Polyclonal Antibody to Cytokeratin 13 (CK13)
KRT13; Keratin 13
Overview
Properties
- Product No.PAB875Hu01
- Organism SpeciesHomo sapiens (Human) Same name, Different species.
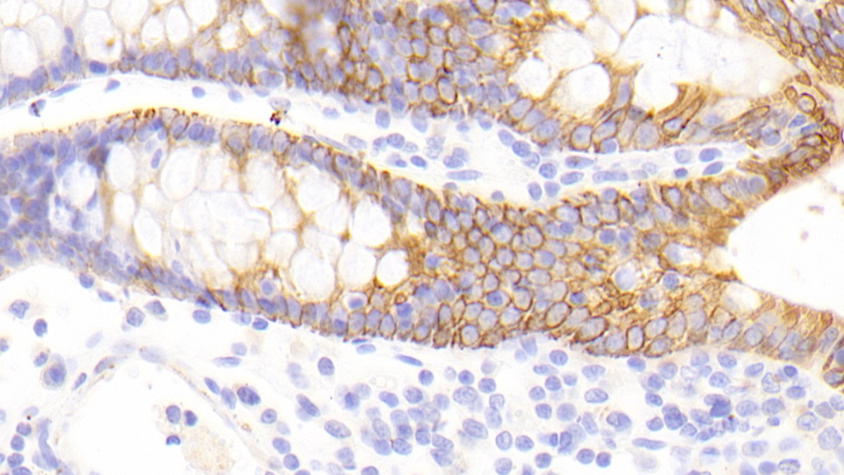
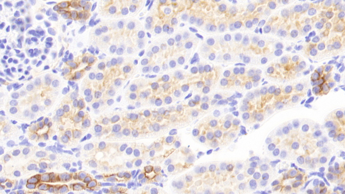
- ApplicationsIHC
If the antibody is used in flow cytometry, please check FCM antibodies.
Research use only - DownloadInstruction Manual
- CategoryTumor immunityInfection immunityDermatology
- SourcePolyclonal antibody preparation, Host Rabbit
- Ig Type IgG, Potency n/a
- PurificationAntigen-specific affinity chromatography followed by Protein A affinity chromatography
- LabelNone
- Immunogen RPB875Hu01-Recombinant Cytokeratin 13 (CK13)
- Buffer FormulationPBS, pH7.4, containing 0.02% NaN3, 50% glycerol.
- TraitsLiquid, Concentration 500µg/mL
Sign into your account
Share a new citation as an author
Upload your experimental result
Review

Contact us
Please fill in the blank.
Specifity
The antibody is a rabbit polyclonal antibody raised against CK13. It has been selected for its ability to recognize CK13 in immunohistochemical staining and western blotting.
Usage
Western blotting: 0.5-5µg/mL;
Immunohistochemistry: 5-50µg/mL;
Immunocytochemistry: 5-50µg/mL;
Optimal working dilutions must be determined by end user.
Storage
Store at 4°C for frequent use. Stored at -20°C in a manual defrost freezer for two year without detectable loss of activity. Avoid repeated freeze-thaw cycles.
Stability
The thermal stability is described by the loss rate. The loss rate was determined by accelerated thermal degradation test, that is, incubate the protein at 37°C for 48h, and no obvious degradation and precipitation were observed. The loss rate is less than 5% within the expiration date under appropriate storage condition.
Giveaways
Increment services
-
Antibody Labeling Customized Service
-
Protein A/G Purification Column
-
Staining Solution for Cells and Tissue
-
Positive Control for Antibody
-
Tissue/Sections Customized Service
-
Phosphorylated Antibody Customized Service
-
Western Blot (WB) Experiment Service
-
Immunohistochemistry (IHC) Experiment Service
-
Immunocytochemistry (ICC) Experiment Service
-
Flow Cytometry (FCM) Experiment Service
-
Immunoprecipitation (IP) Experiment Service
-
Immunofluorescence (IF) Experiment Service
-
Buffer
-
DAB Chromogen Kit
-
SABC Kit
-
Long-arm Biotin Labeling Kit
-
Real Time PCR Experimental Service
