Monoclonal Antibody to Isocitrate Dehydrogenase 1, Soluble (IDH1)
PICD; IDP; Oxalosuccinate decarboxylase; NADP(+)-specific ICDH; Cytosolic NADP-isocitrate dehydrogenase
Overview
Properties
- Product No.MAH839Hu24
- Organism SpeciesHomo sapiens (Human) Same name, Different species.
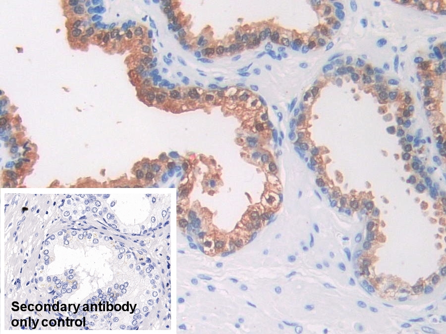
- ApplicationsWB; IHC
If the antibody is used in flow cytometry, please check FCM antibodies.
Research use only - DownloadInstruction Manual
- CategoryEnzyme & Kinase
- SourceMonoclonal antibody preparation, Host Mouse
- Ig Isotype IgG2a kappa, Clone Number C7
- PurificationProtein A + Protein G affinity chromatography
- LabelNone
- Immunogen RPH839Hu01-Recombinant Isocitrate Dehydrogenase 1, Soluble (IDH1)
- Buffer FormulationPBS, pH7.4, containing 0.02% NaN3, 50% glycerol.
- TraitsLiquid, Concentration 1mg/ml
Sign into your account
Share a new citation as an author
Upload your experimental result
Review

Contact us
Please fill in the blank.
Specifity
The antibody is a mouse monoclonal antibody raised against IDH1. It has been selected for its ability to recognize IDH1 in immunohistochemical staining and western blotting.
Usage
Western blotting: 0.01-5µg/mL;
Immunohistochemistry: 5-30µg/mL;
Optimal working dilutions must be determined by end user.
Storage
Store at 4°C for frequent use. Stored at -20°C in a manual defrost freezer for two year without detectable loss of activity. Avoid repeated freeze-thaw cycles.
Stability
The thermal stability is described by the loss rate. The loss rate was determined by accelerated thermal degradation test, that is, incubate the protein at 37°C for 48h, and no obvious degradation and precipitation were observed. The loss rate is less than 5% within the expiration date under appropriate storage condition.
Organism Species More: Sus scrofa; Porcine (Pig)Giveaways
Increment services
-
Antibody Labeling Customized Service
-
Protein A/G Purification Column
-
Staining Solution for Cells and Tissue
-
Positive Control for Antibody
-
Tissue/Sections Customized Service
-
Phosphorylated Antibody Customized Service
-
Western Blot (WB) Experiment Service
-
Immunohistochemistry (IHC) Experiment Service
-
Immunocytochemistry (ICC) Experiment Service
-
Flow Cytometry (FCM) Experiment Service
-
Immunoprecipitation (IP) Experiment Service
-
Immunofluorescence (IF) Experiment Service
-
Buffer
-
DAB Chromogen Kit
-
SABC Kit
-
Long-arm Biotin Labeling Kit
-
Real Time PCR Experimental Service
Citations
- Identification of IDH1 as a Potential Diagnostic and Prognostic Biomarker for Non-small-cell Lung Cancer by Proteomic AnalysisMcponline: 008821
- Identification of Isocitrate Dehydrogenase 1 as a Potential Diagnostic and Prognostic Biomarker for Non-small Cell Lung Cancer by Proteomic AnalysisPubmed: 22064513
- Isocitrate dehydrogenase 1 is a novel plasma biomarker for the diagnosis of non-small cell lung cancerPubmed: 24046070
- The effects of PGC-1α on the proliferation and energy metabolism of malignant endometrial cancer cellsPubMed: 25914546
- Metformin sensitizes endometrial cancer cells to chemotherapy through IDH1-induced Nrf2 expression via an epigenetic mechanismPubmed:29921847
- IDH 2 is a novel diagnostic and prognostic serum biomarker for non‐small‐cell lung cancerPubmed:29465809
- Serological Biomarkers for Early Detection of Hepatocellular Carcinoma: A Focus on Autoantibodies against Tumor-Associated Antigens Encoded by Cancer Driver …Pubmed: 32443439
- Proteome profiling of enzalutamide‐resistant cell lines and serum analysis identified ALCAM as marker of resistance in castration‐resistant prostate cancerPubmed:35689436
