Polyclonal Antibody to C Reactive Protein (CRP)
C-RP; PTX1; Pentraxin-Related; Pentraxin 1
Overview
Properties
- Product No.PAA821Hu01
- Organism SpeciesHomo sapiens (Human) Same name, Different species.
- ApplicationsWB; IHC; ICC/IF
If the antibody is used in flow cytometry, please check FCM antibodies.
Research use only - DownloadInstruction Manual
- CategoryTumor immunityInfection immunityCardiovascular biologyRheumatology
- SourcePolyclonal antibody preparation, Host Rabbit
- Ig Type IgG, Potency n/a
- PurificationAntigen-specific affinity chromatography followed by Protein A affinity chromatography
- LabelNone
- Immunogen RPA821Hu01-Recombinant C Reactive Protein (CRP)
- Buffer Formulation0.01M PBS, pH7.4, containing 0.05% Proclin-300, 50% glycerol.
- TraitsLiquid, Concentration 0.5mg/mL
Sign into your account
Share a new citation as an author
Upload your experimental result
Review

Contact us
Please fill in the blank.
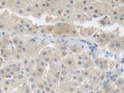
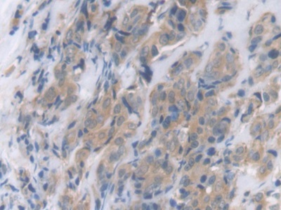
Specifity
The antibody is a rabbit polyclonal antibody raised against CRP. It has been selected for its ability to recognize CRP in immunohistochemical staining and western blotting.
Usage
Western blotting: 0.01-2µg/mL;
Immunohistochemistry: 5-20µg/mL;
Immunofluorescence: 5-20µg/mL;
Optimal working dilutions must be determined by end user.
Storage
Store at 4°C for frequent use. Stored at -20°C in a manual defrost freezer for two year without detectable loss of activity. Avoid repeated freeze-thaw cycles.
Stability
The thermal stability is described by the loss rate. The loss rate was determined by accelerated thermal degradation test, that is, incubate the protein at 37°C for 48h, and no obvious degradation and precipitation were observed. The loss rate is less than 5% within the expiration date under appropriate storage condition.
Organism Species More: Mus musculus (Mouse), Rattus norvegicus (Rat)Giveaways
Increment services
-
Antibody Labeling Customized Service
-
Protein A/G Purification Column
-
Staining Solution for Cells and Tissue
-
Positive Control for Antibody
-
Tissue/Sections Customized Service
-
Phosphorylated Antibody Customized Service
-
Western Blot (WB) Experiment Service
-
Immunohistochemistry (IHC) Experiment Service
-
Immunocytochemistry (ICC) Experiment Service
-
Flow Cytometry (FCM) Experiment Service
-
Immunoprecipitation (IP) Experiment Service
-
Immunofluorescence (IF) Experiment Service
-
Buffer
-
DAB Chromogen Kit
-
SABC Kit
-
Long-arm Biotin Labeling Kit
-
Real Time PCR Experimental Service
Citations
- Effect of Hirulog-Like Peptide on Balloon Catheter Injury-Induced Neointimal Formation in Femoral Arteries of Minipigs and Relationship with Inflammatory MediatorsKarger: 000257340
- Successful Treatment of Acute Lung Injury with Pitavastatin in Septic Mice: Potential Role of Glucocorticoid Receptor Expression in Alveolar MacrophagesAspet: 171462
- Anti-Inflammatory Effect of Guan-Xin-Er-Hao via the Nuclear Factor-Kappa B Signaling Pathway in Rats with Acute Myocardial InfarctionJstage: source
- In vivo protective effect of ferulic acid against noise-induced hearing loss in the guinea-pigPubMed: 20600667
- Metformin inhibits nuclear factor κB activation and decreases serum high-sensitivity C-reactive protein level in experimental atherogenesis of rabbitsSpringerLink: pt732478620w1528
- Olive (Olea europaea L.) Leaf Polyphenols Improve Insulin Sensitivity in Middle-Aged Overweight Men: A Randomized, Placebo-Controlled, Crossover TrialPubMed: 23516412
- Unpredictable chronic mild stress promotes atherosclerosis in high cholesterol-fed rabbitsPubMed: 22753638
- Protective Effect of Curcumin on Pulmonary and Cardiovascular Effects Induced by Repeated Exposure to Diesel Exhaust Particles in MicePlosOne: Source
- Relationships among serum C-reactive protein, receptor for advanced glycation products, metabolic dysfunction, and cognitive impairmentsPubMed: PMC3765839
- Impact of experimental type 1 diabetes mellitus on systemic and coagulation vulnerability in mice acutely exposed to diesel exhaust particlesPubMed: PMC3641025
- Changes in body weight, C-reactive protein, and total adiponectin in non-obese women after 12 months of a small-volume, home-based exercise programPubMed: PMC3752622
- Pre-Pubertal Children Born Post-Term Have Reduced Insulin Sensitivity and Other Markers of the Metabolic SyndromePubMed: PMC3698136
- Among overweight middle-aged men, first-borns have lower insulin sensitivity than second-bornsPubmed: 24503677
- Perirenal fat associated with microalbuminuria in obese ratsPubmed: 24526332
- Effect of caffeic acid on doxorubicin induced cardiotoxicity in ratsAjbm: Source
- Effect of high free fatty acids on the anti-contractile response of perivascular adipose tissue in rat aortaPubmed: 23939490
- Flos Lonicera Ameliorates Obesity and Associated Endotoxemia in Rats through Modulation of Gut Permeability and Intestinal MicrobiotaPlos: Source
- The determination of histopathological and biochemical effects of the rabbit knee joint injected dexketoprofen trometamolOnlinelibrary: fcp.12074
- Identifizierung neuer potentieller Biomarker für das Kolonkarzinom sowie dessen VorstufenInfo:Source
- Celastrol may have an anti-atherosclerosis effect in a rabbit experimental carotid atherosclerosis modelPubmed:Pmc4132129
- As If Biomarker Discovery Isn't Hard Enough: The Consequences of Poorly Characterized ReagentsPubmed:24305687
- Curcumin attenuates adhesion molecules and matrix metalloproteinase expression in hypercholesterolemic rabbitsPubmed:25282128
- Regression of experimental endometriotic implants in a rat model with the angiotensin II receptor blocker losartanPubmed:25302540
- Sub-chronic Toxicity and Cardiovascular Responses in Spontaneously Hypertensive Rats after Exposure to Multiwall Carbon Nanotubes by Intratracheal InstillationPubmed:25580880
- Bisphenol A exposure induces metabolic disorders and enhances atherosclerosis in hyperlipidemic rabbitsPubmed:25619500
- Short-Term Nose-Only Water-Pipe (Shisha) Smoking Exposure Accelerates Coagulation and Causes Cardiac Inflammation and Oxidative Stress in MicePubmed:25634761
- Consumption of orange fermented beverage reduces cardiovascular risk factors in healthy micePubmed:25666657
- Induction of Haemeoxygenase-1 Improves FFA-Induced Endothelial Dysfunction in Rat AortaPubmed:25766533
- 巨噬细胞及其相关因子在家兔不稳定斑块中的作用及其机制Paper:Source
- Effects of Intravenous Injection ofPubMed: 26063970
- Irisin improves endothelial function in obese mice through the AMPK-eNOS pathwayPubMed: 26371167
- Induction of Haemeoxygenase-1 Directly Improves Endothelial Function in Isolated Aortas from Obese Rats through the Ampk-Pi3k/Akt-Enos PathwayPubMed: 26160485
- Renal protective effects of induction of haem oxygenase-1 combined with increased adiponectin on the glomerular vascular endothelial growth factor–nitric oxide axis in obese ratsPubMed: 25959017
- Can apical periodontitis affect serum levels of CRP, IL-2, and IL-6 as well as induce pathological changes in remote organs?PubMed: 26556576
- Subchronic Toxicity and Cardiovascular Responses in Spontaneously Hypertensive Rats after Exposure to Multiwalled Carbon Nanotubes by Intratracheal InstillationPubMed: 25580880
- Resveratrol Inhibited Inflammation andAlveolar Bone Loss in PeriodontitisPubMed: 26497626
- Activation of cardiac renin–angiotensin system and plasminogen activator inhibitor-1 gene expressions in oral contraceptive-induced cardiometabolic disorderPubmed:26934364
- Orange beverage ameliorates high-fat-diet-induced metabolic disorder in micearticle:S1756464616300688
- Variation of Circulating Inflammatory Mediators in Staphylococcus aureus and Escherichia coli BloodstreamInfection.Pubmed:26772168
- Central Administration of Galanin Receptor 1 Agonist Boosted Insulin Sensitivity in Adipose Cells of Diabetic Ratspmc:PMC4835658
- THE ANTI-HYPERCHOLESTEROLEMIC EFFECT OF ULVAN POLYSACCHARIDE EXTRACTED FROM THE GREEN ALGA ULVAFASCIATA ON AGED HYPERCHOLESTEROLEMIC RATSjournals:10835
- Fat and Sucrose Intake Induces Obesity‐Related Bone Metabolism Disturbances: Kinetic and Reversibility Studies in Growing and Adult RatsPubmed:26175082
- Combined oral contraceptive-induced hypertension is accompanied by endothelial dysfunction and upregulated intrarenal angiotensin II type 1 receptor gene expressionpubmed:27447455
- Cardioprotective and renoprotective effects of Cocos nucifera water in offspring of high fat diet fed Wistar rat damsqk:20168
- Eicosapentaenoic acid-enriched phospholipids improve atherosclerosis by mediating cholesterol metabolismS1756464617300890
- Combined oral contraceptive and nitric oxide synthesis inhibition synergistically causes cardiac hypertrophy and exacerbates insulin resistance in female rats.pubmed:28376377
- Chronic prostatitis/chronic pelvic pain syndrome impairs erectile function through increased endothelial dysfunction, oxidative stress, apoptosis, and corporal fibrosis …doi:10.1111
- Central administration of galanin receptor 1 agonist boosted insulin sensitivity in adiposepubmed:27127795
- Elevated blood plasma levels of epinephrine, norepinephrine, tyrosine hydroxylase, TGFβ1, and TNFα associated with high-altitude pulmonary edema in an Indian population.pubmed:27540296
- Acute phase response in lame crossbred dairy cattlepubmed:27956769
- Anti-atherosclerosis and cardio-protective effects of the Angong Niuhuang Pill on a high fat and vitamin D3 induced rodent model of atherosclerosis.pubmed:27880884
- INTERLEUKIN-1 RECEPTOR 2: A NEW BIOMARKER FOR SEPSIS DIAGNOSIS AND GRAM-NEGATIVE/GRAM-POSITIVE BACTERIAL DIFFERENTIATIONpubmed:27984536
- PROCALCITONIN, C-REACTIVE PROTEIN AND FIBRINOGEN LEVELS IN CASES WITH MECHANIC BOWEL OBSTRUCTION AND THEIR CHANGE IN RELATION TO THE DURATION OF OBSTRUCTION: AN EXPERIMENTAL STUDY10.3892/ol.2017.7301
- Relationship of mean platelet volume to lymphocyte ratio and coronary collateral circulation in patients with stable angina pectorispubmed:28678144
- Protective effect of α–lipoic acid against spleen toxicity of dimethylnitrosamine in male mice: Antioxidant and ultrastructure approachespubmed:29031205
- The effects of non-surgical periodontal treatment on glycemic control, oxidative stress balance and quality of life in patients with type 2 diabetes: A randomized clinical trialpubmed:29145468
- The effect of DL-, L-isomers and DL-hydroxy analog administered at 2 levels as dietary sources of methionine on the metabolic and antioxidant parameters and growth performance of turkeys10.3382/ps/pex099
- The immune impact of mimic endoscopic retrograde appendicitis therapy and appendectomy on rabbits of acute appendicitis.pubmed:29029533
- Anemia and Iron Deficiency Related to Inflammation, Helicobacter pylori Infection and Adiposity in Reproductive-age Cuban Women10.1590/MEDICC.2017.1902030004
- The relationship between anti-C-reactive protein and disease activity in patients with systemic lupus erythematosus.pubmed:28352058
- Grape Seed Procyanidin Extract Reduces Arsenic-Induced Renal Inflammatory Injury in Male Mice.pubmed:28756814
- Anti-inflammatory and antithrombotic effects of nicotine exposure in oral contraceptive-induced insulin resistance are glucocorticoid-independentpubmed:28349880
- A ligand-specific blockade of the integrin Mac-1 selectively targets pathologic inflammation while maintaining protective host-defensePubmed:29410422
- Leptin alleviates intestinal mucosal barrier injury and inflammation in obese mice with acute pancreatitisPubmed:29934609
- The Protective Activities of Dietary Sea Cucumber Cerebrosides Against Atherosclerosis Through Regulating Inflammation and Cholesterol Metabolism in Male MicePubmed:29883529
- Changes of Plasma FABP4, CRP, Leptin, and Chemerin Levels in relation to Different Dietary Patterns and Duodenal-Jejunal Omega Switch Surgery in Sprague …Pubmed:29849871
- L-Carnitine Supplementation in Older Women. A Pilot Study on Aging Skeletal Muscle Mass and FunctionPubmed:29473908
- Saponins of sea cucumber attenuate atherosclerosis in ApoE−/− mice via lipid-lowering and anti-inflammatory properties10.1016:j.jff.2018.07.046
- Generation and validation of novel anti-bovine CD163 monoclonal antibodies ABM-1A9 and ABM-2D6Pubmed:29571519
- Oxymatrine attenuates lipopolysaccharide-induced acute lung injury by activating the epithelial sodium channel and suppressing the JNK signaling pathwayPubmed:29526865
- Anti-Inflammatory Activity of Combined Aerodisperse System in the Conditions of Experimental Cervical Lymphadenite:
- Improved endogenous epoxyeicosatrienoic acid production mends heart function via increased PGC 1α-mitochondrial functions in metabolic syndromePubmed: 30342783
- Sonographic synovitis in primary knee osteoarthritis patients and its relation to biomarkers of inflammation and oxidative stressDoi: 10.1016/j.ejr.2018.12.004
- Plasma Cellular Hypoxia, Mitochondrial Dysfunction, Disease Risk and Prognostic Factors in Type 2 Diabetic Patients in Saudi Arabia.
- L-Carnitine Supplementation Increases Trimethylamine-N-Oxide but not Markers of Atherosclerosis in Healthy Aged WomenPubmed: 30485835
- The Egyptian Rheumatologist
- Grape seed proanthocyanidin extract alleviates arsenic-induced lung damage through NF-κB signalingPubmed: 30869553
- Morphological Characteristics of the Thymus and Spleen and the Subpopulation Composition of Lymphocytes in Peripheral Blood during Systemic Inflammatory …
- Novel assay for the detection of CRP protein in rabbit leukocytes using flow cytometry
- Periodontal Health and Oral Microbiota in Patients with Rheumatoid ArthritisPubmed: 31072030
- Effects of Eurycoma longifolia Jack on chronic cerebral hypoperfusion-induced oxidative damage and memory deficit in rats
- Eicosapentaenoic acid in the form of phospholipid exerts superior anti-atherosclerosis effects than its triglyceride form in ApoE-/-mice
- Novel assay for the detection of CRP protein in rabbit leukocytes using flow cytometry/Nova metoda detekcie CRP proteinu na kralicich leukocytoch pomocou …
- The potential efficacy of dietary fatty acids and fructose induced inflammation and oxidative stress on the insulin signaling and fat accumulation in micePubmed: 31672515
- Ginsenoside Rg3-loaded, reactive oxygen species-responsive polymeric nanoparticles for alleviating myocardial ischemia-reperfusion injuryPubmed: 31783047
- Rotundic Acid Protects against Metabolic Disturbance and Improves Gut Microbiota in Type 2 Diabetes RatsPubmed: 31887996
- Lowering effects of fish oil supplementation on proinflammatory markers in hypertension: results from a randomized controlled trialPubmed: 32044905
- Silica nanoparticles induce JNK-mediated inflammation and myocardial contractile dysfunctionPubmed: 32036317
- The Efficacy of Autologous Myoblast Sheet Transplantation to Prevent Perforation After Duodenal Endoscopic Submucosal Dissection in Porcine ModelPubmed: 33121270
- miR-205/IRAK2 signaling pathway is associated with urban airborne PM2.5-induced myocardial toxicityPubmed: 32880512
- Protective Effects of Statin and Angiotensin Receptor Blocker in a Rat Model of Doxorubicin-and Trastuzumab-Induced CardiomyopathyPubmed: 32778498
- Association between Plasma Sestrin2 Levels and the Presence and Severity of Coronary Artery DiseasePubmed: 32670435
- Integrated metabolomics and gut microbiome to the effects and mechanisms of naoxintong capsule on type 2 diabetes in ratsPubmed: 32616735
- Quantifying the C-reactive protein concentrations of uterine lavage samples in postpartum dairy cowsPubmed: 32408965
- Serum levels of olfactomedin 4: a biomarker for asthma control state in asthmaticsPubmed: 32395538
- Validation and adaptation of the Empirical Dietary Inflammatory Pattern (EDIP) across nations: a test case.Pubmed: 32563770
- Effects of Tempol in Lipopolysaccharide-Induced Liver Injury
- Possible Role of Statins on the Inflammatory Biomarkers in Patients With Periodontal Disease: A Cross-Sectional Study
- Endothelin-1 is a surrogate biomarker link severe periodontitis and endothelial dysfunction in hypertensive patients: The potential nexus
- Effect of claw disorders on haemato-biochemical parameters and acute phase protein levels in crossbred cattle
- Lateral Flow Immunosensor for Ferritin Based on Dual Signal-Amplified Strategy by Rhodium Nanoparticles
- Early label-free analysis of mitochondrial redox states by Raman spectroscopy predicts septic outcomes
- МАРКЕРЫ КОСТНОГО РЕМОДЕЛИРОВАНИЯ ПРИ ЗАМЕЩЕНИИ ДЕФЕКТАТРАБЕКУЛЯРНОЙ КОСТНОЙ ТКАНИ РЕЗОРБИРУЕМЫМИ И …
- Multi-omic signatures of atherogenic dyslipidaemia: pre-clinical target identification and validation in humans33407555
- Use of Fourier-Transform Infrared Spectroscopy (FT-IR) for Monitoring Experimental Helicobacter pylori Infection and Related Inflammatory Response in Guinea Pig?¡33396581
- Ileal transposition helps to regulate plasma hepatokine levels in obese Zucker (Crl: ZUC (ORL)-Lepr fa) rats33833309
- Baicalin relieves Mycoplasma pneumoniae infection?induced lung injury through regulating microRNA?221 to inhibit the TLR4/NF?¦ÊB signaling pathway34109422
- Prevalence and Factors Associated with Iron Deficiency and Anemia among Residents of Urban Areas of S?o Paulo, Brazil34072813
- Perfluorooctane sulfonate exerts inflammatory bowel disease-like intestinal injury in rats33510972
- Intravenous ferric carboxymaltose does not provide benefits in reperfused acute myocardial infarction in the rat with normal iron status34243097
- Pim-2 kinase inhibits inflammation by suppressing the mTORC1 pathway in atherosclerosis34547720
- Nets of biotin-derived gold nanoparticles as a label for the C-reactive protein immunoassay34559243
- Cardio-protective and Anti-atherosclerosis Effect of Crocetin on Vitamin D3 and HFD-induced Atherosclerosis in Rats34615830
- Early-stage serum Stanniocalcin 1 as a predictor of outcome in patients with aneurysmal subarachnoid hemorrhagePubmed:34941085
- A rapid fluorescent aptasensor for point-of-care detection of C-reactive proteinPubmed:35714415
- Construction of a rabbit model with vinorelbine administration via peripherally inserted central catheter and dynamic monitoring of changes in phlebitis and thrombosisPubmed:35126715
- A Two-step Competition Assay for Visual, Sensitive and Quantitative C-reactive Protein Detection in Low-cost Microfluidic Particle Accumulators
