Monoclonal Antibody to Caspase 3 (CASP3)
CPP32; CPP32B; SCA1; Apoptain; Yama; Apoptosis-Related Cysteine Peptidase; Cysteinyl Aspartate Specific Proteinases 3; SREBP cleavage activity 1
Overview
Properties
- Product No.MAA626Hu21
- Organism SpeciesHomo sapiens (Human) Same name, Different species.
- ApplicationsWB; IHC
If the antibody is used in flow cytometry, please check FCM antibodies.
Research use only - DownloadInstruction Manual
- CategorySignal transductionEnzyme & KinaseApoptosisTumor immunityInfection immunity
- SourceMonoclonal antibody preparation, Host Mouse
- Ig Isotype IgG2b Kappa, Clone Number C3
- PurificationProtein A + Protein G affinity chromatography
- LabelNone
- Immunogen RPA626Hu02-Recombinant Caspase 3 (CASP3)
- Buffer FormulationPBS, pH7.4, containing 0.02% NaN3, 50% glycerol.
- TraitsLiquid, Concentration 1mg/mL
Sign into your account
Share a new citation as an author
Upload your experimental result
Review

Contact us
Please fill in the blank.
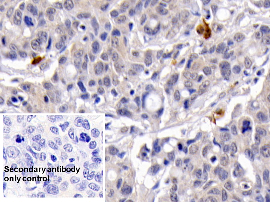
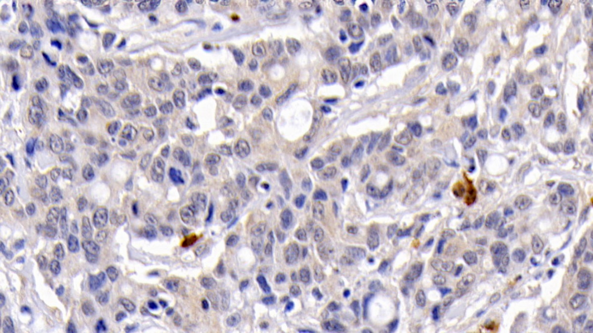
Specifity
The antibody is a mouse monoclonal antibody raised against CASP3. It has been selected for its ability to recognize CASP3 in immunohistochemical staining and western blotting.
Usage
Western blotting: 0.01-4µg/mL;
Immunohistochemistry: 5-20µg/mL;
Immunocytochemistry: 5-20µg/mL;
Optimal working dilutions must be determined by end user.
Storage
Store at 4°C for frequent use. Stored at -20°C in a manual defrost freezer for two year without detectable loss of activity. Avoid repeated freeze-thaw cycles.
Stability
The thermal stability is described by the loss rate. The loss rate was determined by accelerated thermal degradation test, that is, incubate the protein at 37°C for 48h, and no obvious degradation and precipitation were observed. The loss rate is less than 5% within the expiration date under appropriate storage condition.
Giveaways
Increment services
-
Antibody Labeling Customized Service
-
Protein A/G Purification Column
-
Staining Solution for Cells and Tissue
-
Positive Control for Antibody
-
Tissue/Sections Customized Service
-
Phosphorylated Antibody Customized Service
-
Western Blot (WB) Experiment Service
-
Immunohistochemistry (IHC) Experiment Service
-
Immunocytochemistry (ICC) Experiment Service
-
Flow Cytometry (FCM) Experiment Service
-
Immunoprecipitation (IP) Experiment Service
-
Immunofluorescence (IF) Experiment Service
-
Buffer
-
DAB Chromogen Kit
-
SABC Kit
-
Long-arm Biotin Labeling Kit
-
Real Time PCR Experimental Service
Citations
- Protective Effects of Morus alba Leaves Extract on Ocular Functions of Pups from Diabetic and Hypercholesterolemic Mother RatsPubMed: 21697998
- Role of mitochondria in ciprofloxacin-induced apoptosis in murine sperm cells.Pubmed: 23420823
- The combined effect of metformin and L-cysteine on inflammation, oxidative stress and insulin resistance in streptozotocin-induced type 2 diabetes in ratsPubmed: 23845213
- Vitamin D ameliorates hepatic ischemic/reperfusion injury in ratsSpringer: Source
- Attenuation of renal ischemia/reperfusion injury by a?aí extract preconditioning in a rat modelPubmed:25476829
- Amelioration of nandrolone decanoate-induced testicular and sperm toxicity in rats by taurine: Effects on steroidogenesis, redox and inflammatory cascades, and intrinsic apoptotic pathwayPubmed:25542992
- Antioxidant effects of Spirulina supplement against lead acetate-induced hepatic injury in ratsSciencedirect:S2225411015000231
- Vitamin D ameliorates hepatic ischemic/reperfusion injury in ratsPubmed:24752458
- Apoptotic effects of dipyrido [3,2-a:2',3'-c] phenazine (dppz) Au(III) complex against diethylnitrosamine/phenobarbital induced experimental hepatocarcinogenesis in ratsPubmed:24756331
- Pomegranate extract protects against cerebral ischemia/reperfusion injury and preserves brain DNA integrity in ratsPubmed:25010842
- Neuroprotective effects of rosuvastatin against traumatic spinal cord injury in ratsPubmed:25084223
- Expression of key executioner of apoptosis caspase?\3 in periodontal health and diseasePubmed:25388853
- Saxagliptin: A novel antiparkinsonian approachPubmed:25446674
- Ursodeoxycholic Acid Ameliorates Apoptotic Cascade in the Rotenone Model of Parkinson’s Disease: Modulation of Mitochondrial PerturbationsPubmed:25502462
- Inhibition of small HA fragment activity and stimulation of A2A adenosine receptor pathway limit apoptosis and reduce cartilage damage in experimental arthritisPubmed:25511416
- Protective role of ellagitannins from Eucalyptus citriodora against ethanol-induced gastric ulcer in rats: Impact on oxidative stress, inflammation and calcitonin-gene related peptidePubmed:25636864
- Epigallocatechin-3-gallate pretreatment attenuates doxorubicin-induced cardiotoxicity in rats: A mechanistic studyPubmed:25701654
- CILOSTAZOL HEPATOPROTECTIVE EFFECT AGAINST ISCHEMIA/REPERFUSION: INVOLVEMENT OF GSK-3β, CYCLIN D1 and WNT/β-CATENIN PATHWAYResearchgate:Source
- Attenuation of renal ischemia/reperfusion injury by aPubMed: 25476829
- NeuroprotectivePubMed: 26298021
- Antidiabetic Effect of Galantamine: Novel Effect for a Known Centrally Acting DrugPubMed: 26262991
- Inhibition of small HA fragment activity and stimulation of A2APubMed: 25511416
- BDNF-TrkB Pathway Mediates Neuroprotection of Hydrogen Sulfide against Formaldehyde-Induced Toxicity to PC12 CellsPubMed: 25749582
- Geraniol ameliorates TNBS-induced colitis: Involvement of Wnt/棺-catenin, p38MAPK, NF觀B, and PPAR款 signaling pathwaysPubMed: 26165751
- The multi-kinase inhibitor pazopanib targets hepatic stellate cell activation and apoptosis alleviating progression of liver fibrosisPubMed: 26269412
- The heat shock protein 90 inhibitor, 17-AAG, attenuates thioacetamide induced liver fibrosis in miceScience: Article
- Hepatoprotective Effects of Rubus idaeus L. Leaves against CCl4-Induced Liver Injury via Antioxidant, Anti-inflammatory and Antiapoptotic Mechanismsopenview:626440
- Crocin protects against doxorubicin-induced myocardial toxicity in rats through down-reCavia (Guinea pig )lation of inflammatory and apoptic pathwaysPubmed:26807765
- An integrated proteomics approach shows synaptic plasticity changes in an APP/PS1 Alzheimers mouse modelPubmed:27144524
- Correlation of In Vivo and In Vitro Assay Results for Assessment of Free Radical Scavenging Activity of Green Tea NutraceuticalsPubmed:27275932
- Anti-oxidative, anti-secretory and anti-inflammatory activities of the extract from the root bark of Lycium chinense (Cortex Lycii) against gastric ulcer in micePubmed:26972100
- Neuroprotective effects of atomoxetine against traumatic spinal cord injury in ratspmc:PMC4834117
- THE PROPHYLACTIC EFFICIENCY OF LYCOPENE AGAINST GAMMA IRRADAITION-INDIUCED CARDIAC OXIDATIVE DAMAGE, PATHOLOGY AND APOPTOSIS IN RATSpublication:298838934
- Arecoline Induces Neurotoxicity to PC12 Cells: Involvement in ER Stress and Disturbance of Endogenous H2S GenerationPubmed:27255601
- Neuroprotective Effects of Pregabalin Against Spinal Cord Ischemia-Reperfusion Injury in RatsJTNEPUB:17959
- Clematichinenoside (AR) Attenuates Hypoxia/Reoxygenation-Induced H9c2 Cardiomyocyte Apoptosis via a Mitochondria-Mediated Signaling PathwayPubmed:27248986
- The hepatocurative effects of Cynara scolymus L. leaf extract on carbon tetrachloride-induced oxidative stress and hepatic injury in ratsPubmed:27026910
- Chronic low-dose-rate ionising radiation affects the hippocampal phosphoproteome in the ApoE−/− alzheimer mouse modelpubmed:27708245
- Antioxidant effects of Spirulina supplement against lead acetate-induced hepatic injury in rats.pubmed:27774414
- Protective effects of apigenin and myricetin against cisplatin-induced nephrotoxicity in mice.pubmed:28064632
- Dapoxetine attenuates testosterone-induced prostatic hyperplasia in rats by the regulation of inflammatory and apoptotic proteinspubmed:27687055
- Anti-oxidative, anti-secretory and anti-inflammatory activities of the extract from the root bark ofLycium chinense (Cortex Lycii) against gastric ulcer in mice.pubmed:26972100
- Saikosaponin d induces cell death through caspase-3-dependent, caspase-3-independent andmitochondrial pathways in mammalian hepatic stellate cells.pubmed:27461108
- Arecoline Induces Neurotoxicity to PC12 Cells: Involvement in ER Stress and Disturbance of Endogenous H2S Generation.pubmed:27255601
- Hydrogen sulfide attenuates doxorubicin-induced cardiotoxicity by inhibiting the expression of peroxiredoxin III in H9c2 cellsmmr:13
- Saikosaponin a Induces Apoptosis through Mitochondria-Dependent Pathway in Hepatic Stellate Cellspubmed:28231747
- Strontium ranelate causes osteophytes overgrowth in a model of early phase osteoarthritis.pubmed:28187731
- Amelioration of cardiac dysfunction and ventricular remodeling after myocardial infarction bydanhong injection are critically contributed by anti-TGF-β-mediated fibrosis and angiogenesis mechanisms.pubmed:27729285
- Chrysin attenuates testosterone-induced benign prostate hyperplasia in ratspubmed:29247772
- Role of Pomegranate Juice and Atorvastatin in Ameliorating Spinal Neurotoxicity of Wistar Rats Maternally Fed on Hypercholesterolemic DietDOI: 10.4172/2155-9929.1000316
- A Novel Role of SIRT1/ FGF-21 in Taurine Protection Against Cafeteria Diet-Induced Steatohepatitis in Ratspubmed:28942443
- A polysaccharide (PNPA) from Pleurotus nebrodensis ameliorates hepatic ischemic/reperfusion (I/R) injury in ratspubmed:28709897
- Tectorigenin attenuates the MPP+ induced SH‑SY5Y cell damage, indicating a potential beneficial role in Parkinson's disease by oxidative stress inhibitionpubmed:29067118
- Pitavastatin inhibits proinflammatory cytokines and provides improvement in terms of its motor function in secondary injuries of the spinal cord mouse modelsISSN 0970-938X
- Modulatory effect of silymarin on nuclear factor-erythroid-2-related factor 2 regulated redox status, nuclear factor-κB mediated inflammation and apoptosis in experimental gastric ulcer10.1016/j.cbi.2017.06.022
- Docking Studies and Biological Evaluation of a Potential β-Secretase Inhibitor of 3-Hydroxyhericenone F from Hericium erinaceus.pubmed:28553224
- Biomimetic fabrication of antibacterial calcium phosphates mediated by polydopamine. pubmed:29049953
- Hepatoprotective Activities of the Methanol Extract of Angelica shikokiana and Isoepoxypteryxin against Hepatocellular CarcinomaDOI: 10.4172/pharmaceutical-sciences.1000265
- Drug-delivering-drug platform-mediated potent protein therapeutics via a non-endo-lysosomal routePubmed:30026860
- Antioxidant, anti-inflammatory and synergistic anti-hyperglycemic effects of Malaysian propolis and metformin in streptozotocin–induced diabetic ratsPubmed:30026088
- Nephroprotective effect of saxagliptin against gentamicin-induced nephrotoxicity, emphasis on anti-oxidant, anti-inflammatory and anti-apoptic effectsPubmed:30012474
- Viscum articulatum Burm. f. aqueous extract exerts antiproliferative effect and induces cell cycle arrest and apoptosis in leukemia cellsPubmed:29555410
- Posttreatment Effects of L. Leaf Extract on Carbon Tetrachloride-Induced Liver Injury and Oxidative Stress in RatsPubmed:29648970
- Anti-hypercholesterolemic impacts of barley and date palm fruits on the ovary of Wistar albino rats and their offspringPubmed:30005909
- Enoxaparin attenuates doxorubicin induced cardiotoxicity in rats via interfering with oxidative stress, inflammation and apoptosisPubmed:29321061
- Zinc Oxide Nanoparticles Induced Oxidative DNA Damage, Inflammation and Apoptosis in Rat's Brain after Oral ExposurePubmed:29861430
- Apoptosis of Adipose-Derived Stem Cells Induced by Liposomal Soybean Phosphatidylcholine ExtractPubmed:30090204
- Effect of Aqueous Extract of Glycyrrhiza glabra on the Biochemical Changes Induced by Cadmium Chloride in RatsPubmed: 30251228
- Potential immunomodulatory and antioxidant effects of walnut vegetable oil against lead‐mediated hepatic damage and their interaction with lipase …Pubmed: 30251767
- Malaysian propolis, metformin and their combination, exert hepatoprotective effect in streptozotocin-induced diabetic ratsPubmed: 30205096
- Augmentation of Fluvastatin Cytotoxicity Against Prostate Carcinoma PC3 Cell Line Utilizing Alpha Lipoic–Ellagic Acid Nanostructured Lipid Carrier FormulaPubmed: 30350252
- Side effects of frequently used oral antidiabetics on wound healing in vitroPubmed: 30535571
- Diabetes-induced testicular oxidative stress, inflammation, and caspase-dependent apoptosis: the protective role of metforminPubmed: 30513216
- Adiponectin attenuates lipopolysaccharide-induced cell injury of H9c2 cells by regulating AMPK pathwayPubmed: 30668810
- Gum Acacia mitigates diclofenac nephrotoxicity by targeting monocyte chemoattractant protein-1, complement receptor-1 and pro-apoptotic pathwaysPubmed: 31042592
- Antihepatocarcinogenic activity of whey protein concentrate and lactoferrin in diethylnitrosamine‐treated male albino micePubmed: 31087429
- High Concentrations of Boric Acid Trigger Concentration-Dependent Oxidative Stress, Apoptotic Pathways and Morphological Alterations in DU-145 Human Prostate …Pubmed: 31066018
- Side Effects of Frequently Used Antihypertensive Drugs on Wound Healing in vitroPubmed: 31018213
- Therapeutic effects of nano-HAp in a rat model of AlCl3 induced neurotoxicityDoi: 10.22037/IJPR.2019.1100760
- Prophylactic Impact of Beta vulgaris L in Ameliorating Cyclosporine A-Induced Hepatotoxicity in Rats.
- Effect of gamma radiation on combination therapy of certain antiepileptic drugs in rats.
- Dietary supplementation of barley and/or dates attenuate hypercholesterolemic‐induced endometrial dysfunction in Wistar albino rats via alleviation of apoptotic …Pubmed: 31373029
- The Effect of Dietary Quercetin on the Glutathione Redox System and Small Intestinal Functionality of Weaned PigletsPubmed: 31426309
- The Role of Oxidative Stress, Renal Inflammation, and Apoptosis in Post Ischemic Reperfusion Injury of Kidney Tissue: the Protective Effect of Dose-Dependent Boric …
- Betaine suppresses cell proliferation by increasing oxidative stress–mediated apoptosis and inflammation in DU-145 human prostate cancer cell linePubmed: 31368044
- Metallothionein-1 is associated with osteoarthritis disease activity and suppresses proinflammatory cytokines production in synovial cellsPubmed: 31465913
- Concentration-Dependent Effects of Zinc Sulfate on DU-145 Human Prostate Cancer Cell Line: Oxidative, Apoptotic, Inflammatory, and Morphological AnalyzesPubmed: 31463762
- Carnosine and l-arginine attenuate the downregulation of brain monoamines and gamma aminobutyric acid; reverse apoptosis and upregulate the expression of …Pubmed: 31641819
- Oxidative Stress, NF-κB-Mediated Inflammation and Apoptosis in the Testes of Streptozotocin–Induced Diabetic Rats: Combined Protective Effects of Malaysian …Pubmed: 31600920
- Encapsulation of Lovastatin in Zein Nanoparticles Exhibits Enhanced Apoptotic Activity in HepG2 CellsPubmed: 31752085
- Mebendazole augments sensitivity to sorafenib by targeting MAPK and BCL-2 signalling in n-nitrosodiethylamine-induced murine hepatocellular carcinomaPubmed: 31836811
- Preparation and Optimization of In Situ Gel Loaded with Rosuvastatin-Ellagic Acid Nanotransfersomes to Enhance the Anti-Proliferative ActivityPubmed: 32183144
- In vitro evaluation of cytotoxic properties of 5-Aminolevulinic acid (5-ALA) on bladder cancer cellsPubmed: 32165337
- Hydrogen Sulfide Prevents Sleep Deprivation-Induced Hippocampal Damage by Upregulation of Sirt1 in the HippocampusPubmed: 32218719
- Bovine colostrum induces the differentiation of human primary keratinocytesPubmed: 32157742
- In Situ Gel Loaded with Chitosan-Coated Simvastatin Nanoparticles: Promising Delivery for Effective Anti-Proliferative Activity against Tongue CarcinomaPubmed: 32283782
- Effects of repeated increasing doses of cisplatin as models of acute kidney injury and chronic kidney disease in ratsPubmed: 32936352
- Chitosan-Based Microparticles Enhance Ellagic Acid's Colon Targeting and Proapoptotic ActivityPubmed: 32660035
- Curcumin and LOXblock-1 ameliorate ischemia-reperfusion induced inflammation and acute kidney injury by suppressing the semaphorin-plexin pathway.Pubmed: 32603817
- Tert-butylhydroquinone preserve testicular steroidogenesis and spermatogenesis in cisplatin-intoxicated rats by targeting oxidative stress, inflammation and apoptosisPubmed: 32565124
- Optimized Conjugation of Fluvastatin to HIV-1 TAT Displays Enhanced Pro-Apoptotic Activity in HepG2 CellsPubmed: 32531976
- Fast Activation and Tracing of Caspase-3 Involved Cell Apoptosis by Combined Electrostimulation and Smart Signal-Amplified SERS NanoprobesPubmed: 32395992
- Chitosan Coated Microparticles Enhance Simvastatin Colon Targeting and Pro-Apoptotic ActivityPubmed: 32344610
- Protective effects of bee bread on testicular oxidative stress, NF-κB-mediated inflammation, apoptosis and lactate transport decline in obese male ratsPubmed: 33152939
- Chromon-3-aldehyde derivatives restore mitochondrial function in rat cerebral ischemiaPubmed: 32963739
- In situ gel loaded with curcumin-based fluvastatin nanostructured carrier effective against squamous tongue carcinoma
- Insights Into Protective Mechanisms of Dandelion Leaf Extract Against Cisplatin-Induced Nephrotoxicity in Rats: Role of Inhibitory Effect on Inflammatory and Apoptotic …
- Ethylmethylhydroxypyridine succinate, acetylcysteine and choline alphoscerate improve mitochondrial function under condition of cerebral ischemia in rat
- Ellagic Acid Loaded TPGS Micelles for Enhanced Anticancer Activities in Ovarian Cancer
- Strawberry (Fragaria x ananassa) leaf extract reduces brain damage in diabetic male rats
- Accacia senegel extract ameliorates Lead Acetate-mediated Hepatotoxicity in rats.
- Experimental Observation of the Sequence of Tibial Plateau Chondrocyte and Matrix Degeneration in Spontaneous Osteoarthritis in Guinea Pigs
- Fish-oil supplementation improves retinal injury induced by diabetes and hypercholesterolemia in male Wistar rats
- ACTIVITY OF APOPTOSIS MARKERS IN HPV-ASSOCIATED CERVICAL PATHOLOGIES
- CLINICAL AND PATHOGENETIC SIGNIFICANCE OF CHANGES IN PURINE METABOLISM DURING LUNG CANCER
- Concanavalin A induces apoptosis in a dose©\dependent manner by modulating thiol/disulfide homeostasis in C6 glioblastoma cells33604990
- Gonadotropin Stimulation Has Only a Limited Effect on the Concentration of Follicular Fluid Signalling Proteins: An Antibody Array Analysis33575317
- Tert-butylhydroquinone attenuates doxorubicin-induced dysregulation of testicular cytoprotective and steroidogenic genes, and improves spermatogenesis in rats33750916
- Cyproheptadine causes apoptosis and decreases inflammation by disrupting thiol/disulfide balance and enhancing the levels of SIRT1 in C6 glioblastoma cells33675893
- Captopril downregulates expression of Bax/cytochrome C/caspase-3 apoptotic pathway, reduces inflammation, and oxidative stress in cisplatin-induced acute?¡33945910
- Reproductive Effects of Nicotinamide on Testicular Function and Structure in Old Male Rats: Oxidative, Apoptotic, Hormonal, and Morphological Analyses34101148
- Effect of the standard herbal preparation, STW5, treatment on dysbiosis induced by dextran sodium sulfate in experimental colitis34103031
- Comparative effects of metformin and Cistus laurifolius L. extract in streptozotocin-induced diabetic rat model: oxidative, inflammatory, apoptotic, and histopathological?¡34097215
- Piceatannol Attenuates Testosterone-Induced Benign Prostatic Hyperplasia in Rats by Modulation of Nrf2/HO-1/NF¦ÊB Axis. Front. Pharmacol. 11: 614897. doi?¡33519479
- Allicin ameliorates renal ischemia/reperfusion injury via inhibition of oxidative stress and inflammation in rats34426252
- Protective role of naringin loaded solid nanoparticles against aflatoxin B1 induced hepatocellular carcinoma34717916
- Paraoxonase 2 protects against the CML mediated mitochondrial dysfunction through modulating JNK pathway in human retinal cells34710487
- Development of an Icariin-Loaded Bilosome-Melittin Formulation with Improved Anticancer Activity against Cancerous Pancreatic Cells34668089
- The Synergistic Effect of TRPV1 on Oxidative Stress-Induced Autophagy and Apoptosis in Microglia34336554
- Evaluation of cytogenotoxic potential and embryotoxicity of KRS-Cauvery River water in zebrafish (Danio rerio)Pubmed:35183813
- Chrysin attenuates estradiol-induced endometrial hyperplasia in rats via enhancing PPARα activityPubmed:35301625
- Neuroprotective effect of sodium alginate against chromium-induced brain damage in ratsPubmed:35421180
- Ethnopharmacological impact of Melaleuca rugulosa (Link) Craven leaves extract on liver inflammationPubmed:35337921
- Harmine prevents 3-nitropropionic acid-induced neurotoxicity in rats via enhancing NRF2-mediated signaling: Involvement of p21 and AMPKPubmed:35623405
- QbD Supported Optimization of the Alginate-Chitosan Nanoparticles of Simvastatin in Enhancing the Anti-Proliferative Activity against Tongue CarcinomaPubmed:35200484
- Inflammatory Modulation of miR-155 Inhibits Doxorubicin‑Induced Testicular Dysfunction Via Sirt1/Foxo1 Pathway: Insight to the Role of Acacetin and Bacillus …Pubmed:35715546
- Therapeutic Effects of Bee Bread on Obesity-Induced Testicular-Derived Oxidative Stress, Inflammation, and Apoptosis in High-Fat Diet Obese Rat Model …Pubmed:35204140
- Oksidatif, Apoptotik ve İnflamatuar Sinyal Yolakları üzerinden C6 Glioblastoma Hücrelerindeki ML351'in Antiproliferatif Etkileri
- Impact de l'incorporation d'acides gras à chaine moyenne, de suppléments de levures et d'avoine nue sur la santé intestinale ainsi que sur la consommation …
- Promising Therapeutic Efficacy of Trigonella-foenum graecum and Bone Marrow-Derived Mesenchymal Stem Cells on Skeletal Muscle Atrophy in Experimental …
- Potential activity of silver/hydroxyapatite nano composite against damaged liver consequence to irradiation
