Polyclonal Antibody to Trefoil Factor 3 (TFF3)
HITF; ITF3; TFI; HP1.B; Trefoil Factor 3, Intestinal
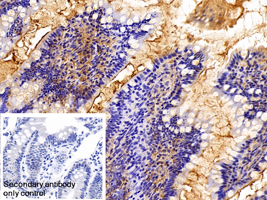
Overview
Properties
- Product No.PAB656Ra01
- Organism SpeciesRattus norvegicus (Rat) Same name, Different species.
- ApplicationsWB; IHC; ICC/IF
If the antibody is used in flow cytometry, please check FCM antibodies.
Research use only - DownloadInstruction Manual
- CategoryTumor immunityGastroenterology
- SourcePolyclonal antibody preparation, Host Rabbit
- Ig Type IgG, Potency n/a
- PurificationAntigen-specific affinity chromatography followed by Protein A affinity chromatography
- LabelNone
- Immunogen RPB656Ra01-Recombinant Trefoil Factor 3 (TFF3)
- Buffer FormulationPBS, pH7.4, containing 0.02% NaN3, 50% glycerol.
- TraitsLiquid, Concentration 0.5mg/ml
Sign into your account
Share a new citation as an author
Upload your experimental result
Review

Contact us
Please fill in the blank.
Specifity
The antibody is a rabbit polyclonal antibody raised against TFF3. It has been selected for its ability to recognize TFF3 in immunohistochemical staining and western blotting.
Usage
Western blotting: 0.01-2µg/mL;
Immunohistochemistry: 5-20µg/mL;
Immunocytochemistry: 5-20µg/mL;
Optimal working dilutions must be determined by end user.
Storage
Store at 4°C for frequent use. Stored at -20°C in a manual defrost freezer for two year without detectable loss of activity. Avoid repeated freeze-thaw cycles.
Stability
The thermal stability is described by the loss rate. The loss rate was determined by accelerated thermal degradation test, that is, incubate the protein at 37°C for 48h, and no obvious degradation and precipitation were observed. The loss rate is less than 5% within the expiration date under appropriate storage condition.
Organism Species More: Mus musculus (Mouse)Giveaways
Increment services
-
Antibody Labeling Customized Service
-
Protein A/G Purification Column
-
Staining Solution for Cells and Tissue
-
Positive Control for Antibody
-
Tissue/Sections Customized Service
-
Phosphorylated Antibody Customized Service
-
Western Blot (WB) Experiment Service
-
Immunohistochemistry (IHC) Experiment Service
-
Immunocytochemistry (ICC) Experiment Service
-
Flow Cytometry (FCM) Experiment Service
-
Immunoprecipitation (IP) Experiment Service
-
Immunofluorescence (IF) Experiment Service
-
Buffer
-
DAB Chromogen Kit
-
SABC Kit
-
Long-arm Biotin Labeling Kit
-
Real Time PCR Experimental Service
Citations
- Serum trefoil factor 3 is a promising non-invasive biomarker for gastric cancer screening: A monocentric cohort study in ChinaBiomedcentral: Source
- Serum Trefoil Factor 3 as a Protein Biomarker for the Diagnosis of Colorectal Cancer.pubmed:27760866
- Obstructive sleep apnea and rhonchopathy are associated with downregulation of trefoil factor family peptide 3 (TFF3)-Implications of changes in oral mucus composition.pubmed:29028798
- Protective effects of sinomenine against LPS-induced inflammation in piglets.pubmed:28757275
- Nucleotide-mediated SPDEF modulates TFF3-mediated wound healing and intestinal barrier function during the weaning processPubmed:29555969
- Kidney-based in vivo model for drug-induced nephrotoxicity testingPubmed: 32796873
- Human Synovia Contains Trefoil Factor Family (TFF) Peptides 1–3 Although Synovial Membrane Only Produces TFF3: Implications in Osteoarthritis and Rheumatoid …
- Untersuchungen der Trefoil factor family Peptide 1-3 in humaner Synovialfl¨¹ssigkeit und Synovialmembran und deren Bedeutung bei Arthrose und?¡
