Monoclonal Antibody to Histone Deacetylase 1 (HDAC1)
HDAC1; GON10; HD1; RPD3; RPD3L1
Overview
Properties
- Product No.MAC206Hu24
- Organism SpeciesHomo sapiens (Human) Same name, Different species.
- ApplicationsWB; IHC; FCM
If the antibody is used in flow cytometry, please check FCM antibodies.
Research use only - DownloadInstruction Manual
- CategoryEnzyme & Kinase
- SourceMonoclonal antibody preparation, Host Mouse
- Ig Isotype IgG1 Kappa, Clone Number E1
- PurificationProtein A + Protein G affinity chromatography
- LabelNone
- Immunogen RPC206Hu01-Recombinant Histone Deacetylase 1 (HDAC1)
- Buffer Formulation0.01M PBS, pH7.4, containing 0.05% Proclin-300, 50% glycerol.
- TraitsLiquid, Concentration 1mg/mL
Sign into your account
Share a new citation as an author
Upload your experimental result
Review

Contact us
Please fill in the blank.
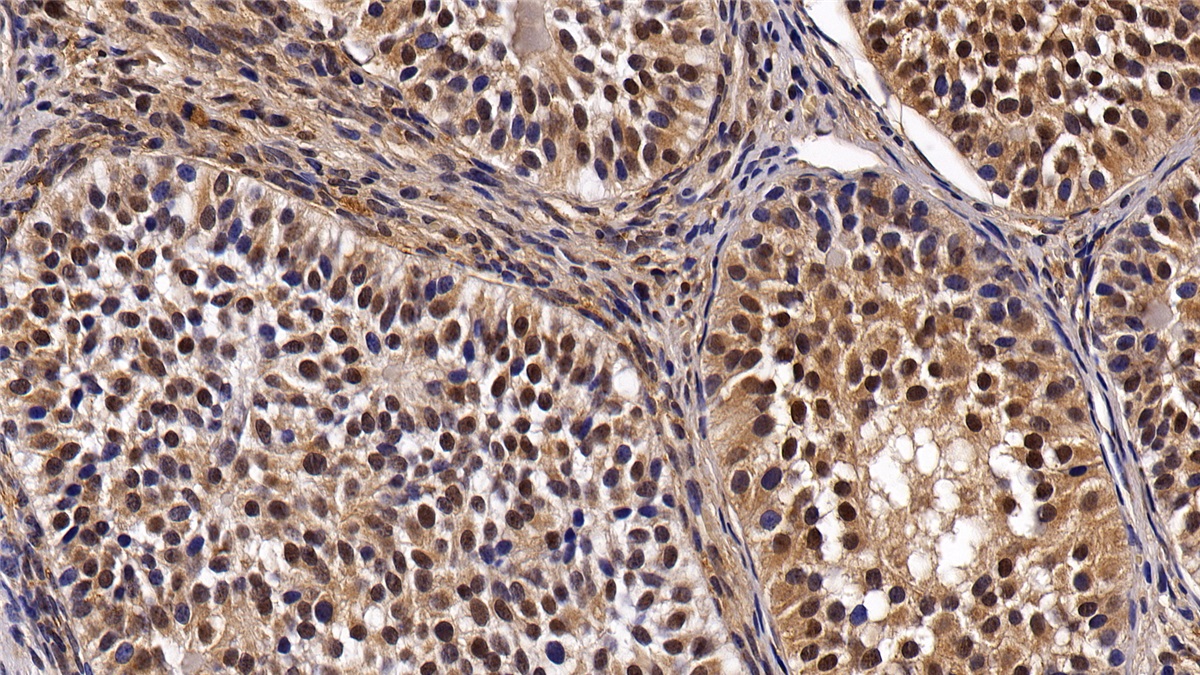
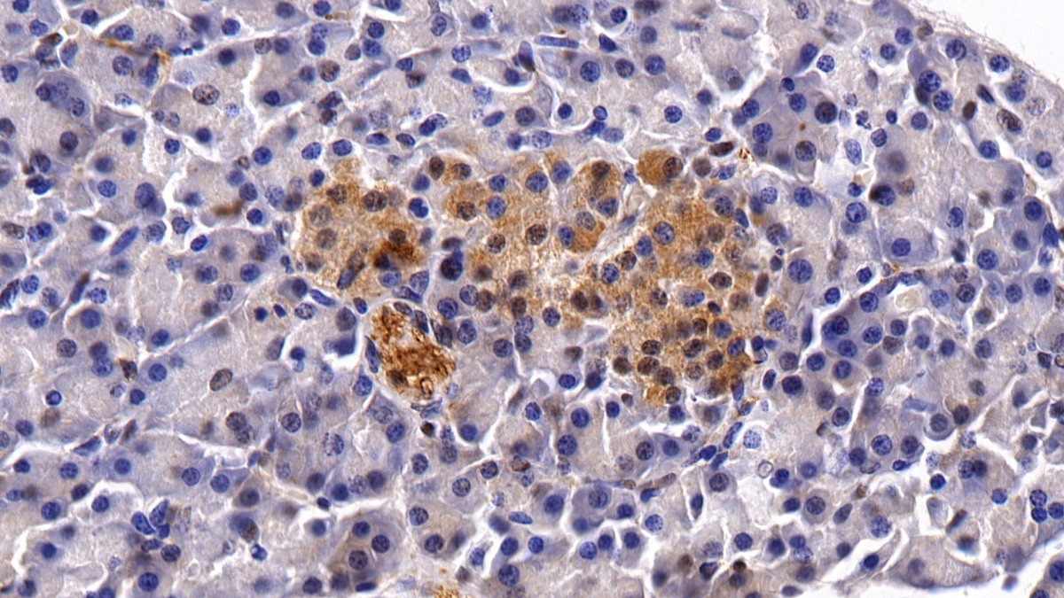
Specifity
The antibody is a mouse monoclonal antibody raised against HDAC1. It has been selected for its ability to recognize HDAC1 in immunohistochemical staining and western blotting.
Usage
Western blotting: 0.5-2µg/mL;
Immunohistochemistry: 5-20µg/mL;
Immunocytochemistry: 5-20µg/mL;
Flow cytometry: 10µg/ml;
Optimal working dilutions must be determined by end user.
Storage
Store at 4°C for frequent use. Stored at -20°C in a manual defrost freezer for two year without detectable loss of activity. Avoid repeated freeze-thaw cycles.
Stability
The thermal stability is described by the loss rate. The loss rate was determined by accelerated thermal degradation test, that is, incubate the protein at 37°C for 48h, and no obvious degradation and precipitation were observed. The loss rate is less than 5% within the expiration date under appropriate storage condition.
Organism Species More: Rattus norvegicus (Rat), Bos taurus; Bovine (Cattle)Giveaways
Increment services
-
Antibody Labeling Customized Service
-
Protein A/G Purification Column
-
Staining Solution for Cells and Tissue
-
Positive Control for Antibody
-
Tissue/Sections Customized Service
-
Phosphorylated Antibody Customized Service
-
Western Blot (WB) Experiment Service
-
Immunohistochemistry (IHC) Experiment Service
-
Immunocytochemistry (ICC) Experiment Service
-
Flow Cytometry (FCM) Experiment Service
-
Immunoprecipitation (IP) Experiment Service
-
Immunofluorescence (IF) Experiment Service
-
Buffer
-
DAB Chromogen Kit
-
SABC Kit
-
Long-arm Biotin Labeling Kit
-
Real Time PCR Experimental Service
Citations
- Saponins isolated from roots of Chlorophytum borivilianum reduce acute and chronic inflammation and histone deacetylasePubmed:25609369
- Effects of tetrandrine and caffeine on cell viability and expression of mammalian target of rapamycin, phosphatase and tensin homolog, histone deacetylase 1, and histone acetyltransferase in glioma cellsScience: Article
- Uridine protects against hypoxic-ischemic brain injury by reducing histone deacetylase activity in neonatal ratsPubMed: 26410212
- Lacosamide reduces HDAC levels in the brain and improves memory: Potential for treatment of Alzheimer's diseasePubMed: 25931268
- Effects of caffeine on cell viability and activity of histone deacetylase 1 and histone acetyltransferase in glioma cellsS1016319016300295
