Polyclonal Antibody to Paraoxonase 1 (PON1)
ESA; PON; Esterase A; Serum paraoxonase/arylesterase 1; Aromatic esterase 1; A-esterase 1; Serum aryldialkylphosphatase 1
Overview
Properties
- Product No.PAA243Ra01
- Organism SpeciesRattus norvegicus (Rat) Same name, Different species.
- ApplicationsWB; IHC
If the antibody is used in flow cytometry, please check FCM antibodies.
Research use only - DownloadInstruction Manual
- CategoryMetabolic pathwayEndocrinology
- SourcePolyclonal antibody preparation, Host Rabbit
- Ig Type IgG, Potency n/a
- PurificationAntigen-specific affinity chromatography followed by Protein A affinity chromatography
- LabelNone
- Immunogen RPA243Ra01-Recombinant Paraoxonase 1 (PON1)
- Buffer FormulationPBS, pH7.4, containing 0.02% NaN3, 50% glycerol.
- TraitsLiquid, Concentration 0.5mg/mL
Sign into your account
Share a new citation as an author
Upload your experimental result
Review

Contact us
Please fill in the blank.
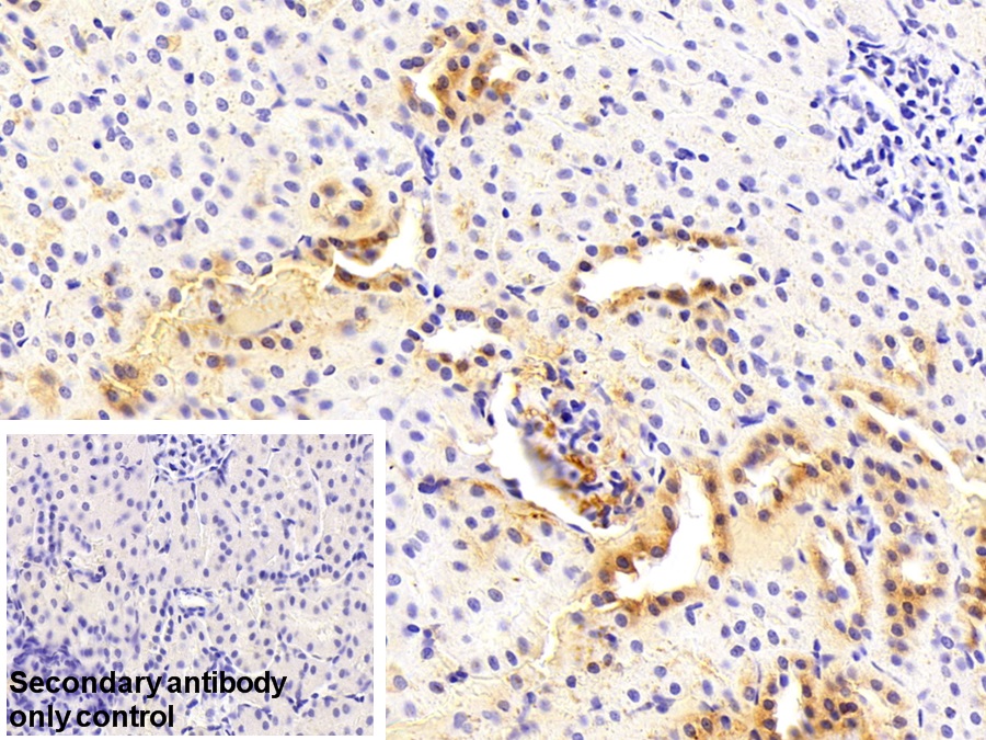
Specifity
The antibody is a rabbit polyclonal antibody raised against PON1. It has been selected for its ability to recognize PON1 in immunohistochemical staining and western blotting.
Usage
Western blotting: 0.01-2µg/mL;
Immunohistochemistry: 5-20µg/mL;
Immunocytochemistry: 5-20µg/mL;
Optimal working dilutions must be determined by end user.
Storage
Store at 4°C for frequent use. Stored at -20°C in a manual defrost freezer for two year without detectable loss of activity. Avoid repeated freeze-thaw cycles.
Stability
The thermal stability is described by the loss rate. The loss rate was determined by accelerated thermal degradation test, that is, incubate the protein at 37°C for 48h, and no obvious degradation and precipitation were observed. The loss rate is less than 5% within the expiration date under appropriate storage condition.
Giveaways
Increment services
-
Antibody Labeling Customized Service
-
Protein A/G Purification Column
-
Staining Solution for Cells and Tissue
-
Positive Control for Antibody
-
Tissue/Sections Customized Service
-
Phosphorylated Antibody Customized Service
-
Western Blot (WB) Experiment Service
-
Immunohistochemistry (IHC) Experiment Service
-
Immunocytochemistry (ICC) Experiment Service
-
Flow Cytometry (FCM) Experiment Service
-
Immunoprecipitation (IP) Experiment Service
-
Immunofluorescence (IF) Experiment Service
-
Buffer
-
DAB Chromogen Kit
-
SABC Kit
-
Long-arm Biotin Labeling Kit
-
Real Time PCR Experimental Service
Citations
- Fatty Liver Is Associated with Recurrent Bacterial Infections Independent of Metabolic SyndromePubMed: 20205513
- Persistent elevation of paraoxonase-1 specific enzyme activity after weight reduction in obese non-diabetic men with metabolic syndromePubMed: 21704607
- Combined Serum Proteomic and Metabonomic Profiling After Laparoscopic Sleeve Gastrectomy in Children and AdolescentsWiley: source
- High density lipoprotein structural changes and drug response in lipidomic profiles following the long-term fenofibrate therapy in the FIELD substudyPubMed: 21887280
- Macrophage cholesterol efflux to plasma and HDL in subjects with low and high homocysteine levels: a FIELD substudyPubMed: 21696738
- Beneficial effects of omega-3 fatty acids in the proteome of high-density lipoprotein proteomePubMed: PMC3480889
- Extra-virgin olive oil consumption reduces the age-related decrease in HDL and paraoxonase 1 anti-inflammatory activitiesPubmed: 23510814
- Paraoxonase 1: A better atherosclerotic risk predictor than HDL in type 2 diabetes mellitusPubmed: 23680251
- Paraoxonase responses to exercise and niacin therapy in men with metabolic syndromePubmed:25180827
- Influence of α-tocopherol and α-lipoic acid on bisphenol-A-induced oxidative damage in liver and ovarian tissue of ratsPubmed:25548375
- A single session of aerobic exercise influences paraoxonase 1 activity and concentrationArticulo: 345738764042
- Plasma Protein Biomarkers of Hepatocellular Carcinoma in HCV-Infected Alcoholic Patients with CirrhosisPubMed: 25789864
- Association of lipid profile with serum PON1 concentration in patients with chronic kidney diseasePubmed:26888625
- The Role of PON-1, GR, IL-18, and oxLDL in Depression With and Without Posttraumatic Stress Disorderscience:article
- Association of paraoxonase 1 (PON1) gene polymorphisms and concentration with essential hypertensionpubmed:27668323
- Paraoxonase-1 is a better indicator than HDL of Atherosclerosis-A pilot Study in North Indian populationpubmed:29254890
- A Case-control Study: The Association of Serum Paraoxonase 1 Activity and Concentration with the Development of Type 2 Diabetes Mellituspubmed:29156090
- Application of a new procedure for liquid chromatography/mass spectrometry profiling of plasma amino acid-related metabolites and untargeted shotgun proteomics to identify mechanisms and biomarkers of calcific aortic stenosisS0021967317311858
- The role of PON-1, GR, IL-18, and OxLDL in depression with and without posttraumatic stress disorder.pubmed:28623707
- Palm Wine and Orijin Bitters Severed Hyperlipidemia and Immunomodulatory Responses in Atherogenic-diet Fed Male Wistar RatsISSN: 2381-7224
- Individuals with autism have higher 8-Iso-PGF2α levels than controls, but no correlation with quantitative assay of Paraoxonase 1 serum levelspubmed:28808839
- Serum Endocan Levels are Associated With Paraoxonase 1 Concentration in Patients With Chronic Kidney DiseasePubmed:29368426
- Effect of Aqueous Extract of Glycyrrhiza glabra on the Biochemical Changes Induced by Cadmium Chloride in RatsPubmed: 30251228
- Identification a novel clinical biomarker in early diagnosis of human non-small cell lung cancerPubmed: 30607521
- Differentially expressed plasma proteins of β-thalassemia/hemoglobin E patients in response to curcuminoids/vitamin E antioxidant cocktailsPubmed: 30661467
- Comparative proteomics analysis of serum proteins in gestational diabetes during early and middle stages of pregnancyPubmed: 31162828
- Toxicity assessment due to prenatal and lactational exposure to lead, cadmium and mercury mixturesPubmed: 31639605
- Phenotypes and concentration of PON1 in cardiovascular disease: the role of nutrient intakePubmed: 31757567
- Estimating renal and hepatic clearance rates of organophosphate esters in humans: Impacts of intrinsic metabolism and binding affinity with plasma proteinsPubmed: 31783242
- The HDL from septic-ARDS patients with composition changes exacerbates pulmonary endothelial dysfunction and acute lung injury induced by cecal ligation …Pubmed: 33148285
- PON-1 haplotype (-108C> T, L55M, and Q192R) modulates the serum levels and activity PONase promoting an atherogenic lipid profile in rheumatoid arthritis patientsPubmed: 32556934
- The adverse alterations of HDL in quality promote septic ARDS via exacerbated pulmonary endothelial dysfunction
- Multi-omic signatures of atherogenic dyslipidaemia: pre-clinical target identification and validation in humans33407555
- Vitamin D status and systemic redox biomarkers in adults with obesity30973911
- Repetitions of Strenuous Exercise Consistently Increase Paraoxonase 1 Concentration and Activity in Plasma of Average-Trained Men34917230
