Monoclonal Antibody to Fatty Acid Binding Protein 2, Intestinal (FABP2)
FABPI; IFABP; I-FABP; Intestinal-type fatty acid-binding protein
Overview
Properties
- Product No.MAA559Hu25
- Organism SpeciesHomo sapiens (Human) Same name, Different species.
- ApplicationsWB; IHC
If the antibody is used in flow cytometry, please check FCM antibodies.
Research use only - DownloadInstruction Manual
- CategoryMetabolic pathwayTumor immunityEndocrinologyCardiovascular biology
- SourceMonoclonal antibody preparation, Host Mouse
- Ig Isotype IgG1 Kappa, Clone Number C4
- PurificationProtein A + Protein G affinity chromatography
- LabelNone
- Immunogen EPA559Hu61-Eukaryotic Fatty Acid Binding Protein 2, Intestinal (FABP2)
- Buffer Formulation0.01M PBS, pH7.4, containing 0.05% Proclin-300, 50% glycerol.
- TraitsLiquid, Concentration 1mg/mL
Sign into your account
Share a new citation as an author
Upload your experimental result
Review

Contact us
Please fill in the blank.
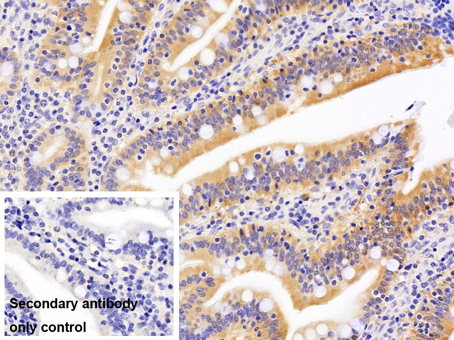
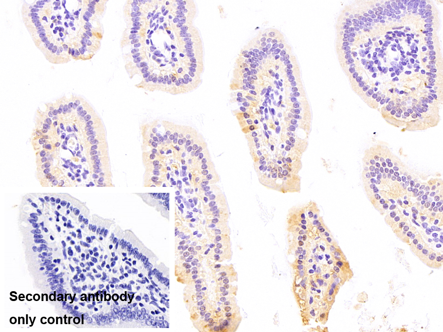
Specifity
The antibody is a mouse monoclonal antibody raised against FABP2. It has been selected for its ability to recognize FABP2 in immunohistochemical staining and western blotting.
Usage
Western blotting: 0.01-2µg/mL;
Immunohistochemistry: 5-20µg/mL;
Optimal working dilutions must be determined by end user.
Storage
Store at 4°C for frequent use. Stored at -20°C in a manual defrost freezer for two year without detectable loss of activity. Avoid repeated freeze-thaw cycles.
Stability
The thermal stability is described by the loss rate. The loss rate was determined by accelerated thermal degradation test, that is, incubate the protein at 37°C for 48h, and no obvious degradation and precipitation were observed. The loss rate is less than 5% within the expiration date under appropriate storage condition.
Organism Species More: Mus musculus (Mouse), Sus scrofa; Porcine (Pig)Giveaways
Increment services
-
Antibody Labeling Customized Service
-
Protein A/G Purification Column
-
Staining Solution for Cells and Tissue
-
Positive Control for Antibody
-
Tissue/Sections Customized Service
-
Phosphorylated Antibody Customized Service
-
Western Blot (WB) Experiment Service
-
Immunohistochemistry (IHC) Experiment Service
-
Immunocytochemistry (ICC) Experiment Service
-
Flow Cytometry (FCM) Experiment Service
-
Immunoprecipitation (IP) Experiment Service
-
Immunofluorescence (IF) Experiment Service
-
Buffer
-
DAB Chromogen Kit
-
SABC Kit
-
Long-arm Biotin Labeling Kit
-
Real Time PCR Experimental Service
Citations
- Cranberries (Oxycoccus quadripetalus) inhibit lipid metabolism and modulate leptin and adiponectin secretion in 3T3-L1 adipocytesPubMed: 25952883
- Elevation of HO-1 Expression Mitigates Intestinal Ischemia-Reperfusion Injury and Restores Tight Junction Function in a Rat Liver Transplantation ModelPubMed: 26064429
- Immunomodulatory potential of β-glucan as supportive treatment in porcine rotavirus enteritis.pubmed:28895864
- Protective effect of aplysin on liver tissue and the gut microbiota in alcohol-fed ratspubmed:28622357
- Effect of Porcine Rotavirus Enteritis on Concentrations of Interferonγ, Immunoglobulin-G and Intestinal Fatty Acid-Binding Protein-2 and Peripheral Leukocyte Function10.5958/0973-9149.2017.00011.9
- Activated Α7nachr Improves Postoperative Cognitive Dysfunction and Intestinal Injury Induced by Cardiopulmonary Bypass in Rats: Inhibition of the Proinflammatory …Pubmed:29672286
- Lack of liver steatosis in germ-free mice following hypercaloric dietsPubmed:29926176
- Protective Effect of Aplysin Supplementation on Intestinal Permeability and Microbiota in Rats Treated with Ethanol and IronPubmed:29861488
- Intestinal fatty acid binding protein (I-FABP) as a marker for acute intestinal ischemiaDoi: 10.18203/2349-2902.isj20190058
- Effect of a Multistrain Probiotic on Cognitive Function and Risk of Falls in Patients With Cirrhosis: A Randomized Trial
- Immunomodulating dose of levamisole stimulates innate immune response and prevents intestinal damage in porcine rotavirus diarrhea: a restricted-randomized …Pubmed: 30790158
- Role of Aquaporin-3 in Intestinal Injury Induced by SepsisPubmed: 31582652
- FABP1 and FABP2 as markers of diabetic nephropathyPubmed: 32922200
- Hydrogen attenuates radiation-induced intestinal damage by reducing oxidative stress and inflammatory responsePubmed: 32361189
- Markers of Intestinal Damage in Individuals with and without Obesity during a 12-Week Exercise Period.
- Effects of fucoidan on tumor prevention and gut flora
- Effect of Lactobacillus casei on lipid metabolism and intestinal microflora in patients with alcoholic liver injury33514869
- The ¦Á2AR/Caveolin©\1/p38MAPK/NF©\¦ÊB axis explains dexmedetomidine protection against lung injury following intestinal ischaemia©\reperfusion34114328
- Somatization in patients with predominant diarrhoea irritable bowel syndrome: the role of the intestinal barrier function and integrity34022802
- Impact of Successive Exertional Heat Injuries on Thermoregulatory and Systemic Inflammatory Responses in Mice34528459
- The protective effects of HIF-1α activation on sepsis induced intestinal mucosal barrier injury in rats model of sepsisPubmed:35576220
