Polyclonal Antibody to Corticosteroid Binding Globulin (CBG)     
     
SERPINA6; Transcortin; Serpin A6; Serpin Peptidase Inhibitor,Clade A,Member 6(Alpha-1 Antiproteinase; Antitrypsin)
Overview
Properties
- Product No.PAB226Hu01
- Organism SpeciesHomo sapiens (Human) Same name, Different species.
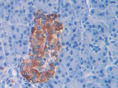
- ApplicationsIHC
 If the antibody is used in flow cytometry, please check FCM antibodies.
 Research use only
- DownloadInstruction Manual
- CategoryEndocrinology
- SourcePolyclonal antibody preparation, Host Rabbit
- Ig Type IgG, Potency n/a
- PurificationAntigen-specific affinity chromatography followed by Protein A affinity chromatography
- LabelNone
- Immunogen RPB226Hu01-Recombinant Corticosteroid Binding Globulin (CBG)
- Buffer FormulationPBS, pH7.4, containing 0.01% SKL, 1mM DTT, 5% Trehalose and Proclin300.
- TraitsLiquid, Concentration 500µg/mL
Sign into your account
Share a new citation as an author
Upload your experimental result
Review

Contact us
Please fill in the blank.
Specifity
The antibody is a rabbit polyclonal antibody raised against CBG. It has been selected for its ability to recognize CBG in immunohistochemical staining and western blotting.
Usage
            
                        Western blotting: 0.2-2µg/mL;1:250-2500
                        
 Immunohistochemistry: 5-20µg/mL;1:25-100
                        
 Immunocytochemistry: 5-20µg/mL;1:25-100
                        
 Optimal working dilutions must be determined by end user.
                        
        
Storage
Store at 4°C for frequent use. Stored at -20°C in a manual defrost freezer for two year without detectable loss of activity. Avoid repeated freeze-thaw cycles.
Stability
The thermal stability is described by the loss rate. The loss rate was determined by accelerated thermal degradation test, that is, incubate the protein at 37°C for 48h, and no obvious degradation and precipitation were observed. The loss rate is less than 5% within the expiration date under appropriate storage condition.
Giveaways
Increment services
- 
                 Antibody Labeling Customized Service Antibody Labeling Customized Service
- 
                 Protein A/G Purification Column Protein A/G Purification Column
- 
                 Staining Solution for Cells and Tissue Staining Solution for Cells and Tissue
- 
                 Positive Control  for Antibody Positive Control  for Antibody
- 
                 Tissue/Sections Customized Service Tissue/Sections Customized Service
- 
                 Phosphorylated Antibody Customized Service Phosphorylated Antibody Customized Service
- 
                 Western Blot (WB) Experiment Service Western Blot (WB) Experiment Service
- 
                 Immunohistochemistry (IHC) Experiment Service Immunohistochemistry (IHC) Experiment Service
- 
                 Immunocytochemistry (ICC) Experiment Service Immunocytochemistry (ICC) Experiment Service
- 
                 Flow Cytometry (FCM) Experiment Service Flow Cytometry (FCM) Experiment Service
- 
                 Immunoprecipitation (IP) Experiment Service Immunoprecipitation (IP) Experiment Service
- 
                 Immunofluorescence (IF) Experiment Service Immunofluorescence (IF) Experiment Service
- 
                 Buffer Buffer
- 
                 DAB Chromogen Kit DAB Chromogen Kit
- 
                 SABC Kit SABC Kit
- 
                 Long-arm Biotin Labeling Kit Long-arm Biotin Labeling Kit
- 
                 Real Time PCR Experimental Service Real Time PCR Experimental Service
Citations
- The Regulation of Rasd1 Expression by Glucocorticoids and Prolactin Controls Peripartum Maternal Insulin SecretionEndjournals: Source
- Modulation in Wistar Rats of Blood Corticosterone Compartmentation by Sex and a Cafeteria DietPubMed: PMC3579843
- Differences in colocalization of corticosteroid-binding globulin and glucocorticoid receptor immunoreactivity in the rat brainScienceDirect: S0940960212001628
- Adrenocortical control in the neonatal rat: ACTH‐and cAMP‐independent corticosterone production during hypoxiaPubmed: 24303136
- Adrenocorticotropic Hormone But Not High-Density Lipoprotein Cholesterol or Salivary Cortisol Was a Predictor of Adrenal Insufficiency in Patients With Septic Shock.Pubmed: 24667620
- Greater glucocorticoid receptor activation in hippocampus of aged rats sensitizes microgliaPubmed:25559333
- Novel p53 target genes secreted by the liver are involved in non-cell-autonomous reCavia (Guinea pig )lationPubmed:26358154
- Impact of Season and Oral Contraceptive use on Cortisol Levelsin Physically Active Womenexercise-sports-orthopedics:exercise-sports-orthop
- Impact of Season and Oral Contraceptive use on Cortisol Levels in Physically Active Womendiva2:1047030
- Impaired glucocorticoid-mediated HPA axis negative feedback induced by juvenile social isolation in male ratsPubmed:29407214
- The impact of early-life stress on corticosteroid carrier protein levels and 11β-hydroxysteroid dehydrogenase 1 expression in adolescent rats

 
         
    
     
                 
                 
                                 
                                 
                                 
                                 
                            