Polyclonal Antibody to Phosphatidylethanolamine Binding Protein 1 (PEBP1)     
     
PBP; HCNP; PEBP; RKIP; Prostatic Binding Protein; Raf Kinase Inhibitory Protein; Hippocampal Cholinergic Neurostimulating Peptide; Neuropolypeptide h3
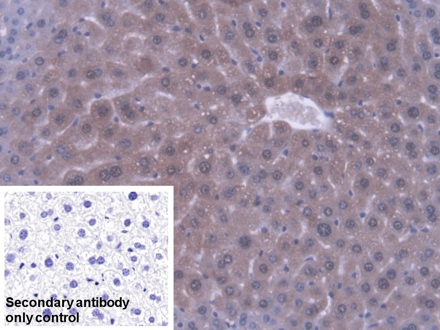
Overview
Properties
- Product No.PAG543Mu01
- Organism SpeciesMus musculus (Mouse) Same name, Different species.
- ApplicationsWB; IHC
 If the antibody is used in flow cytometry, please check FCM antibodies.
 Research use only
- DownloadInstruction Manual
- CategoryMetabolic pathway
- SourcePolyclonal antibody preparation, Host Rabbit
- Ig Type IgG, Potency n/a
- PurificationAntigen-specific affinity chromatography followed by Protein A affinity chromatography
- LabelNone
- Immunogen RPG543Mu01-Recombinant Phosphatidylethanolamine Binding Protein 1 (PEBP1)
- Buffer Formulation0.01M PBS, pH7.4, containing 0.05% Proclin-300, 50% glycerol.
- TraitsLiquid, Concentration 0.5mg/ml
Sign into your account
Share a new citation as an author
Upload your experimental result
Review

Contact us
Please fill in the blank.
Specifity
The antibody is a rabbit polyclonal antibody raised against PEBP1. It has been selected for its ability to recognize PEBP1 in immunohistochemical staining and western blotting.
Usage
            Western blotting: 0.01-2µg/mL;
Immunohistochemistry: 5-20µg/mL;
Optimal working dilutions must be determined by end user.        
Storage
Store at 4°C for frequent use. Stored at -20°C in a manual defrost freezer for two year without detectable loss of activity. Avoid repeated freeze-thaw cycles.
Stability
The thermal stability is described by the loss rate. The loss rate was determined by accelerated thermal degradation test, that is, incubate the protein at 37°C for 48h, and no obvious degradation and precipitation were observed. The loss rate is less than 5% within the expiration date under appropriate storage condition.
Organism Species More: Homo sapiens (Human)Giveaways
Increment services
- 
                 Antibody Labeling Customized Service Antibody Labeling Customized Service
- 
                 Protein A/G Purification Column Protein A/G Purification Column
- 
                 Staining Solution for Cells and Tissue Staining Solution for Cells and Tissue
- 
                 Positive Control  for Antibody Positive Control  for Antibody
- 
                 Tissue/Sections Customized Service Tissue/Sections Customized Service
- 
                 Phosphorylated Antibody Customized Service Phosphorylated Antibody Customized Service
- 
                 Western Blot (WB) Experiment Service Western Blot (WB) Experiment Service
- 
                 Immunohistochemistry (IHC) Experiment Service Immunohistochemistry (IHC) Experiment Service
- 
                 Immunocytochemistry (ICC) Experiment Service Immunocytochemistry (ICC) Experiment Service
- 
                 Flow Cytometry (FCM) Experiment Service Flow Cytometry (FCM) Experiment Service
- 
                 Immunoprecipitation (IP) Experiment Service Immunoprecipitation (IP) Experiment Service
- 
                 Immunofluorescence (IF) Experiment Service Immunofluorescence (IF) Experiment Service
- 
                 Buffer Buffer
- 
                 DAB Chromogen Kit DAB Chromogen Kit
- 
                 SABC Kit SABC Kit
- 
                 Long-arm Biotin Labeling Kit Long-arm Biotin Labeling Kit
- 
                 Real Time PCR Experimental Service Real Time PCR Experimental Service

 
         
    
     
                 
                 
                                 
                                 
                                 
                                 
                             
                             
                             
                             
                            