Polyclonal Antibody to Glial Fibrillary Acidic Protein (GFAP)     
     
Intermediate Filament Protein
Overview
Properties
- Product No.PAA068Hu01
- Organism SpeciesHomo sapiens (Human) Same name, Different species.
- ApplicationsWB; IHC; FCM
 If the antibody is used in flow cytometry, please check FCM antibodies.
 Research use only
- DownloadInstruction Manual
- CategoryInfection immunityNeuro science
- SourcePolyclonal antibody preparation, Host Rabbit
- Ig Type IgG, Potency n/a
- PurificationAntigen-specific affinity chromatography followed by Protein A affinity chromatography
- LabelNone
- Immunogen RPA068Hu01-Recombinant Glial Fibrillary Acidic Protein (GFAP)
- Buffer Formulation0.01M PBS, pH7.4, containing 0.05% Proclin-300, 50% glycerol.
- TraitsLiquid, Concentration 0.32mg/mL
Sign into your account
Share a new citation as an author
Upload your experimental result
Review

Contact us
Please fill in the blank.
Specifity
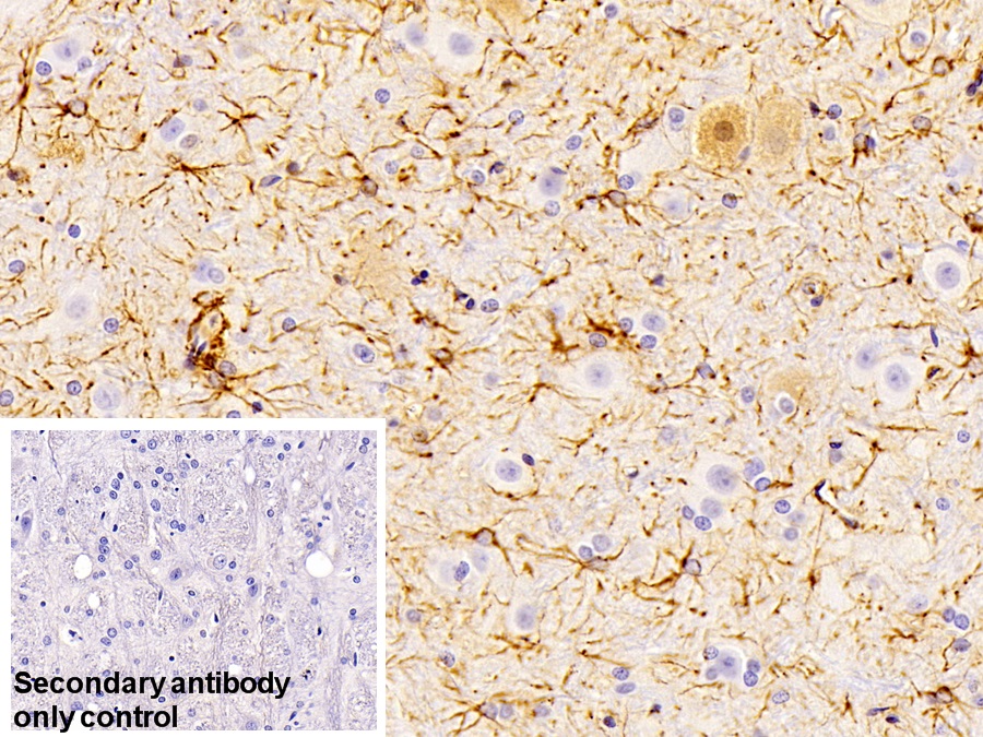
The antibody is a rabbit polyclonal antibody raised against GFAP. It has been selected for its ability to recognize GFAP in immunohistochemical staining and western blotting.
Usage
            Western blotting: 0.01-2µg/mL;
Immunohistochemistry: 5-20µg/mL;
Flow cytometry: 20µg/mL
Optimal working dilutions must be determined by end user.        
Storage
Store at 4°C for frequent use. Stored at -20°C in a manual defrost freezer for two year without detectable loss of activity. Avoid repeated freeze-thaw cycles.
Stability
The thermal stability is described by the loss rate. The loss rate was determined by accelerated thermal degradation test, that is, incubate the protein at 37°C for 48h, and no obvious degradation and precipitation were observed. The loss rate is less than 5% within the expiration date under appropriate storage condition.
Organism Species More: Mus musculus (Mouse), Rattus norvegicus (Rat), Sus scrofa; Porcine (Pig)Giveaways
Increment services
- 
                 Antibody Labeling Customized Service Antibody Labeling Customized Service
- 
                 Protein A/G Purification Column Protein A/G Purification Column
- 
                 Staining Solution for Cells and Tissue Staining Solution for Cells and Tissue
- 
                 Positive Control  for Antibody Positive Control  for Antibody
- 
                 Tissue/Sections Customized Service Tissue/Sections Customized Service
- 
                 Phosphorylated Antibody Customized Service Phosphorylated Antibody Customized Service
- 
                 Western Blot (WB) Experiment Service Western Blot (WB) Experiment Service
- 
                 Immunohistochemistry (IHC) Experiment Service Immunohistochemistry (IHC) Experiment Service
- 
                 Immunocytochemistry (ICC) Experiment Service Immunocytochemistry (ICC) Experiment Service
- 
                 Flow Cytometry (FCM) Experiment Service Flow Cytometry (FCM) Experiment Service
- 
                 Immunoprecipitation (IP) Experiment Service Immunoprecipitation (IP) Experiment Service
- 
                 Immunofluorescence (IF) Experiment Service Immunofluorescence (IF) Experiment Service
- 
                 Buffer Buffer
- 
                 DAB Chromogen Kit DAB Chromogen Kit
- 
                 SABC Kit SABC Kit
- 
                 Long-arm Biotin Labeling Kit Long-arm Biotin Labeling Kit
- 
                 Real Time PCR Experimental Service Real Time PCR Experimental Service
Citations
- Effects of Exposure to 1-Bromopropane on Astrocytes and Oligodendrocytes in Rat BrainPubmed: 23183024
- EFECTO PROTECTOR DEL TRATAMIENTO CON NEUROEPO SOBRE LA GLIA DE LA CORTEZA CEREBRAL EN RATONES TRANSGéNICOS CON LA ENFERMEDAD DE ALZHEIMER.Sld:Source
- Effect of memantine, a NMDA receptor blocker, on ethambutol-induced retinal injuryPubMed: 26704355
- IL-4 Inhibits IL-1β-Induced Depressive-Like Behavior and Central Neurotransmitter AlterationsPubMed: 26417153
- Protective Effect of Oral Hesperetin Against Unilateral Striatal 6-Hydroxydopamine Damage in the RatPubMed: 26700436
- Hypericum Perforatum Hydroalcoholic Extract Mitigates Motor Dysfunction and is Neuroprotective in Intrastriatal 6-Hydroxydopamine Rat Model of Parkinson’s DiseasePubMed: 26119304
- Relationship of orexin (hypocretin) system and astrocyte activation in Parkinson's disease with hypersomnolenceDoi: 10.1111
- Hypericum Perforatum Hydroalcoholic Extract Mitigates Motor Dysfunction and is Neuroprotective in Intrastriatal 6-Hydroxydopamine Rat Model of Parkinson’s DiseasePubmed:26119304
- Effect of memantine: A NMDA receptor blocker, on ethambutol-induced retinal injuryPubmed:26704355
- ESTROGENIC COMPONENTS FOR USE IN THE TREATMENT OF NEUROLOGICAL DISORDERSy2016:0101116.html
- Human plasma glial fibrillary acidic protein and heat shock protein 27 concentrations in acute moderate-intensity aerobic exercise with different durationa825e1e27b0221df9a627769c0f614432e92.pdf
- Comparison of GFAP and HSP27 concentrations in acute moderate-intensity aerobic exercise of different duration2031884
- Carnosine ameliorates cognitive deficits in streptozotocin-induced diabetic rats: Possible involved mechanisms.pubmed:27777064
- Garlic active constituent s-allyl cysteine protects against lipopolysaccharide-induced cognitive deficits in the rat: Possible involved mechanisms.pubmed:27915041
- Troxerutin exerts neuroprotection in 6-hydroxydopamine lesion rat model of Parkinson's disease: Possible involvement of PI3K/ERβ signaling.pubmed:28284752
- Acetyl-l-carnitine protects dopaminergic nigrostriatal pathway in 6-hydroxydopamine-induced model of Parkinson's disease in the rat.pubmed:28199883
- Estrogen receptors and estetrol-dependent neuroprotective actions: a pilot study.pubmed:27799463
- An Intranasal Formulation of Erythropoietin (Neuro-EPO) Prevents Memory Deficits and Amyloid Toxicity in the APPSwe Transgenic Mouse Model of Alzheimer's …articles:journal-of-alzheimers-disease
- Evaluierung von Biomarkern im Liquor cerebrospinalis bei paraplegischen Hunden mit Rückenmarksverletzung:
- Utilization of Glial Fibrillary Acidic Protein and Galectin-3 in the Diagnosis of Cerebral Infarction Patients with Normal Cranial Tomographypubmed:28406123
- Soy isoflavone genistein attenuates lipopolysaccharide-induced cognitive impairments in the rat via exerting anti-oxidative and anti-inflammatory effectspubmed:29102164
- Berberine ameliorates intrahippocampal kainate-induced status epilepticus and consequent epileptogenic process in the rat: Underlying mechanismspubmed:28061403
- The anti-aging protein klotho alleviates injury of nigrostriatal dopaminergic pathway in 6-hydroxydopamine rat model of Parkinson's disease: Involvement of PKA/CaMKII/CREB signaling.pubmed:29107062
- Acrolein-mediated neurotoxicity in growing Wistar male ratsPubmed:30033014
- Mechanisms of death in structurally normal stillbirthsPubmed: 30231013
- Berberine ameliorates lipopolysaccharide-induced learning and memory deficit in the rat: insights into underlying molecular mechanismsPubmed: 30456649
- Trigonelline protects hippocampus against intracerebral Aβ (1–40) as a model of Alzheimer's disease in the rat: insights into underlying mechanismsPubmed: 30421246
- INSTITUTO DE CIENCIAS BÁSICAS Y PRECLÍNICAS “VICTORIA DE GIRÓN” DEPARTAMENTO DE HISTOLOGÍA
- The Administration of the New Pyrimidine Derivative—4-{2-[2-(3, 4-Dimethoxyphenyl)-Vinyl]-6-Ethyl-4-Oxo-5-Phenyl-4H-Pyrimidine-1-Il} Benzsulfamide Restores the …
- Inhibition of Receptor for Advanced Glycation End Products as New Promising Strategy Treatment in Diabetic RetinopathyPubmed: 32165929
- Diosgenin Attenuates Cognitive Impairment in Streptozotocin-Induced Diabetic Rats: Underlying MechanismsPubmed: 32526752
- Intraoperative dexmedetomidine for prevention of postoperative delirium in elderly patients with mild cognitive impairmentPubmed: 28593326
- Quercetin mitigates monosodium glutamate-induced excitotoxicity of the spinal cord motoneurons in aged rats via p38 MAPK inhibitionPubmed: 32622428
- The Predictive Role of Neurobiochemical Markers in Multiple Sclerosis.
- Paeonol Protects Against Intrastriatal 6-Hydroxydopamine Rat Model of Parkinson's Disease33995926
- PHARMACOLOGICAL SCREENING OF A POTENTIALLY EFFECTIVE COMPOUND FOR THE TREATMENT OF CHRONIC TRAUMATIC ENCEPHALOPATHY?¡
- The bee venom active compound melittin protects against bicuculline-induced seizures and hippocampal astrocyte activation in rats34808488
- P2Y2 Receptor Mediated Neuronal Regeneration and Angiogenesis to Affect Functional Recovery in Rats with Spinal Cord InjuryPubmed:35154311

 
         
    
     
                 
                 
                                 
                                 
                                 
                             
                             
                             
                            