Monoclonal Antibody to Interleukin 6 (IL6)
MGI2-A; MGI2A; HGF; BSF2; HSF; IFNB2; B-Cell Stimulatory Factor-2; Hybridoma/Plasmacytoma Growth Factor; Hepatocyte Stimulating Factor; Cytotoxic T-Cell Differentiation Factor
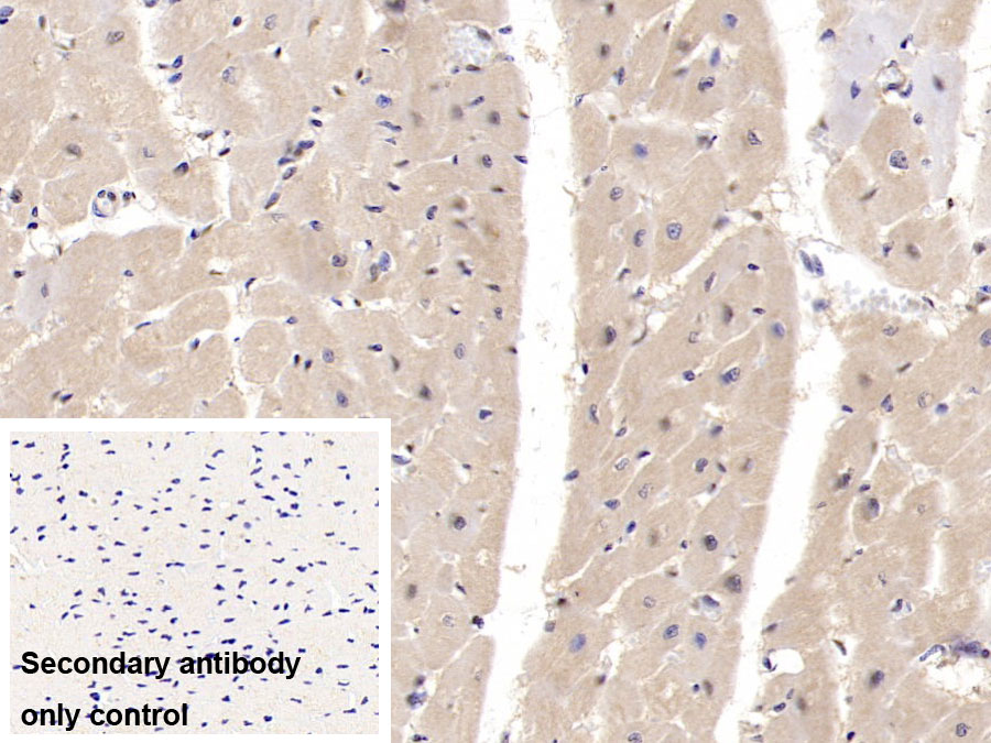
Overview
Properties
- Product No.MAA079Po29
- Organism SpeciesSus scrofa; Porcine (Pig) Same name, Different species.
- ApplicationsIHC
If the antibody is used in flow cytometry, please check FCM antibodies.
Research use only - DownloadInstruction Manual
- CategoryCytokineTumor immunityInfection immunityCardiovascular biology
- SourceMonoclonal antibody preparation, Host Mouse
- Ig Isotype IgG2b Kappa, Clone Number C7
- PurificationProtein A + Protein G affinity chromatography
- LabelNone
- Immunogen RPA079Po01-Recombinant Interleukin 6 (IL6)
- Buffer Formulation0.01M PBS, pH7.4, containing 0.05% Proclin-300, 50% glycerol.
- TraitsLiquid, Concentration 1mg/ml
Sign into your account
Share a new citation as an author
Upload your experimental result
Review

Contact us
Please fill in the blank.
Specifity
The antibody is a mouse monoclonal antibody raised against IL6. It has been selected for its ability to recognize IL6 in immunohistochemical staining and western blotting.
Usage
Western blotting: 0.01-2µg/mL;
Immunohistochemistry: 5-20µg/mL;
Immunocytochemistry: 5-20µg/mL;
Optimal working dilutions must be determined by end user.
Storage
Store at 4°C for frequent use. Stored at -20°C in a manual defrost freezer for two year without detectable loss of activity. Avoid repeated freeze-thaw cycles.
Stability
The thermal stability is described by the loss rate. The loss rate was determined by accelerated thermal degradation test, that is, incubate the protein at 37°C for 48h, and no obvious degradation and precipitation were observed. The loss rate is less than 5% within the expiration date under appropriate storage condition.
Giveaways
Increment services
-
Antibody Labeling Customized Service
-
Protein A/G Purification Column
-
Staining Solution for Cells and Tissue
-
Positive Control for Antibody
-
Tissue/Sections Customized Service
-
Phosphorylated Antibody Customized Service
-
Western Blot (WB) Experiment Service
-
Immunohistochemistry (IHC) Experiment Service
-
Immunocytochemistry (ICC) Experiment Service
-
Flow Cytometry (FCM) Experiment Service
-
Immunoprecipitation (IP) Experiment Service
-
Immunofluorescence (IF) Experiment Service
-
Buffer
-
DAB Chromogen Kit
-
SABC Kit
-
Long-arm Biotin Labeling Kit
-
Real Time PCR Experimental Service
Citations
- Notochordal Cells Influence Gene Expression of Inflammatory Mediators of Annulus Fibrosus Cells in Proinflammatory Cytokines StimulationPubMed: PMC2916142
- Anti-Inflammatory Effect of Guan-Xin-Er-Hao via the Nuclear Factor-Kappa B Signaling Pathway in Rats with Acute Myocardial InfarctionJstage: source
- Low temperature of radiofrequency ablation at the target sites can facilitate rapid progression of residual hepatic VX2 carcinomaBioMed: 14795876
- Genetic repression of mouse VEGF expression regulates coagulation cascade.PubMed: 21086498
- Analysis of genetic markers for cardiovascular disorders in a portuguese population with familial hypercholesterolemiaUniversi: 49434630
- Serial cytokine levels during wound healing in rabbit maxillary sinus mucosaPubMed: 19958244
- Egr-1 decreases adipocyte insulin sensitivity by tilting PI3K/Akt and MAPK signal balance in miceNature: 2011277
- Soluble BAFF-R produced by decidual stromal cells plays an inhibitory role in monocytes and macrophages ScienceDirect: S1472648312001484
- The association of interleukin-16 polymorphisms with IL-16 serum levels and risk of colorectal and gastric cancerOxfordJournals: source
- Plasma SFRP5 levels are decreased in Chinese subjects with obesity and type 2 diabetes and negatively correlated with parameters of insulin resistancePubMed: 23290274
- Synthesis and inflammatory response of a novel silk fibroin scaffold containing BMP7 adenovirus for bone regenerationPubMed: 22796416
- The change of serum level of pigment epithelium-derived factor in coronary heart diseaseBmj: Source
- Enhanced tumor growth after portal vein embolization in a rabbit tumor modelPubMed: 23149224
- Efficient intracellular delivery of siRNA with a safe multitargeted lipid-based nanoplatformPubMed: 23394132
- New Method to Isolate and Culture Rat Kupffer CellsPubMed: PMC3743898
- Recombinant Adiponectin Ameliorates Liver Ischemia Reperfusion Injury via Activating the AMPK/eNOS PathwayPubMed: PMC3676360
- Molecular Effects of Doxycycline Treatment on Pterygium as Revealed by Massive Transcriptome SequencingPubMed: PMC3378547
- A bone-seeking clone exhibits different biological properties from the ACHN parental human renal cell carcinoma in vivo and in vitroPubMed: PMC3583590
- Shuangtengbitong tincture treatment of collagen-induced arthritis via downregulation of the expression of IL-6, IL-8, TNF-α and NF-κBPubMed: PMC3570159
- Inflammation influence on the formation of endothelial dysfunction in hypertensive patients caused by obesityKnmu: Source
- Effects of Saw Palmetto Extract on Urodynamic Parameters, Bladder Muscarinic and Purinergic Receptors and Urinary Cytokines in Rats with Cyclophosphamide-Induced CystitisOnlinelibrary: luts.12015
- The effect of different dietary levels of vitamin E and selenium on antioxidant status and immunological markers in serum of laying hensPubmed: 23971202
- Ixora coccinea down Regulate the Inflammation-Associated Prostaglandins (PGE-2), Nitric Oxide (NO) and Cytokines Production in LPS-Stimulated RAW 264.7 MacrophageJnronline: Source
- Monocyte chemotactic protein-1 and other inflammatory parameters in Bernese Mountain dogs with disseminated histiocytic sarcomaPubmed: 23992872
- Effect of α-Linolenic Acid on Streptozotocin-induced Diabetic Retinopathy Indices In VivoPubmed: 24120388
- Inflammatory markers and haptoglobin polymorphism in Saudi with non-insulin-dependent diabetes mellitus.Pubmed: 23283045
- Intracranial injection of recombinant stromal-derived factor-1 alpha (SDF-1α) attenuates traumatic brain injury in rats.Pubmed: 24352531
- Identification of compounds from the water soluble extract of Cinnamomum cassia barks and their inhibitory effects against high-glucose-induced mesangial cells.Pubmed: 24013407
- Megakaryocytic leukemia 1 (MKL1) regulates hypoxia induced pulmonary hypertension in rats.Pubmed: 24647044
- Immunogenic alteration in laparoscopic common bile duct exploration.Pubmed: 24239148
- Repeated open endotracheal suctioning causes gradual desaturation but does not exacerbate lung injury compared to closed endotracheal suctioning in a rabbit model of ARDS.Pubmed: 24308643
- Budesonide added to modified porcine surfactant Curosurf may additionally improve the lung functions in meconium aspiration syndrome.Pubmed: 2432969
- Bioactive compounds from Cornus officinalis fruits and their effects on diabetic nephropathyScienceDirect: S0378874114002414
- HIF-1α Is Essential for Effective PMN Bacterial Killing, Antimicrobial Peptide Production and Apoptosis in Pseudomonas aeruginosa KeratitisPlos: Source
- Nanocomposites of bio-based hyperbranched polyurethane/funtionalized MWCNT as non-immunogenic, osteoconductive, biodegradable and biocompatible scaffolds in bone tissue engineeringRsc: Source
- A new signal amplification strategy of photoelectrochemical immunoassay for highly sensitive interleukin-6 detection based on TiO2/CdS/CdSe dual co-sensitized structureScienceDirect: S0956566314001924
- Anti-inflammatory Effect of Euphorbia hirta Leaf Extract in Rats and Modulation of Inflammation-Associated Prostaglandins (PGE-2) and Nitric Oxide (NO) Expression in RAW264.7 MacrophageIngentaconnect: Source
- Immunosuppression abrogates resistance of young rabbits to Rabbit Haemorrhagic Disease (RHD)Biomedcentral: Source
- Dipeptidyl peptidase-4 inhibitor ameliorates early renal injury through its anti-inflammatory action in a rat model of type 1 diabetesPubmed: 24342619
- L-ARGININE, BUT NOT L-NAME PROTECTS AGAINST LIVER INJURY INDUCED BY EXPERIMENTAL ISCHEMIA-REPERFUSIONTdmu:Source
- Effect of High Pressure-Volume and Low Pressure-Volume Mechanical Ventilation on Plasma Concentrations of Inflammatory Markers in Horses during General …Org:Source
- Treatment with Carnitine Enhances Bone Fracture Healing under Osteoporotic and/or Inflammatory ConditionsWiley:Source
- Biophysico-chemical interfacial attributes of Fe3O4 decorated MWCNT nanohybrid/bio-based hyperbranched polyurethane nanocomposite: an antibacterial wound healing material with controlled drug release potentialRsc:Source
- 芦荟大黄素抑制LPS诱导RAW264.7细胞释放炎症因子作用机制研究Docin:Source
- Ginsenosides Rg1 from Panax ginseng: A Potential Therapy for Acute Liver Failure Patients?Pubmed:Pmc4241314
- Margaritaria discoidea (Euphorbiaceae) stem bark extract attenuates allergy and Freund's adjuvant-induced arthritis in rodentsPubmed:Pmc3996754
- MRTF-A steers an epigenetic complex to activate endothelin-induced pro-inflammatory transcription in vascular smooth muscle cellsPubmed:Pmc4176337
- Increased serum levels of lipocalin-1 and-2 in patients with stable chronic obstructive pulmonary diseasePubmed:Pmc4043430
- Megakaryocytic Leukemia 1 (MKL1) Regulates Hypoxia Induced Pulmonary Hypertension in RatsPubmed:Pmc3960100
- Intracranial injection of recombinant stromal-derived factor-1 alpha (SDF-1α) attenuates traumatic brain injury in ratsPubmed:24352531
- Effects of honokiol on sepsis-induced acute kidney injury in an experimental model of sepsis in ratsPubmed:24531855
- A?new?signal?amplification?strategy?of?photoelectrochemical?immunoassay?for?highly?sensitive?interleukin-6?detection?based?on?TiO2/CdS/CdSe?dual?co-sensitized?structure.Pubmed:24690561
- Enhanced invasion of lung adenocarcinoma cells after co-culture with THP-1-derived macrophages via the induction of EMT by IL-6Pubmed:24698728
- Valproic acid protects septic mice from renal injury by reducing the inflammatory responsePubmed:24948542
- Alpha-lipoic acid exerts anti-inflammatory effects on lipopolysaccharide-stimulated rat mesangial cells via inhibition of nuclear factor kappa B (NF-κB) signaling pathway.Pubmed:24962643
- Hyperlipidemia causes changes in inflammatory responses to periodontal pathogen challenge: Implications in acute and chronic infectionsPubmed:24992577
- The anti-inflammatory effects of 1,1 dimethyl-4- phenylpiperazinium (DMPP) compared to dexamethasone in a guinea pig model of ovalbumin induced asthmaPubmed:25070830
- Oral administration?of?Saccharomyces?boulardii ameliorates carbon tetrachloride-induced liver fibrosis in?rats?via reducing intestinal permeability and modulating gut microbial composition.Pubmed:25227279
- Bisphenol A Exposure Enhances Atherosclerosis in WHHL RabbitsPubmed:25333893
- Notch Signaling Induces Root Resorption via RANKL and IL-6 from hPDL CellsPubmed:25376720
- GYY4137, a hydrogen sulfide‑releasing molecule, inhibits the inflammatory response by suppressing the activation of nuclear factor‑kappa B and mitogen‑activated protein kinases in Coxsackie virus B3‑infected rat cardiomyocytes.Pubmed:25377925
- Adipose tissue regulates hepatic cholesterol metabolism via adiponectinPubmed:25445438
- Ursolic acid improves survival and attenuates lung injury in septic rats induced by cecal ligation and puncturePubmed:25454976
- The innate immune response of equine bronchial epithelial cells is altered by trainingPubmed:25595212
- Protective effects of astaxanthin against ischemia/reperfusion induced renal injury in micePubmed:25623758
- Tanshinone ⅡA attenuates bleomycin-induced pulmonary fibrosis in ratsPubmed:25672255
- The Concentrations of Inflammatory Cytokines and Acute‐Phase Proteins in the Peripheral Blood and Uterine Washings in Cows with PyometraPubmed:25704413
- Exogenous carcinoembryonic antigen-related cell adhesion molecule 1 suppresses 2,4,6-trinitrobenzene sulfonic acid-induced ulcerative colitis in micePubmed:25724769
- Panax notoginseng saponins promote wound repair of anterior cruciate ligament through phosphorylation of PI3K, AKT and ERKPubmed:25755732
- Inflammatory cytokines and acute-phase proteins concentrations in the peripheral blood and uterus of cows that developed endometritis during early postpartum.Pubmed:25765299
- Pivotal role of mast cell carboxypeptidase A in mediating protection against small intestinal ischemia–reperfusion injury in rats after ischemic preconditioningSciencedirect:S0022480414004909
- Rosiglitazone attenuates renal injury caused by hyperlipidemic pancreatitisPubMed: 26191125
- Curcumin alleviates lung injury in diabetic rats by inhibiting nuclear factor‐κB pathwayPubMed: 26111829
- Effects of Intravenous Injection ofPubMed: 26063970
- Expression of S100 family proteins in neonatal rats with sepsis and its significancePubMed: 25973048
- Irisin improves endothelial function in obese mice through the AMPK-eNOS pathwayPubMed: 26371167
- Auricularia auricularBr: 3
- Serum IL-6 and IL-10 concentrations in bitches with pyometra undergoing ovariohysterectomyPubMed: 26410584
- Can apical periodontitis affect serum levels of CRP, IL-2, and IL-6 as well as induce pathological changes in remote organs?PubMed: 26556576
- Effects of dexmedetomidine on the protection of hyperoxia-induced lung injury in newborn ratsPubMed: 26261523
- Glycyrrhizic acid alleviates bleomycin-induced pulmonary fibrosis in ratsPubMed: 26483688
- Plasma CTRP-3 concentrations in Chinese patients with obesity and type II diabetes negatively correlate with insulin resistancePubMed: 26073386
- Salidroside protects against bleomycin-induced pulmonary fibrosis: activation of Nrf2-antioxidant signaling, and inhibition of NF-κB and TGF-β1/Smad-2/-3 pathwaysPubMed: 26577463
- Betulin attenuates kidney injury in septic rats through inhibiting TLR4/NF-κB signaling pathwayPubMed: 26656467
- Effect of SecinH3 on lung injury induced by sepsis of ratsPubMed: 26706678
- Penehyclidine Hydrochloride Preconditioning Provides Cardioprotection in a Rat Model of Myocardial Ischemia/Reperfusion InjuryPubMed: 26632817
- Plasma HMGB-1 Levels in Subjects with Obesity and Type 2 Diabetes: A Cross-Sectional Study in ChinaPubMed: 26317615
- Betulin attenuates lung and liver injuries in sepsisPubMed: 26644168
- Anti-inflammatory effect ofArticle: 10.1007
- Glycyrrhizic Acid Prevents Sepsis-Induced Acute Lung Injury and Mortality in RatsPubMed: 26385569
- Effect of remote ischemic preconditioning in the expression of IL-6 and IL-10 in a rat model of liver ischemia-reperfusion injuryPubMed: 26270136
- Evaluation of proliferation and cytokines production by mitogen-stimulated bovine peripheral blood mononuclear cellsArticle_14936_6.Html:
- Alteration in peripheral blood concentration of certain pro-inflammatory cytokines in cows developing retention of fetal membranesPubMed: 25851495
- Prenatal stress is a vulnerability factor for altered morphology and biological activity of microglia cellsPubMed: 25814933
- A Standardized Extract ofPubMed: 26501382
- Silymarin attenuates paraquat-induced lung injury via Nrf2-mediated pathway in vivo and in vitroPubMed: 26173462
- Berberine protects vascular endothelial cells in hypertensive ratsPubMed: 26628971
- Efficacy of coenzyme Q11 in mitigating spinal cord injuryPubMed: 26016719
- Mesenchymal stromal cell-dependent reprogramming of Kupffer cells is mediated by TNF-α and PGE4 and is crucial for liver transplant tolerancePubMed: 25982496
- Cyanidin-3-O-glucoside attenuates acute lung injury in sepsis ratsPubMed: 26152793
- Neuroprotective effect of allicin in a rat model of acute spinal cord injuryPubMed: 26546416
- Hypoxia-induced secretion of IL-18 from adipose-derived mesenchymal stem cell promotes growth and cancer stem cell properties of Burkitt lymphomaPubMed: 26695151
- Ultrasensitive photoelectrochemical immunoassay for CA19-9 detection based on CdSe@ZnS quantum dots sensitized TiO2NWs/Au hybrid structure amplified by quenching effect of Ab2@V2+PubMed: 26433066
- Amelioration of free fatty acid-induced fatty liver by quercetin-3-O-尾-D-glucuronide through modulation of peroxisome proliferator-activated receptor-alpha/sterol regulatory element-binding protein-1c signalingPubMed: 26190035
- Significance of the changes occurring in the levels of interleukins, SOD and MDA in rat pulmonary tissue following exposure to different altitudes and exposure times PubMed: 26622414
- ДИНАМИКА ЦИТОКИНОВОГО ПРОФИЛЯ В ОЦЕНКЕ ЭФФЕКТИВНОСТИ РАЗНЫХ МЕТОДОВ СТИМУЛЯЦИИ РЕПАРАТИВНОГО ОСТЕОГЕНЕЗА В ЭКСПЕРИМЕНТЕArticle: N
- Hyperinflation deteriorates arterial oxygenation and lung injury in a rabbit model of ARDS with repeated open endotracheal suctioningPubMed: 25943099
- The immunomodulating effect of seminal plasma on T cellsPubMed: 25799173
- Modulations of serum hepcidin, IL7 and iron status by different exercise regimens in ovarectomized ratsUploads: 605_Ijar-4848
- Inflammatory cytokines and acute-phase proteins concentrations in the peripheral blood and uterus of cows that developed endometritis during early postpartumPubMed: 25765299
- Inflammatory cytokine and acute phase protein concentrations in the peripheral blood and uterine washings of cows with subclinical endometritis in the late postpartum periodPubMed: 25846950
- Effects of prebiotic supplementation on the expression of proteins regulating iron absorption in anaemic growing ratsPubMed: 25745840
- ЦитокCgi-Bin: Irbis_Nbuv
- АНАЛИЗ ЦИТОКИНОВОГО СТАТУСА ПРИ ОРВИ КРУПНОГО РОГАТОГО СКОТАUploads: Article
- BQ123 Stimulates Skeletal Muscle Antioxidant Defense via Nrf2 Activation in LPS-Treated RatsJournals: Omcl
- Construction of recombinant Mip-FlaA dominant epitope vaccine against Legionella pneumophila and evaluation of the immunogenicity and protective immunityPubMed: 26607265
- Effects of Hyriopsis cumingii Polysaccharides on Mice Immunologic Receptor, Transcription Factor, and CytokinePubmed:27061742
- Oxymatrine attenuates CCl 4-induced hepatic fibrosis via modulation of TLR4-dependent inflammatory and TGF-β1 signaling pathwaysPubmed:27179304
- Hyperoxia disrupts the intestinal barrier in newborn ratsPubmed:27266842
- Innate Immune Responses in ALV-J Infected Chicks and Chickens with Hemangioma In VivoPubmed:27252695
- Human mesenchymal stem cells attenuate experimental bronchopulmonary dysplasia induced by perinatal inflammation and hyperoxiaPubmed:27158330
- Bubble CPAP support after discontinuation of mechanical ventilation protects rat lungs with ventilator-induced lung injuryPubmed:26800273
- Influence of diet on leukocyte telomere length, markers of inflammation and oxidative stress in individuals with varied glucose tolerance: a Chinese population studyPubmed:27071648
- Infection of chicken bone marrow mononuclear cells with subgroup J avian leukosis virus inhibits dendritic cell differentiation and alters cytokine expressionPubmed:27349993
- miR-1934, downreCavia (Guinea pig )lated in obesity, protects against low-grade inflammation in adipocytesPubmed:27013351
- 白细胞介素10 上调表达对家兔慢性细菌性鼻窦炎黏膜创伤修复的影响article:11593
- Effectiveness of pure argon for renal transplant preservation in a preclinical pig model of heterotopic autotransplantationPubmed:26847569
- Antiinflammatory Effect of N-Acetylcysteine Combined with Exogenous Surfactant in Meconium-Induced Lung InjuryPubmed:27283193
- Bexarotene protects against traumatic brain injury in mice partially through apolipoprotein EPubmed:27235741
- Fractalkine Attenuates Microglial Cell Activation Induced by Prenatal StressPubmed:27239349
- Targeted inhibition of GATA-6 attenuates airway inflammation and remodeling by reCavia (Guinea pig )lating caveolin-1 through TLR2/MyD88/NF-ŚĘB in murine model of asthmaPubmed:27289030
- Amelioration of free fatty acid-induced fatty liver by quercetin-3-O-β-D-glucuronide through modulation ofperoxisome proliferator-activated receptor-alpha/sterol reCavia (Guinea pig )latory element-binding protein-1c signaling.Pubmed:26190035
- Investigation of the anti-glioma activity of Oviductus ranae protein hydrolysatePubmed:27261592
- Dynamics of salivary immunoglobulin A and serum interleukin 6 levels in newborn calvesscience:S1871141316300841
- Serum interleukin-6 as a prognostic marker in neonatal calf diarrheaPubmed:27209135
- Anterior pituitary influence on adipokine expression and secretion by porcine adipocytes.Pubmed:27074715
- Consistency and pathophysiological characterization of a rat polymicrobial sepsis model via the improved cecal ligation and puncture surgeryPubmed:26802602
- Plasma Periostin Levels Are Increased in Chinese Subjects with Obesity and Type 2 Diabetes and Are Positively Correlated with Glucose and Lipid Parametersjournals:6423637
- Analysis of Ionomic Profiles of Canine Hairs Exposed to Lipopolysaccharide (LPS)-Induced StressPubmed:26758868
- Effects of glucagon-like peptide-1 on advanced glycation endproduct-induced aortic endothelial dysfunction in streptozotocin-induced diabetic rats: possible roles of Rho kinase- and AMP kinase-mediated nuclear factor κB signaling pathwaysPubmed:26758998
- Inhibition of cyclooxygenase-2 alleviates liver cirrhosis via improvement of the dysfunctional Cavia (Guinea pig )t-liver axis in ratsPubmed:27056726
- Ultrasensitive photoelectrochemical immunoassay for CA19-9 detection based on CdSe@ZnS quantum dots sensitized TiO2NWs/Au hybrid structure amplified by quenching effect of Ab2@V2+ conjugatesscience:S0956566315304474
- Comparison of laparoscopic and traditional abomasal cannulation in sheepview:16
- Neuroprotective Effect of Ginsenoside Rd in Spinal Cord Injury RatsPubmed:26833867
- The effects of polysaccharides from the root of Angelica sinensis on tumor growth and iron metabolism in H22-bearing micePubmed:26757699
- Anti‐inflammatory properties of tianeptine on lipopolysaccharide‐induced changes in microglial cells involve toll‐like receptor‐related pathwaysPubmed:26640965
- Classical swine fever virus NS5A protein changed inflammatory cytokine secretion in porcine alveolar macrophages by inhibiting the NF-κB signaling pathwayPubmed:27296632
- The effect of dietary methionine levels on fattening performance and selected blood and tissue parameters of turkeysPubmed:26829577
- Gln Attenuates LPS-induced Inflammatory Injury of Bos taurus Testis Sustentacular Cells10610
- Poria Attenuates Idiosyncratic Liver Injury Induced by Polygoni Multiflori Radix Praeparatapubmed:27803670
- Hyperglycemia Aggravates Hepatic Ischemia Reperfusion Injury by Inducing Chronic Oxidative Stress and Inflammation.pubmed:27656261
- Vitamins C and E Alleviate Nephrotoxicity-induced by Potassium Bromate in RatsBarakat812016JALSI28698.pdf
- Mutant DD genotype of NFKB1 gene is associated with the susceptibility and severity of coronary artery disease.pubmed:28088561
- Effect of traditional Chinese medicine formula Sinisan on chronic restraint stress-induced nonalcoholic fatty liver disease: a rat study.pubmed:28388904
- Recombinant Mip-PilE-FlaA dominant epitopes vaccine candidate against Legionella pneumophila.pubmed:28366526
- Protective effects of various ratios of DHA/EPA supplementation on high-fat diet-induced liver damage in mice.pubmed:28356106
- Eicosapentaenoic acid-enriched phospholipids improve atherosclerosis by mediating cholesterol metabolismS1756464617300890
- Noni leaf and black tea enhance bone regeneration in estrogen-deficient rats.pubmed:27908549
- Iridoid-loganic acid versus anthocyanins from the Cornus mas fruits (cornelian cherry): Common and different effects on diet-induced atherosclerosis, PPARs expression and inflammation.pubmed:27744131
- Plasma C1q/TNF-Related Protein-3 (CTRP-3) and High-Mobility Group Box-1 (HMGB-1) Concentrations in Subjects with Prediabetes and Type 2 Diabetespubmed:27738641
- Chronic prostatitis/chronic pelvic pain syndrome impairs erectile function through increased endothelial dysfunction, oxidative stress, apoptosis, and corporal fibrosis …doi:10.1111
- Targeted inhibition of GATA-6 attenuates airway inflammation and remodeling by regulating caveolin-1 through TLR2/MyD88/NF-κB in murine model of asthmapubmed:27289030
- The Neuroprotective Effect of Puerarin in Acute Spinal Cord Injury Rats.pubmed:27576607
- Alterations in gut microbiota during remission and recurrence of diabetes after duodenal-jejunal bypass in ratspubmed:27547013
- Effect of Passion Fruit (Passiflora edulis f. flavicarpa deg.) Peel Flour on the Prognosis of Acute Pancreatitis after Overnutrition During Lactationart00008
- No midterm advantages in the middle term using small intestinal submucosa and human amniotic membrane in Achilles tendon transverse tenotomypubmed:27881176
- Iridoid–loganic acid versus anthocyanins from the Cornus mas fruits (cornelian cherry): Common and different effects on diet-induced atherosclerosis, PPARs …S0021915016314046
- C‑reactive protein/oxidized low density lipoprotein/β2‑glycoprotein i complexes induce lipid accumulation and inflammatory reaction in macrophages via p38/mitogen‑ …10.3892
- The role of RhoA/ROCK singal pathway in cardiac rupture after infarction:
- ALV-J strain SCAU-HN06 induces innate immune responses in chicken primary monocyte-derived macrophagespubmed:27486255
- Lung inflammatory and oxidative alterations after exogenous surfactant therapy fortified with budesonide in rabbit model of meconium aspiration syndrome.pubmed:28006947
- S-Propargyl-Cysteine, a Novel Hydrogen Sulfide Donor, Inhibits Inflammatory Hepcidin and Relieves Anemia of Inflammation by Inhibiting IL-6/STAT3 Pathway.pubmed:27649298
- Protective Effects of Bifidobacterium on Intestinal Barrier Function in LPS-Induced EnterocyteBarrier Injury of Caco-2 Monolayers and in a Rat NEC Model.pubmed:27551722
- Acute phase response in the primiparous dairy cows after repeated percutaneous liver biopsyduring the transition period.pubmed:27487515
- Pro-inflammatory cytokines and structural biomarkers are effective to categorize osteoarthritisphenotype and progression in Standardbred racehorses over five years of racing career.pubmed:27821120
- Effects of budesonide on the lung functions, inflammation and apoptosis in a saline-lavagemodel of acute lung injury.pubmed:28195073
- Dihydromyricetin Protects against Diabetic Cardiomyopathy in Streptozotocin-Induced DiabeticMice.pubmed:28421194
- Deoxyschizandrin suppresses dss-induced ulcerative colitis in mice.pubmed:27976641
- Vaccination of rabbits with immunodominant antigens from Sarcoptes scabiei induced highlevels of humoral responses and pro-inflammatory cytokines but confers limited protection.pubmed:27502394
- Poly(ADP-ribose) polymerase 1 inhibition protects cardiomyocytes from inflammation andapoptosis in diabetic cardiomyopathy.pubmed:27027354
- Characterization of Simian Immunodeficiency Virus Variants Anatomically Compartmentalized inPlasma and Milk in Chronically Infected African Green Monkeys.pubmed:
- Bone fracture healing is delayed in splenectomic ratspubmed:27956350
- Flavonoids from sea buckthorn inhibit the lipopolysaccharide-induced inflammatory response in RAW264.7 macrophages through the MAPK and NF-κB pathways.pubmed:28256654
- Salusin-β contributes to oxidative stress and inflammation in diabetic cardiomyopathypubmed:28333148
- Protective effects of N-acetylcystein and atorvastatin against renal and hepatic injury in a rat model of intestinal ischemia-reperfusionpubmed:28273631
- Procalcitonin und proinflammatorische Zytokine in der bronchoalveolären Lavage beim lungenkranken Pferd unter inhalativer GlukokortikoidtherapieFUDISS_thesis_000000103830
- Protective Role of Bone Marrow Derived Mesenchymal Stem Cells-Conditioned Medium in the Infarcted Myocardium: The Potential Role of Selected CytokinesIJST-2328-3548-04-803
- The role of local IL6/JAK2/STAT3 signaling in high glucose–induced podocyte hypertrophyS2211913216300912
- ВПЛИВ КРОВОВТРАТИ НА ДИНАМІКУ ВМІСТУ ЦИТОКІНІВ СИРОВАТКИ КРОВІ В ПЕРІОД ГОСТРОЇ РЕАКЦІЇ НА КРАНІОСКЕЛЕТНУ ТРАВМУ83646
- Transplantation of Autologous Bone Marrow Mononuclear Cells Regulates Inflammation in aRabbit Model of Carotid Artery Atherosclerosis.pubmed:27788500
- Breviscapine reduces neuronal injury caused by traumatic brain injury insult: partly associated with suppression of interleukin-6 expressionpubmed:28250753
- The positive role of macrophage secretion stimulated by BCP ceramic in the ceramic-induced osteogenic differentiation of pre-osteoblasts via Smad-related signaling pathwaysc6ra23362g
- Effect of boron on thymic cytokine expression, hormone secretion, antioxidant functions, cell proliferation, and apoptosis potential via the ERK1/2 signaling pathwaypubmed:29032684
- Interleukin-6 downregulated vascular smooth muscle cell contractile proteins via ATG4B-mediated autophagy in thoracic aortic dissectionpubmed:28965202
- Selective Inhibition of NF-κB and Surfactant Therapy in Experimental Meconium-Induced Lung Injurypubmed:28937237
- Naringin attenuates diabetic retinopathy by inhibiting inflammation, oxidative stress and NF-κB activation in vivo and in vitropubmed:28852447
- Increased Chondrogenic Potential of Mesenchymal Cells From Adipose Tissue Versus Bone Marrow‐Derived Cells in Osteoarthritic In Vitro Modelspubmed:27739057
- Glucosamine oral administration as an adjunct to hyaluronic acid injection in treating temporomandibular joint osteoarthritispubmed:28862770
- The effect of feed supplementation with effective microorganisms(EM) on pro- and anti-inflammatory cytokine concentrations in pigspubmed:28549299
- Flavonoids from sea buckthorn inhibit the lipopolysaccharide-induced inflammatory response in RAW264. 7 macrophages through the MAPK and NF-κB …DOI:10.1039/C6FO01873D
- The long non-coding RNA Neat1 is an important mediator of the therapeutic effect of bexarotene on traumatic brain injury in micepubmed:28483659
- Hydrogen-Rich Saline Attenuates Brain Injury Induced by Cardiopulmonary Bypass and Inhibits Microvascular Endothelial Cell Apoptosis Via the PI3K/Akt/GSK3β …pubmed:29040978
- Sea cucumber saponins liposomes ameliorate obesity-induced inflammation and insulin resistance in high-fat diet-fed micepubmed:29292463
- Immunomodulatory Activities of a Fungal Protein Extracted from Hericium erinaceus through Regulating the Gut Microbiotapubmed:28713364
- The effect of restorative materials on cytokines in gingival crevicular fluidpubmed:28992599
- Identification of a panel of serum protein markers in early stage of sepsis and its validation in a cohort of patientspubmed:28655573
- A Systems Pharmacology Approach to Determine Active Compounds and Action Mechanisms of Xipayi KuiJie’an enema for Treatment of Ulcerative colitisdoi:10.1038/s41598-017-01335-w
- Relationship between microRNA-146a expression and plasma renalase levels in hemodialyzed patientspubmed:28614373
- 富氢液通过P13K通路减轻大鼠脑缺血再灌注损伤doi:10u3969.j.issn.1671-7856
- Tumor-associated macrophages promote tumor metastasis via the TGF-β/SOX9 axis in non-small cell lung cancerpubmed:29245941
- Cytokines and immunoglobulin genetics in neonatal calf diarrhea14.07.2017
- Candidates present viewsAvion 1987-03-25
- Overexpression of Brg1 Alleviates Hepatic Ischemia/Reperfusion-Induced Acute Lung Injury through Antioxidative Stress Effectspubmed:28798861
- Administration of probiotic mixture DM#1 ameliorated 5-fluorouracil-induced intestinal mucositis and dysbiosis in ratspubmed:27427511
- Milk and serum IL-4, IL-6, IL-10, and amyloid A concentrations in cows with subclinical mastitis caused by coagulase-negative staphylococcipubmed:28964518
- Inhibition of Fusarium solani Infection in Murine Keratocytes by Lactobacillus salivarius ssp. salivarius JCM1231 Culture Filtrate In Vitro pubmed:28636459
- Expression and Role of the Calcium-Sensing Receptor in Rat Peripheral Blood Polymorphonuclear Neutrophilspubmed:29081886
- Chronic Osteomyelitis Increases the Incidence of Type 2 Diabetes in Humans and Micepubmed:29104510
- Tanshinone II is a potent candidate for treatment of lipopolysaccharide-induced acute lung injury in rat model10.3892/ol.2017.7581
- Ginsenoside Rg1 inhibits inflammatory responses via modulation of the nuclear factor‑κB pathway and inhibition of inflammasome activation in alcoholic hepatitispubmed:29207044
- Dexmedetomidine Alleviates HyperoxiaInduced Acute Lung Injury via Inhibiting NLRP3 Inflammasome Activationpubmed:28873369
- Serum complement factor 5a levels are associated with nonalcoholic fatty liver disease in obese childrenDOI: 10.1111/apa.14106
- Interleukin-17 antagonist attenuates lung inflammation through inhibition of the ERK1/2 and NF-κB pathway in LPS-induced acute lung injury10.3892/mmr.2017.6837
- Bone marrow-derived mesenchymal stem cells alleviates renal injury in severe acute pancreatitis via RhoA/Rho kinaseISSN:1936-2625
- Protective effect of salvianolic acid B against intestinal ischemia reperfusion-induced injury in a rat model10.4314/tjpr.v16i10.17
- Esculentoside A ameliorates cecal ligation and puncture-induced acute kidney injury in rats pubmed:28637971
- Coenzyme Q10 and niacin mitigate streptozotocin-induced diabetic encephalopathy in a rat modelpubmed:28560538
- Alteration in some pro and anti-inflammatory cytokines associated with complete and incomplete gestation cycle of cows10.1080/09291016.2017.1319636
- The effect of DL-, L-isomers and DL-hydroxy analog administered at 2 levels as dietary sources of methionine on the metabolic and antioxidant parameters and growth performance of turkeys10.3382/ps/pex099
- The immune impact of mimic endoscopic retrograde appendicitis therapy and appendectomy on rabbits of acute appendicitis.pubmed:29029533
- Pantoprazole blocks the JAK2/STAT3 pathway to alleviate skeletal muscle wasting in cancer cachexia by inhibiting inflammatory response.pubmed:28489606
- Anemia and Iron Deficiency Related to Inflammation, Helicobacter pylori Infection and Adiposity in Reproductive-age Cuban Women10.1590/MEDICC.2017.1902030004
- Global gene expression profile of cerebral ischemia-reperfusion injury in rat MCAO modelpubmed:29088811
- Neuroprotection of Botch in experimental intracerebral hemorrhage in rats.pubmed:29221132
- Wpływ pola magnetycznego niskiej częstotliwości stosowanego w magnetoterapii na zawartość interleukiny 6 (il-6) w sercu i mózgu szczura 10.13075/mp.5893.00354
- An ALOX12-12-HETE-GPR31 signaling axis is a key mediator of hepatic ischemia-reperfusion injury.pubmed:29227475
- Protective effect of aplysin on liver tissue and the gut microbiota in alcohol-fed ratspubmed:28622357
- Blocking the Feedback Loop between Neuroendocrine Differentiation and Macrophages Improves the Therapeutic Effects of Enzalutamide (MDV3100) on Prostate Cancer.pubmed:29191973
- Altered gastrointestinal motility in an animal model of Lesch-Nyhan disease.pubmed:29305058
- A study of altered cytokine rhythms associated with successful implantation in cows10.1080/09291016.2017.1361159
- Calcitriol Ameliorates AngiotensinII-Induced Renal Injury Partly via Upregulating A20.pubmed:28744711
- Grape Seed Procyanidin Extract Reduces Arsenic-Induced Renal Inflammatory Injury in Male Mice.pubmed:28756814
- Increased synovial lipodystrophy induced by high fat diet aggravates synovitis in experimental osteoarthritis.pubmed:29191221
- Attenuation of acute systemic inflammatory response after valve surgeryISSN: 1556-4002
- Cis-stilbene glucoside in Polygonum multiflorum induces immunological idiosyncratic hepatotoxicity in LPS-treated rats by suppressing PPAR-γ.pubmed:28649126
- Biological effects of adipocytes in sulfur mustard induced toxicitypubmed:29129815
- Mild hypothermia pretreatment protects against liver ischemia reperfusion injury via the PI3K/AKT/FOXO3a pathwaypubmed:28944825
- Secondary Haemophilus parasuis infection enhances highly pathogenic porcine reproductive and respiratory syndrome virus (HP-PRRSV) infection-mediated inflammatory responses.pubmed:28532803
- Rosiglitazone Exerts an Anti-depressive Effect in Unpredictable Chronic Mild-Stress-Induced Depressive Mice by Maintaining Essential Neuron Autophagy and Inhibiting Excessive Astrocytic Apoptosis.pubmed:28959186
- Inflammatory biomarkers and radiologic measurements in never-smokers with COPD: A cross-sectional study from the CODA cohort.pubmed:29117798
- In Vivo Study on the Hindrance Activity of Cinnamon Extract Against Aspergillus niger in MiceISSN: 0974-4290
- The deubiquitinating enzyme cylindromatosis mitigates nonalcoholic steatohepatitisPubmed:29291351
- Metformin Inhibits Prostate Cancer Progression by Targeting Tumor-Associated Inflammatory InfiltrationPubmed:30012567
- Reciprocal network between cancer stem-like cells and macrophages facilitates the progression and androgen deprivation therapy resistance of prostate cancerPubmed:29691294
- Nose-to-brain delivery of insulin enhanced by a nanogel carrierPubmed:29196041
- Vasculotide, an angiopoietin-1 mimetic, restores microcirculatory perfusion and microvascular leakage and decreases fluid resuscitation requirements in …Pubmed:28968277
- Activated Α7nachr Improves Postoperative Cognitive Dysfunction and Intestinal Injury Induced by Cardiopulmonary Bypass in Rats: Inhibition of the Proinflammatory …Pubmed:29672286
- Leptin alleviates intestinal mucosal barrier injury and inflammation in obese mice with acute pancreatitisPubmed:29934609
- The Protective Activities of Dietary Sea Cucumber Cerebrosides Against Atherosclerosis Through Regulating Inflammation and Cholesterol Metabolism in Male MicePubmed:29883529
- Exposure to environmental level phenanthrene induces a NASH-like phenotype in new born ratPubmed:29656250
- Levo-corydalmine alleviates vincristine-induced neuropathic pain in mice by inhibiting an NF-kappa B-dependent CXCL1/CXCR2 signaling pathwayPubmed:29518397
- Maternal PUFA omega-3 supplementation prevents hyperoxia-induced pulmonary hypertension in the offspringPubmed:29597832
- Peroxisome proliferator‐activated receptor γ plays dual roles on experimental periodontitis in ratsPubmed:29574908
- Screening of circular RNAs and validation of circANKRD36 associated with inflammation in patients with type 2 diabetes mellitusPubmed:30066828
- Phytic acid improves intestinal mucosal barrier damage and reduces serum levels of proinflammatory cytokines in a 1, 2-dimethylhydrazine-induced rat colorectal …Pubmed:29947321
- Ursolic Acid Ameliorates Inflammation in Cerebral Ischemia and Reperfusion Injury Possibly via High Mobility Group Box 1/Toll-Like Receptor 4/NFκB …Pubmed:29867706
- Hepatoprotective effect of flavonoid-enriched fraction from Cyclocarya paliurus leaves on LPS/D-GalN-induced acute liver failure10.1016:j.jff.2018.07.031
- Resolvin D2 protects against cerebral ischemia/reperfusion injury in ratsPubmed:29439730
- Protective effect of isoliquiritigenin against cerebral injury in septic mice via attenuation of NF-κBPubmed:29943151
- Polar extract of protects cartilage homeostasis: possible mechanism of actionPubmed:29313174
- Asiatic acid suppresses neuroinflammation in BV2 microglia via modulation of the Sirt1/NF-κB signaling pathwayPubmed:29354820
- Lipoxin A4 may attenuate the progression of obesity-related glomerulopathy by inhibiting NF-κB and ERK/p38 MAPK-dependent inflammationPubmed:29499280
- Dexmedetomidine attenuates renal fibrosis via α2-adrenergic receptor-dependent inhibition of cellular senescence after renal ischemia/reperfusionPubmed:29729264
- Modified porcine surfactant enriched by recombinant human superoxide dismutase for experimental meconium aspiration syndromePubmed:29684443
- Intra-arterial human urinary kallidinogenase alleviates brain injury in rats with permanent middle cerebral artery occlusion through PI3K/AKT/FoxO1 signaling pathwayPubmed:29510144
- Switched memory B cells promote alveolar bone damage during periodontitis: An adoptive transfer experimentPubmed:30015235
- Lycium barbarum polysaccharide protects against LPS-induced ARDS by inhibiting apoptosis, oxidative stress, and inflammation in pulmonary endothelial cellsPubmed:29502482
- Silencing of Girdin suppresses the malignant behavior of colorectal carcinoma cellsPubmed:29989653
- Decreased miR-128 expression alleviated the progression of Rheumatoid arthritis by up-regulating the expression of TNFAIP3Pubmed:29853534
- Aspirin modulates the inflammatory response in a thrombus‑stimulated LMVEC modelPubmed:29568915
- E3 Ubiquitin Ligase c-cbl Inhibits Microglia Activation After Chronic Constriction InjuryPubmed:29934689
- Chitosan oligosaccharide ameliorates acute lung injury induced by blast injury through the DDAH1/ADMA pathwayPubmed:29415054
- Relationship between body condition score and plasma adipokines in early-lactating Holstein dairy cowsPubmed:30007810
- PPARγ alleviated hepatocyte steatosis through reducing SOCS3 by inhibiting JAK2/STAT3 pathwayPubmed:29550470
- Chronic cold exposure results in subcutaneous adipose tissue browning and altered global metabolism in Qinghai-Tibetan plateau pika (Ochotona curzoniae)Pubmed:29626477
- Tn (-acetyl-d-galactosamine--serine/threonine) immunization protects against hyperoxia-induced lung injury in adult mice through inhibition of the nuclear factor …Pubmed:29669308
- Shock waves increase pulmonary vascular leakage, inflammation, oxidative stress, and apoptosis in a mouse modelPubmed:29984607
- Effect of Multi-Microbial Probiotic Formulation Bokashi on Pro-and Anti-Inflammatory Cytokines Profile in the Serum, Colostrum and Milk of Sows, and in a …Pubmed:29305686
- Uncoupling Protein 2 and Peroxisome Proliferator-Activated Receptor γ Gene Polymorphisms in Association with Diabetes Susceptibility in Chinese Han Population …Pubmed:29849618
- Pathogen-dependent modulation of milk neutrophils competence, plasma inflammatory cytokines and milk quality during intramammary infection of Sahiwal (Bos …Pubmed:29787791
- MAVS induces a host cell defense to inhibit CSFV infectionPubmed:29556776
- Immunomodulatory activity of Lactobacillus plantarum KLDS1. 0318 in cyclophosphamide-treated micePubmed:30026678
- Inflammatory pattern of the infrapatellar fat pad in dogs with canine cruciate ligament diseasePubmed:29769086
- Protective effects of N (2)‑L‑alanyl‑L‑glutamine mediated by the JAK2/STAT3 signaling pathway on myocardial ischemia reperfusionPubmed:29393473
- Hydrogen‑rich solution against myocardial injury and aquaporin expression via the PI3K/Akt signaling pathway during cardiopulmonary bypass in ratsPubmed:29956781
- Epigallocatechingallate attenuates myocardial injury in a mouse model of heart failure through TGF‑β1/Smad3 signaling pathwayPubmed:29620209
- Rho Kinase Type 1 (ROCK1) Promotes Lipopolysaccharide-induced Inflammation in Corneal Epithelial Cells by Activating Toll-Like Receptor 4 (TLR4) …Pubmed:29804125
- Emodin Attenuates Bleomycin-Induced Pulmonary Fibrosis via Anti-Inflammatory and Anti-Oxidative Activities in RatsPubmed:29290631
- Sulforaphane, a Natural Isothiocyanate Compound, Improves Cardiac Function and Remodeling by Inhibiting Oxidative Stress and Inflammation in a Rabbit …Pubmed:29527002
- Anti-IL-8 antibody potentiates the effect of exogenous surfactant in respiratory failure caused by meconium aspirationPubmed:29324051
- Mesenchymal stem cells alleviate acute kidney injury by down-regulating C5a/C5aR pathway activationPubmed:29594894
- Hydrogen‑rich solution attenuates myocardial injury caused by cardiopulmonary bypass in rats via the Janus‑activated kinase 2/signal transducer and activator of …Pubmed:29928398
- Milk fever in dairy cows is preceded by activation of innate immunity and alterations in carbohydrate metabolism prior to disease occurrencePubmed:29277015
- Amniotic fluid HIF1α and exosomal HIF1α in cervical insufficiency patients with physical examination-indicated cerclagePubmed:29357727
- Comparison of Plasma Interleukin-6 and Interleukin-10 Concentrations between Female Dogs with Mammary Gland Tumours and Healthy17-377.pdf
- Effectiveness of steamed and cooked broccoli to attenuate bone marrow injury and suppressed haemopoiesis in male rats exposed to petrol vapours10.1080:00207233.2018.1502956
- Effect of reproductive disorders on productivity and reproductive efficiency of dromedary she-camels in relation to cytokine concentrationPubmed:29423707
- BoNT-A attenuated pain of endometriosis by inhibiting microglia activationfiles:ijcem0055240.pdf
- Rifaximin anti‐inflammatory activity on bovine endometrium primary cell cultures: a preliminary studyPubmed:29984902
- A Natural Dietary Supplement with a Combination of Nutrients Prevents Neurodegeneration Induced by a High Fat Diet in Mice:
- Gastroprotective effect of apricot kernel oil in ethanol-induced gastric mucosal injury in ratsPubmed: 30234391
- Effects of different doses of ticagrelor on platelet aggregation and endothelial function in diabetic patients with stable coronary artery diseasePubmed: 30252571
- Human mesenchymal stem cells attenuate hyperoxia-induced lung injury through inhibition of the renin-angiotensin system in newborn ratsPubmed: 30210699
- Honokiol protects pulmonary microvascular endothelial barrier against lipopolysaccharide-induced ARDS partially via the Sirt3/AMPK signaling axisPubmed: 30171880
- Activated hepatic stellate cells promote epithelial-to-mesenchymal transition in hepatocellular carcinoma through transglutaminase 2-induced pseudohypoxia
- Can the indicators of chronic ethanol consumption be minimized by a continuous flaxseed intake?Pubmed: 30338600
- Combinational Effect of Pine Needle Polysaccharide and Kudzu Flavonoids on Cell Differentiation and Fat Metabolism in 3T3-L1 CellsDoi: 10.3136/fstr.24.903
- Glucagon-like peptide-2 reduces the obesity-associated inflammation in the brainPubmed: 30347266
- Metabolism and immune status during transition period influences the lactation performance in Zebu (Bos indicus () cowsPubmed: 17430930
- Naringin protects against perfluorooctane sulfonate-induced liver injury by modulating NRF2 and NF-κB in micePubmed: 30316072
- DNA prime‐protein boost vaccine encoding HLA‐A2,‐A24 and‐DR 1 restricted epitopes of Ca NA 2 against visceral leishmaniasis
- Improved endogenous epoxyeicosatrienoic acid production mends heart function via increased PGC 1α-mitochondrial functions in metabolic syndromePubmed: 30342783
- Berberine ameliorates lipopolysaccharide-induced learning and memory deficit in the rat: insights into underlying molecular mechanismsPubmed: 30456649
- Immunogenicity and protective efficacy against Treponema pallidum in New Zealand rabbits immunized with plasmid DNA encoding flagellinPubmed: 30405111
- Levels of selected cytokines and acute–phase proteins in the serum of dairy cows with cystic ovarian disease and those in follicular and luteal phases of normal …Pubmed: 30580231
- Redox and immunological status of turkeys fed diets with different levels and sources of copper
- Corn silk (Zea mays L.), a source of natural antioxidants with α-amylase, α-glucosidase, advanced glycation and diabetic nephropathy inhibitory activitiesPubmed: 30530231
- Significant changes in circular RNA in the mouse cerebral cortex around an injury site after traumatic brain injuryPubmed: 30529438
- Effects of fecal microbiota transplantation and joint application of probiotics on rats with alcoholic liver disease
- Differences In Blood Parameters Associated To Stress Response Between Chilean Rodeo Horses And Chilean Urban Working HorsesDoi: 10.1016/j.jevs.2018.12.005
- Enhanced remedial effects for vitamin D3 and calcium co-supplementation against pre-existing lead nephrotoxicity in mice: The roles of renal calcium homeostatic …Pubmed: 30553018
- Early cytokine response after vaccination with Coxiella burnetii phase I in an infected herd of dairy cattle
- Altered serum levels of type I collagen turnover indicators accompanied by IL-6 and IL-8 release in stable COPDPubmed: 30655663
- Sinomenine Attenuates Traumatic Spinal Cord Injury by Suppressing Oxidative Stress and Inflammation via Nrf2 PathwayPubmed: 30603983
- Protective effects of sulforaphane on diabetic retinopathy: activation of the Nrf2 pathway and inhibition of NLRP3 inflammasome formationPubmed: 30606939
- Rebuilding post-infarcted cardiac functions by injecting TIIA@ PDA NPs-crosslinked ROS sensitive hydrogelsPubmed: 30592403
- Electroacupuncture Delays Cartilage Degeneration by Modulating Nuclear Factor-κB Signaling PathwayPubmed: 30656598
- Short-term Changes After Corticosteroid Injections Into the Normal Tendons of Rabbits: A Controlled Randomized StudyPubmed: 30640506
- Chronic hyperammonemia induces peripheral inflammation that leads to cognitive impairment in rats: reversal by anti-tnfa treatmentPubmed: 30654069
- Chandrasekaran Chinampudur Velusami, Edwin Jothie Richard &
- Long non-coding RNA mitigates atherosclerosis by regulating the actin-binding protein NEXNPubmed: 30589415
- Honokiol Attenuates Sepsis-Associated Acute Kidney Injury the Inhibition of Oxidative Stress and InflammationPubmed: 30680694
- Bradykinin contributes to immune liver injury via B2R receptor-mediated pathways in trichloroethylene sensitized mice: a role in Kupffer cell activationPubmed: 30685357
- Adiponectin attenuates lipopolysaccharide-induced cell injury of H9c2 cells by regulating AMPK pathwayPubmed: 30668810
- Anti-inflammatory and cognitive effects of interferon-β1a (IFNβ1a) in a rat model of Alzheimer's diseasePubmed: 30777084
- Transcriptome profiling reveals the anti-diabetic molecular mechanism of Cyclocarya paliurus polysaccharides: Anti-diabetic molecular mechanism of Cyclocarya?…Doi: 10.1016/j.jff.2018.12.039
- Unfractionated Heparin Alleviates Sepsis-Induced Acute Lung Injury by Protecting Tight JunctionsPubmed: 30771687
- Synergistic enhancement and hepatoprotective effect of combination of total phenolic extracts of L. and methotrexate for treatment of rheumatoid?…Pubmed: 30729592
- Rosmarinic acid attenuates inflammatory responses through inhibiting HMGB1/TLR4/NF-κB signaling pathway in a mouse model of Parkinson's disease
- Astragaloside IV regulates the PI3K/Akt/HO-1 signaling pathway and inhibits H9c2 cardiomyocyte injury induced by hypoxia-reoxygenationPubmed: 30867343
- Three types of gut bacteria collaborating to improve Kui Jie'an enema treat DSS-induced colitis in micePubmed: 30870717
- Effect of voluntary running on expression of myokines in brains of rats with depressionPubmed: 30834799
- Metabolomics analysis of baicalin on ovalbumin-sensitized allergic rhinitis rats
- Improving the anti-keloid outcomes through liposomes loading paclitaxel–cholesterol complexesPubmed: 30863067
- Grape seed proanthocyanidin extract alleviates arsenic-induced lung damage through NF-κB signalingPubmed: 30869553
- Effective Treatment of Bovine Mastitis with Intramammary Infusion of Angelica dahurica and Rheum officinale Extracts
- Chlorogenic Acid Attenuates Dextran Sodium Sulfate-Induced Ulcerative Colitis in Mice through MAPK/ERK/JNK Pathway
- Role of melatonin in sleep deprivation‐induced intestinal barrier dysfunction in micePubmed: 30929267
- Roles of citric acid in conjunction with saline nebulization in experimental tracheostomy in guinea pigsPubmed: 30973274
- Co-culture of osteochondral explants and synovial membrane as in vitro model for osteoarthritisPubmed: 30939166
- The wound healing potential of a pro-angiogenic peptide purified from Indian Russell's viper (Daboia russelii) venomPubmed: 31054289
- Knockdown of periostin attenuates 5/6 nephrectomy‐induced intrarenal renin–angiotensin system activation, fibrosis, and inflammation in rats
- The role of amniotic fluid exosome, hypoxia inducible fator-1α, and inflammatory cytokine in cervical insufficiency
- Seluang Fish (Rasbora Spp.) Oil Decreases Inflammatory Cytokines Via Increasing Vitamin D Level in Systemic Lupus Erythematosus
- miR-21 promotes proliferation and inhibits apoptosis of hepatic stellate cells through targeting PTEN/PI3K/AKT pathwayPubmed: 31038023
- Intraperitoneal administration of activin A promotes development of endometriotic lesions in a mouse model of endometriosisPubmed: 31064924
- Total flavonoids from sea buckthorn ameliorates lipopolysaccharide/cigarette smoke‐induced airway inflammationPubmed: 31209984
- Inflammatory anemia-associated parameters are related to 28-day mortality in patients with sepsis admitted to the ICU: a preliminary observational studyPubmed: 31183575
- Synergistic effect of sea cucumber saponin and EPA-enriched phospholipids on insulin resistance in high-fat diet-induced obese micePubmed: 31199413
- Eicosapentaenoic acid in the form of phospholipid exerts superior anti-atherosclerosis effects than its triglyceride form in ApoE-/-mice
- Expression and Purification of Hybrid LL-37Tα1 Peptide in Pichia pastoris and evaluation of their Immunomodulatory and anti-inflammatory activities by LPS …
- Network pharmacology oriented study reveals inflammatory state-dependent dietary supplement hepatotoxicity responses in normal and diseased ratsPubmed: 31140472
- CD28 deficiency attenuates primary blast-induced renal injury in mice via the PI3K/Akt signalling pathwayPubmed: 31129646
- Lanthanum chloride induces neuron damage by activating the nuclear factor-kappa B signaling pathway in activated microgliaPubmed: 31187842
- Pinealektomize Edilmiş Septik Sıçanlarda TNF-α, IL-6, IL-10 ve IL-1β'nin Kan Düzeyleri ile Karaciğer ve Böbrekte Gen Ekspresyonu Seviyelerindeki …Doi: 10.5505/vtd.2019.32815
- Magnetic-responsive and targeted cancer nanotheranostics by PA/MR bimodal imaging-guided photothermally triggered immunotherapy
- Crosstalk between Cdk5/p35 and ERK1/2 signalling mediates spinal astrocyte activity via the PPARγ pathway in a rat model of chronic constriction injuryPubmed: 31314915
- STAT3 polymorphisms and IL-6 polymorphism are associated with the risk of basal cell carcinoma in patients from northern PolandPubmed: 31342143
- Madecassoside ameliorates lipopolysaccharide-induced neurotoxicity in rats by activating the Nrf2-HO-1 pathwayPubmed: 31330225
- Evaluation of infrared thermography compared to rectal temperature to identify illness in early postpartum dairy cows
- PD123319, angiotensin II type II receptor antagonist, inhibits oxidative stress and inflammation in 2, 4-dinitrobenzene sulfonic acid-induced colitis in rat and …Pubmed: 31321575
- Antiallergical Effect of New Combined Nazal Aerodisperse System in the Conditions of Experimental Allergic Rhinitis
- MODULATION OF LIPOPOLYSACCHARIDE-INDUCED CYTOKINES RESPONSE IN MICE BY GRAVIOLA LEAF POWDER
- Vitamin D protects against oxidative stress, inflammation and hepatorenal damage induced by acute paracetamol toxicity in ratPubmed: 31255668
- KLF4 upregulation is involved in alternative macrophage activation during secondary Echinococcus granulosus infectionPubmed: 31407814
- The effects of hydrogen-rich saline solution on intestinal anastomosis performed after intestinal ischemia reperfusion injury
- Cardioprotective Effect of a Virgin Olive Oil Enriched with Bioactive Compounds in Spontaneously Hypertensive RatsPubmed: 31357464
- Metallothionein-1 is associated with osteoarthritis disease activity and suppresses proinflammatory cytokines production in synovial cellsPubmed: 31465913
- Anti-Inflammatory State in Arabian Horses Introduced to the Endurance TrainingPubmed: 31462005
- Naoxintong Capsule Inhibits the Development of Cardiovascular Pathological Changes in Bama Minipig Through Improving Gut MicrobiotaPubmed: 31632272
- Anti-inflammatory and antioxidant effects of muscarinic acetylcholine receptor (mAChR) activation in the rat hippocampusPubmed: 31578381
- The effects of L-NAME on DU145 human prostate cancer cell line: a cytotoxicity-based studyPubmed: 31610702
- Polysaccharide from the Seeds of Plantago asiatica L. Protect Against Lipopolysaccharide-Induced Liver InjuryPubmed: 31560611
- The N-Acetyl Phenylalanine Glucosamine Derivative Attenuates the Inflammatory/Catabolic Environment in a Chondrocyte-Synoviocyte Co-Culture SystemPubmed: 31537813
- Kappa opioid receptor agonists improve postoperative cognitive dysfunction in rats via the JAK2/STAT3 signaling pathwayPubmed: 31545485
- Research Article Potential Protective Role of Rutin and Alpha-lipoic Acid Against Cisplatin-induced Nephrotoxicity in RatsPubmed: 31930824
- INCREASED INTRA-ARTICULAR GRANZYME M TRIGGERS LOCAL PROINFLAMMATORY CYTOKINE RELEASE IN RHEUMATOID ARTHRITISPubmed: 31172927
- Collaborative Effects of Chlorogenic Acid and Caffeine on Lipid Metabolism via AMPKα-LXRα/SREBP-1c Pathway in High-Fat Diet-Induced Obese MicePubmed: 31670366
- The immune response of young turkeys to haemorrhagic enteritis virus infection at different levels and sources of methionine in the dietPubmed: 31675966
- Qingkailing injection ameliorates cerebral ischemia-reperfusion injury and modulates the AMPK/NLRP3 Inflammasome Signalling pathwayPubmed: 31747940
- Salidroside mitigates skeletal muscle atrophy in rats with cigarette smoke-induced COPD by up-regulating myogenin and down-regulating myostatin expressionPubmed: 31702007
- Melatonin alleviates oxidative stress in sleep deprived mice: Involvement of small intestinal mucosa injuryPubmed: 31835081
- Beneficial effects of voluntary over forced exercise on skeletal muscle structure and myokines expressionPubmed: 31802473
- Triphenyl phosphate causes a sexually dimorphic metabolism dysfunction associated with disordered adiponectin receptors in pubertal micePubmed: 31796355
- Ginsenoside Rg3-loaded, reactive oxygen species-responsive polymeric nanoparticles for alleviating myocardial ischemia-reperfusion injuryPubmed: 31783047
- XPO1 Gene Therapy Attenuates Cardiac Dysfunction in Rats with Chronic Induced Myocardial InfarctionPubmed: 31768947
- Effects of Total Flavonoids from Exocarpium Citri Grandis on Air Pollution Particle‐Induced Pulmonary Inflammation and Oxidative Stress in MicePubmed: 31762039
- Neuroprotective effect of Wogonin on Rat's brain exposed to gamma irradiationPubmed: 31935591
- The therapeutic effect of dendritic cells expressing indoleamine 2, 3-dioxygenase (IDO) on an IgA nephropathy mouse modelPubmed: 31894556
- Syringin protects against colitis by ameliorating inflammationPubmed: 31899146
- The Increase in IL-1β in the Early Stage of Heatstroke Might Be Caused by Splenic Lymphocyte Pyroptosis Induced by mtROS-Mediated Activation of the …Pubmed: 31921131
- Rotundic Acid Protects against Metabolic Disturbance and Improves Gut Microbiota in Type 2 Diabetes RatsPubmed: 31887996
- Pathogenicity of porcine reproductive and respiratory syndrome virus (ORF5 RFLP 1–7–4 viruses) in ChinaPubmed: 32187856
- MiR‐29c‐3p inhibits microglial NLRP3 inflammasome activation by targeting NFAT5 in Parkinson's diseasePubmed: 32160394
- The association of circulating prepartum metabolites, minerals, cytokines and hormones with postpartum health status in dairy cattlePubmed: 32172001
- The toxicity of alumina nanoparticles to immune system in micePubmed: 32162999
- Glucagon-like peptide-2 analog and inflammatory state in obese micePubmed: 32172484
- Leukocyte Telomere Length Independently Predicts 3-Year Diabetes Risk in a Longitudinal Study of Chinese PopulationPubmed: 32215181
- Corrosion Resistance of Graphene oxide/Silver Coatings on Ni–Ti alloy and Expression of IL-6 and IL-8 in Human Oral FibroblastsPubmed: 32094428
- Suppression of Fpr2 expression protects against endotoxin-induced acute lung injury by interacting with Nrf2-regulated TAK1 activationPubmed: 32106380
- AVNP2 protects against cognitive impairments induced by C6 glioma by suppressing tumour associated inflammation in ratsPubmed: 32097763
- Lowering effects of fish oil supplementation on proinflammatory markers in hypertension: results from a randomized controlled trialPubmed: 32044905
- Anti-placental growth factor antibody ameliorates hyperoxia-mediated impairment of lung development in neonatal ratsPubmed: 31994602
- Effects of Early Intervention with Antibiotics and Maternal Fecal Microbiota on Transcriptomic Profiling Ileal Mucusa in Neonatal PigsPubmed: 31963653
- Topical Therapeutic Efficacy of Ebselen Against Multidrug-Resistant Staphylococcus aureus LT-1 Targeting Thioredoxin ReductasePubmed: 32010088
- Nonsteroidal anti‐inflammatory drugs alleviate severity of post‐ERCP pancreatitis by inhibiting inflammation and reducing apoptosisPubmed: 32064683
- Silica nanoparticles induce JNK-mediated inflammation and myocardial contractile dysfunctionPubmed: 32036317
- Hydrogen-Rich Saline Inhibits Lipopolysaccharide-Induced Acute Lung Injury and Endothelial Dysfunction by Regulating Autophagy through mTOR/TFEB …Pubmed: 32071922
- Effect of Different Dosages of Dexamethasone Therapy on Lung Function and Inflammation in an Early Phase of Acute Respiratory Distress Syndrome ModelPubmed: 31928043
- Micro RNA 146a gene variant/TNF-α/IL-6/IL-1 β; A cross-link axis inbetween oxidative stress, endothelial dysfunction and neuro-inflammation in acute ischemic stroke …Pubmed: 31738890
- MicroRNA-27a-3p Downregulation Inhibits Inflammatory Response and Hippocampal Neuronal Cell Apoptosis by Upregulating Mitogen-Activated Protein Kinase 4 …Pubmed: 31710596
- Synthetic surfactant with a recombinant surfactant protein C analogue improves lung function and attenuates inflammation in a model of acute respiratory …Pubmed: 31694668
- Two different fucosylated chondroitin sulfates: structural elucidation, stimulating hematopoiesis and immune-enhancing effectsPubmed: 31887892
- Silkworm pupa oil attenuates acetaminophen‐induced acute liver injury by inhibiting oxidative stress‐mediated NF‐κB signalingPubmed: 31993149
- Irisin Improves Autophagy of Aged Hepatocytes via Increasing Telomerase Activity in Liver InjuryPubmed: 31976032
- Anti‐inflammatory effect from extracts of Red Chinese cabbage and Aronia in LPS‐stimulated RAW 264.7 cellsPubmed: 32328255
- Tectorigenin inhibits inflammation and pulmonary fibrosis in allergic asthma model of ovalbumin‐sensitized guinea pigsPubmed: 32314371
- Mitochondrial membrane protein mitofusin 2 as a potential therapeutic target for treating free fatty acid–induced hepatic inflammation in dairy cows during early …Pubmed: 32278565
- Cyanidin-3-O-Glucoside Attenuates Lipopolysaccharide-Induced Inflammation in Human Corneal Epithelial Cells by Inducing Let-7b-5p-Mediated HMGA2/PI3K/Akt …Pubmed: 32248330
- Anti-inflammatory effects of ginsenoside Rg3 on the hypertrophic scar formation via the NF-κB/IκB signaling pathway in rabbit earsPubmed: 32213242
- Exosomes of Antler Mesenchymal Stem Cells Improve Postoperative Cognitive Dysfunction in Cardiopulmonary Bypass Rats through Inhibiting the TLR2 …Pubmed: 32300366
- Tu-Teng-Cao Extract Alleviates Monosodium Urate-Induced Acute Gouty Arthritis in Rats by Inhibiting Uric Acid and InflammationPubmed: 23306170
- An OMV-Based Nanovaccine Confers Safety and Protection against Pathogenic Escherichia coli via Both Humoral and Predominantly Th1 Immune Responses in …Pubmed: 33233490
- Intravitreal conbercept improves outcome of proliferative diabetic retinopathy through inhibiting inflammation and oxidative stressPubmed: 33227274
- Halting the FGF/FGFR axis leads to anti-tumor activity in Waldenström's Macroglobulinemia by silencing MYD88.Pubmed: 33197938
- NFKB1 gene rs28362491 ins/del variation is associated with higher susceptibility to myocardial infarction in a Chinese Han populationPubmed: 33177541
- Ketogenic diet induces autophagy to alleviate bleomycin-induced pulmonary fibrosis in murine modelsPubmed: 33121292
- The role of Smad4 in the regulation of insulin resistance, inflammation and cell proliferation in HTR8‐Svneo cellsPubmed: 33079408
- Gastroprotective effect of Lycium barbarum polysaccharides and C-phyocyanin in rats with ethanol-induced gastric ulcerPubmed: 33058973
- A new therapeutic strategy targeting protein deacetylation for spinal cord injuryPubmed: 33039524
- Chlorogenic acid prevents acute myocardial infarction in rats by reducing inflammatory damage and oxidative stressPubmed: 33022535
- GPR120 Ameliorates Apoptosis and Inhibits the Production of Inflammatory Cytokines in Renal Tubular Epithelial CellsPubmed: 33009637
- Toxicological impact of sodium benzoate on inflammatory cytokines, oxidative stress and biochemical markers in male Wistar ratsPubmed: 33003960
- Cerebrospinal fluid cholinergic biomarkers are associated with postoperative delirium in elderly patients undergoing Total hip/knee replacement: a …Pubmed: 32988385
- Effect of procyanidins on lipid metabolism and inflammation in rats exposed to alcohol and ironPubmed: 32964156
- Downregulation of ROCK2 attenuates alcohol-induced inflammation and oxidative stress in astrocytesPubmed: 32942936
- LDHB inhibition induces mitophagy and facilitates the progression of CSFV infectionPubmed: 32924761
- Crocin ameliorates arsenic trioxide‑induced cardiotoxicity via Keap1-Nrf2/HO-1 pathway: Reducing oxidative stress, inflammation, and apoptosisPubmed: 32920515
- LIGHT aggravates sepsis‐associated acute kidney injury via TLR4‐MyD88‐NF‐κB pathwayPubmed: 32881263
- miR-205/IRAK2 signaling pathway is associated with urban airborne PM2.5-induced myocardial toxicityPubmed: 32880512
- Exosomes Derived from MicroRNA-146a-5p-Enriched Bone Marrow Mesenchymal Stem Cells Alleviate Intracerebral Hemorrhage by Inhibiting Neuronal …Pubmed: 32821084
- Porcine soluble CD83 alleviates LPS-induced abortion in mice by promoting Th2 cytokine production, Treg cell generation and trophoblast invasionPubmed: 32810792
- A comparative study on various immunological parameters influencing embryo survivability in crossbred dairy cowsPubmed: 32810791
- Exosomes derived from TSG-6 modified mesenchymal stromal cells attenuate scar formation during wound healingPubmed: 32800897
- Liraglutide ameliorates lipotoxicity-induced inflammation through the mTORC1 signalling pathwayPubmed: 32771373
- Preventive effect of dioscin against monosodium urate-mediated gouty arthritis through inhibiting inflammasome NLRP3 and TLR4/NF-κB signaling pathway activation …Pubmed: 32761488
- MicroRNA-217 ameliorates inflammatory damage of endothelial cells induced by oxidized LDL by targeting EGR1Pubmed: 32737769
- IL-33 deficiency protects mice from DSS-induced experimental colitis by suppressing ILC2 and Th17 cell responsesPubmed: 32728764
- A novel apoA‐I mimetic peptide suppresses atherosclerosis by promoting physiological HDL function in apoE−/− micePubmed: 32726461
- BNIP3 deletion ameliorated enterovirus 71 infection-induced hand, foot and mouth disease via inhibiting apoptosis, autophagy, and inflammation in micePubmed: 32717566
- Extracellular cold-inducible RNA-binding protein regulates neutrophil extracellular trap formation and tissue damage in acute pancreatitisPubmed: 32709888
- Fasciola gigantica excretory-secretory products (FgESPs) modulate the differentiation and immune functions of buffalo dendritic cells through a mechanism …Pubmed: 32680553
- SIRT1 relieves Necrotizing Enterocolitis through inactivation of Hypoxia-inducible factor (HIF)-1aPubmed: 32657204
- Highly Branched RG-I Domain Enrichment are Indispensable for Pectin Mitigating Against High-Fat Diet-Induced ObesityPubmed: 32633953
- has_circ_CCNB1 and has_circ_0009024 function as potential biomarkers for the diagnosis of type 2 diabetes mellitusPubmed: 32633001
- Integrated metabolomics and gut microbiome to the effects and mechanisms of naoxintong capsule on type 2 diabetes in ratsPubmed: 32616735
- Amelioration of Coagulation Disorders and Inflammation by Hydrogen-Rich Solution Reduces Intestinal Ischemia/Reperfusion Injury in Rats through NF-κB …Pubmed: 32587471
- Association Between Serum Selenium Level and Subclinical Mastitis in Dairy CattlePubmed: 32583225
- Aquaporin‑4 deletion ameliorates enterovirus 71 infection in micePubmed: 32582978
- In vitro Impact of Yeast Expressed Hybrid Peptide CATH-2TP5 as a Prophylactic Measure Toward Sepsis and InflammationPubmed: 32582649
- The effect of pirfenidone on rat chronic prostatitis/chronic pelvic pain syndrome and its mechanismsPubmed: 32569423
- Recombinant ferritin nanoparticles can induce dendritic cell maturation through TLR4/NF-κB pathwayPubmed: 32567013
- A potential drug combination of omeprazole and patchouli alcohol significantly normalizes oxidative stress and inflammatory responses against gastric ulcer in ethanol …Pubmed: 32559721
- The Protective Effects of Butorphanol on Pulmonary Function of Patients with Obesity Undergoing Laparoscopic Bariatric Surgery: a Double-Blind Randomized …Pubmed: 32535786
- CX3CR1-microglia mediates neuroinflammation and blood pressure regulation in the nucleus tractus solitarii of fructose-induced hypertensive ratsPubmed: 32532282
- Circulating Exosomes From Lipopolysaccharide-Induced Ards Mice Trigger Endoplasmic Reticulum Stress in Lung TissuePubmed: 32530844
- Oxymatrine Attenuates Dopaminergic Neuronal Damage and Microglia-Mediated Neuroinflammation Through Cathepsin D-Dependent HMGB1/TLR4/NF-κB …Pubmed: 32528295
- Involvement of hippocampal agmatine in β1-42 amyloid induced memory impairment, neuroinflammation and BDNF signaling disruption in micePubmed: 32522471
- The microvesicle/CD36 complex triggers a prothrombotic phenotype in patients with non‐valvular atrial fibrillationPubmed: 32510852
- Network pharmacology to dissect the mechanisms of Yinlai Decoction for pneumoniaPubmed: 32493296
- Andrographolide modulates HNF4α activity imparting on hepatic metabolismPubmed: 32422400
- Effects of PDE3 Inhibitor Olprinone on the Respiratory Parameters, Inflammation, and Apoptosis in an Experimental Model of Acute Respiratory Distress SyndromePubmed: 32403267
- Celastrol attenuates collagen-induced arthritis via inhibiting oxidative stress in ratsPubmed: 32402948
- 18β-Glycyrrhetinic acid acts through hepatocyte nuclear factor 4 alpha to modulate lipid and carbohydrate metabolismPubmed: 32353589
- Extracellular Vesicles in Lung Health, Disease, and Therapy: Adipose-derived exosomes protect the pulmonary endothelial barrier in ventilator-induced lung …Pubmed: 32073873
- α-Synuclein Exhibits Differential Membrane Perturbation, Nucleation, and TLR2 Binding through Its Secondary StructurePubmed: 33196165
- Regulation and Mechanism of miR-518d through the PPARα-Mediated NF-κB Pathway in the Development of Gestational Diabetes MellitusPubmed: 33123597
- Echinacea polysaccharide alleviates LPS-induced lung injury via inhibiting inflammation, apoptosis and activation of the TLR4/NF-κB signal pathwayPubmed: 33182056
- Neuroprotective effect of CTRP3 overexpression against sevoflurane anesthesia-induced cognitive dysfunction in aged rats through activating AMPK/SIRT1 and …Pubmed: 32432773
- κ‑opioid receptor agonists may alleviate intestinal damage in cardiopulmonary bypass rats by inhibiting the NF‑κB/HIF‑1α pathwayPubmed: 32509012
- Potential Protective Effect of Dietary Intake of Non-α-Tocopherols on Cellular Aging Markers Mediated by Tumor Necrosis Factor-α in Prediabetes: A Cross …Pubmed: 32509152
- TNFα Mediates the Interaction of Telomeres and Mitochondria Induced by Hyperglycemia: A Rural Community-Based Cross-Sectional StudyPubmed: 32454945
- Effect of Lonicerae japonicae Flos Carbonisata-Derived Carbon Dots on Rat Models of Fever and Hypothermia Induced by LipopolysaccharidePubmed: 32606669
- Tetramethylpyrazine Inhibits Platelet Adhesion and Inflammatory Response in Vascular Endothelial Cells by Inhibiting P38 MAPK and NF-κB Signaling Pathways
- Natural sources, dopaminergic and non-dopaminergic agents for therapeutic assessment of Parkinsonism in rat model
- Peripheral concentrations of metabolic and inflammatory indicators during transition period and their relationship with postpartum clinical endometritis in dairy …
- Nicotinamide riboside alleviates alcohol-induced depression-like behaviours in C57BL/6J mice by altering the intestinal microbiota associated with microglial …
- Possible Role of Statins on the Inflammatory Biomarkers in Patients With Periodontal Disease: A Cross-Sectional Study
- Integrated effects of season and parturition-associated stress on the inflammatory response and metabolic status in Sahiwal (Bos Indicus) cows
- Vitamin D3 and calcium cosupplementation alleviates cadmium hepatotoxicity in the rat: Enhanced antioxidative and anti‐inflammatory actions by remodeling cellular …
- Honokiol inhibits inflammation and endoplasmic reticulum stress in a rat model of pregnancy-induced hypertension
- Polyphenolic extracts from Wushan tea leaves attenuate hepatic injury in CCl4-treated mice
- Strawberry (Fragaria x ananassa) leaf extract reduces brain damage in diabetic male rats
- Supplementation of endogenous Ahr ligands reverses insulin resistance and associated inflammation in an insulin-dependent diabetic mouse model
- Changes and Risk Factors of Skeletal Muscle Mass and Strength in Patients with Type 2 Diabetes over 60 Years Old: A Cross-Sectional Study from China
- Tanshinone IIA-loaded aligned microfibers facilitate stem cell recruitment and capillary formation by inducing M2 macrophage polarization
- Phytochemical and Toxicological Effect of Ethanol Extract of Heliotropium Indicum on Liver of Male Albino Rats
- Microbiome changes in patients with chronic heart failure with preserved ejection fraction correlate with fibrosis markers: Description of a Russian cohort
- Menthacarin attenuates experimental colitis
- Impact of Pharmacotherapy to decrease Interleukin-6 in patients with chronic rhinosinusitis without nasal polyp
- The Effects of Naringin on Cigarette Smoke-Induced Dynamic Changes in Oxidation/Antioxidant System in Lung of Mice
- HMGB1 and inflammatory cytokines in experimental acute lung injury induced in rabbits
- Anti-inflammatory effects of functional milk drink enriched with soya bean sprout protein in breastfeeding mothers
- 丹参对非酒精性脂肪肝Th17细胞及相关细胞因子的影响*
- Malted Barley Ameliorated Spinal Cord Injuries of Offspring of Hypercholesterolemic Mother Rats
- Astragaloside IV protects against retinal iron overload toxicity through iron regulation and the inhibition of MAPKs and NF-¦ÊB activation33285147
- Umbilical cord mesenchymal stem cells (hUCMSCs) for inflammatory regulation after excision and grafting of severe burn wounds in rats33313794
- Investigation of the Synergistic Effect of Brown Sugar, Longan, Ginger, and Jujube (Brown Sugar Longan Ginger Tea) on Antioxidation and Anti-Inflammation?¡33343673
- AphaMax?, an Aphanizomenon Flos-Aquae Aqueous Extract, Exerts Intestinal Protective Effects in Experimental Colitis in Rats33256017
- Astragaloside IV alleviates silica?induced pulmonary fibrosis via inactivation of the TGF?¦Â1/Smad2/3 signaling pathway33448318
- Inactivation of Wnt/¦Â-catenin/renin angiotensin axis by tumor necrosis factor-alpha inhibitor, infliximab, ameliorates CKD induced in rats33482150
- Prospects on the Potential In Vitro Regenerative Features of Mechanically Treated-Adipose Tissue for Osteoarthritis Care33469783
- Ultra-purified alginate gel implantation decreases inflammatory cytokine levels, prevents intervertebral disc degeneration, and reduces acute pain after discectomy33436742
- Gliclazide alters macrophages polarization state in diabetic atherosclerosis in vitro via blocking AGE-RAGE/TLR4-reactive oxygen species-activated NF-k¦Â nexus33460615
- A DNA origami-based aptamer nanoarray for potent and reversible anticoagulation in hemodialysis33441565
- Impact of synthetic surfactant CHF5633 with SP©\B and SP©\C analogues on lung function and inflammation in rabbit model of acute respiratory distress syndrome33403805
- Celecoxib ameliorates liver cirrhosis via reducing inflammation and oxidative stress along spleen-liver axis in rats33577848
- Protective effects of hydrogen rich saline solution on ventral penile Mathieu type flap with penile tourniquet application in rats33608226
- Concanavalin A induces apoptosis in a dose©\dependent manner by modulating thiol/disulfide homeostasis in C6 glioblastoma cells33604990
- Overexpression of FOXA2 attenuates cigarette smoke-induced cellular senescence and lung inflammation through inhibition of the p38 and Erk1/2 MAPK pathways33571746
- Effect of Lactobacillus casei on lipid metabolism and intestinal microflora in patients with alcoholic liver injury33514869
- Qingfei oral liquid inhibited autophagy to alleviate inflammation via mTOR signaling pathway in RSV-infected asthmatic mice33706133
- Ginkgolide A attenuates sepsis-associated kidney damage via upregulating microRNA-25 with NADPH oxidase 4 as the target33677255
- Convallatoxin Promotes M2 Macrophage Polarization to Attenuate Atherosclerosis Through PPAR¦Ã-Integrin ¦Áv¦Â5 Signaling Pathway33654384
- Factors associated with neurodevelopment in preterm infants with systematic inflammation33685414
- Acid Sphingomyelinase and Acid ¦Â-Glucosidase 1 Exert Opposite Effects on Interleukin-1¦Â-Induced Interleukin 6 Production in Rheumatoid Arthritis Fibroblast-Like Synoviocytes33665756
- Cyproheptadine causes apoptosis and decreases inflammation by disrupting thiol/disulfide balance and enhancing the levels of SIRT1 in C6 glioblastoma cells33675893
- The growth-inhibitory effects of pawpaw (Asimina triloba [L.] Dunal) roots, twigs, leaves, and fruit against human gastric (AGS) and cervical (HeLa) cancer cells and33630206
- Association between MIF gene promoter rs755622 and susceptibility to coronary artery disease and inflammatory cytokines in the Chinese Han population33850223
- From hair to pancreas: transplanted hair follicle mesenchymal stem cells express pancreatic progenitor cell markers in a rat model of acute pancreatitis33841664
- Formononetin protects against concanavalin-A-induced autoimmune hepatitis in mice through its anti-apoptotic and anti-inflammatory properties33749318
- Alamandine significantly reduces doxorubicin-induced cardiotoxicity in rats33882726
- Sleep disturbance induces depressive behaviors and neuroinflammation by altering the circadian oscillations of clock genes in rats33785408
- Aligned microfiber-induced macrophage polarization to guide schwann-cell-enabled peripheral nerve regeneration33813259
- Macro- and microtranscriptomic evidence of the monocyte recruitment to regenerating liver after partial hepatectomy in mouse model33765583
- Sodium/glucose cotransporter 1-dependent metabolic alterations induce tamoxifen resistance in breast cancer by promoting macrophage M2 polarization34006822
- Characterization of Iturin V, a Novel Antimicrobial Lipopeptide from a Potential Probiotic Strain Lactobacillus sp. M3133987819
- Cyclophilin A induces macrophage apoptosis and enhances atherosclerotic lesions in high©\fat diet©\fed hyperglycemic rabbits33977232
- Asiatic acid attenuates diabetic retinopathy through TLR4/MyD88/NF-¦ÊB p65 mediated modulation of microglia polarization33965378
- Proline©\Serine¨CThreonine Phosphatase©\Interacting Protein 2 Alleviates Diabetes Mellitus©\Osteoarthritis in Rats through Attenuating Synovial Inflammation and?¡33939302
- CLEC5A knockdown protects against the cardiac dysfunction after Myocardial infarction by suppressing macrophage polarization, NLRP3 inflammasome activation?¡33939927
- Captopril downregulates expression of Bax/cytochrome C/caspase-3 apoptotic pathway, reduces inflammation, and oxidative stress in cisplatin-induced acute?¡33945910
- Corrosion Resistance of Graphene oxide/Silver Coatings on Ni¨CTi alloy and Expression of IL-6 and IL-8 in Human O...32094428
- Dexmedetomidine Exerts Renal Protective Effect by Regulating the PGC-1¦Á/STAT1/IRF-1 Axis33965939
- Effects of Systemic Lidocaine on Postoperative Recovery Quality and Immune Function in Patients Undergoing Laparoscopic Radical Gastrectomy33976537
- Consecutive daily administration of intratracheal surfactant and human umbilical cord-derived mesenchymal stem cells attenuates hyperoxia-induced lung?¡33933128
- Serum Galectin©\3 Levels in Patients with Psoriasis34137138
- Melatonin ameliorates anxiety-like behaviors induced by sleep deprivation in mice: role of oxidative stress, neuroinflammation, autophagy and apoptosis34144202
- Cellular Communication Network Factor 1 (CCN1) Knockdown Exerts a Protective Effect for Hepatic Ischemia/Reperfusion Injury by Deactivating the MEK/ERK?¡34144219
- HOXA5 induces M2 macrophage polarization to attenuate carotid atherosclerosis by activating MED134117711
- Ameliorative effects and mechanisms of salvianic acid A on retinal iron overload in vivo and in vitro34058232
- Hepatoprotective effect of anemoside B4 against sepsis-induced acute liver injury through modulating the mTOR/p70S6K-mediated autophagy34051206
- Post-Treatment Sevoflurane Protects Against Hypoxic-Ischemic Brain Injury in Neonatal Rats by Downregulating Histone Methyltransferase G9a and Upregulating ¡34059615
- HDAC8 promotes daunorubicin resistance of human acute myeloid leukemia cells via regulation of IL-6 and IL-833938176
- The Paracrine Effect of Adipose-Derived Stem Cells Orchestrates Competition between Different Damaged Dermal Fibroblasts to Repair UVB-Induced Skin?¡33381190
- Ultrashort Wave Combined with Human Umbilical Cord Mesenchymal Stem Cell (HUC-MSC) Transplantation Inhibits NLRP3 Inflammasome and Improves?¡33376718
- Zisheng Shenqi Decoction Ameliorates Monosodium Urate-Mediated Gouty Arthritis in Rats via Promotion of Autophagy through the AMPK/mTOR Signaling?¡33505502
- Yixin-Shu Capsules Ameliorated Ischemia-Induced Heart Failure by Restoring Trx2 and Inhibiting JNK/p38 Activation33643519
- PK/PD Modeling of the PDE7 Inhibitor¡ªGRMS-55 in a Mouse Model of Autoimmune Hepatitis. Pharmaceutics 2021, 13, 59733919375
- The Effect of the Clenbuterol¡ª¦Â2-Adrenergic Receptor Agonist on the Peripheral Blood Mononuclear Cells Proliferation, Phenotype, Functions, and Reactive Oxygen?¡33920705
- Hidrox? Roles in Neuroprotection: Biochemical Links between Traumatic Brain Injury and Alzheimer's Disease34065584
- Melatonin-mediated MT2 attenuates colitis induced by dextran sodium sulfate via PI3K/AKT/Nrf2/SIRT1/ROR¦Á/NF-¦ÊB signaling pathways34162146
- Continuous Veno-Venous Hemofiltration (CVVH) Improves Iron Metabolism Disorders in Patients With Sepsis: A Single-Center Prospective Cohort Study
- Berberine Attenuates Neonatal Sepsis in Rats By Inhibiting FOXA1 and NF-¦ÊB Signaling Transduction Via The Induction of miR-132-3p
- Modulation of Oxidative and Nitrosative Stress Attenuates Microvascular Hyperpermeability in Ovine Model of Pseudomonas Aeruginosa Sepsis
- Comparative Study on the Pro-Inflammatory Activity of Turmeric (Curcuma longa) and flaxseed (Linumusitatissimum)
- Amplified Antitumor Efficacy By A Targeted Drugs Retention and Chemosensitization Strategies-Based ¡°Combo¡± Nanoagent Together With PD-L1 Blockade In?¡
- CoQ10 augments candesartan protective effect against tourniquet-induced hind limb ischemia-reperfusion: involvement of non-classical RAS and ROS?¡
- Comparative evaluation of cytokine and acute-phase protein concentrations in sera of dairy cows with subclinical and clinical ketosis as a different view of the ¡
- Sparstolonin B Exerts Therapeutic Effects on Collagen-Induced Arthritis by Inhibiting the NLRP3 Inflammasome and Reducing the Activity of ¦Á1, 3 ¡
- Treadmill Running Changes Endothelial Lipase Expression: Insights from Gene and Protein Analysis in Various Striated Muscle Tissues and Serum
- Photodynamic therapy induces human esophageal carcinoma cell pyroptosis by targeting the PKM2/caspase-8/caspase-3/GSDME axis34256094
- Alamandine protects against renal ischaemia–reperfusion injury in rats via inhibiting oxidative stress34244746
- Amplified antitumor efficacy by a targeted drug retention and chemosensitization strategy-based “combo” nanoagent together with PD-L1 blockade in …34225744
- Activation of the Peroxisome Proliferator-Activated Receptors (PPAR-α/γ) and the Fatty Acid Metabolizing Enzyme Protein CPT1A by Camel Milk Treatment …34306045
- Amelioration of autoimmunity and inflammation by zinc oxide nanoparticles in experimental rheumatoid arthritis34236500
- In Silico and In Vivo Studies on the Mechanisms of Chinese Medicine Formula (Gegen Qinlian Decoction) in the Treatment of Ulcerative Colitis34177580
- Puerarin attenuates intracerebral hemorrhage‐induced early brain injury possibly by PI3K/Akt signal activation‐mediated suppression of NF‐κB pathway34180121
- Could serum zonulin be an intestinal permeability marker in diabetes kidney disease?34170951
- Preservation of renal endothelial integrity and reduction of renal edema by aprotinin does not preserve renal perfusion and function following experimental …34169407
- Yiqi Jiemin decoction alleviates allergic rhinitis in a guinea pig model by suppressing inflammation, restoring Th1/Th2 balance, and improving cellular …34315133
- Alamandine, a derivative of angiotensin-(1-7), alleviates sepsis-associated renal inflammation and apoptosis by inhibiting the PI3K/Ak and MAPK pathways34400214
- Interleukin-6 and Serum/Fecal Calprotectin as Useful Specific Markers for Monitoring Rheumatic Diseases: A Pilot Study34405886
- Talaromyces marneffei and nontuberculous mycobacteria co-infection in HIV-negative patients34376749
- Combined treatment with epigenetic agents enhances anti-tumor activity of T cells by upregulating the ACRBP expression in hepatocellular carcinoma34377237
- Intraocular Pressure-Lowering Effects of Trabeculectomy Versus MicroShunt Insertion in Rabbit Eyes34357381
- Efficacy of Acupuncture on Pain Mechanisms, Inflammatory Responses, and Wound Healing in the Acute Phase of Major Burns: An Experimental Study on Rats34309681
- Berberine Attenuates Neonatal Sepsis in Mice By Inhibiting FOXA1 and NF-κB Signal Transduction Via the Induction of MiR-132-3p34523052
- Emodin inhibits the progression of acute pancreatitis via regulation of lncRNA TUG1 and exosomal lncRNA TUG134498715
- Pravastatin attenuates sepsis-induced acute lung injury through decreasing pulmonary microvascular permeability via inhibition of Cav-1/eNOS pathway34464887
- The neuroprotective effect of pretreatment with carbon dots from Crinis Carbonisatus (carbonized human hair) against cerebral ischemia reperfusion injury34454522
- Potential therapeutic efficacy of pachymic acid in chronic kidney disease induced in rats: role of Wnt/β-catenin/renin–angiotensin axis34549301
- Ginkgo biloba extract (EGb 761) mitigates methotrexate-induced testicular insult in rats: Targeting oxidative stress, energy deficit and spermatogenesis34560547
- Ethanolic extract of Pyrus pashia buch ham ex. D. Don (kainth): A bioaccessible source of polyphenols with anti-inflammatory activity in vitro and in vivo34517063
- Flavin-containing monooxygenase 1 deficiency promotes neuroinflammation in dopaminergic neurons in mice34500002
- Hydralazine attenuates renal inflammation in diabetic rats with ischemia/reperfusion acute kidney injury34478692
- Diacerein ameliorates testosterone-induced benign prostatic hyperplasia in rats: Effect on oxidative stress, inflammation and apoptosis34450401
- Allicin ameliorates renal ischemia/reperfusion injury via inhibition of oxidative stress and inflammation in rats34426252
- Ingestion of mannose ameliorates thioacetamide-induced intrahepatic oxidative stress, inflammation and fibrosis in rats34637794
- High Hemoglobin glycation index is associated with telomere attrition independent of HbA1c, mediating by TNFα34562085
- Transfusion of fresh washed platelets does not prevent experimental polymicrobial‐induced septic shock in mice34752015
- Stress‐induced phosphoprotein 1 restrains spinal cord ischaemia‐reperfusion injury by modulating NF‐κB signalling34734476
- Associations between expression of indoleamine 2, 3-dioxygenase enzyme and inflammatory cytokines in patients with first-episode drug-naive …34802039
- Vitamin D3 enhances the effects of omega‐3 oils against metabolic dysfunction‐associated fatty liver disease in rat34767670
- Bai-Hu-Tang regulates endothelin-1 and its signalling pathway in vascular endothelial cells34752899
- Identification of potential regulating effect of baicalin on NFκB/CCL2/CCR2 signaling pathway in rats with cerebral ischemia by antibody-based array and …34699947
- MiR-142-5p directly targets cyclin-dependent kinase 5-mediated upregulation of the inflammatory process in acquired middle ear cholesteatoma34875451
- Fingolimod protects against cerebral ischemia reperfusion injury in rats by reducing inflammatory cytokines and inhibiting the activation of p38 MAPK and NF-κB …34942319
- Neuroprotective Effect of Clobenpropit against Lipopolysaccharide-Induced Cognitive Deficits via Attenuating Neuroinflammation and Enhancing Mitochondrial …34942919
- In-vitro oxidative potential and inflammatory response of ambient PM2. 5 in a rural region of Northwest China: Association with chemical compositions and …34863982
- Intermittent hypoxia treatment alleviates memory impairment in the 6-month-old APPswe/PS1dE9 mice and reduces amyloid beta accumulation and …34844651
- Calycosin attenuates severe acute pancreatitis-associated acute lung injury by curtailing high mobility group box 1-induced inflammation34908806
- Autonomic regulation of imbalance‑induced myocardial fibrosis and its mechanism in rats with cirrhosis34373726
- Effects of a Fermented Grape Combined with Specified Fruits and Vegetables or Their Extracts on Anti-aging and Anti-inflammatory Status: A Randomized …33755227
- Administration of a Probiotic Mixture Ameliorates Cisplatin-Induced Mucositis and Pica by Regulating 5-HT in Rats34568500
- Sphingosine 1-Phosphate (S1P) in the Peritoneal Fluid Skews M2 Macrophage and Contributes to the Development of Endometriosis34829748
- Nitric-Oxide-Releasing Dexamethasone Derivative NCX-1005 Improves Lung Function and Attenuates Inflammation in Experimental Lavage-Induced ARDS34959373
- Endogenous dipeptide‐carnosine supplementation ameliorates hypobaric hypoxia‐induced skeletal muscle loss via attenuating endoplasmic reticulum stress …34455667
- Knockdown of circFOXO3 ameliorates cigarette smoke-induced lung injury in mice34789242
- The Association Between Hypoxia Improvement and Electroconvulsive Therapy for Major Depressive Disorder34588778
- Roles of Suaeda vermiculata Aqueous-Ethanolic Extract, Its Subsequent Fractions, and the Isolated Compounds in Hepatoprotection against Paracetamol …34567411
- The anti-inflammatory activity of specific-sized hyaluronic acid oligosaccharides34823813
- Key Mechanisms and Potential Implications of Hericium erinaceus in NLRP3 Inflammasome Activation by Reactive Oxygen Species during Alzheimer's Disease34829535
- Exploring Epithelial–Mesenchymal Transition Signals in Endometriosis Diagnosis and In Vitro Fertilization Outcomes34829910
- Long non-coding RNA NEAT1 participates in ventilator-induced lung injury by regulating miR-20b expressionPubmed:34981816
- Protective Effects of Carbon Dots Derived from Armeniacae Semen Amarum Carbonisata Against Acute Lung Injury Induced by Lipopolysaccharides in RatsPubmed:35023915
- Effects of different selenium sources on duodenum and jejunum tight junction network and growth performance of broilers in a model of fluorine-induced …Pubmed:35066382
- Salmonella phage CKT1 significantly relieves the body weight loss of chicks by normalizing the abnormal intestinal microbiome caused by hypervirulent …Pubmed:35063807
- Inflammation promotes erythropoietin induced vascular calcification by activating p38 pathwayPubmed:35168476
- Silencing of IGF2BP1 restrains ox‐LDL‐induced lipid accumulation and inflammation by reducing RUNX1 expression and promoting autophagy in macrophagesPubmed:35179253
- Itaconate inhibits ferroptosis of macrophage via Nrf2 pathways against sepsis-induced acute lung injuryPubmed:35110526
- Intake of Bifidobacterium lactis Probio-M8 fermented milk protects against alcoholic liver diseasePubmed:35086715
- Protective antioxidative and anti-inflammatory actions of β-caryophyllene against sulfasalazine-induced nephrotoxicity in ratPubmed:35068213
- Osteocrin alleviates cardiac hypertrophy via attenuating oxidative stressPubmed:35218795
- LncRNA KCNQ1OT1 attenuates myocardial injury induced by hip fracture via regulating of miR-224-3p/GATA4 axisPubmed:35217336
- Investigation of the active ingredients and pharmacological mechanisms of Porana sinensis Hemsl. Against rheumatoid arthritis using network pharmacology …Pubmed:35235611
- Evaluation of hepatoprotective effect of Nebivolol and sodium copper Chlorophyllin on CCL4-induced hepatotoxicity in micePubmed:35302221
- MiR-199a-3p Restrains Foaming and Inflammation by Regulating RUNX1 in MacrophagesPubmed:35435591
- Evaluation of salivary and serum methylated arginine metabolites and nitric oxide synthase in advanced periodontitis patientsPubmed:35426000
- Combating multidrug resistance and metastasis of breast cancer by endoplasmic reticulum stress and cell-nucleus penetration enhanced …Pubmed:35401832
- Huangbai liniment and berberine promoted wound healing in high-fat diet/Streptozotocin-induced diabetic ratsPubmed:35430394
- Effect of Alpha-Lipoic Acid on Rat Ventricles and Atria under LPS-Induced Oxidative StressPubmed:35453419
- Lung-Protective Effects of Lidocaine Infusion on Patients with Intermediate/High Risk of Postoperative Pulmonary Complications: A Double-Blind Randomized …Pubmed:35422611
- Effects of maternal ritodrine hydrochloride administration on the heart rate of preterm fetal sheep with intraamniotic inflammationPubmed:35358222
- Biomimetic GBM-targeted drug delivery system boosting ferroptosis for immunotherapy of orthotopic drug-resistant GBMPubmed:35351131
- Influence of periodontal inflammation on tryptophan-kynurenine metabolism: a cross-sectional studyPubmed:35588020
- 5, 2′-Dibromo-2, 4′, 5′-trihydroxydiphenylmethanone Inhibits LPS-Induced Vascular Inflammation by Targeting the Cav1 ProteinPubmed:35566232
- Loureirin B Alleviates Myocardial Ischemia/Reperfusion Injury via Inhibiting PAI-1/TGF-β1/Smad Signaling PathwayPubmed:35535157
- Infliximab and/or MESNA alleviate doxorubicin-induced Alzheimer's disease-like pathology in rats: A new insight into TNF-α/Wnt/β-catenin signaling pathwayPubmed:35523286
- Potential cardioprotective effect of octreotide via NOXs mitigation, mitochondrial biogenesis and MAPK/Erk1/2/STAT3/NF-kβ pathway attenuation in isoproterenol …Pubmed:35500641
- Endometrial Dysbiosis Is Related to Inflammatory Factors in Women with Repeated Implantation Failure: A Pilot StudyPubmed:35566605
- Curcumin treats endometriosis in mice by the HIF signaling pathwayPubmed:35559378
- Oridonin alleviates kanamycin-related hearing loss by inhibiting NLRP3/caspase-1/gasdermin D-induced inflammasome activation and hair cell pyroptosisPubmed:35749835
- Hybrid system with stable structure of hard/soft tissue substitutes induces re‐osseointegration in a rat model of biofilm‐mediated peri‐implantitisPubmed:35620882
- The κ-Opioid Receptor Agonist U50488H Ameliorates Neuropathic Pain Through the Ca2+/CaMKII/CREB Pathway in RatsPubmed:35645576
- Antiosteoporotic Nanohydroxyapatite Zoledronate Scaffold Seeded with Bone Marrow Mesenchymal Stromal Cells for Bone Regeneration: A 3D In Vitro ModelPubmed:35682677
- Photobiomodulation associated with lipid nanoparticles and hyaluronic acid accelerate the healing of excisional woundsPubmed:35705485
- Pretreatment with Shenmai Injection Protects against Coronary Microvascular DysfunctionPubmed:35722150
- Lipid emulsions prevent postoperative abdominal adhesionsPubmed:35688763
- Evaluation of Tubular Dysfunction Using Urine Biomarkers in Children with COVID-19Pubmed:35110086
- Construction of a rabbit model with vinorelbine administration via peripherally inserted central catheter and dynamic monitoring of changes in phlebitis and thrombosisPubmed:35126715
- Transcutaneous Electrical Acustimulation Improved the Quality of Life in Patients With Diarrhea-Irritable Bowel SyndromePubmed:35088760
- Blue Light Alters the Composition of the Jejunal Microbiota and Promotes the Development of the Small Intestine by Reducing Oxidative StressPubmed:35204158
- Bio-Evaluation of the Wound Healing Activity of Artemisia judaica L. as Part of the Plant's Use in Traditional Medicine; Phytochemical, Antioxidant, Anti-Inflammatory …Pubmed:35204215
- Pro-inflammatory cytokine release from chicken peripheral blood mononuclear cells stimulated with lipopolysaccharidePubmed:35698506
- Plasma Concentrations of Cytokines in Patients with Combined Hyperlipidemia and Atherosclerotic Plaque before Treatment Initiation—A Pilot StudyPubmed:35630041
- Discovery of Nitro-azolo[1,5-a]pyrimidines with Anti-Inflammatory and Protective Activity against LPS-Induced Acute Lung InjuryPubmed:35631365
- Regulation of Neuroinflammatory Signaling by PPARγ Agonist in Mouse Model of DiabetesPubmed:35628311
- Bicyclol ameliorates advanced liver diseases in murine models via inhibiting the IL-6/STAT3 signaling pathwayPubmed:35658240
- Salvadora persica extract attenuates cyclophosphamide-induced hepatorenal damage by modulating oxidative stress, inflammation and apoptosis in ratsPubmed:35643766
- Effectiveness of Turmeric and Extra Virgin Olive Oil in the Management of IL 6 and IL 10 in Healthy Mice
- Dexmedetomidine Attenuates Hyperalgesia Induced By Brachial Plexus Root Avulsion By Restoring The GLT-1 Function Via PKA Signaling
- LncRNA KCNQ10T1 shuttled by bone marrow mesenchymal stem cells-derived exosome inhibits sepsis via regulation of miR-154-3p/RNF19A axis
- Promising Therapeutic Efficacy of Trigonella-foenum graecum and Bone Marrow-Derived Mesenchymal Stem Cells on Skeletal Muscle Atrophy in Experimental …
- Protective effects of carbon dots derived from Rhei radix et rhizoma carbonisata on DSS (dextran sulfate sodium)-induced ulcerative colitis
- Anti-inflammatory activity of non-selective PDE inhibitor aminophylline on the lung tissue and respiratory parameters in animal model of ARDS
- Evaluation of the Effects of Empagliflozin on Acute Lung Injury in Rat Intestinal Ischemia-Reperfusion Model
- Qinzhi Zhudan formula improves memory and alleviates neuroinflammation in vascular dementia rats partly by inhibiting the TNFR1-mediated TNF pathway
- Evaluating the Roles of sCD14 and sCD14-ST in Diagnosing COPD and Predicting an Acute Exacerbation of COPD
- Mechanisms underlying the hepatoprotective effect of silymarin on fluoxetine-induced liver injury in rats: the implication of peroxisome proliferator–activated receptor …
