Polyclonal Antibody to Interleukin 12A (IL12A)
p35; IL12-A; CLMF1; NFSK; NKSF1; Natural Killer Cell Stimulatory Factor 1; Cytotoxic Lymphocyte Maturation Factor 1; NF Cell Stimulatory Factor Chain 1
Overview
Properties
- Product No.PAA059Ra01
- Organism SpeciesRattus norvegicus (Rat) Same name, Different species.
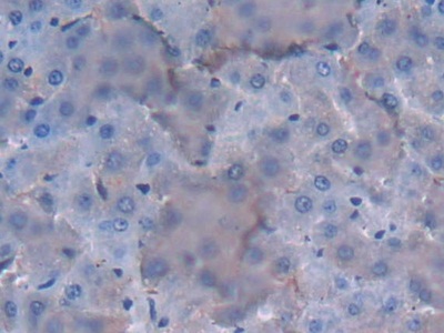
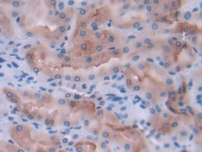
- ApplicationsIHC; ICC/IF
If the antibody is used in flow cytometry, please check FCM antibodies.
Research use only - DownloadInstruction Manual
- CategoryCytokineInfection immunity
- SourcePolyclonal antibody preparation, Host Rabbit
- Ig Type IgG, Potency n/a
- PurificationAntigen-specific affinity chromatography followed by Protein A affinity chromatography
- LabelNone
- Immunogen RPA059Ra01-Recombinant Interleukin 12A (IL12A)
- Buffer Formulation0.01M PBS, pH7.4, containing 0.05% Proclin-300, 50% glycerol.
- TraitsLiquid, Concentration 500µg/mL
Sign into your account
Share a new citation as an author
Upload your experimental result
Review

Contact us
Please fill in the blank.
Specifity
The antibody is a rabbit polyclonal antibody raised against IL12A. It has been selected for its ability to recognize IL12A in immunohistochemical staining and western blotting.
Usage
Western blotting: 0.5-2µg/mL
Immunohistochemistry: 5-20µg/mL
Immunocytochemistry: 5-20µg/mL
Optimal working dilutions must be determined by end user.
Storage
Store at 4°C for frequent use. Stored at -20°C in a manual defrost freezer for two year without detectable loss of activity. Avoid repeated freeze-thaw cycles.
Stability
The thermal stability is described by the loss rate. The loss rate was determined by accelerated thermal degradation test, that is, incubate the protein at 37°C for 48h, and no obvious degradation and precipitation were observed. The loss rate is less than 5% within the expiration date under appropriate storage condition.
Organism Species More: Mus musculus (Mouse)Giveaways
Increment services
-
Antibody Labeling Customized Service
-
Protein A/G Purification Column
-
Staining Solution for Cells and Tissue
-
Positive Control for Antibody
-
Tissue/Sections Customized Service
-
Phosphorylated Antibody Customized Service
-
Western Blot (WB) Experiment Service
-
Immunohistochemistry (IHC) Experiment Service
-
Immunocytochemistry (ICC) Experiment Service
-
Flow Cytometry (FCM) Experiment Service
-
Immunoprecipitation (IP) Experiment Service
-
Immunofluorescence (IF) Experiment Service
-
Buffer
-
DAB Chromogen Kit
-
SABC Kit
-
Long-arm Biotin Labeling Kit
-
Real Time PCR Experimental Service
Citations
- Evaluation of serum concentrations of interleukin (IL)-4, IL-10, and IL-12 during pregnancy in bitchesScienceDirect: S0093691X1300037X
- Establishment and evaluation of a bead-based luminex assay allowing simultaneous quantification of equine IL-12 and IFN-γ.Pubmed: 23564769
- Impact of purified oat 1-3,1-4-b-d-glucan of different molecular weight on alleviation of inflammation parameters during gastritis:
- Impact of purified oat 1-3, 1-4-β-d-glucan of different molecular weight on alleviation of inflammation parameters during gastritisS1756464616303528
- Beneficial impact of cathelicidin on hypersensitivity pneumonitis treatment¡ªIn vivo studies33999928
