Polyclonal Antibody to Apolipoprotein M (APOM)
Apo-M; G3a; NG20; Protein G3a
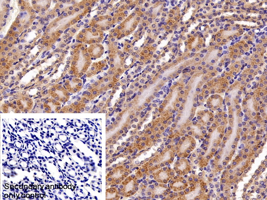
Overview
Properties
- Product No.PAC299Hu01
- Organism SpeciesHomo sapiens (Human) Same name, Different species.
- ApplicationsWB; IHC
If the antibody is used in flow cytometry, please check FCM antibodies.
Research use only - DownloadInstruction Manual
- CategoryMetabolic pathwayCardiovascular biologyHepatologyNutrition metabolism
- SourcePolyclonal antibody preparation, Host Rabbit
- Ig Type IgG, Potency n/a
- PurificationAntigen-specific affinity chromatography followed by Protein A affinity chromatography
- LabelNone
- Immunogen RPC299Hu01-Recombinant Apolipoprotein M (APOM)
- Buffer Formulation0.01M PBS, pH7.4, containing 0.05% Proclin-300, 50% glycerol.
- TraitsLiquid, Concentration 0.5mg/mL
Sign into your account
Share a new citation as an author
Upload your experimental result
Review

Contact us
Please fill in the blank.
Specifity
The antibody is a rabbit polyclonal antibody raised against APOM. It has been selected for its ability to recognize APOM in immunohistochemical staining and western blotting.
Usage
Western blotting: 0.01-2µg/mL;
Immunohistochemistry: 5-20µg/mL;
Immunocytochemistry: 5-20µg/mL;
Optimal working dilutions must be determined by end user.
Storage
Store at 4°C for frequent use. Stored at -20°C in a manual defrost freezer for two year without detectable loss of activity. Avoid repeated freeze-thaw cycles.
Stability
The thermal stability is described by the loss rate. The loss rate was determined by accelerated thermal degradation test, that is, incubate the protein at 37°C for 48h, and no obvious degradation and precipitation were observed. The loss rate is less than 5% within the expiration date under appropriate storage condition.
Organism Species More: Mus musculus (Mouse)Giveaways
Increment services
-
Antibody Labeling Customized Service
-
Protein A/G Purification Column
-
Staining Solution for Cells and Tissue
-
Positive Control for Antibody
-
Tissue/Sections Customized Service
-
Phosphorylated Antibody Customized Service
-
Western Blot (WB) Experiment Service
-
Immunohistochemistry (IHC) Experiment Service
-
Immunocytochemistry (ICC) Experiment Service
-
Flow Cytometry (FCM) Experiment Service
-
Immunoprecipitation (IP) Experiment Service
-
Immunofluorescence (IF) Experiment Service
-
Buffer
-
DAB Chromogen Kit
-
SABC Kit
-
Long-arm Biotin Labeling Kit
-
Real Time PCR Experimental Service
Citations
- Apolipoprotein m (APOM) levels and APOM rs805297 G/T polymorphism are associated with increased risk ofrheumatoid arthritisPubmed: 23660425
- The miR-573/apoM/Bcl2A1-dependent signal transduction pathway is essential for hepatocyte apoptosis and hepatocarcinogenesisPubMed: 26201458
- Effects of hyperlipidaemia on plasma apolipoprotein M levels in patients with type 2 diabetes mellitus: an independent case–control studypubmed:27633510
- A single-nucleotide polymorphism C-724 /del in the proter region of the apolipoprotein M gene is associated with type 2 diabetes mellituspubmed:27576735
- ApoM/HDL-C and apoM/apoA-I ratios are indicators of diabetic nephropathy in healthy controls and type 2 diabetes mellitus.pubmed:28073663
- Level of serum apolipoprotein m and its diagnostic significance in inflammatory bowel diseasefiles:ijcep0033416.pdf
- Endurance training selectively increases HDL-bound sphingosine-1-phosphate in the plasma pubmed:28493600
- HDL-S1P Protects Endothelial Function and Reduces Lung Injury During Sepsis in vivo and in vitroPubmed: 32750426
- Biomechanical Properties of Blood Plasma Extracellular Vesicles Revealed by Atomic Force Microscopy33374530
- Apolipoprotein M in High Density Lipoprotein Protects Against Astrocyte Apoptosis Induced By Ischemic Insult Via Sphingosine 1-Phosphate Signaling
