Monoclonal Antibody to Matrix Metalloproteinase 7 (MMP7)
MPSL1; MAT; PUMP-1; Matrilysin Uterine; Matrilysin; Matrin; Pump-1 Protease; Uterine Metalloproteinase
Overview
Properties
- Product No.MAA102Hu23
- Organism SpeciesHomo sapiens (Human) Same name, Different species.
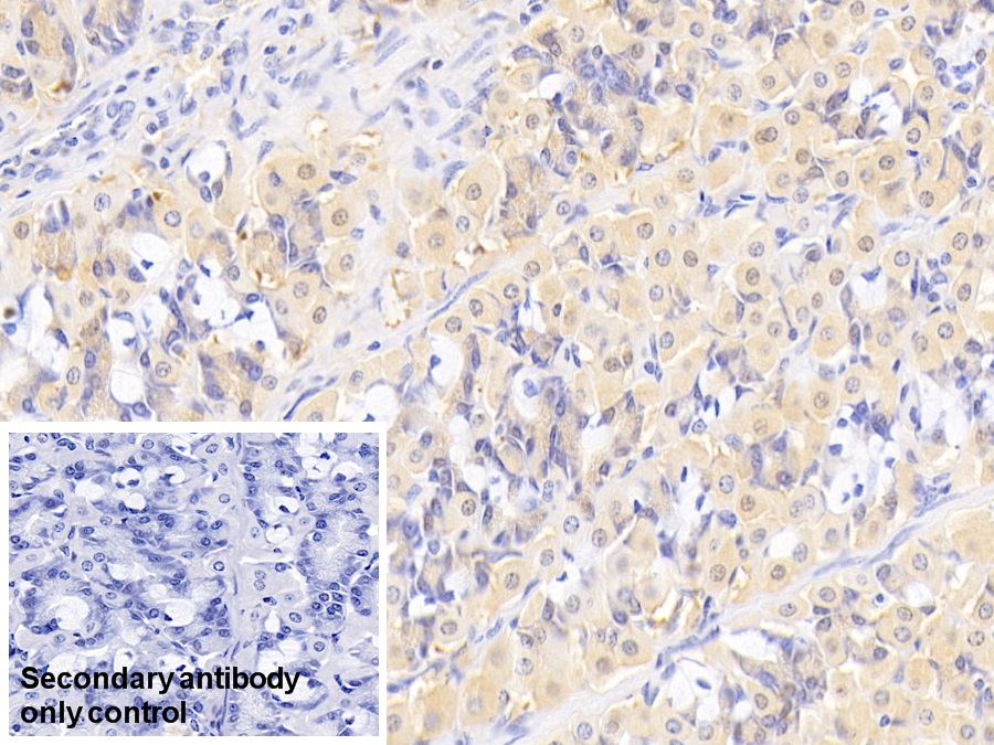
- ApplicationsWB; IHC
If the antibody is used in flow cytometry, please check FCM antibodies.
Research use only - DownloadInstruction Manual
- CategoryEnzyme & KinaseTumor immunity
- SourceMonoclonal antibody preparation, Host Mouse
- Ig Isotype IgG1 Kappa, Clone Number J9
- PurificationProtein A + Protein G affinity chromatography
- LabelNone
- Immunogen RPA102Hu02-Recombinant Matrix Metalloproteinase 7 (MMP7)
- Buffer Formulation0.01M PBS, pH7.4, containing 0.05% Proclin-300, 50% glycerol.
- TraitsLiquid, Concentration 1mg/mL
Sign into your account
Share a new citation as an author
Upload your experimental result
Review

Contact us
Please fill in the blank.
Specifity
The antibody is a mouse monoclonal antibody raised against MMP7. It has been selected for its ability to recognize MMP7 in immunohistochemical staining and western blotting.
Usage
Western blotting: 0.01-3µg/mL;
Immunohistochemistry: 5-20µg/mL;
Optimal working dilutions must be determined by end user.
Storage
Store at 4°C for frequent use. Stored at -20°C in a manual defrost freezer for two year without detectable loss of activity. Avoid repeated freeze-thaw cycles.
Stability
The thermal stability is described by the loss rate. The loss rate was determined by accelerated thermal degradation test, that is, incubate the protein at 37°C for 48h, and no obvious degradation and precipitation were observed. The loss rate is less than 5% within the expiration date under appropriate storage condition.
Organism Species More: Sus scrofa; Porcine (Pig)Giveaways
Increment services
-
Antibody Labeling Customized Service
-
Protein A/G Purification Column
-
Staining Solution for Cells and Tissue
-
Positive Control for Antibody
-
Tissue/Sections Customized Service
-
Phosphorylated Antibody Customized Service
-
Western Blot (WB) Experiment Service
-
Immunohistochemistry (IHC) Experiment Service
-
Immunocytochemistry (ICC) Experiment Service
-
Flow Cytometry (FCM) Experiment Service
-
Immunoprecipitation (IP) Experiment Service
-
Immunofluorescence (IF) Experiment Service
-
Buffer
-
DAB Chromogen Kit
-
SABC Kit
-
Long-arm Biotin Labeling Kit
-
Real Time PCR Experimental Service
Citations
- A novel, orally active LPA1 receptor antagonist inhibits lung fibrosis in the mouse bleomycin modelPubMed: 20649573
- Upregulated Expression of Matrix Metalloproteinases and Tissue Inhibitors of Matrix Metalloproteinases in BALB/c Mouse Brain Challenged with Japanese Encephalitis VirusPubmed: source
- A Combinatorial Relative Mass Value Evaluation of Endogenous Bioactive Proteins in Three-Dimensional Cultured Nucleus Pulposus Cells of Herniated Intervertebral Discs: Identification of Potential Target Proteins for Gene Therapeutic ApproachesPlosone: Source
- Analysis of the expression of nine secreted matrix metalloproteinases and their endogenous inhibitors in the brain of mice subjected to ischaemic strokePubmed:24671655
- Estrogen-deficient osteoporosis enhances the recruitment and activity of osteoclasts by breast cancer cellsPubMed: 26254457
- Circulating levels of matrix metalloproteinases and tissue inhibitors of matrix metalloproteinases during Japanese encephalitis virus infectionPubmed:26925446
- Systematic phenotyping and correlation of biomarkers with lung function and histology in lung fibrosisPubmed:26993522
- The MiR-495/Annexin A3/P53 Axis Inhibits the Invasion and EMT of Colorectal Cancer Cellspubmed:29224019
- Thyroid disrupting effects and associated mechanisms of TCPP in GH3 cell line and zebrafish (Danio rerio) larva and adult10371/137708
- Large-scale proteomics identifies MMP-7 as a sentinel of epithelial injury and of biliary atresia.pubmed:29167395
- Diagnostic Accuracy of Serum Matrix Metalloproteinase‐7 for Biliary AtresiaPubmed: 30153340
- Quantification of Serum Matrix Metallopeptide 7 Levels May Assist in the Diagnosis and Predict the Outcome for Patients with Biliary AtresiaPubmed: 30853207
- Serum MMP-7 in the Diagnosis of Biliary AtresiaPubmed: 31604829
- Human umbilical cord blood mononuclear cells protect against renal tubulointerstitial fibrosis in cisplatin-treated ratsPubmed: 31710895
- The synthetic toxin biliatresone causes biliary atresia in micePubmed: 32681026
- Interstitial Score and Concentrations of IL-4R¦Á, PAR-2, and MMP-7 in Bronchoalveolar Lavage Fluid Could Be Useful Markers for Distinguishing Idiopathic Interstitial?¡33924683
- A novel strategy to identify candidate diagnostic and prognostic biomarkers for gastric cancer34215253
