Monoclonal Antibody to Annexin A1 (ANXA1)
ANX-A1; ANX1; LPC1; Lipocortin I; Chromobindin-9; Calpactin II; Phospholipase A2 inhibitory protein
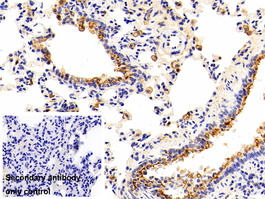
Overview
Properties
- Product No.MAE787Hu24
- Organism SpeciesHomo sapiens (Human) Same name, Different species.
- ApplicationsIHC
If the antibody is used in flow cytometry, please check FCM antibodies.
Research use only - Downloadn/a
- CategoryTumor immunity
- SourceMonoclonal antibody preparation, Host Mouse
- Ig Isotype IgG, Clone Number D10
- PurificationAntigen-specific affinity chromatography followed by Protein A affinity chromatography
- LabelNone
- Immunogen n/a
- Buffer FormulationPBS, pH7.4, containing 0.02% NaN3, 50% glycerol.
- TraitsLiquid, Concentration 1mg/mL
Sign into your account
Share a new citation as an author
Upload your experimental result
Review

Contact us
Please fill in the blank.
Specifity
The antibody is a mouse monoclonal antibody raised against ANXA1. It has been selected for its ability to recognize ANXA1 in immunohistochemical staining and western blotting.
Usage
Western blotting: 0.1-2µg/mL;
Immunohistochemistry: 5-20µg/mL;
Immunocytochemistry: 5-20µg/mL;
Optimal working dilutions must be determined by end user.
Storage
Store at 4°C for frequent use. Stored at -20°C in a manual defrost freezer for two year without detectable loss of activity. Avoid repeated freeze-thaw cycles.
Stability
The thermal stability is described by the loss rate. The loss rate was determined by accelerated thermal degradation test, that is, incubate the protein at 37°C for 48h, and no obvious degradation and precipitation were observed. The loss rate is less than 5% within the expiration date under appropriate storage condition.
Organism Species More: Rattus norvegicus (Rat)Giveaways
Increment services
-
Antibody Labeling Customized Service
-
Protein A/G Purification Column
-
Staining Solution for Cells and Tissue
-
Positive Control for Antibody
-
Tissue/Sections Customized Service
-
Phosphorylated Antibody Customized Service
-
Western Blot (WB) Experiment Service
-
Immunohistochemistry (IHC) Experiment Service
-
Immunocytochemistry (ICC) Experiment Service
-
Flow Cytometry (FCM) Experiment Service
-
Immunoprecipitation (IP) Experiment Service
-
Immunofluorescence (IF) Experiment Service
-
Buffer
-
DAB Chromogen Kit
-
SABC Kit
-
Long-arm Biotin Labeling Kit
-
Real Time PCR Experimental Service
Citations
- Dysregulation of Anti-Inflammatory Annexin A1 Expression in Progressive Crohns DiseasePubMed: PMC3794972
- Modulatory Effect of Phytoestrogens and Curcumin on Induction of Annexin 1 in Human Peripheral Blood Mononuclear Cells and their Inhibitory Effect on Secretory Phospholipase A2Ajol: Source
- Host Biomarkers of Invasive Pulmonary Aspergillosis to Monitor Therapeutic ResponseAsm: Source
- Characterization of secretomes from a human blood brain barrier endothelial cells in-vitro model after ischemia by stable isotope labeling with aminoacids in cell culture (SILAC)PubMed: 26718731
- Annexin A1 Is a Key Modulator of Mesenchymal Stromal Cell–Mediated Improvements in Islet FunctionPubMed: 26470781
- Annexin A1 Is Increased in the Plasma of Preeclamptic WomenPubMed: 26398190
- 膜联蛋白A1 和CA19-9 在胆管癌中的表达及其临床意义article:8686
- Protective Aptitude of Annexin A1 in Arterial Neointima Formation in Atherosclerosis-Prone Mice-Brief Report.pubmed:28062503
- Mesenchymal stromal cells improve human islet function through released products and extracellular matrix.pubmed:29101297
- Proresolving protein Annexin A1: The role in type 2 diabetes mellitus and obesityPubmed:29677533
- Annexin A1 is elevated in patients with COPD and affects lung fibroblast functionPubmed:29440885
- Applying host disease status biomarkers to therapeutic response monitoring in invasive aspergillosis patientsPubmed:29370415
- EFFECTS OF MULTICOMPONENT EXERCISE ON PROGRESSION OF BRAIN ATROPHY AND COGNITION IN AMNESTIC MILD COGNITIVE IMPAIRMENT …pdf:3395
- Resolution of inflammation in neuromyelitis optica spectrum disordersPubmed: 30300851
- Effects of annexin A1 on apoptosis and cell cycle arrest in human leukemic cell lines
- Annexin A1 accounts for an anti-inflammatory binding target of sesamin metabolitesPubmed: 32133417
- ANXA1 directs Schwann cells proliferation and migration to accelerate nerve regeneration through the FPR2/AMPK pathwayPubmed: 32908567
- Expression of annexin-A1 in blood and tissue leukocytes of leprosy patients33263684
- Annexin-A1 SUMOylation regulates microglial polarization after cerebral ischemia by modulating IKK¦Á stability via selective autophagy33523920
