Polyclonal Antibody to Serum Amyloid P Component (SAP)     
     
APCS; PTX2; Pentaxin-Related; 9.5S Alpha-1-Glycoprotein
Overview
Properties
- Product No.PAB539Ra01
- Organism SpeciesRattus norvegicus (Rat) Same name, Different species.
- ApplicationsWB; IHC
 If the antibody is used in flow cytometry, please check FCM antibodies.
 Research use only
- DownloadInstruction Manual
- CategoryInfection immunity
- SourcePolyclonal antibody preparation, Host Rabbit
- Ig Type IgG, Potency n/a
- PurificationAntigen-specific affinity chromatography followed by Protein A affinity chromatography
- LabelNone
- Immunogen RPB539Ra01-Recombinant Serum Amyloid P Component (SAP)
- Buffer Formulation0.01M PBS, pH7.4, containing 0.05% Proclin-300, 50% glycerol.
- TraitsLiquid, Concentration 500µg/mL
Sign into your account
Share a new citation as an author
Upload your experimental result
Review

Contact us
Please fill in the blank.
Specifity
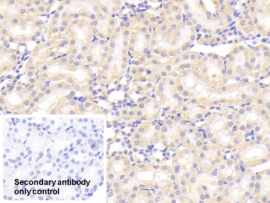
The antibody is a rabbit polyclonal antibody raised against SAP. It has been selected for its ability to recognize SAP in immunohistochemical staining and western blotting.
Usage
            Western blotting: 0.5-2µg/mL;1:500-2000
Immunohistochemistry: 5-20µg/mL;1:50-200
Immunocytochemistry: 5-20µg/mL;1:50-200
Optimal working dilutions must be determined by end user.        
Storage
Store at 4°C for frequent use. Stored at -20°C in a manual defrost freezer for two year without detectable loss of activity. Avoid repeated freeze-thaw cycles.
Stability
The thermal stability is described by the loss rate. The loss rate was determined by accelerated thermal degradation test, that is, incubate the protein at 37°C for 48h, and no obvious degradation and precipitation were observed. The loss rate is less than 5% within the expiration date under appropriate storage condition.
Organism Species More: Homo sapiens (Human)Giveaways
Increment services
- 
                 Antibody Labeling Customized Service Antibody Labeling Customized Service
- 
                 Protein A/G Purification Column Protein A/G Purification Column
- 
                 Staining Solution for Cells and Tissue Staining Solution for Cells and Tissue
- 
                 Positive Control  for Antibody Positive Control  for Antibody
- 
                 Tissue/Sections Customized Service Tissue/Sections Customized Service
- 
                 Phosphorylated Antibody Customized Service Phosphorylated Antibody Customized Service
- 
                 Western Blot (WB) Experiment Service Western Blot (WB) Experiment Service
- 
                 Immunohistochemistry (IHC) Experiment Service Immunohistochemistry (IHC) Experiment Service
- 
                 Immunocytochemistry (ICC) Experiment Service Immunocytochemistry (ICC) Experiment Service
- 
                 Flow Cytometry (FCM) Experiment Service Flow Cytometry (FCM) Experiment Service
- 
                 Immunoprecipitation (IP) Experiment Service Immunoprecipitation (IP) Experiment Service
- 
                 Immunofluorescence (IF) Experiment Service Immunofluorescence (IF) Experiment Service
- 
                 Buffer Buffer
- 
                 DAB Chromogen Kit DAB Chromogen Kit
- 
                 SABC Kit SABC Kit
- 
                 Long-arm Biotin Labeling Kit Long-arm Biotin Labeling Kit
- 
                 Real Time PCR Experimental Service Real Time PCR Experimental Service
Citations
- Circulation levels of acute phase proteins in patients with Takayasu arteritisPubMed: 20100644
- Combined Proteomic and Metabolomic Profiling of Serum Reveals Association of the Complement System with Obesity and Identifies Novel Markers of Body Fat Mass ChangesACS: pr2005555
- Identification of candidate biomarkers for hepatocellular carcinoma in plasma of HCV-infected cirrhotic patients by 3-D DIGEPubmed: 23944848
- Targeted proteomics predict a sustained complete-response after transarterial chemoembolization and clinical outcomes in patients with hepatocellular carcinoma: a prospective cohort studypubmed:28112944
- Amniotic fluid pentraxins: Potential early markers for identifying intra‐amniotic inflammatory complications in preterm pre‐labor rupture of membranespubmed:29193454
- Serum amyloid P component therapeutically attenuates atherosclerosis in mice via its effects on macrophagesPubmed:29930724
- Proteopathic lesions in the brain of a super©\aged chimpanzee (Pan troglodytes)34096618
- Clinical significance of differential serum-signatures for early prediction of severe dengue among Eastern Indian patientsPubmed:35348620

 
         
    
     
                 
                 
                                 
                                 
                                 
                                 
                                 
                                 
                             
                             
                             
                            