Monoclonal Antibody to Histidine Rich Glycoprotein (HRG)    
    
HPRG; HRGP; Histidine-Proline Rich Glycoprotein; Thrombophilia Due To Elevated HRG
- UOM
 - FOB US$ 123.00 US$ 287.00 US$ 410.00 US$ 1,025.00 US$ 4,100.00
 - Quantity
 
Overview
Properties
- Product No.MAC534Ra22
 - Organism SpeciesRattus norvegicus (Rat) Same name, Different species.
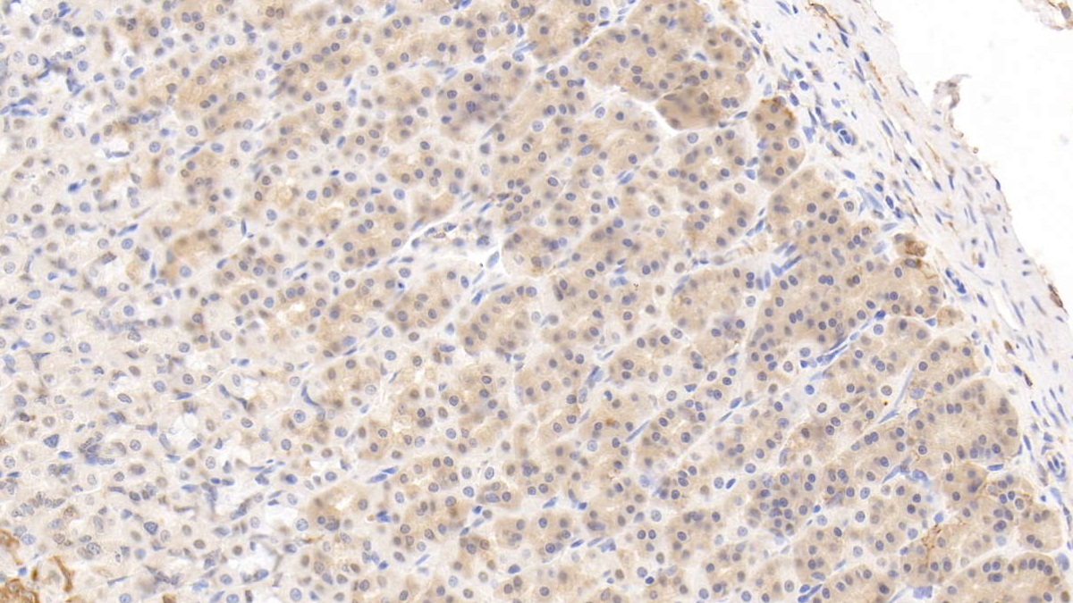
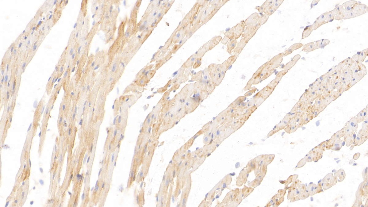
 - ApplicationsWB; IHC
If the antibody is used in flow cytometry, please check FCM antibodies.
Research use only - DownloadInstruction Manual
 - CategoryHematology
 
- SourceMonoclonal antibody preparation, Host Mouse
 - Ig Isotype IgG2b Kappa, Clone Number C10
 - PurificationProtein A + Protein G affinity chromatography
 - LabelNone
 - Immunogen EPC534Ra61-Eukaryotic Histidine Rich Glycoprotein (HRG)
 - Buffer Formulation0.01M PBS, pH7.4, containing 0.05% Proclin-300, 50% glycerol.
 - TraitsLiquid, Concentration 1mg/mL
 
Sign into your account
Share a new citation as an author
Upload your experimental result
Review

Contact us
Please fill in the blank.
Specifity
The antibody is a mouse monoclonal antibody raised against HRG. It has been selected for its ability to recognize HRG in immunohistochemical staining and western blotting.
Usage
            Western blotting: 0.5-5µg/mL
Immunohistochemistry: 5-50µg/mL
Immunocytochemistry: 5-50µg/mL
Optimal working dilutions must be determined by end user.        
Storage
Store at 4°C for frequent use. Stored at -20°C in a manual defrost freezer for two year without detectable loss of activity. Avoid repeated freeze-thaw cycles.
Stability
The thermal stability is described by the loss rate. The loss rate was determined by accelerated thermal degradation test, that is, incubate the protein at 37°C for 48h, and no obvious degradation and precipitation were observed. The loss rate is less than 5% within the expiration date under appropriate storage condition.
Giveaways
Increment services
- 
                
                    Antibody Labeling Customized Service
                                 - 
                
                    Protein A/G Purification Column
                                 - 
                
                    Staining Solution for Cells and Tissue
                                 - 
                
                    Positive Control  for Antibody
                                 - 
                
                    Tissue/Sections Customized Service
                                 - 
                
                    Phosphorylated Antibody Customized Service
                                 - 
                
                    Western Blot (WB) Experiment Service
                                 - 
                
                    Immunohistochemistry (IHC) Experiment Service
                                 - 
                
                    Immunocytochemistry (ICC) Experiment Service
                                 - 
                
                    Flow Cytometry (FCM) Experiment Service
                                 - 
                
                    Immunoprecipitation (IP) Experiment Service
                                 - 
                
                    Immunofluorescence (IF) Experiment Service
                                 - 
                
                    Buffer
                                 - 
                
                    DAB Chromogen Kit
                                 - 
                
                    SABC Kit
                                 - 
                
                    Long-arm Biotin Labeling Kit
                                 - 
                
                    Real Time PCR Experimental Service
                                 
Citations
- Identification and Confirmation of Differentially Expressed Fucosylated Glycoproteins in the Serum of Ovarian Cancer Patients Using a Lectin Array and LC–MS/MSACS: pr300330z
 - Evaluation of histidine-rich glycoprotein tissue RNA and serum protein as novel markers for breast cancerSpringer: Source
 - The nuclear bile acid receptor FXR controls the liver derived tumor suppressor histidine‐rich glycoproteinPubMed: 25363753
 - Pharmacokinetic and Pharmacodynamic Investigations of ION-353382, a Model Antisense Oligonucleotide: Using Alpha-2-Macroglobulin and Murinoglobulin Double-Knockout MicePubmed:27031383
 - Compositions and Methods for Diagnosing Lung Cancery2016:0077095.html
 - Combination of serum histidine-rich glycoprotein and uterine artery Doppler to predict preeclampsiaPubmed:29416108
 - Ultrastructural Localization of Histidine-rich Glycoprotein in Skeletal Muscle Fibers: Colocalization With AMP DeaminasePubmed: 31880188
 - Personalized Approach to Determination of Histidine-Rich Glycoprotein and E-Cadherin in Supernatants of Immunocompetent Blood Cells and Breast Biopsy …Pubmed: 32342301
 
