Polyclonal Antibody to Autophagy Related Protein 5 (ATG5)
ASP; APG5; APG5L; hAPG5; Apoptosis-specific protein; Autophagy protein 5
Overview
Properties
- Product No.PAL221Hu01
- Organism SpeciesHomo sapiens (Human) Same name, Different species.
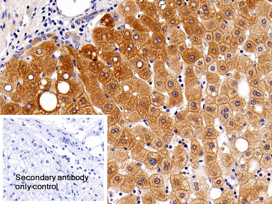
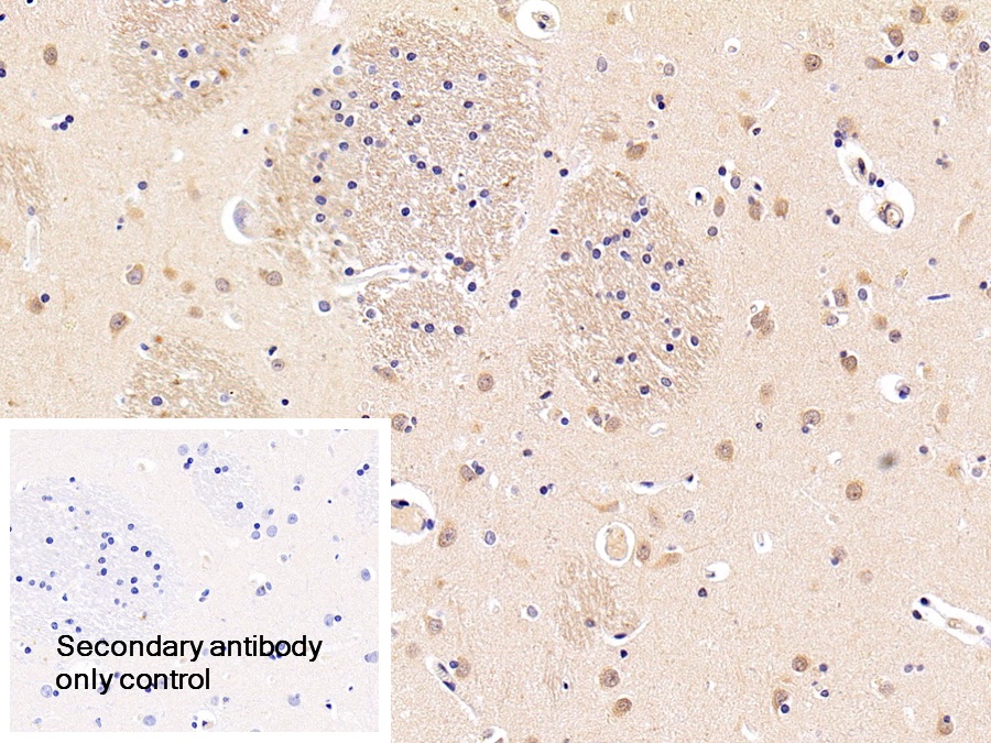
- ApplicationsWB; IHC
If the antibody is used in flow cytometry, please check FCM antibodies.
Research use only - DownloadInstruction Manual
- CategoryMetabolic pathway
- SourcePolyclonal antibody preparation, Host Rabbit
- Ig Type IgG, Potency n/a
- PurificationAntigen-specific affinity chromatography followed by Protein A affinity chromatography
- LabelNone
- Immunogen RPL221Hu01-Recombinant Autophagy Related Protein 5 (ATG5)
- Buffer Formulation0.01M PBS, pH7.4, containing 0.05% Proclin-300, 50% glycerol.
- TraitsLiquid, Concentration 0.5mg/mL
Sign into your account
Share a new citation as an author
Upload your experimental result
Review

Contact us
Please fill in the blank.
Specifity
The antibody is a rabbit polyclonal antibody raised against ATG5. It has been selected for its ability to recognize ATG5 in immunohistochemical staining and western blotting.
Usage
Western blotting: 0.01-2µg/mL
Immunohistochemistry: 5-20µg/mL
Immunocytochemistry: 5-20µg/mL
Optimal working dilutions must be determined by end user.
Storage
Store at 4°C for frequent use. Stored at -20°C in a manual defrost freezer for two year without detectable loss of activity. Avoid repeated freeze-thaw cycles.
Stability
The thermal stability is described by the loss rate. The loss rate was determined by accelerated thermal degradation test, that is, incubate the protein at 37°C for 48h, and no obvious degradation and precipitation were observed. The loss rate is less than 5% within the expiration date under appropriate storage condition.
Giveaways
Increment services
-
Antibody Labeling Customized Service
-
Protein A/G Purification Column
-
Staining Solution for Cells and Tissue
-
Positive Control for Antibody
-
Tissue/Sections Customized Service
-
Phosphorylated Antibody Customized Service
-
Western Blot (WB) Experiment Service
-
Immunohistochemistry (IHC) Experiment Service
-
Immunocytochemistry (ICC) Experiment Service
-
Flow Cytometry (FCM) Experiment Service
-
Immunoprecipitation (IP) Experiment Service
-
Immunofluorescence (IF) Experiment Service
-
Buffer
-
DAB Chromogen Kit
-
SABC Kit
-
Long-arm Biotin Labeling Kit
-
Real Time PCR Experimental Service
Citations
- A Variant of the Autophagy-Related 5 Gene Is Associated with Child Cerebral Palsy.pubmed:29326554
- Relationship of Autophagy and Apoptosis with Total Occlusion of Coronary ArteriesPubmed: 30273932
- Plasma ATG5 is increased in Alzheimer's disease
- Association of ATG5 gene polymorphism with Parkinson's disease in a Han Chinese population34661876
