Polyclonal Antibody to Kidney Injury Molecule 1 (Kim1)
HAVCR1; TIM1; TIMD1; HAVCR; Hepatitis A Virus Cellular Receptor 1; T Cell Immunoglobulin And Mucin Domain-Containing Protein 1; T-cell immunoglobulin mucin receptor 1
Overview
Properties
- Product No.PAA785Hu02
- Organism SpeciesHomo sapiens (Human) Same name, Different species.
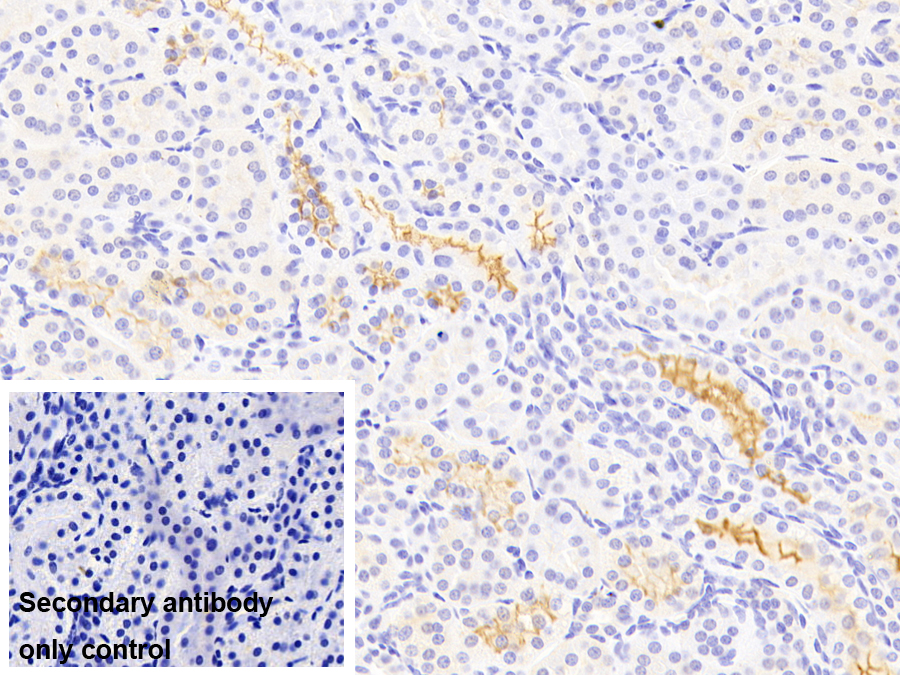
- ApplicationsWB; IHC
If the antibody is used in flow cytometry, please check FCM antibodies.
Research use only - DownloadInstruction Manual
- CategoryTumor immunityInfection immunityKidney biomarker
- SourcePolyclonal antibody preparation, Host Rabbit
- Ig Type IgG, Potency n/a
- PurificationAntigen-specific affinity chromatography followed by Protein A affinity chromatography
- LabelNone
- Immunogen RPA785Hu02-Recombinant Kidney Injury Molecule 1 (Kim1)
- Buffer FormulationPBS, pH7.4, containing 0.02% NaN3, 50% glycerol.
- TraitsLiquid, Concentration 0.5mg/mL
Sign into your account
Share a new citation as an author
Upload your experimental result
Review

Contact us
Please fill in the blank.
Specifity
The antibody is a rabbit polyclonal antibody raised against Kim1. It has been selected for its ability to recognize Kim1 in immunohistochemical staining and western blotting.
Usage
Western blotting: 0.01-5µg/mL
Immunohistochemistry: 5-20µg/mL
Immunocytochemistry: 5-20µg/mL
Optimal working dilutions must be determined by end user.
Storage
Store at 4°C for frequent use. Stored at -20°C in a manual defrost freezer for two year without detectable loss of activity. Avoid repeated freeze-thaw cycles.
Stability
The thermal stability is described by the loss rate. The loss rate was determined by accelerated thermal degradation test, that is, incubate the protein at 37°C for 48h, and no obvious degradation and precipitation were observed. The loss rate is less than 5% within the expiration date under appropriate storage condition.
Organism Species More: Mus musculus (Mouse)Giveaways
Increment services
-
Antibody Labeling Customized Service
-
Protein A/G Purification Column
-
Staining Solution for Cells and Tissue
-
Positive Control for Antibody
-
Tissue/Sections Customized Service
-
Phosphorylated Antibody Customized Service
-
Western Blot (WB) Experiment Service
-
Immunohistochemistry (IHC) Experiment Service
-
Immunocytochemistry (ICC) Experiment Service
-
Flow Cytometry (FCM) Experiment Service
-
Immunoprecipitation (IP) Experiment Service
-
Immunofluorescence (IF) Experiment Service
-
Buffer
-
DAB Chromogen Kit
-
SABC Kit
-
Long-arm Biotin Labeling Kit
-
Real Time PCR Experimental Service
Citations
- Clinical implication of urinary neutrophil gelatinase-associated lipocalin and kidney injury molecule-1 in patients with acute paraquat intoxicationPubMed: 19827907
- KIM-1 and NGAL: new markers of obstructive nephropathySpringerLink: v461592787w5488x
- Urinary Neutrophil Gelatinase-Associated Lipocalin at Birth Predicts Early Renal Function in Very Low Birth Weight InfantsLWW: 10000
- Markers of kidney function in the elderly in relation to the new CKD-EPI formula for estimation of glomerular filtration rateAMS: source
- Targeting the AGE-RAGE axis improves renal function in the context of a healthy diet low in advanced glycation end-product contentPubMed: 23046363
- Comprehensive assessment of nephrotoxicity of intravenously administered sodium-oleate-coated ultra-small superparamagnetic iron oxide (USPIO) and titanium dioxide (TiO(2)) nanoparticles in rats.PubMed: 23272807
- A Mouse Diversity Panel Approach Reveals the Potential for Clinical Kidney Injury Due to DB289 Not Predicted by Classical Rodent ModelsPubMed: PMC3498743
- Interleukin 18 as a Marker of Chronic Nephropathy in Children after Anticancer TreatmentHindawi: 369784
- Urinary Measurement of Neutrophil Gelatinase Associated Lipocalin and Kidney Injury Molecule-1 Helps Diagnose Acute Pyelonephritis in a Preclinical ModelHindawi: 413853
- Kidney injury molecule-1: a urinary biomarker for contrast induced acute kidney injury.Iiste: Source
- Urinary neutrophil gelatinase-associated lipocalin predicts graft loss after acute kidney injury in kidney transplantPubmed: 24325180
- Targeting the AGE-RAGE axis improves renal function in the context of a healthy diet low in advanced glycation end-product content.Pubmed: 23046363
- The Renal Effects of Vanadate Exposure: Potential Biomarkers and Oxidative Stress as a Mechanism of Functional Renal Disorders—Preliminary StudiesHindawi: 740105
- Attenuation of renal ischemia/reperfusion injury by a?aí extract preconditioning in a rat modelPubmed:25476829
- Urinary Kim-1 is a sensitive biomarker for the early stage of diabetic nephropathy in Otsuka Long-Evans Tokushima Fatty ratsSagepub:Source
- 中性粒细胞明胶酶相关脂质运载蛋白、肾损伤分子1和白介素18 在诊断心肺分流术后急性肾损伤中的意义Jcp-Sh:Source
- Tubular urinary biomarkers do not identify aetiology of acute kidney injury in kidney transplant recipientsPubmed:24666430
- Cilostazol Renoprotective Effect: Modulation of PPAR-γ, NGAL, KIM-1 and IL-18 Underlies Its Novel Effect in a Model of Ischemia-ReperfusionPubmed:24816434
- SYNbiotics Easing Renal failure by improving Gut microbiologY (SYNERGY): a protocol of placebo-controlled randomised cross-over trialPubmed:24996842
- The diagnosis of febrile urinary tract infection in children may be facilitated by urinary biomarkersPubmed:25127917
- Systemic and Flap Inflammatory Response Associates with Thrombosis in Flap Venous CrisisPubmed:25448261
- Kidney injury molecule-1: A urinary biomarker for contrast-induced acute kidney injuryTmjournals:Source
- Rosiglitazone attenuates renal injury caused by hyperlipidemic pancreatitisPubMed: 26191125
- Inhalation of hydrogen gas ameliorates glyoxylate-induced calcium oxalate deposition and renal oxidative stress in micePubMed: 26045773
- Vorinostat protects against calcium oxalate-induced kidney injury in micePubMed: 26095064
- Role of new biomarkers for predicting renal scarring in vesicoureteral reflux: NGAL, KIM-1, and L-FABPPubMed: 26324091
- Urinary NGAL, KIM-1 and L-FABP concentrations in antenatal hydronephrosisPubMed: 26096437
- Intrarenal Renin-Angiotensin System Mediates Fatty Acid-Induced ER Stress in the KidneyPubMed: 26672616
- Attenuation of renal ischemia/reperfusion injury by oleanolic acid preconditioning via its antioxidant, anti‑inflammatory, and anti‑apoptotic activities.Pubmed:27082705
- Preconditioned suppression of prolyl-hydroxylases attenuates renal injury but increases mortality in septic murine modelsPubmed:26908768
- Kidney Injury Molecule Levels in Type 2 Diabetes MellitusPubmed:27132791
- Protective Effect of Dihydromyricetin Against Lipopolysaccharide-Induced Acute Kidney Injury in a Rat Modelpmc:PMC4754091
- Deficiency in Apoptosis-Inducing Factor Recapitulates Chronic Kidney Disease via Aberrant Mitochondrial HomeostasisPubmed:26822084
- Once daily administration of the SGLT2 inhibitor, empagliflozin, attenuates markers of renal fibrosis without improving albuminuria in diabetic db/db micePubmed:27226136
- Vitamins C and E Alleviate Nephrotoxicity-induced by Potassium Bromate in RatsBarakat812016JALSI28698.pdf
- Synergic Effect of α-Mangostin on the Cytotoxicity of Cisplatin in a Cervical Cancer Model.pubmed:28053694
- Attenuation of renal ischemia/reperfusion injury by oleanolic acid preconditioning via itsantioxidant, anti‑inflammatory, and anti‑apoptotic activities.pubmed:27082705
- Protective Effects of DHA-PC against Vancomycin-Induced Nephrotoxicity through the Inhibition of Oxidative Stress and Apoptosis in BALB/c Micepubmed:29254330
- Early urinary biomarkers of renal tubular damage by a high-salt intake independent of blood pressure in normotensive rats.pubmed:29027259
- Urinary Kidney Injury Molecule-1 but Not Urinary Neutrophil Gelatinase Associated Lipocalin Is Increased after Short Maximal Exercise10.1159/000481179
- Gum Acacia Improves Renal Function and Ameliorates Systemic Inflammation, Oxidative and Nitrosative Stress in Streptozotocin-Induced Diabetes in Rats …Pubmed:29550811
- Exploring the therapeutic mechanism of Desmodium styracifolium on oxalate crystal-induced kidney injuries using comprehensive approaches based on …Pubmed:29950996
- Effect of Pinocembrin Isolated from Mexican Brown Propolis on Diabetic NephropathyPubmed:29642511
- Modeling heart failure risk in diabetes and kidney disease: limitations and potential applications of transverse aortic constriction in high-fat-fed micePubmed:29443547
- Effect of Aqueous Extract of Glycyrrhiza glabra on the Biochemical Changes Induced by Cadmium Chloride in RatsPubmed: 30251228
- A Phage Display-Identified Peptide Selectively Binds to Kidney Injury Molecule-1(KIM-1) and Detects KIM-1-Overexpressing Tumors in vivo
- Urinary neutrophil gelatinase-associated lipocalin, kidney injury molecule-1, N-acetyl-β-D-glucosaminidase levels and mortality risk in septic patients with …Pubmed: 30393493
- UPLC/MS-Based Metabolomics Investigation of the Protective Effect of Hydrogen Gas Inhalation on Mice with Calcium Oxalate-Induced Renal InjuryPubmed: 30381664
- The Kidney Specific Protein myo-Inositol Oxygenase, a Potential Biomarker for Diabetic NephropathyPubmed: 30504713
- Urine markers of renal tubular injury in idiopathic membranous nephropathy: A cross sectional studyPubmed: 30684459
- Dual actions on gout flare and acute kidney injury along with enhanced renal transporter activities by Yokuininto, a Kampo medicinePubmed: 30871515
- Application of ELISA Technique and Human Microsomes in the Search for 11β-Hydroxysteroid Dehydrogenase InhibitorsDoi: BioMed Research International
- Piceatannol protects against cisplatin nephrotoxicity via activation of Nrf2/HO-1 pathway and hindering NF-κB inflammatory cascadePubmed: 31197431
- Effect of Cucumis melo var. flexuosus leaves extract on renal oxidative injury and inflammation in diabetic male albino rats
- Toxicity assessment due to prenatal and lactational exposure to lead, cadmium and mercury mixturesPubmed: 31639605
- page Metabolomics study of fasudil on cisplatin-induced kidney injuryPubmed: 31670380
- MiR-214-3p exacerbates kidney damages and inflammation induced by hyperlipidemic pancreatitis complicated with acute renal injuryPubmed: 31790686
- Protective effect of saxagliptin against renal ischaemia reperfusion injury in ratsPubmed: 31979992
- Delineating a role for the Mitochondrial Permeability Transition Pore in Diabetic Kidney Disease by targeting Cyclophilin DPubmed: 31943002
- Rapamycin improves renal injury induced by Iodixanol in diabetic rats by deactivating the mTOR/p70S6K signaling pathwayPubmed: 32798557
- Serum NGAL, KIM-1, IL-18, L-FABP: new biomarkers in the diagnostics of acute kidney injury (AKI) following invasive cardiology proceduresPubmed: 32557377
- Can Serum Neutrophil Gelatinase Associated Lipocalin and Kidney Injury Molecule-1 Help in Decision Making for Surgery in Antenatally Dedected …Pubmed: 33139211
- Ratlarda sodyum florid ile oluşturulan toksikasyonda Karvakol'ün böbrekler üzerine etkisi
- Rationale and design of the intervention in PHOspholamban RElated CArdiomyopathy STudy (i-PHORECAST)
- Early Kidney Injury in Immunoglobulin A Vasculitis: Role of Renal Biomarkers33423326
- Value of urinary kidney injury molecule-1 levels in predicting acute kidney injury in very low birth weight preterm infants33372811
- Renal Protective Effect of Beluga Lentil Pretreatment for Ischemia-Reperfusion Injury33604384
- Targeting Methylglyoxal in Diabetic Kidney Disease Using the Mitochondria-Targeted Compound MitoGamide33922959
- Kim-1 Targeted Extracellular Vesicles: A New Therapeutic Platform for RNAi to Treat AKI34127536
- Anti-oxidant impact of Lisinopril and Enalapril against acute kidney injury induced by doxorubicin in male Wistar rats: involvement of kidney injury molecule-133506137
- Pentoxifylline treatment alleviates kidney ischemia/reperfusion injury: Novel involvement of galectin-3 and ASK-1/JNK & ERK1/2/NF-¦ÊB/HMGB-1 trajectories34030796
- Could urinary kidney injury molecule-1 be a good marker in subclinical acute kidney injury in mild to moderate COVID-19 infection?34213713
- Preservation of renal endothelial integrity and reduction of renal edema by aprotinin does not preserve renal perfusion and function following experimental …34169407
- Kidney disease risk factors do not explain impacts of low dietary protein on kidney function and structure34820603
