Polyclonal Antibody to Heart-type Fatty Acid Binding Protein (H-FABP)     
     
MDGI; FABP11; H-FABP; O-FABP; Hfabp; FABP3; Fatty Acid Binding Protein 3, Muscle And Heart; Mammary Derived Growth Inhibitor; Fatty Acid Binding Protein 11; Muscle fatty acid-binding protein; Heart-ty
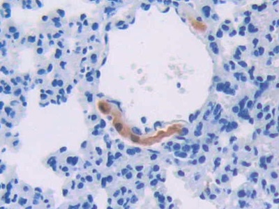
Overview
Properties
- Product No.PAB243Mu01
- Organism SpeciesMus musculus (Mouse) Same name, Different species.
- ApplicationsWB; IHC
 If the antibody is used in flow cytometry, please check FCM antibodies.
 Research use only
- DownloadInstruction Manual
- CategoryMetabolic pathwayCardiovascular biology
- SourcePolyclonal antibody preparation, Host Rabbit
- Ig Type IgG, Potency n/a
- PurificationAntigen-specific affinity chromatography followed by Protein A affinity chromatography
- LabelNone
- Immunogen RPB243Mu01-Recombinant Heart-type Fatty Acid Binding Protein (H-FABP)
- Buffer FormulationPBS, pH7.4, containing 0.01% SKL, 1mM DTT, 5% Trehalose and Proclin300.
- TraitsLiquid, Concentration 500µg/mL
Sign into your account
Share a new citation as an author
Upload your experimental result
Review

Contact us
Please fill in the blank.
Specifity
The antibody is a rabbit polyclonal antibody raised against H-FABP. It has been selected for its ability to recognize H-FABP in immunohistochemical staining and western blotting.
Usage
            
                        Western blotting: 0.2-2µg/mL;1:250-2500
                        
 Immunohistochemistry: 5-20µg/mL;1:25-100
                        
 Immunocytochemistry: 5-20µg/mL;1:25-100
                        
 Optimal working dilutions must be determined by end user.
                        
        
Storage
Store at 4°C for frequent use. Stored at -20°C in a manual defrost freezer for two year without detectable loss of activity. Avoid repeated freeze-thaw cycles.
Stability
The thermal stability is described by the loss rate. The loss rate was determined by accelerated thermal degradation test, that is, incubate the protein at 37°C for 48h, and no obvious degradation and precipitation were observed. The loss rate is less than 5% within the expiration date under appropriate storage condition.
Organism Species More: Rattus norvegicus (Rat)Giveaways
Increment services
- 
                 Antibody Labeling Customized Service Antibody Labeling Customized Service
- 
                 Protein A/G Purification Column Protein A/G Purification Column
- 
                 Staining Solution for Cells and Tissue Staining Solution for Cells and Tissue
- 
                 Positive Control  for Antibody Positive Control  for Antibody
- 
                 Tissue/Sections Customized Service Tissue/Sections Customized Service
- 
                 Phosphorylated Antibody Customized Service Phosphorylated Antibody Customized Service
- 
                 Western Blot (WB) Experiment Service Western Blot (WB) Experiment Service
- 
                 Immunohistochemistry (IHC) Experiment Service Immunohistochemistry (IHC) Experiment Service
- 
                 Immunocytochemistry (ICC) Experiment Service Immunocytochemistry (ICC) Experiment Service
- 
                 Flow Cytometry (FCM) Experiment Service Flow Cytometry (FCM) Experiment Service
- 
                 Immunoprecipitation (IP) Experiment Service Immunoprecipitation (IP) Experiment Service
- 
                 Immunofluorescence (IF) Experiment Service Immunofluorescence (IF) Experiment Service
- 
                 Buffer Buffer
- 
                 DAB Chromogen Kit DAB Chromogen Kit
- 
                 SABC Kit SABC Kit
- 
                 Long-arm Biotin Labeling Kit Long-arm Biotin Labeling Kit
- 
                 Real Time PCR Experimental Service Real Time PCR Experimental Service
Citations
- Protective effects of N (2)‑L‑alanyl‑L‑glutamine mediated by the JAK2/STAT3 signaling pathway on myocardial ischemia reperfusionPubmed:29393473
- Hydrogen‑rich solution attenuates myocardial injury caused by cardiopulmonary bypass in rats via the Janus‑activated kinase 2/signal transducer and activator of …Pubmed:29928398
- Signature-oriented investigation of the efficacy of multicomponent drugs against heart failurePubmed: 30230922

 
         
    
     
                 
                 
                                 
                                 
                                 
                                 
                                 
                            