Polyclonal Antibody to Apolipoprotein A1 (APOA1)
Apo-A1; ApoA-1 Milano; ProapoA-I; Proapolipoprotein A-I; Truncated apolipoprotein A-I
Overview
Properties
- Product No.PAA519Ca01
- Organism SpeciesCanis familiaris; Canine (Dog) Same name, Different species.
- ApplicationsWB; IHC
If the antibody is used in flow cytometry, please check FCM antibodies.
Research use only - DownloadInstruction Manual
- CategoryMetabolic pathwayCardiovascular biologyHepatology
- SourcePolyclonal antibody preparation, Host Rabbit
- Ig Type IgG, Potency n/a
- PurificationAntigen-specific affinity chromatography followed by Protein A affinity chromatography
- LabelNone
- Immunogen RPA519Ca01-Recombinant Apolipoprotein A1 (APOA1)
- Buffer Formulation0.01M PBS, pH7.4, containing 0.05% Proclin-300, 50% glycerol.
- TraitsLiquid, Concentration 0.5mg/mL
Sign into your account
Share a new citation as an author
Upload your experimental result
Review

Contact us
Please fill in the blank.
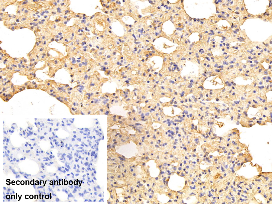
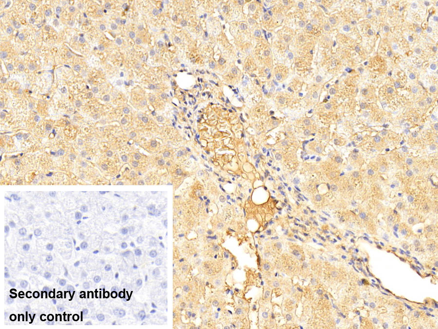
Specifity
The antibody is a rabbit polyclonal antibody raised against APOA1. It has been selected for its ability to recognize APOA1 in immunohistochemical staining and western blotting.
Usage
Western blotting: 0.1-2µg/mL;
Immunohistochemistry: 5-20µg/mL;
Optimal working dilutions must be determined by end user.
Storage
Store at 4°C for frequent use. Stored at -20°C in a manual defrost freezer for two year without detectable loss of activity. Avoid repeated freeze-thaw cycles.
Stability
The thermal stability is described by the loss rate. The loss rate was determined by accelerated thermal degradation test, that is, incubate the protein at 37°C for 48h, and no obvious degradation and precipitation were observed. The loss rate is less than 5% within the expiration date under appropriate storage condition.
Giveaways
Increment services
-
Antibody Labeling Customized Service
-
Protein A/G Purification Column
-
Staining Solution for Cells and Tissue
-
Positive Control for Antibody
-
Tissue/Sections Customized Service
-
Phosphorylated Antibody Customized Service
-
Western Blot (WB) Experiment Service
-
Immunohistochemistry (IHC) Experiment Service
-
Immunocytochemistry (ICC) Experiment Service
-
Flow Cytometry (FCM) Experiment Service
-
Immunoprecipitation (IP) Experiment Service
-
Immunofluorescence (IF) Experiment Service
-
Buffer
-
DAB Chromogen Kit
-
SABC Kit
-
Long-arm Biotin Labeling Kit
-
Real Time PCR Experimental Service
Citations
- Endurance training enhances ABCA1 expression in rat small intestinePubMed: 19629515
- Effect of eight weeks of wrestling and circuit fitness training on Apo lipoportein A-I and lymphocyte ABCA1 gene expression in well-trained wrestler. Wrestling: source
- Treadmill exercise enhances ABCA1 expression in rat liverScienceDirect: S0006291X0701488X
- The Effect of Eight Weeks of Wrestling and Wrestling Technique Based Circuit Training on Lymphocyte ABCA1 Gene Expression and Plasma Apolipoprotein A-1Idosi: source
- Hepatic lipase- and endothelial lipase-deficiency in mice promotes macrophage-to-feces RCT and HDL antioxidant propertiesPubMed: 23328279
- The association of a distinct plasma proteomic profile with the cervical high-grade squamous intraepithelial lesion of Uyghur women: a 2D liquid-phase chromatography/mass spectrometry studyPubMed: 22458349
- MicroRNA-33 Deficiency Reduces the Progression of Atherosclerotic Plaque in ApoE?/? MicePubMed: PMC3540673
- Apolipoprotein AI Is a Potential Mediator of Remote Ischemic PreconditioningPlosone: Source
- DYRK1A overexpression decreases plasma lecithin: cholesterol acyltransferase activity and apolipoprotein AI levelsPubmed: 23920041
- Deficiency of Clusterin Exacerbates High-Fat Diet-Induced Insulin Resistance in Male Mice Pubmed: 24684302
- Corrective effects of hepatotoxicity by hepatic Dyrk1a gene delivery in mice with intermediate hyperhomocysteinemiaSciencedirect:S2214426915000026
- Anti-atherogenic properties of high-density lipoproteins in psychiatric patients before and after two months of atypical anti-psychotic therapyPubMed: 26253619
- Culturing of HepG2 cells with human serum improve their functionality and suitability in studies of lipid metabolismPubMed: 26515253
- Efficacy of tomato concentrates in mouse models of dyslipidemia and cancerPubMed: 26171234
- Differentially expressed urinary biomarkers in children with idiopathic nephrotic syndromePubMed: 26351173
- Apolipoprotein A-I inhibits experimental colitis and colitis-propelled carcinogenesisPubMed: 26279300
- Apolipoprotein AI inhibits experimental colitis and colitis-propelled carcinogenesisPubmed:26279300
- Serum levels of 9α,11β-PGF2 and apolipoprotein A1 achieve high predictive power as biomarkers of anaphylaxis.pubmed:28378321
- Application of a new procedure for liquid chromatography/mass spectrometry profiling of plasma amino acid-related metabolites and untargeted shotgun proteomics to identify mechanisms and biomarkers of calcific aortic stenosisS0021967317311858
- High-Density Lipoproteins Exert Pro-inflammatory Effects on Macrophages via Passive Cholesterol Depletion and PKC-NF-kB/STAT1-IRF1 Signalingpubmed:27866837
- Effect of Ginkgo biloba Extract (EGb 761) on Serum Cholesterol Levels in Wild-type C57Bl/6 Mice10.15616/BSL.2017.23.2.80
- Enhanced Antiatherosclerotic Efficacy of Statin-Loaded Reconstituted High-Density Lipoprotein via Ganglioside GM1 Modificationabs:10.1021
- Wild Lonicera caerulea berry polyphenol extract reduces cholesterol accumulation and enhances antioxidant capacity in vitro and in vivoPubmed:29580541
- Consumption of orange fermented beverage improves antioxidant status and reduces peroxidation lipid and inflammatory markers in healthy humansPubmed:29124773
- A membrane disrupting toxin from wasp venom underlies the molecular mechanism of tissue damagePubmed:29654869
- The effect of exenatide (a GLP-1 analog) and sitagliptin (a DPP-4 inhibitor) on plasma platelet-activating factor acetylhydrolase (PAF-AH) activity and concentration in?…Pubmed: 30768981
- High-intensity interval training has a greater effect on reverse cholesterol transport elements compared with moderate-intensity continuous training in obese male ratsPubmed: 31718266
- Systemic Alterations of Immune Response-Related Proteins during Glaucoma Development in the Murine Model DBA/2JPubmed: 32585848
- Pathology and Proteomics-Based Diagnosis of Localized Light-Chain Amyloidosis in Dogs and CatsPubmed: 32880234
- GP73 is a TBC-domain Rab GTPase-activating protein contributing to the pathogenesis of non-alcoholic fatty liver disease without obesity34853313
- Interplay of Obesity, Ethanol, and Contaminant Mixture on Clinical Profiles of Cardiovascular and Metabolic Diseases: Evidence from an Animal StudyPubmed:35429258
- Neuropeptide Y promotes hepatic apolipoprotein A1 synthesis and secretion through neuropeptide Y Y5 receptorPubmed:35660638
- Castanea mollissima shell polyphenols regulate JAK2 and PPARγ expression to suppress inflammation and lipid accumulation by inhibiting M1 macrophages …
