressions in Diabetic Obese RatsPubmed: 32399849
- Protective Role of Training and Selenium Consumption Against Renal Toxicity Induced by Cadmium in Rats
- Gut Dysbiosis Contribute to High Fructose Induced Salt Sensitive Hypertension In Sprague-Dawley Rats
- A light-induced self-powered competitive immunosensor for the detection of platelet derived growth factor-BB via an elaborately assembled bioconjugate
- cGAS promotes sepsis in radiotherapy of cancer by up-regulating caspase-11 signaling33721834
- A simple and sensitive electrochemical impedimetric immunosensor for the detection of apolipoprotein E4 based on CeZnO nanoparticle
- Syringaresinol Resisted Sepsis-Induced Acute Lung Injury by Suppressing Pyroptosis Via the Oestrogen Receptor-β Signalling Pathway34807349
- GP73 is a TBC-domain Rab GTPase-activating protein contributing to the pathogenesis of non-alcoholic fatty liver disease without obesity34853313
- Emitter–Quencher Pair of Single Atomic Co Sites and Monolayer Titanium Carbide MXenes for Luminol Chemiluminescent Reactions34914377
- Moderation of gut microbiota and bile acid metabolism by chlorogenic acid improves high-fructose-induced salt-sensitive hypertension in micePubmed:35708145
- Syringaresinol attenuates kidney injury by inhibition of pyroptosis via activating the Nrf2 antioxidant pathway in diabetic nephropathy
