Monoclonal Antibody to Proliferating Cell Nuclear Antigen (PCNA)
Cyclin
- UOM
- FOB US$ 125.00 US$ 293.00 US$ 418.00 US$ 1,045.00 US$ 4,180.00
- Quantity
Overview
Properties
- Product No.MAA591Hu21
- Organism SpeciesHomo sapiens (Human) Same name, Different species.
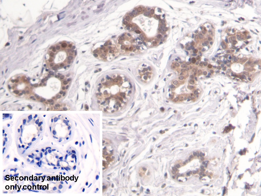
- ApplicationsWB; IHC; ICC/IF
If the antibody is used in flow cytometry, please check FCM antibodies.
Research use only - DownloadInstruction Manual
- CategoryTumor immunityDevelopmental science
- SourceMonoclonal antibody preparation, Host Mouse
- Ig Isotype IgG1 Kappa, Clone Number C3
- PurificationProtein A + Protein G affinity chromatography
- LabelNone
- Immunogen RPA591Hu01-Recombinant Proliferating Cell Nuclear Antigen (PCNA)
- Buffer Formulation0.01M PBS, pH7.4, containing 0.05% Proclin-300, 50% glycerol.
- TraitsLiquid, Concentration 1mg/mL
Sign into your account
Share a new citation as an author
Upload your experimental result
Review

Contact us
Please fill in the blank.
Specifity
The antibody is a mouse monoclonal antibody raised against PCNA. It has been selected for its ability to recognize PCNA in immunohistochemical staining and western blotting.
Usage
Western blotting: 0.01-2µg/mL;
Immunohistochemistry: 5-20µg/mL;
Immunocytochemistry: 5-20µg/mL;
Optimal working dilutions must be determined by end user.
Storage
Store at 4°C for frequent use. Stored at -20°C in a manual defrost freezer for two year without detectable loss of activity. Avoid repeated freeze-thaw cycles.
Stability
The thermal stability is described by the loss rate. The loss rate was determined by accelerated thermal degradation test, that is, incubate the protein at 37°C for 48h, and no obvious degradation and precipitation were observed. The loss rate is less than 5% within the expiration date under appropriate storage condition.
Organism Species More: Cavia (Guinea pig ), Sus scrofa; Porcine (Pig), Bos taurus; Bovine (Cattle), Capra hircus; Caprine (Goat), Ovis aries; Ovine (Sheep), Equus caballus; Equine (Horse)Giveaways
Increment services
-
Antibody Labeling Customized Service
-
Protein A/G Purification Column
-
Staining Solution for Cells and Tissue
-
Positive Control for Antibody
-
Tissue/Sections Customized Service
-
Phosphorylated Antibody Customized Service
-
Western Blot (WB) Experiment Service
-
Immunohistochemistry (IHC) Experiment Service
-
Immunocytochemistry (ICC) Experiment Service
-
Flow Cytometry (FCM) Experiment Service
-
Immunoprecipitation (IP) Experiment Service
-
Immunofluorescence (IF) Experiment Service
-
Buffer
-
DAB Chromogen Kit
-
SABC Kit
-
Long-arm Biotin Labeling Kit
-
Real Time PCR Experimental Service
Citations
- Human umbilical cord blood-mesenchymal stem cells transplantation renovates the ovarian surface epithelium in a rat model of premature ovarian failure: Possible direct and indirect effectsPubmed:27233913
- Antioxidant, anti-inflammatory and synergistic anti-hyperglycemic effects of Malaysian propolis and metformin in streptozotocin–induced diabetic ratsPubmed:30026088
- Malaysian propolis, metformin and their combination, exert hepatoprotective effect in streptozotocin-induced diabetic ratsPubmed: 30205096
- Diabetes-induced testicular oxidative stress, inflammation, and caspase-dependent apoptosis: the protective role of metforminPubmed: 30513216
- Synthesis of novel S-linked dihydroartemisinin derivatives and evaluation of their anticancer activityPubmed: 31216504
- The Effect of Dietary Quercetin on the Glutathione Redox System and Small Intestinal Functionality of Weaned PigletsPubmed: 31426309
- Oxidative Stress, NF-κB-Mediated Inflammation and Apoptosis in the Testes of Streptozotocin–Induced Diabetic Rats: Combined Protective Effects of Malaysian …Pubmed: 31600920
- Tert-butylhydroquinone preserve testicular steroidogenesis and spermatogenesis in cisplatin-intoxicated rats by targeting oxidative stress, inflammation and apoptosisPubmed: 32565124
- Protective effects of bee bread on testicular oxidative stress, NF-κB-mediated inflammation, apoptosis and lactate transport decline in obese male ratsPubmed: 33152939
- Tert-butylhydroquinone attenuates doxorubicin-induced dysregulation of testicular cytoprotective and steroidogenic genes, and improves spermatogenesis in rats33750916
- Local DNA synthesis is critical for DNA repair during oocyte maturation34415018
- Comparative Evaluation of Anti-Fibrotic Effect of Tissue Specific Mesenchymal Stem Cells Derived Extracellular Vesicles for the Amelioration of CCl4 Induced Chronic …34859376
- Inflammatory Modulation of miR-155 Inhibits Doxorubicin‑Induced Testicular Dysfunction Via Sirt1/Foxo1 Pathway: Insight to the Role of Acacetin and Bacillus …Pubmed:35715546
- Therapeutic Effects of Bee Bread on Obesity-Induced Testicular-Derived Oxidative Stress, Inflammation, and Apoptosis in High-Fat Diet Obese Rat Model …Pubmed:35204140
- Non-POU Domain-Containing Octamer-Binding (NONO) Protein Stability Regulated by PIN1 is Crucial for Breast Cancer Tumorigenicity Via the MAPK/β …
- Impact de l'incorporation d'acides gras à chaine moyenne, de suppléments de levures et d'avoine nue sur la santé intestinale ainsi que sur la consommation …
