Polyclonal Antibody to Cytokeratin 7 (CK7)    
    
KRT7; K2C7; K7; SCL; Keratin 7; Sarcolectin; Keratin,55K Type II Cytoskeletal; Keratin, type II cytoskeletal 7
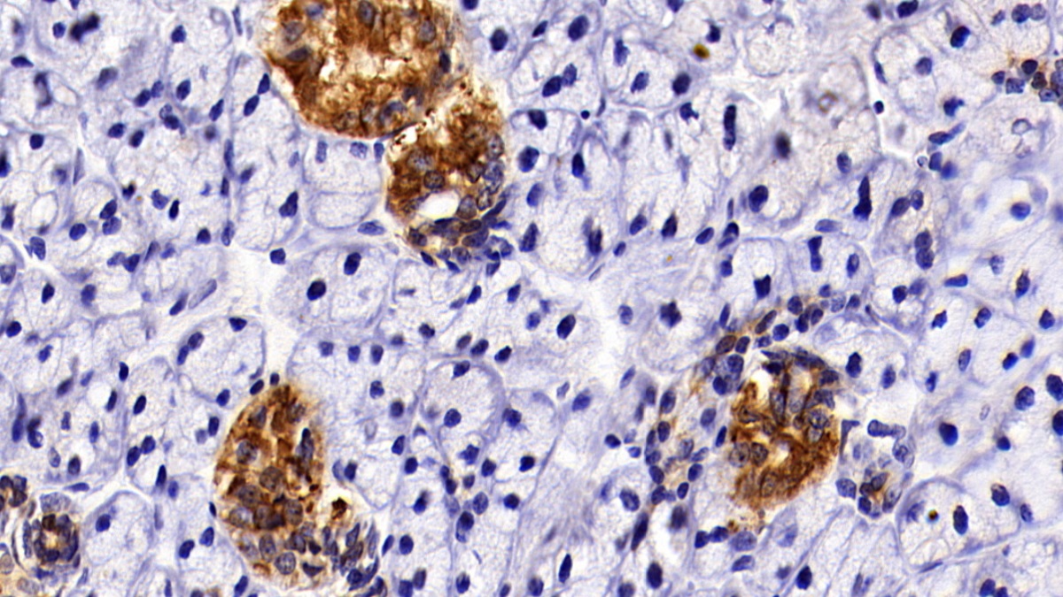
Overview
Properties
- Product No.PAA556Hu01
 - Organism SpeciesHomo sapiens (Human) Same name, Different species.
 - ApplicationsWB; IHC; ICC/IF; FCM
If the antibody is used in flow cytometry, please check FCM antibodies.
Research use only - DownloadInstruction Manual
 - CategoryTumor immunityInfection immunityDevelopmental science
 
- SourcePolyclonal antibody preparation, Host Rabbit
 - Ig Type IgG, Potency n/a
 - PurificationAntigen-specific affinity chromatography followed by Protein A affinity chromatography
 - LabelNone
 - Immunogen RPA556Hu01-Recombinant Cytokeratin 7 (CK7)
 - Buffer Formulation0.01M PBS, pH7.4, containing 0.05% Proclin-300, 50% glycerol.
 - TraitsLiquid, Concentration 1mg/ml
 
Sign into your account
Share a new citation as an author
Upload your experimental result
Review

Contact us
Please fill in the blank.
Specifity
The antibody is a rabbit polyclonal antibody raised against CK7. It has been selected for its ability to recognize CK7 in immunohistochemical staining and western blotting.
Usage
            Western blotting: 0.2-2μg/mL;
Immunohistochemistry: 5-20μg/mL;
Immunofluorescence:5-20μg/mL;
Flow cytometry:20μg/ml;
Optimal working dilutions must be determined by end user.
        
Storage
Store at 4°C for frequent use. Stored at -20°C in a manual defrost freezer for two year without detectable loss of activity. Avoid repeated freeze-thaw cycles.
Stability
The thermal stability is described by the loss rate. The loss rate was determined by accelerated thermal degradation test, that is, incubate the protein at 37°C for 48h, and no obvious degradation and precipitation were observed. The loss rate is less than 5% within the expiration date under appropriate storage condition.
Organism Species More: Rattus norvegicus (Rat)Giveaways
Increment services
- 
                
                    Antibody Labeling Customized Service
                                 - 
                
                    Protein A/G Purification Column
                                 - 
                
                    Staining Solution for Cells and Tissue
                                 - 
                
                    Positive Control  for Antibody
                                 - 
                
                    Tissue/Sections Customized Service
                                 - 
                
                    Phosphorylated Antibody Customized Service
                                 - 
                
                    Western Blot (WB) Experiment Service
                                 - 
                
                    Immunohistochemistry (IHC) Experiment Service
                                 - 
                
                    Immunocytochemistry (ICC) Experiment Service
                                 - 
                
                    Flow Cytometry (FCM) Experiment Service
                                 - 
                
                    Immunoprecipitation (IP) Experiment Service
                                 - 
                
                    Immunofluorescence (IF) Experiment Service
                                 - 
                
                    Buffer
                                 - 
                
                    DAB Chromogen Kit
                                 - 
                
                    SABC Kit
                                 - 
                
                    Long-arm Biotin Labeling Kit
                                 - 
                
                    Real Time PCR Experimental Service
                                 
