Polyclonal Antibody to Leptin (LEP)
OB; OBS; Obesity Homolog; Obesity Factor; Obese Protein
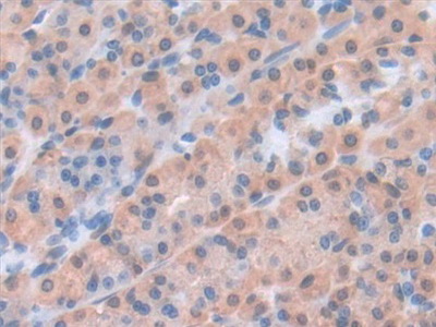
Overview
Properties
- Product No.PAA084Ra01
- Organism SpeciesRattus norvegicus (Rat) Same name, Different species.
- ApplicationsWB; IHC
If the antibody is used in flow cytometry, please check FCM antibodies.
Research use only - DownloadInstruction Manual
- CategoryMetabolic pathwayEndocrinologyCardiovascular biology
- SourcePolyclonal antibody preparation, Host Rabbit
- Ig Type IgG, Potency n/a
- PurificationAntigen-specific affinity chromatography followed by Protein A affinity chromatography
- LabelNone
- Immunogen RPA084Ra01-Recombinant Leptin (LEP)
- Buffer Formulation0.01M PBS, pH7.4, containing 0.05% Proclin-300, 50% glycerol.
- TraitsLiquid, Concentration 0.5mg/mL
Sign into your account
Share a new citation as an author
Upload your experimental result
Review

Contact us
Please fill in the blank.
Specifity
The antibody is a rabbit polyclonal antibody raised against LEP. It has been selected for its ability to recognize LEP in immunohistochemical staining and western blotting.
Usage
Western blotting: 0.01-2µg/mL
Immunohistochemistry: 5-20µg/mL
Immunocytochemistry: 5-20µg/mL
Optimal working dilutions must be determined by end user.
Storage
Store at 4°C for frequent use. Stored at -20°C in a manual defrost freezer for two year without detectable loss of activity. Avoid repeated freeze-thaw cycles.
Stability
The thermal stability is described by the loss rate. The loss rate was determined by accelerated thermal degradation test, that is, incubate the protein at 37°C for 48h, and no obvious degradation and precipitation were observed. The loss rate is less than 5% within the expiration date under appropriate storage condition.
Organism Species More: Mus musculus (Mouse)Giveaways
Increment services
-
Antibody Labeling Customized Service
-
Protein A/G Purification Column
-
Staining Solution for Cells and Tissue
-
Positive Control for Antibody
-
Tissue/Sections Customized Service
-
Phosphorylated Antibody Customized Service
-
Western Blot (WB) Experiment Service
-
Immunohistochemistry (IHC) Experiment Service
-
Immunocytochemistry (ICC) Experiment Service
-
Flow Cytometry (FCM) Experiment Service
-
Immunoprecipitation (IP) Experiment Service
-
Immunofluorescence (IF) Experiment Service
-
Buffer
-
DAB Chromogen Kit
-
SABC Kit
-
Long-arm Biotin Labeling Kit
-
Real Time PCR Experimental Service
Citations
- Puerarin improves insulin resistance and modulates adipokine expression in rats fed a high-fat dietPubMed: 20869961
- Effect of Argyreia speciosa root extract on cafeteria diet-induced obesity in ratsIjp: source
- Testosterone protects from metabolic syndrome-associated prostate inflammation: an experimental study in rabbitPubMed: 22010203
- Multi-Functional Roles of Chitosan as a Potential Protective Agent against ObesityPubMed: 23342013
- Soy isoflavones modulate adipokines and myokines to regulate lipid metabolism in adipose tissue, skeletal muscle and liver of male Huanjiang mini-pigsScienceDirect: S0303720712004194
- Ovarian, metabolic and endocrine indexes in dairy cows with different body condition scoresIfzz: Source
- n-6: n-3 PUFA ratio is involved in regulating lipid metabolism and inflammation in pigsPubmed: 23947577
- Maternal high folic acid supplement promotes glucose intolerance and insulin resistance in male mouse offspring fed a high-fat diet.Pubmed: 24736781
- CTRP3 modulates the expression and secretion of adipokines in 3T3-L1 adipocytesPubmed:25168658
- EFFECT OF LEPTIN GENE ON SERUM LEPTIN CONCENTRATION AND BEEF QUALITY IN CZECH FLECKVIEH BULLSMendelu:Source
- Tinospora crispa Ameliorates Insulin Resistance Induced by High Fat Diet in Wistar RatsPubmed:Pmc4363645
- Oxytocin reverse ovariectomy-induced Osteoper and body fat gainPubmed:24506069
- Maternal high-fat diet feeding during pregnancy and lactation augments lung inflammation and remodeling in the offspringPubmed:25500158
- Hepatic steatosis depresses alpha-1-antitrypsin levels in human and rat acute pancreatitisPubMed: 26634430
- Tinospora crispaPubMed: 25821506
- Effects of breeder age and early energy restriction on fattening performance, some meat quality traits and plasma leptin concentration of broilersDergiler: 11
- Comparative measurements of the morphometric pattern and energy profile of Crioula mares in the final third of gestation, with different body condition scoresScielo: S0102-09352015000300707
- Pancreatic Exocrine Insufficiency Affects Not Only Digestibility of Nutrients and Growth, but Also Body Composition and Endocrinological Parameters – Study on Piglets Used As a Model for Children Journals: 2165-7092-%20S5-00
- Effect of extended photoperiod during winter on growth and onset of puberty in Murrah buffalo heifersPubmed:27051212
- Anterior pituitary influence on adipokine expression and secretion by porcine adipocytes.Pubmed:27074715
- Comparison of the effect of a standard inclusion level of inorganic zinc to organic form at lowered level on bone development in growing male Ross broiler chickens journalprintahead:87
- Comparison of the Effect of a Standard Inclusion Level of Inorganic Zinc to Organic Form at Lowered Level on Bone Development in Growing Male Ross Broiler Chickensview:87
- Changes on Adipose Tissue Distribution After Laparoscopic Roux-en-Y Gastric Bypass in Obese Göttingen Minipig. Effects on Glucose Metabolism.Pubmed:27185175
- Favorable outcomes of hydroxychloroquine in insulin resistance may be accomplished by adjustment of the endothelial dysfunction as well as the skewed balance of adipokinesscience:S0065128116301234
- Nanosized titanium dioxide resulted in the activation of TGF-β/Smads/p38MAPK pathway in renal inflammation and fibration of micePubmed:26850371
- The bromodomain inhibitor N-methyl pyrrolidone reduced fat accumulation in an ovariectomized rat modelPubmed:27110299
- Oral Supplementation with a Special Additive of Retinyl Palmitate and Alpha Tocopherol Reduces Growth Retardation in Young Pancreatic Duct Ligated Pigs Used as a Model for Children Suffering from Exocrine Pancreatic Insufficiencypubmed:27690005
- Changes in small intestinal morphometry and electrogenic nutrient transport in young pigs with pancreatic exocrine insufficiencypublications:jas
- The Changes of Serum Leptin and Kisspeptin Levels in Chinese Children and Adolescents in Different Pubertal Stagespubmed:27990162
- The effect of GnRH vaccination on performance, carcass, and meat quality and hormonal regulation in boars, barrows, and gilts.pubmed:27482668
- Diet-induced modifications to milk composition have long-term effects on offspring growth in rabbits.pubmed:28380600
- Four-Week Consumption of Malaysian Honey Reduces Excess Weight Gainand Improves Obesity-Related Parameters in High Fat Diet Induced ObeseRats.pubmed:28246535
- Dietary Niacin Supplementation Suppressed Hepatic Lipid Accumulation in Rabbitspubmed:27004817
- Serial changes in the proliferation and differentiation of adipose-derived stem cells after ionizingradiation.pubmed:27530249
- Changes on Adipose Tissue Distribution After Laparoscopic Roux-en-Y Gastric Bypass in ObeseGöttingen Minipig. Effects on Glucose Metabolism.pubmed:27185175
- Estimation of the intramuscular fat content of m. longissimus thoracis in crossbred beef cattle based on live animal measurements.pubmed:27940421
- Correlation of Leptin, Insulin and Glucose During Late Gestation and Early Lactation in Murrah Buffaloes7086
- Effects Of Maca (Lepıdıum Meyenıı Walp) Powder On Serum Indıces And Metabolıc Responses In Racehorses57cf073008ae83b37462323a.pdf
- Effect of Dietary Phytase Supplementation on Bone and Hyaline Cartilage Development of Broilers Fed with Organically Complexed Copper in a Cu-Deficient Dietarticle:10.1007
- Effect of Zinc Level and Source (Zinc Oxide Vs. Zinc Glycine) on Bone Mechanical and Geometric Parameters, and Histomorphology in Male Ross 308 Broiler Chicken10.159:1806-9061-2016-0285
- Evaluating measures of exploratory behaviour in sows around farrowing and during lactation− A pilot study10.1016/j.jacl.2017.03.007
- cAMP-inducible coactivator CRTC3 attenuates brown adipose tissue thermogenesisPubmed:29784793
- Changes of Plasma FABP4, CRP, Leptin, and Chemerin Levels in relation to Different Dietary Patterns and Duodenal-Jejunal Omega Switch Surgery in Sprague …Pubmed:29849871
- Circulating and Adipose Tissue mRNA Levels of Zinc-α2-Glycoprotein, Leptin, High-Molecular-Weight Adiponectin, and Tumor Necrosis Factor-Alpha in …Pubmed:29755407
- Metabolomics for the effect of biotin and nicotinamide on transition dairy cowsPubmed:29758980
- Ileal Transposition Surgery Decreases Fat Mass and Improves Glucose Metabolism in Diabetic GK Rats: Possible Involvement of FGF21Pubmed:29593555
- Effect of maternal hypothyroidism during pregnancy on insulin resistance, lipid accumulation and mitochondrial dysfunction in skeletal muscle of fetal ratsPubmed:29784871
- The leptin, dopamine and serotonin receptors in hypothalamic POMC-neurons of normal and obese rodentsPubmed:29397535
- Subsequent somatic axis and bone tissue metabolism responses to a low-zinc diet with or without phytase inclusion in broiler chickensPubmed:29373588
- Chronic cold exposure results in subcutaneous adipose tissue browning and altered global metabolism in Qinghai-Tibetan plateau pika (Ochotona curzoniae)Pubmed:29626477
- Leptin Expression and Gene Methylation Patterns in Alcohol-Dependent Patients with Ethyltoxic Cirrhosis—Normalization After Liver Transplantation and Implications …Pubmed:29912265
- The Effect of Aerobic Training on Tumor Growth, Adiponectin, Leptin and Ghrelin in Mice with Breast Cancerircmj-20-03-13305.pdf
- Effects of Intrauterine Growth Retardation on Growth, Meat Quality and Muscle Fiber Composition of Pigs.:
- Epigallocatechin-3-gallate suppresses differentiation of adipocytes via regulating the phosphorylation of FOXO1 mediated by PI3K-AKT signaling in 3T3-L1 …Pubmed:29484120
- ВЛИЯНИЕ МЕТФОРМИНА НА МЕТАБОЛИЧЕСКИЕ ПОКАЗАТЕЛИ И ГИПОТАЛАМИЧЕСКИЕ СИГНАЛЬНЫЕ СИСТЕМЫ У КРЫС С ОЖИРЕНИЕМ …AG_2018-31-01.pdf
- Combinational Effect of Pine Needle Polysaccharide and Kudzu Flavonoids on Cell Differentiation and Fat Metabolism in 3T3-L1 CellsDoi: 10.3136/fstr.24.903
- Effects of Metformin Combined with Lactoferrin on Lipid Accumulation and Metabolism in Mice Fed with High-Fat DietPubmed: 30400147
- Betahistine effects on weight-related measures in patients treated with antipsychotic medications: a double-blind placebo-controlled studyPubmed: 30382354
- Effect of fermented food consumption on biochemical parameters and adipokines levelsDoi: 0.23751/pn.v20i4.7374
- THE INDIAN JOURNAL OF VETERINARY SCIENCES & BIOTECHNOLOGY
- Raspberry ketone and Garcinia Cambogia rebalanced disrupted insulin resistance and leptin signaling in rats fed high fat fructose dietPubmed: 30530230
- Effects of Diet-Induced Early-Stage Obesity on a Low-Testosterone Gottingen Minipig
- Obesity Aggravates Acute Pancreatitis via Damaging Intestinal Mucosal Barrier and Changing Microbiota Composition in RatsPubmed: 30635594
- Cardiotrophin-1 and leptin as cardiovascular risk markers in male patients with obstructive sleep apnea syndromePubmed: 30775602
- Impact of exposure to diesel exhaust during pregnancy on mammary gland development and milk composition in the rabbitPubmed: 30763367
- Effect of High Intensity Interval Training (HIIT) on visceral and subcutaneous levels of leptin and plasma insulin and glucose in male Wistar rats
- The evidence of metabolic-improving effect of metformin in Ay/a mice with genetically-induced melanocortin obesity and the contribution of hypothalamic …Pubmed: 30870482
- Osteoprotegerin Levels among Saudi Cardiovascular Patients.
- Anti-obesity effect of argel (Solenostemma argel) on obese rats fed a high fat diet
- Expression of adipokines and their receptors in adipose tissue of women with class 3 obesity with or without hypertensionPubmed: 30940525
- 冷暴露对高脂饮食小鼠脂肪棕色化的影响
- Associations of apelin, leptin, irisin, ghrelin, insulin, glucose levels, and lipid parameters with physical activity during eight weeks of regular exercise trainingPubmed: 31290696
- A dietary polysaccharide from Eucheuma cottonii downregulates proinflammatory cytokines and ameliorates osteoarthritis-associated cartilage degradation in obese …
- High-dose Glycerol Monolaurate Up-Regulated Beneficial Indigenous Microbiota without Inducing Metabolic Dysfunction and Systemic Inflammation: New Insights …
- Puberty is a critical window for the impact of diet on mammary gland development in the rabbitPubmed: 31348557
- The Effect of Different Types of Bariatric Surgery on Metabolic and Hormonal Parameters in Rats with a Decompensated Form of Type II Diabetes MellitusPubmed: 31228372
- Paternal chronic folate supplementation induced the transgenerational inheritance of acquired developmental and metabolic changes in chickensPubmed: 31506054
- Collaborative Effects of Chlorogenic Acid and Caffeine on Lipid Metabolism via AMPKα-LXRα/SREBP-1c Pathway in High-Fat Diet-Induced Obese MicePubmed: 31670366
- Dietary supplementation of Morus nigra L. leaves decrease fat mass partially through elevating leptin-stimulated lipolysis in pig modelPubmed: 31756448
- Serum Asprosin Concentrations Are Increased and Associated with Insulin Resistance in Children with ObesityPubmed: 31775140
- Upregulation of MC4R and PPAR-α expression mediates the anti-obesity activity of Moringa oleifera Lam. in high-fat diet-induced obesity in ratsPubmed: 31911179
- Prenylated Phenolic Compounds from the Aerial Parts of Glycyrrhiza uralensis as PTP1B and α-Glucosidase InhibitorsPubmed: 32196343
- Salivary Leptin and Chemerin; a novel way of gestational diabetes screeningPubmed: 32274942
- RFRP-3, the Mammalian Ortholog of GnIH, Is a Novel Modulator Involved in Food Intake and Glucose HomeostasisPubmed: 32328034
- Copeptin and Nesfatin-1 Are Interrelated Biomarkers with Roles in the Pathogenesis of Insulin Resistance in Chinese Children with ObesityPubmed: 33027789
- The effect of metformin treatment on the basal and gonadotropin‐stimulated steroidogenesis in male rats with type 2 diabetes mellitusPubmed: 32951228
- Adipokines expression profiles in both plasma and peri renal adipose tissue in Large White and Meishan sows: a possible involvement in the fattening and …Pubmed: 32827511
- C-Peptide and leptin system in dichorionic, small and appropriate for gestational age twins—possible link to metabolic programming?Pubmed: 32778645
- Ameliorative Effect of Ananas comosus on Cobalt Chloride-Induced Hypoxia in Caco2 cells via HIF-1α, GLUT 1, VEGF, ANG and FGFPubmed: 32654099
- Serum leptin level is associated with phase angle in CKD5 patients not undergoing dialysisPubmed: 30089154
- Blastomere removal affects homeostatic control leading to obesity in male micePubmed: 33112292
- The Effect of Diet-Induced and Melanocortin Obesity on Expression of Tryptophan Hydroxylase 2 in the Dorsal Raphe Nucleus and Ventral Tegmental Area in Mice
- Peripheral concentrations of metabolic and inflammatory indicators during transition period and their relationship with postpartum clinical endometritis in dairy …
- СОСТОЯНИЕ МЕЛАТОНИН-АССОЦИИРОВАННОЙ ГОРМОНАЛЬНОЙ СИСТЕМЫ У ДЕТЕЙ С ИЗБЫТОЧНОЙ МАССОЙ ТЕЛА
- Altered hematopoietic system and self-tolerance in Bardet-Biedl Syndrome
- Serum leptin and body mass index in a sample of Egyptian multiple sclerosis patients
- A 12-week aerobic exercise improves metabolic function with lower adipose tissue and ectopic fat in high fat diet fed rats33432988
- TMBIM1 is an inhibitor of adipogenesis and its depletion promotes adipocyte hyperplasia and improves obesity-related metabolic disease34107313
- Effect of Ileal Transposition (IT) on Angiopoietin-Like Protein-8 (ANGPTL8) and Pentraxin (PTX3) Plasma Level in Sprague-Dawley Rats Fed High-Fat Diet?¡34035808
- Different Ratios of Corn and Coconut Oil Blends in High©\Fat Diets Influence Fat Deposition without Altering Metabolic Biomarkers in Male Rats
- Comparative study on genital status, energy balance and mineral content of swamp buffalo (Luit) heifers and cows under organized system of rearing in Assam?¡
- Altered Serum Marker of Adipokines Profile in Breast Cancer Women
- Activation of the Peroxisome Proliferator-Activated Receptors (PPAR-α/γ) and the Fatty Acid Metabolizing Enzyme Protein CPT1A by Camel Milk Treatment …34306045
- The Association of Pre-Pregnancy BMI On Leptin, Ghrelin, Adiponectin, and IGF-1 In Breast Milk, A Case Control Study34348809
- Maternal and fetal serum leptin levels and their association with maternal and fetal variables and labor: A cross-sectional study34815864
- Vitamin D3 enhances the effects of omega‐3 oils against metabolic dysfunction‐associated fatty liver disease in rat34767670
- GP73 is a TBC-domain Rab GTPase-activating protein contributing to the pathogenesis of non-alcoholic fatty liver disease without obesity34853313
- The Effects of Separate and Combined Treatment of Male Rats with Type 2 Diabetes with Metformin and Orthosteric and Allosteric Agonists of Luteinizing Hormone …Pubmed:35008624
- Comparative Study of the Restoring Effect of Metformin, Gonadotropin, and Allosteric Agonist of Luteinizing Hormone Receptor on Spermatogenesis in Male Rats with …Pubmed:35175480
- Intragastric safflower yellow and its main component HSYA improve leptin sensitivity before body weight change in diet-induced obese micePubmed:35201390
- The microbiota-gut-kidney axis mediates host osmoregulation in a small desert mammalPubmed:35379849
- Monochromatic blue light not green light exposure is associated with continuous light-induced hepatic steatosis in high fat diet fed-mice via oxidative stressPubmed:35588616
- Seahorse Protein Hydrolysate Ameliorates Proinflammatory Mediators and Cartilage Degradation on Posttraumatic Osteoarthritis with an Obesity Rat ModelPubmed:35509713
- A novel anti-obesity mechanism for liraglutide by improving adipose tissue leptin resistance in high-fat diet-fed obese micePubmed:35705299
- Impact of pre-breeding feeding practices on rabbit mammary gland development at mid-pregnancy.
- High Circulating Fibroblast Growth Factor-21 Levels as a Prognostic Marker in Fatty Pancreas Patients
- Dairy Cattle Physiology Division ICAR-National Dairy Research Institute, Karnal-132001, Haryana, India Corresponding Authors Email ID: menalsh08vets …
- SARS-CoV2 Induced Biochemical Mechanisms in Liver Damage and Intestinal Lesions.
