Monoclonal Antibody to Heterogeneous Nuclear Ribonucleoprotein A2/B1 (HNRPA2B1)
hnRNP-A2/B1; hnRNPA2B1; RA33; HnRNPA2/B1
Overview
Properties
- Product No.MAA323Hu26
- Organism SpeciesHomo sapiens (Human) Same name, Different species.
- ApplicationsWB,IHC
If the antibody is used in flow cytometry, please check FCM antibodies.
Research use only - Downloadn/a
- CategorySignal transductionDevelopmental science
- SourceMonoclonal antibody preparation, Host Mouse
- Ig Isotype IgG2aKappa, Clone Number D3
- PurificationProtein A + Protein G affinity chromatography
- LabelNone
- Immunogen RPA323Hu01-Recombinant Heterogeneous Nuclear Ribonucleoprotein A2/B1 (HNRPA2B1)
- Buffer FormulationPBS, pH7.4, containing 0.02% NaN3, 50% glycerol.
- TraitsLiquid, Concentration 1mg/mL
Sign into your account
Share a new citation as an author
Upload your experimental result
Review

Contact us
Please fill in the blank.
Specifity
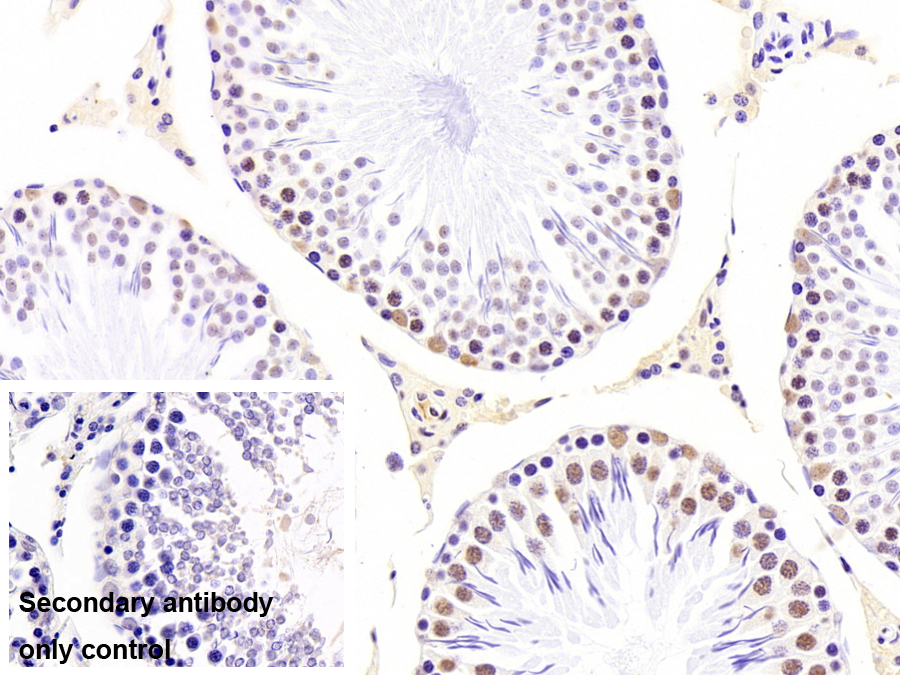
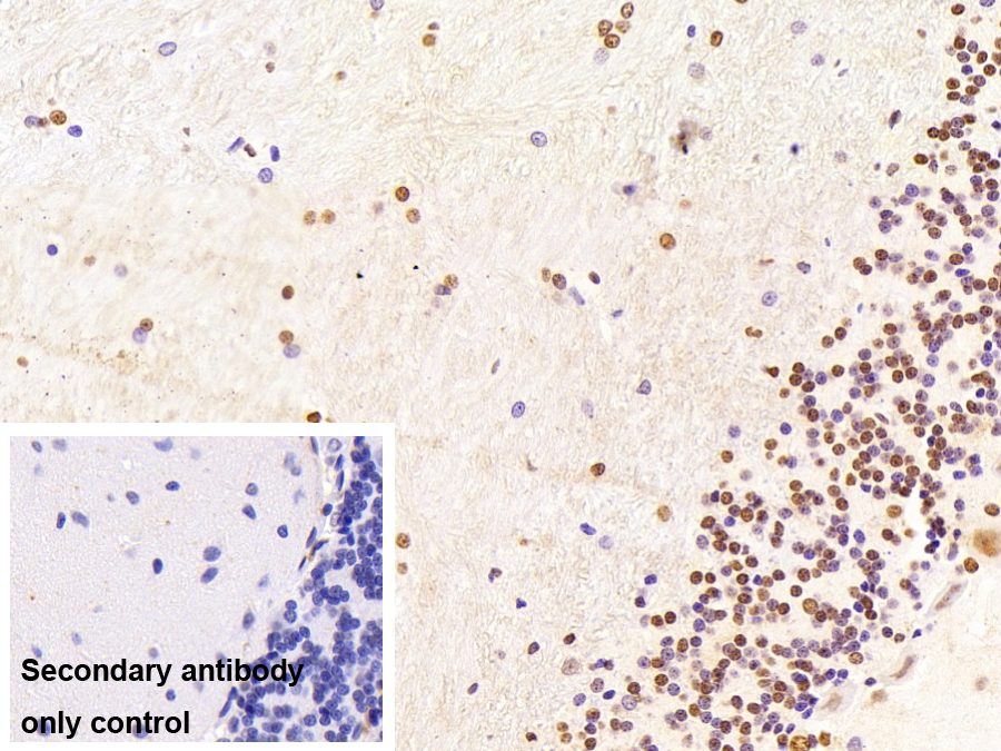
The antibody is a mouse monoclonal antibody raised against HNRPA2B1. It has been selected for its ability to recognize HNRPA2B1 in immunohistochemical staining and western blotting.
Usage
Western blotting: 0.01-2µg/mL;
Immunohistochemistry: 5-20µg/mL;
Optimal working dilutions must be determined by end user.
Storage
Store at 4°C for frequent use. Stored at -20°C in a manual defrost freezer for two year without detectable loss of activity. Avoid repeated freeze-thaw cycles.
Stability
The thermal stability is described by the loss rate. The loss rate was determined by accelerated thermal degradation test, that is, incubate the protein at 37°C for 48h, and no obvious degradation and precipitation were observed. The loss rate is less than 5% within the expiration date under appropriate storage condition.
Organism Species More: Rattus norvegicus (Rat)Giveaways
Increment services
-
Antibody Labeling Customized Service
-
Protein A/G Purification Column
-
Staining Solution for Cells and Tissue
-
Positive Control for Antibody
-
Tissue/Sections Customized Service
-
Phosphorylated Antibody Customized Service
-
Western Blot (WB) Experiment Service
-
Immunohistochemistry (IHC) Experiment Service
-
Immunocytochemistry (ICC) Experiment Service
-
Flow Cytometry (FCM) Experiment Service
-
Immunoprecipitation (IP) Experiment Service
-
Immunofluorescence (IF) Experiment Service
-
Buffer
-
DAB Chromogen Kit
-
SABC Kit
-
Long-arm Biotin Labeling Kit
-
Real Time PCR Experimental Service
Citations
- Abnormal levels of heterogeneous nuclear ribonucleoprotein A2B1 (hnRNPA2B1) in tumour tissue and blood samples from patients diagnosed with lung cancerPubmed:25483567
