Polyclonal Antibody to S100 Calcium Binding Protein A6 (S100A6)
S100-A6; 2A9; 5B10; CABP; CACY; PRA; MLN 4; Calcyclin; Growth factor-inducible protein 2A9; Prolactin receptor-associated protein
Overview
Properties
- Product No.PAB769Rb51
- Organism SpeciesOryctolagus cuniculus (Rabbit) Same name, Different species.
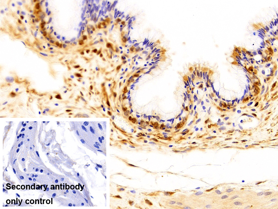
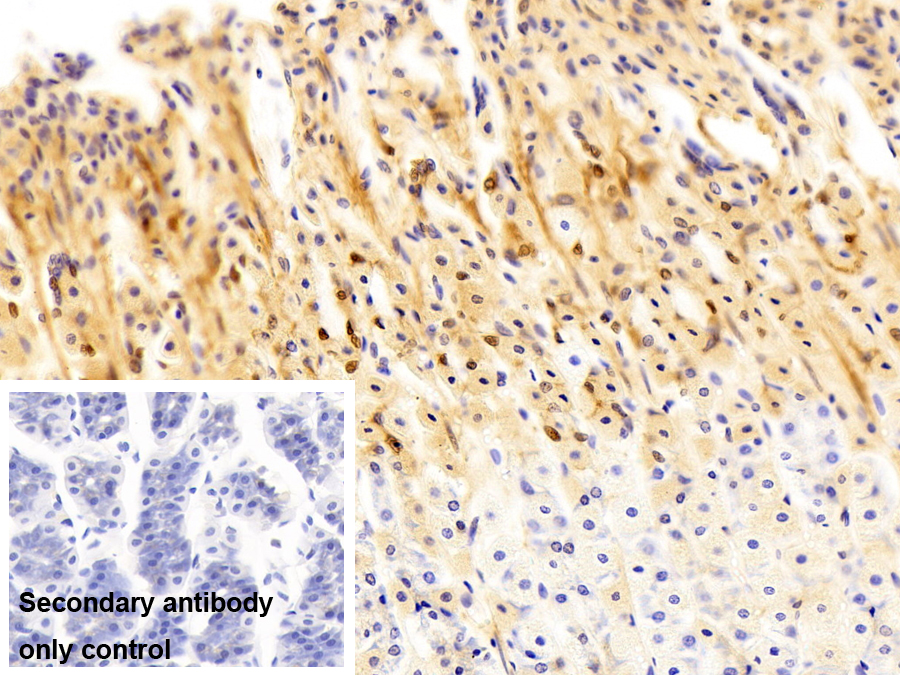
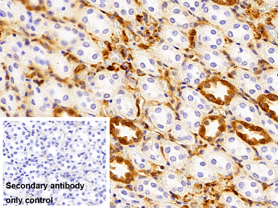
- ApplicationsIHC
If the antibody is used in flow cytometry, please check FCM antibodies.
Research use only - DownloadInstruction Manual
- CategoryTumor immunityInfection immunityHematologyDermatology
- SourcePolyclonal antibody preparation, Host Guinea pig
- Ig Type IgG, Potency n/a
- PurificationAntigen-specific affinity chromatography followed by Protein A affinity chromatography
- LabelAPC
- Immunogen n/a
- Buffer FormulationPBS, pH7.4, containing 0.01% SKL, 1mM DTT, 5% Trehalose and Proclin300.
- TraitsLiquid, Concentration 500µg/mL
Sign into your account
Share a new citation as an author
Upload your experimental result
Review

Contact us
Please fill in the blank.
Specifity
The antibody is a cavia polyclonal antibody raised against S100A6. It has been selected for its ability to recognize S100A6 in immunohistochemical staining and western blotting.
Usage
Western blotting: 0.2-2µg/mL;1:250-2500
Immunohistochemistry: 5-20µg/mL;1:25-100
Immunocytochemistry: 5-20µg/mL;1:25-100
Optimal working dilutions must be determined by end user.
Storage
Store at 4°C for frequent use. Stored at -20°C in a manual defrost freezer for two year without detectable loss of activity. Avoid repeated freeze-thaw cycles.
Stability
The thermal stability is described by the loss rate. The loss rate was determined by accelerated thermal degradation test, that is, incubate the protein at 37°C for 48h, and no obvious degradation and precipitation were observed. The loss rate is less than 5% within the expiration date under appropriate storage condition.
Giveaways
Increment services
-
Antibody Labeling Customized Service
-
Protein A/G Purification Column
-
Staining Solution for Cells and Tissue
-
Positive Control for Antibody
-
Tissue/Sections Customized Service
-
Phosphorylated Antibody Customized Service
-
Western Blot (WB) Experiment Service
-
Immunohistochemistry (IHC) Experiment Service
-
Immunocytochemistry (ICC) Experiment Service
-
Flow Cytometry (FCM) Experiment Service
-
Immunoprecipitation (IP) Experiment Service
-
Immunofluorescence (IF) Experiment Service
-
Buffer
-
DAB Chromogen Kit
-
SABC Kit
-
Long-arm Biotin Labeling Kit
-
Real Time PCR Experimental Service
Citations
- Tear proteome and protein network analyses reveal a novel pentamarker panel for tear film characterization in dry eye and meibomian gland dysfunctionPubMed: 23201116
- Diagnostic significance of S100A2 and S100A6 levels in sera of patients with non-small cell lung cancerPubMed: 26361956
- Serum levels of S100A6 are unaltered in patients with resectable cholangiocarcinomapubmed:27709523
- Tu1938-Micronutrients Assessment in Patients with Cirrhosis10.1016:S0016-5085(18)33544-3
- Tu1942-PI3K/AKT-Mediated Upregulation of C7 Inhibits Colorectal Cancer Proliferation and Metastasis10.1016:S0016-5085(18)33544-5
- Proteomics detection of S100A6 in tumor tissue interstitial fluid and evaluation of its potential as a biomarker of cholangiocarcinomaPubmed:29629840
- Serum S100A6, S100A8, S100A9 and S100A11 proteins in colorectal neoplasia: results of a single centre prospective studyPubmed: 31856598
- S100A6 represses Calu©\6 lung cancer cells growth via inhibiting cell proliferation, migration, invasion and enhancing apoptosis34008212
- Quantification of a panel for dry-eye protein biomarkers in tears: A comparative pilot study using standard ELISA and customized microarrays34012227
