Polyclonal Antibody to Ferritin, Heavy Polypeptide (FTH)
FTH1; FTHL6; PIG15; PLIF; Ferritin Heavy Chain; Apoferritin; Placenta Immunoregulatory Factor; Proliferation-Inducing Protein 15; Cell proliferation-inducing gene 15 protein
- UOM
- FOB US$ 126.00 US$ 294.00 US$ 420.00 US$ 1,050.00 US$ 4,200.00
- Quantity
Overview
Properties
- Product No.PAD021Po01
- Organism SpeciesSus scrofa; Porcine (Pig) Same name, Different species.
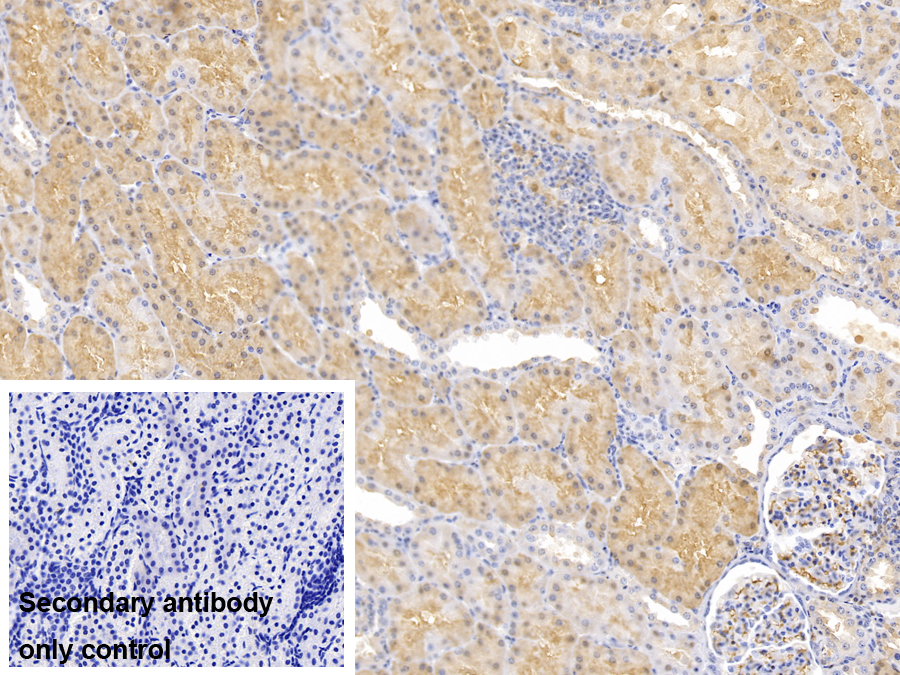
- ApplicationsWB; IHC; ICC/IF
If the antibody is used in flow cytometry, please check FCM antibodies.
Research use only - DownloadInstruction Manual
- CategoryMetabolic pathway
- SourcePolyclonal antibody preparation, Host Rabbit
- Ig Type IgG, Potency n/a
- PurificationAntigen-specific affinity chromatography followed by Protein A affinity chromatography
- LabelNone
- Immunogen RPD021Po01-Recombinant Ferritin, Heavy Polypeptide (FTH)
- Buffer Formulation0.01M PBS, pH7.4, containing 0.05% Proclin-300, 50% glycerol.
- TraitsLiquid, Concentration 0.5mg/mL
Sign into your account
Share a new citation as an author
Upload your experimental result
Review

Contact us
Please fill in the blank.
Specifity
The antibody is a rabbit polyclonal antibody raised against FTH. It has been selected for its ability to recognize FTH in immunohistochemical staining and western blotting.
Usage
Western blotting: 0.01-5µg/mL;
Immunohistochemistry: 5-20µg/mL;
Immunocytochemistry: 5-20µg/mL;
Optimal working dilutions must be determined by end user.
Storage
Store at 4°C for frequent use. Stored at -20°C in a manual defrost freezer for two year without detectable loss of activity. Avoid repeated freeze-thaw cycles.
Stability
The thermal stability is described by the loss rate. The loss rate was determined by accelerated thermal degradation test, that is, incubate the protein at 37°C for 48h, and no obvious degradation and precipitation were observed. The loss rate is less than 5% within the expiration date under appropriate storage condition.
Organism Species More: Homo sapiens (Human)Giveaways
Increment services
-
Antibody Labeling Customized Service
-
Protein A/G Purification Column
-
Staining Solution for Cells and Tissue
-
Positive Control for Antibody
-
Tissue/Sections Customized Service
-
Phosphorylated Antibody Customized Service
-
Western Blot (WB) Experiment Service
-
Immunohistochemistry (IHC) Experiment Service
-
Immunocytochemistry (ICC) Experiment Service
-
Flow Cytometry (FCM) Experiment Service
-
Immunoprecipitation (IP) Experiment Service
-
Immunofluorescence (IF) Experiment Service
-
Buffer
-
DAB Chromogen Kit
-
SABC Kit
-
Long-arm Biotin Labeling Kit
-
Real Time PCR Experimental Service
Citations
- Presence in the Pre-Surgical Fine-Needle Aspiration of Potential Thyroid Biomarkers Previously Identified in the Post-Surgical OnePubMed: PMC3765839
- Methemoglobin-induced signaling and chemokine responses in human alveolar epithelial cellsPubmed:24142518
- The Oral Iron Chelator, Deferasirox, Reverses the Age-Dependent Alterations in Iron and Amyloid-β Homeostasis in Rat Brain: Implications in the Therapy of Alzheimer’s DiseasePubMed: 26484920
- MR molecular imaging of tumours using ferritin heavy chain reporter gene expression mediated by the hTERT promoterPubmed:26960542
- Impact of TET2 deficiency on iron metabolism in erythroblasts.pubmed:28167288
