Polyclonal Antibody to Haptoglobin (Hpt)
HP; Hp2-Alpha; Alpha-2-Macroglobulin; Zonulin
Overview
Properties
- Product No.PAA817Po01
- Organism SpeciesSus scrofa; Porcine (Pig) Same name, Different species.
- ApplicationsWB; IHC
If the antibody is used in flow cytometry, please check FCM antibodies.
Research use only - DownloadInstruction Manual
- CategoryInfection immunityHematology
- SourcePolyclonal antibody preparation, Host Rabbit
- Ig Type IgG, Potency n/a
- PurificationAntigen-specific affinity chromatography followed by Protein A affinity chromatography
- LabelNone
- Immunogen RPA817Po01-Recombinant Haptoglobin (Hpt)
- Buffer FormulationPBS, pH7.4, containing 0.02% NaN3, 50% glycerol.
- TraitsLiquid, Concentration 0.32mg/mL
Sign into your account
Share a new citation as an author
Upload your experimental result
Review

Contact us
Please fill in the blank.
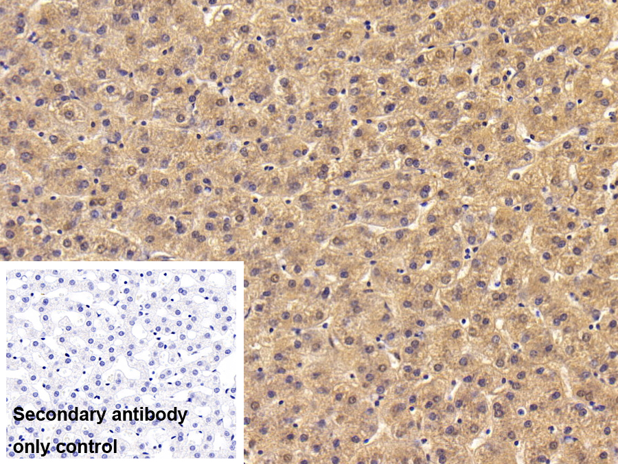
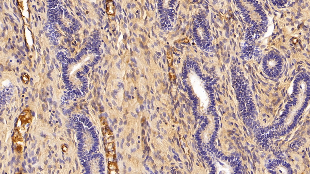
Specifity
The antibody is a rabbit polyclonal antibody raised against Hpt. It has been selected for its ability to recognize Hpt in immunohistochemical staining and western blotting.
Usage
Western blotting: 0.01-2µg/mL;
Immunohistochemistry: 5-20µg/mL;
Immunocytochemistry: 5-20µg/mL;
Optimal working dilutions must be determined by end user.
Storage
Store at 4°C for frequent use. Stored at -20°C in a manual defrost freezer for two year without detectable loss of activity. Avoid repeated freeze-thaw cycles.
Stability
The thermal stability is described by the loss rate. The loss rate was determined by accelerated thermal degradation test, that is, incubate the protein at 37°C for 48h, and no obvious degradation and precipitation were observed. The loss rate is less than 5% within the expiration date under appropriate storage condition.
Organism Species More: Homo sapiens (Human)Giveaways
Increment services
-
Antibody Labeling Customized Service
-
Protein A/G Purification Column
-
Staining Solution for Cells and Tissue
-
Positive Control for Antibody
-
Tissue/Sections Customized Service
-
Phosphorylated Antibody Customized Service
-
Western Blot (WB) Experiment Service
-
Immunohistochemistry (IHC) Experiment Service
-
Immunocytochemistry (ICC) Experiment Service
-
Flow Cytometry (FCM) Experiment Service
-
Immunoprecipitation (IP) Experiment Service
-
Immunofluorescence (IF) Experiment Service
-
Buffer
-
DAB Chromogen Kit
-
SABC Kit
-
Long-arm Biotin Labeling Kit
-
Real Time PCR Experimental Service
Citations
- Circulation levels of acute phase proteins in patients with Takayasu arteritisPubMed: 20100644
- Quantitative trait loci mapping of the mouse plasma proteome (pQTL).NCBI: PMC3567747
- Docosahexaenoic and eicosapentaenoic acid supplementation does not exacerbate oxidative stress or intravascular haemolysis in homozygous sickle cell patients.Pubmed: 24095588
- Gut Microbial Dysbiosis May Predict Diarrhea and Fatigue in Patients Undergoing Pelvic Cancer Radiotherapy: A Pilot StudyPubMed: 25955845
- Application of a new procedure for liquid chromatography/mass spectrometry profiling of plasma amino acid-related metabolites and untargeted shotgun proteomics to identify mechanisms and biomarkers of calcific aortic stenosisS0021967317311858
- High complement levels in astrocyte‐derived exosomes of Alzheimer diseasePubmed:29406582
- Effects of Hippophae rhamnoides L. Leaf and Marc Extract with Reduced Tannin Concentration on the Health and Growth Parameters of Newborn Calves
- Using ruminally protected and nonprotected active dried yeast as alternatives to antibiotics in finishing beef steers: growth performance, carcass traits, blood …Pubmed: 30184125
- Urinary Proteomics for the Early Diagnosis of Diabetic Nephropathy in Taiwanese PatientsPubmed: 30486327
- Generation of Pigs Resistant to Highly Pathogenic-Porcine Reproductive and Respiratory Syndrome Virus through Gene Editing of CD163
- Prolyl endopeptidase-degraded low immunoreactive wheat flour attenuates immune responses in Caco-2 intestinal cells and gluten-sensitized BALB/c micePubmed: 31082461
- Ruminally protected and unprotected Saccharomyces cerevisiae fermentation products as alternatives to antibiotics in finishing beef steersPubmed: 31410465
- Deletion of CD163 Exon 7 Confers Resistance to Highly Pathogenic Porcine Reproductive and Respiratory Viruses on Pigs
- Intestinal permeability and small intestine bacterial overgrowth in excess weight adolescentsPubmed: 33089672
- Processing Index of Barley Grain and Dietary Undigested Neutral Detergent Fiber Concentration Affected Chewing Behavior, Ruminal pH and Total Tract Nutrient?¡33474564
- Influence of niacin application on inflammatory parameters, non-esterified fatty acids and functional status of liver in cows during early lactation
- Could serum zonulin be an intestinal permeability marker in diabetes kidney disease?34170951
- The Effect of Feed Supplementation with EM Bokashi® Multimicrobial Probiotic Preparation on Selected Parameters of Sow Colostrum and Milk as Indicators …34596883
