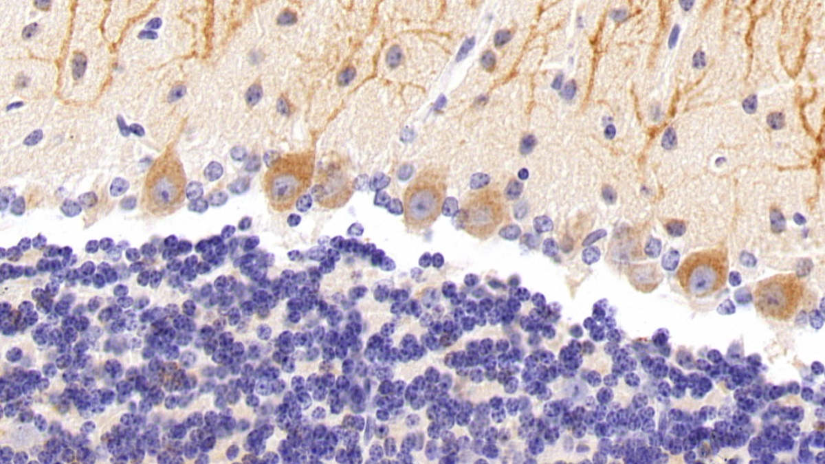
Polyclonal Antibody to Nitric Oxide Synthase 1, Neuronal (NOS1)     
     
NOS; nNOS; IHPS1; NC-NOS; N-NOS; bNOS; Neuronal NOS; Constitutive NOS; NOS type I; Nitric Ocide Synthase; Peptidyl-cysteine S-nitrosylase NOS1
Overview
Properties
- Product No.PAA815Mu01
- Organism SpeciesMus musculus (Mouse) Same name, Different species.
- ApplicationsWB; IHC
 If the antibody is used in flow cytometry, please check FCM antibodies.
 Research use only
- DownloadInstruction Manual
- CategorySignal transductionEnzyme & KinaseMetabolic pathwayNeuro science
- SourcePolyclonal antibody preparation, Host Rabbit
- Ig Type IgG, Potency n/a
- PurificationAntigen-specific affinity chromatography followed by Protein A affinity chromatography
- LabelNone
- Immunogen RPA815Mu01-Recombinant Nitric Oxide Synthase 1, Neuronal (NOS1)
- Buffer Formulation0.01M PBS, pH7.4, containing 0.05% Proclin-300, 50% glycerol.
- TraitsLiquid, Concentration 0.45mg/mL
Sign into your account
Share a new citation as an author
Upload your experimental result
Review

Contact us
Please fill in the blank.
Specifity
The antibody is a rabbit polyclonal antibody raised against NOS1. It has been selected for its ability to recognize NOS1 in immunohistochemical staining and western blotting.
Usage
            Western blotting: 0.01-2µg/mL
Immunohistochemistry: 5-20µg/mL
Immunocytochemistry: 5-20µg/mL
Optimal working dilutions must be determined by end user.        
Storage
Store at 4°C for frequent use. Stored at -20°C in a manual defrost freezer for two year without detectable loss of activity. Avoid repeated freeze-thaw cycles.
Stability
The thermal stability is described by the loss rate. The loss rate was determined by accelerated thermal degradation test, that is, incubate the protein at 37°C for 48h, and no obvious degradation and precipitation were observed. The loss rate is less than 5% within the expiration date under appropriate storage condition.
Giveaways
Increment services
- 
                 Antibody Labeling Customized Service Antibody Labeling Customized Service
- 
                 Protein A/G Purification Column Protein A/G Purification Column
- 
                 Staining Solution for Cells and Tissue Staining Solution for Cells and Tissue
- 
                 Positive Control  for Antibody Positive Control  for Antibody
- 
                 Tissue/Sections Customized Service Tissue/Sections Customized Service
- 
                 Phosphorylated Antibody Customized Service Phosphorylated Antibody Customized Service
- 
                 Western Blot (WB) Experiment Service Western Blot (WB) Experiment Service
- 
                 Immunohistochemistry (IHC) Experiment Service Immunohistochemistry (IHC) Experiment Service
- 
                 Immunocytochemistry (ICC) Experiment Service Immunocytochemistry (ICC) Experiment Service
- 
                 Flow Cytometry (FCM) Experiment Service Flow Cytometry (FCM) Experiment Service
- 
                 Immunoprecipitation (IP) Experiment Service Immunoprecipitation (IP) Experiment Service
- 
                 Immunofluorescence (IF) Experiment Service Immunofluorescence (IF) Experiment Service
- 
                 Buffer Buffer
- 
                 DAB Chromogen Kit DAB Chromogen Kit
- 
                 SABC Kit SABC Kit
- 
                 Long-arm Biotin Labeling Kit Long-arm Biotin Labeling Kit
- 
                 Real Time PCR Experimental Service Real Time PCR Experimental Service
Citations
- A Novel Mechanism of Formaldehyde Neurotoxicity: Inhibition of Hydrogen Sulfide Generation by Promoting Overproduction of Nitric OxidePubMed: 23359814
- The interplay among iron metabolism, endothelium and inflammatory cascade in dysmetabolic disordersPubmed:25245337
- Состояние эндотелиально-сосудистого фактора у беременных с артериальной гипертензиейhandle:123
- Clinical antibacterial effectiveness and biocompatibility of gaseous ozone after incomplete caries removalPubmed:29858659
- Antioxydant and Endotheliotropic Properties 4-Hydroxy-3, 5-Di-Tret-Butyl Cinnamic Acid under Conditions of Experimental Brain Ischemia:
- Tadalafil Preserves Penile Nitric Oxide Synthase from Detrimental Effect of Paroxetine in RatsDoi: 10.5152/eurasianjmed.2018.18160
- The Role of Reactive Oxygen Species and Nitric Oxide in the Inhibition of Trichophyton rubrum Growth by HaCaT CellsPubmed: 32104540
- Mandibular lateral deviation induces alteration in vascular endothelial growth factor expression and oxidative stress/nitric oxide generation in rat condyle, synovial …Pubmed: 31734543
- Protective Effects of Rocuronium Bromide on Ischemia-Reperfusion Injury in Skeletal Muscle Induced by Tourniquet in Patients Undergoing Elective Unilateral Total …Pubmed: 32884241
- Evaluation of salivary and serum methylated arginine metabolites and nitric oxide synthase in advanced periodontitis patientsPubmed:35426000

 
         
    
     
                 
                 
                                 
                                 
                                 
                                 
                                 
                                 
                             
                            