Polyclonal Antibody to Glutaminyl tRNA Synthetase (QARS)    
    
GLNRS; Glutamine tRNA Ligase
Overview
Properties
- Product No.PAD001Ra01
 - Organism SpeciesRattus norvegicus (Rat) Same name, Different species.
 - ApplicationsWB; IHC
If the antibody is used in flow cytometry, please check FCM antibodies.
Research use only - DownloadInstruction Manual
 - CategoryEnzyme & Kinase
 
- SourcePolyclonal antibody preparation, Host Rabbit
 - Ig Type IgG, Potency n/a
 - PurificationAntigen-specific affinity chromatography followed by Protein A affinity chromatography
 - LabelNone
 - Immunogen RPD001Ra01-Recombinant Glutaminyl tRNA Synthetase (QARS)
 - Buffer FormulationPBS, pH7.4, containing 0.01% SKL, 1mM DTT, 5% Trehalose and Proclin300.
 - TraitsLiquid, Concentration 500µg/mL
 
Sign into your account
Share a new citation as an author
Upload your experimental result
Review

Contact us
Please fill in the blank.
Specifity
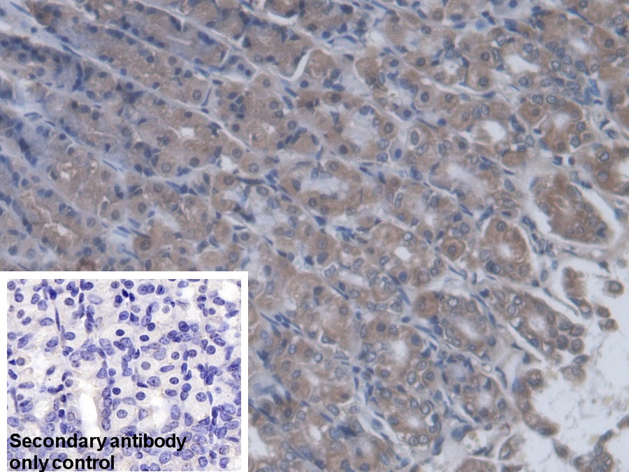
The antibody is a rabbit polyclonal antibody raised against QARS. It has been selected for its ability to recognize QARS in immunohistochemical staining and western blotting.
Usage
            
                        Western blotting: 0.2-2µg/mL;1:250-2500
                        
 Immunohistochemistry: 5-20µg/mL;1:25-100
                        
 Immunocytochemistry: 5-20µg/mL;1:25-100
                        
 Optimal working dilutions must be determined by end user.
                        
        
Storage
Store at 4°C for frequent use. Stored at -20°C in a manual defrost freezer for two year without detectable loss of activity. Avoid repeated freeze-thaw cycles.
Stability
The thermal stability is described by the loss rate. The loss rate was determined by accelerated thermal degradation test, that is, incubate the protein at 37°C for 48h, and no obvious degradation and precipitation were observed. The loss rate is less than 5% within the expiration date under appropriate storage condition.
Organism Species More: Homo sapiens (Human)Giveaways
Increment services
- 
                
                    Antibody Labeling Customized Service
                                 - 
                
                    Protein A/G Purification Column
                                 - 
                
                    Staining Solution for Cells and Tissue
                                 - 
                
                    Positive Control  for Antibody
                                 - 
                
                    Tissue/Sections Customized Service
                                 - 
                
                    Phosphorylated Antibody Customized Service
                                 - 
                
                    Western Blot (WB) Experiment Service
                                 - 
                
                    Immunohistochemistry (IHC) Experiment Service
                                 - 
                
                    Immunocytochemistry (ICC) Experiment Service
                                 - 
                
                    Flow Cytometry (FCM) Experiment Service
                                 - 
                
                    Immunoprecipitation (IP) Experiment Service
                                 - 
                
                    Immunofluorescence (IF) Experiment Service
                                 - 
                
                    Buffer
                                 - 
                
                    DAB Chromogen Kit
                                 - 
                
                    SABC Kit
                                 - 
                
                    Long-arm Biotin Labeling Kit
                                 - 
                
                    Real Time PCR Experimental Service
                                 
