Monoclonal Antibody to Lectin Galactoside Binding, Soluble 3 Binding Protein (LGALS3BP)
MAC-2-BP; LGALS3-BP; Galectin-3-Binding Protein; L3 Antigen; Mac-2-Binding Protein; Tumor-associated antigen 90K; Serum Protein 90K; Basement membrane autoantigen p105
Overview
Properties
- Product No.MAB766Hu21
- Organism SpeciesHomo sapiens (Human) Same name, Different species.
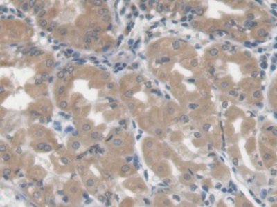
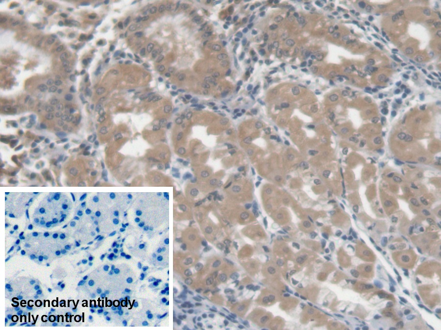
- ApplicationsWB; IHC
If the antibody is used in flow cytometry, please check FCM antibodies.
Research use only - DownloadInstruction Manual
- CategoryTumor immunityInfection immunityImmunodeficiency
- SourceMonoclonal antibody preparation, Host Mouse
- Ig Isotype IgG2b Kappa, Clone Number D4
- PurificationProtein A + Protein G affinity chromatography
- LabelNone
- Immunogen RPB766Hu01-Recombinant Lectin Galactoside Binding, Soluble 3 Binding Protein (LGALS3BP)
- Buffer Formulation0.01M PBS, pH7.4, containing 0.05% Proclin-300, 50% glycerol.
- TraitsLiquid, Concentration 1mg/mL
Sign into your account
Share a new citation as an author
Upload your experimental result
Review

Contact us
Please fill in the blank.
Specifity
The antibody is a mouse monoclonal antibody raised against LGALS3BP. It has been selected for its ability to recognize LGALS3BP in immunohistochemical staining and western blotting.
Usage
Western blotting: 0.01-3µg/mL;
Immunohistochemistry: 5-20µg/mL;
Optimal working dilutions must be determined by end user.
Storage
Store at 4°C for frequent use. Stored at -20°C in a manual defrost freezer for two year without detectable loss of activity. Avoid repeated freeze-thaw cycles.
Stability
The thermal stability is described by the loss rate. The loss rate was determined by accelerated thermal degradation test, that is, incubate the protein at 37°C for 48h, and no obvious degradation and precipitation were observed. The loss rate is less than 5% within the expiration date under appropriate storage condition.
Organism Species More: Rattus norvegicus (Rat)Giveaways
Increment services
-
Antibody Labeling Customized Service
-
Protein A/G Purification Column
-
Staining Solution for Cells and Tissue
-
Positive Control for Antibody
-
Tissue/Sections Customized Service
-
Phosphorylated Antibody Customized Service
-
Western Blot (WB) Experiment Service
-
Immunohistochemistry (IHC) Experiment Service
-
Immunocytochemistry (ICC) Experiment Service
-
Flow Cytometry (FCM) Experiment Service
-
Immunoprecipitation (IP) Experiment Service
-
Immunofluorescence (IF) Experiment Service
-
Buffer
-
DAB Chromogen Kit
-
SABC Kit
-
Long-arm Biotin Labeling Kit
-
Real Time PCR Experimental Service
Citations
- Comparative proteomic analysis coupled with conventional protein assay as a strategy to identify predictors of successful testicular sperm extraction in patients with non-obstructive azoospermiaPubMed: 23427166
- Identification of candidate biomarkers for hepatocellular carcinoma in plasma of HCV-infected cirrhotic patients by 4-D DIGEPubmed: 23944848
- Early prognostic factors in septic shock cancer patients: a prospective study with a proteomic approachPubmed:29315472
