Polyclonal Antibody to Acetylcholinesterase (ACHE)
ARAChE; N-AChE; YT
- UOM
- FOB US$ 124.00 US$ 288.00 US$ 412.00 US$ 1,030.00 US$ 4,120.00
- Quantity
Overview
Properties
- Product No.PAB447Bo01
- Organism SpeciesBos taurus; Bovine (Cattle) Same name, Different species.
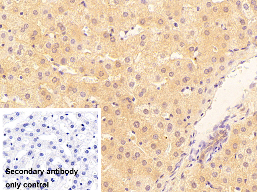
- ApplicationsIHC
If the antibody is used in flow cytometry, please check FCM antibodies.
Research use only - Downloadn/a
- CategorySignal transductionEnzyme & KinaseMetabolic pathwayHematologyNeuro science
- SourcePolyclonal antibody preparation, Host Rabbit
- Ig Type IgG, Potency n/a
- PurificationAntigen-specific affinity chromatography followed by Protein A affinity chromatography
- LabelNone
- Immunogen RPB447Bo01-Recombinant Acetylcholinesterase (ACHE)
- Buffer FormulationPBS, pH7.4, containing 0.02% NaN3, 50% glycerol.
- TraitsLiquid, Concentration 0.5mg/mL
Sign into your account
Share a new citation as an author
Upload your experimental result
Review

Contact us
Please fill in the blank.
Specifity
The antibody is a rabbit polyclonal antibody raised against ACHE. It has been selected for its ability to recognize ACHE in immunohistochemical staining and western blotting.
Usage
Immunohistochemistry: 5-20µg/mL;
Optimal working dilutions must be determined by end user.
Storage
Store at 4°C for frequent use. Stored at -20°C in a manual defrost freezer for two year without detectable loss of activity. Avoid repeated freeze-thaw cycles.
Stability
The thermal stability is described by the loss rate. The loss rate was determined by accelerated thermal degradation test, that is, incubate the protein at 37°C for 48h, and no obvious degradation and precipitation were observed. The loss rate is less than 5% within the expiration date under appropriate storage condition.
Organism Species More: Sus scrofa; Porcine (Pig)Giveaways
Increment services
-
Antibody Labeling Customized Service
-
Protein A/G Purification Column
-
Staining Solution for Cells and Tissue
-
Positive Control for Antibody
-
Tissue/Sections Customized Service
-
Phosphorylated Antibody Customized Service
-
Western Blot (WB) Experiment Service
-
Immunohistochemistry (IHC) Experiment Service
-
Immunocytochemistry (ICC) Experiment Service
-
Flow Cytometry (FCM) Experiment Service
-
Immunoprecipitation (IP) Experiment Service
-
Immunofluorescence (IF) Experiment Service
-
Buffer
-
DAB Chromogen Kit
-
SABC Kit
-
Long-arm Biotin Labeling Kit
-
Real Time PCR Experimental Service
Citations
- The Effects of Exercise-induced Fatigue on Acetylcholinesterase Expression and Activity at Rat Neuromuscular JunctionsPubMed: PMC2775104
- Positive enhancement of Lactobacillus fermentum HY01 on intestinal movements of mice having constipation10.1007/s13765-017-0327-3
- Thymoquinone Can Improve Neuronal Survival and Promote Neurogenesis in Rat Hippocampal NeuronsPubmed:29277983
- Feishu Acupuncture Inhibits Acetylcholine Synthesis and Restores Muscarinic Acetylcholine Receptor M2 Expression in the Lung When Treating Allergic AsthmaPubmed:29520557
- In Vitro Evaluation and Docking Studies of 5-oxo-5H-furo [3, 2-g] chromene-6-carbaldehyde Derivatives as Potential Anti-Alzheimer's AgentsPubmed: 31683761
- Cerebrospinal fluid cholinergic biomarkers are associated with postoperative delirium in elderly patients undergoing Total hip/knee replacement: a …Pubmed: 32988385
- Thymoquinone administration ameliorates Alzheimer's disease-like phenotype by promoting cell survival in the hippocampus of amyloid beta1-42 infused rat …Pubmed: 32920292
- Neuroprotective effect of sodium alginate against chromium-induced brain damage in ratsPubmed:35421180
- Neuropsychopharmacological profiling of scoparone in micePubmed:35039558
- Aqueous Ajwa dates seeds extract improves memory impairment in type-2 diabetes mellitus rats by reducing blood glucose levels and enhancing brain …Pubmed:35531250
- Sukkari dates seed improves type-2 diabetes mellitus-induced memory impairment by reducing blood glucose levels and enhancing brain cholinergic …Pubmed:35812141
