Monoclonal Antibody to Alpha-Fetoprotein (AFP)
aFP; A-FP; FETA; HPAFP; Alpha-Fetoglobulin; Alpha-1-fetoprotein
Overview
Properties
- Product No.MAA153Hu24
- Organism SpeciesHomo sapiens (Human) Same name, Different species.
- ApplicationsWB; IHC
If the antibody is used in flow cytometry, please check FCM antibodies.
Research use only - DownloadInstruction Manual
- CategoryTumor immunityHepatology
- SourceMonoclonal antibody preparation, Host Mouse
- Ig Isotype IgG1 Kappa, Clone Number C4
- PurificationProtein A + Protein G affinity chromatography
- LabelNone
- Immunogen RPA153Hu01-Recombinant Alpha-Fetoprotein (AFP)
- Buffer Formulation0.01M PBS, pH7.4, containing 0.05% Proclin-300, 50% glycerol.
- TraitsLiquid, Concentration 1mg/mL
Sign into your account
Share a new citation as an author
Upload your experimental result
Review

Contact us
Please fill in the blank.
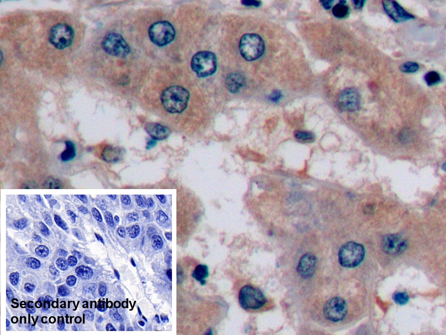
Specifity
The antibody is a mouse monoclonal antibody raised against AFP. It has been selected for its ability to recognize AFP in immunohistochemical staining and western blotting.
Usage
Western blotting: 0.5-2µg/mL;
Immunohistochemistry: 5-20µg/mL;
Immunocytochemistry: 5-20µg/mL;
Optimal working dilutions must be determined by end user.
Storage
Store at 4°C for frequent use. Stored at -20°C in a manual defrost freezer for two year without detectable loss of activity. Avoid repeated freeze-thaw cycles.
Stability
The thermal stability is described by the loss rate. The loss rate was determined by accelerated thermal degradation test, that is, incubate the protein at 37°C for 48h, and no obvious degradation and precipitation were observed. The loss rate is less than 5% within the expiration date under appropriate storage condition.
Giveaways
Increment services
-
Antibody Labeling Customized Service
-
Protein A/G Purification Column
-
Staining Solution for Cells and Tissue
-
Positive Control for Antibody
-
Tissue/Sections Customized Service
-
Phosphorylated Antibody Customized Service
-
Western Blot (WB) Experiment Service
-
Immunohistochemistry (IHC) Experiment Service
-
Immunocytochemistry (ICC) Experiment Service
-
Flow Cytometry (FCM) Experiment Service
-
Immunoprecipitation (IP) Experiment Service
-
Immunofluorescence (IF) Experiment Service
-
Buffer
-
DAB Chromogen Kit
-
SABC Kit
-
Long-arm Biotin Labeling Kit
-
Real Time PCR Experimental Service
Citations
- Ginger ingredients inhibit the development of diethylnitrosoamine induced premalignant phenotype in rat chemical hepatocarcinogenesis modelPubMed: 20872761
- Investigation of the Biochemical and Histological Changes Induced by Zearalenone Mycotoxin on Liver in Male Mice and the Protective Role of Crude Venom Extracted from Jellyfish Cassiopea Andromeda.Scirp: 5684
- Polyol profile as an early diagnostic and prognostic marker in natural product chemoprevention of hepatocellular carcinoma in diabetic ratsScienceDirect: S0168822711000520
- Comparison of angiotensin converting enzyme inhibitors and angiotensin II type 1 receptor blockade for the prevention of premalignant changes in the liverScienceDirect: S0024320511002700
- Cytokines as important playmakers of experimental hepatocarcinogenesis confounded by diabetes.Hepatology: source
- Chemopreventive and therapeutic efficacy of Salsola inermis extract against N-nitrosodiethylamine-initiated and phenobarbital-promoted hepatocellular carcinogenesis in Wistar ratsScienceDirect: S2210522013000348
- Suramin inhibits hepatic tissue damage in hepatocellular carcinoma through deactivation of heparanase enzymePubmed: 24530413
- Association of Paraoxonase-1 (Q192R and L55M) Gene Polymorphisms and Activity with Colorectal Cancer and Effect of Surgical Intervention.Pubmed:25684529
- Detection of HIV-1 p24 antigen using streptavidin–biotin and gold nanoparticles based immunoassay by inductively coupled plasma mass spectrometryRsc:Source
- Development of a Highly Sensitive Glycan Microarray for Quantifying AFP-L3 for Early Prediction of Hepatitis B Virus–Related Hepatocellular CarcinomaPubmed:24927126
- Evaluation of 11C-acetate and 18F-FDG PET/CT in mouse multidrug resistance gene-2 deficient mouse model of hepatocellular carcinomaPubMed: 25981587
- Elevated serum soluble CD14 levels in chronic HBV infection are significantly associated with HBV-related hepatocellular carcinomaPubMed: 26643893
- The concentrations of selected blood serum proteins in calves during the first three months of life85:33
- Predictive value of tumor markers in patients with recurrent hepatocellular carcinoma in different vascular invasion patternabstract:abstract4525.shtml
- Chemopreventive effect of Indigofera linnaei extract against diethylnitrosamine induced hepatocarcinogenesis in rats2071_pdf.pdf
- Anticarcinogenic potential of ethanol extract of Indigofera cordifolia Roth.(Fabales: Fabaceae) on diethylnitrosamine induced hepatocarcinogenesis in ratsv04n07a07a
- Effect of Mesenchymal Stem Cells on Transforming Growth Factor Beta Level in Hepatocellular Carcinoma Induced Rat Model1345-1349
- Antiangiogenic activity of vitexicarpine in experimentally induced hepatocellular carcinoma: Impact on vascular endothelial growth factor pathwaypubmed:28651490
- Mesenchymal stem cell therapy of hepatocellular carcinoma in rats: Detection of cell homing and tumor mass by magnetic resonance imaging using iron oxide nanoparticlesISSN 2451-2680
- Evaluation of the antitumor activity of platinum nanoparticles in the treatment of hepatocellular carcinoma induced in ratspubmed:28720064
- Lnc-PCDH9-13: 1 Is a Hypersensitive and Specific Biomarker for Early Hepatocellular CarcinomaPubmed:30045829
- One-pot synthesis of a highly selective carboxyl-functionalized superparamagnetic probes for detection of alpha-fetoprotein10.1016:j.snb.2018.03.038
- Cytotoxic and partial hepatoprotective activity of sodium ascorbate against hepatocellular carcinoma through inhibition of sulfatase-2 andPubmed:29669302
- Dynamic Volume Assessment of Hepatocellular Carcinoma in Rat Livers Using a Clinical 3T MRI and Novel SegmentationPubmed:28107094
- Impact of Mesenchymal Stem Cells and Vitamin D on Transforming Growth Factor Beta Signaling Pathway in Hepatocellular Carcinoma in RatsPubmed:29693337
- The Association of Peroxiredoxin 4 with the Initiation and Progression of Hepatocellular CarcinomaPubmed:29687726
- Chemoprotective Efficacy of Curcumin and Flax Seed Oil in 1, 2-Dimethylhydrazine Induced Rat Colon Cancer
- Ameliorative effects of honey and venom of honey bee on induced colon cancer in male albino rats by1, 2 dimethylhydrazine
- The therapeutic effects of nicotinamide in hepatocellular carcinoma through blocking IGF-1 and effecting the balance between Nrf2 and PKBPubmed: 30784932
- Chemopreventive effects of on diethylnitrosamine induced and Indigofera cassioides phenobarbital promoted rat liver carcinoma
- Circulating exosomal miR‐92b: Its role for cancer immunoediting and clinical value for prediction of posttransplant hepatocellular carcinoma recurrencePubmed: 31162867
- Targetingp53/TRAIL/caspase-8 signaling by adiponectin reverses thioacetamide-induced hepatocellular carcinoma in ratsPubmed: 31421311
- Glutamine synthetase promotes tumor invasion in hepatocellular carcinoma through mediating epithelial–mesenchymal transitionPubmed: 31652385
- Selective cytotoxic activity and protective effects of sodium ascorbate against hepatocellular carcinoma through its effect on oxidative stress and apoptosis in vivo and …Pubmed: 32172678
- The possible role of Dickkopf-1, Golgi protein-73 and Midkine as predictors of hepatocarcinogenesis: a review and an Egyptian studyPubmed: 32198440
- Fucoidan Ameliorates Hepatocellular Carcinoma Induced in Rats: Effect on miR143 and InflammationPubmed: 32718197
- Lateral Flow Immunosensor for Ferritin Based on Dual Signal-Amplified Strategy by Rhodium Nanoparticles
- Magnetic immunoassay for tumor clinical diagnosis based on rolling circular amplification (RCA) coupled with ICP-MS
- Identification of Polyphenolic Compounds and Hepatoprotective Activity of Artichoke (Cynara Scolymus L.) Edible Part Extracts in Rats
- Anticancer efficacy of β-Sitosterol Loaded Hydroxyapatite-Alginate on Colon Cancer Cell in Vivo
- Blocking estrogen-induced AMH expression is crucial for normal follicle formation33658225
- QNZ alleviated hepatocellular carcinoma by targeting inflammatory pathways in a rat model34564023
- In Vivo Study of a Newly Synthesized Chromen-4-One Derivative as an Antitumor Agent Against HCC34698995
