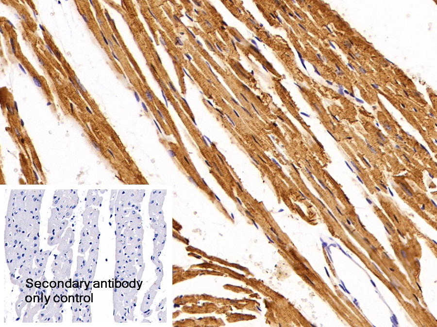
Polyclonal Antibody to Troponin T Type 2, Cardiac (TNNT2)
CMH2; cTnT; TnTc; Cardiomyopathy,Hypertrophic 2; Cardiac muscle troponin T
Overview
Properties
- Product No.PAD232Hu02
- Organism SpeciesHomo sapiens (Human) Same name, Different species.
- ApplicationsWB; IHC
If the antibody is used in flow cytometry, please check FCM antibodies.
Research use only - DownloadInstruction Manual
- CategoryCardiovascular biology
- SourcePolyclonal antibody preparation, Host Rabbit
- Ig Type IgG, Potency n/a
- PurificationAntigen-specific affinity chromatography followed by Protein A affinity chromatography
- LabelNone
- Immunogen RPD232Hu03-Recombinant Troponin T Type 2, Cardiac (TNNT2)
- Buffer Formulation0.01M PBS, pH7.4, containing 0.05% Proclin-300, 50% glycerol.
- TraitsLiquid, Concentration 0.5mg/ml
Sign into your account
Share a new citation as an author
Upload your experimental result
Review

Contact us
Please fill in the blank.
Specifity
The antibody is a rabbit polyclonal antibody raised against TNNT2. It has been selected for its ability to recognize TNNT2 in immunohistochemical staining and western blotting.
Usage
Western blotting: 0.5-2µg/mL;
Immunohistochemistry: 5-20µg/mL;
Immunocytochemistry: 5-20µg/mL;
Optimal working dilutions must be determined by end user.
Storage
Store at 4°C for frequent use. Stored at -20°C in a manual defrost freezer for two year without detectable loss of activity. Avoid repeated freeze-thaw cycles.
Stability
The thermal stability is described by the loss rate. The loss rate was determined by accelerated thermal degradation test, that is, incubate the protein at 37°C for 48h, and no obvious degradation and precipitation were observed. The loss rate is less than 5% within the expiration date under appropriate storage condition.
Organism Species More: Mus musculus (Mouse), Rattus norvegicus (Rat)Giveaways
Increment services
-
Antibody Labeling Customized Service
-
Protein A/G Purification Column
-
Staining Solution for Cells and Tissue
-
Positive Control for Antibody
-
Tissue/Sections Customized Service
-
Phosphorylated Antibody Customized Service
-
Western Blot (WB) Experiment Service
-
Immunohistochemistry (IHC) Experiment Service
-
Immunocytochemistry (ICC) Experiment Service
-
Flow Cytometry (FCM) Experiment Service
-
Immunoprecipitation (IP) Experiment Service
-
Immunofluorescence (IF) Experiment Service
-
Buffer
-
DAB Chromogen Kit
-
SABC Kit
-
Long-arm Biotin Labeling Kit
-
Real Time PCR Experimental Service
Citations
- Cardioprotective Effect of Sulphonated Formononetin on Acute Myocardial Infarction in RatsPubMed: 21232020
- Cardioprotective Effect of SMND-309, A Novel Derivate of Salvianolic Acid B on Acute Myocardial Infarction in RatsWiley: source
- Protective roles of Asperosaponin VI, a triterpene saponin isolated from Dipsacus asper Wall on acute myocardial infarction in ratsScienceDirect: S0014299909009984
- The altered expression profile of microRNAs in cardiopulmonary bypass canine models and the effects of mir-499 on myocardial ischemic reperfusion injuryPubMed: PMC3694448
- Salivary high‐sensitivity cardiac troponin T levels in patients with acute myocardial infarctionPubmed: 22834943
- In vivo and in vitro cardioprotective effects of Panax quinquefolium 20 (S)-protopanaxadiol saponins (PQDS), isolated from Panax quinquefoliumPubmed: 23700796
- The effects of caloric restriction and age on thyroid hormone signalling in the heart of ratsPl:Source
- Cardiomyopathy reverses with recovery of liver injury, cholestasis and cholanemia in mouse model of biliary fibrosisPubmed:24330504
- Cardioprotective Effect of Rhizomes of Acorus gramineus Against Isoproterenol-Induced Cardiac Damage in PigsPubmed:24420420
- Glutathione administration reduces mitochondrial damage and shifts cell death from necrosis to apoptosis in ageing diabetic mice hearts during exercisePubmed:25039894
- Crocin protects against doxorubicin-induced myocardial toxicity in rats through down-reCavia (Guinea pig )lation of inflammatory and apoptic pathwaysPubmed:26807765
- The Cardenolide Glycoside Acovenoside A Affords Protective Activity in Doxorubicin-Induced Cardiotoxicity in MicePubmed:27247000
- Troponins, heat shock proteins and glycogen phosphorylase BB in umbilical cord blood of complicated pregnancies.pubmed:27937003
- Outer Balloon Ligation Increases Success Rate of Ischemia-Reperfusion Injury Model in Mice.pubmed:27907155
- Rosuvastatin improves myocardial and neurological outcomes after asphyxial cardiac arrest and cardiopulmonary resuscitation in ratspubmed:28076830
- Imatinib attenuates cardiac fibrosis by inhibiting platelet-derived growth factor receptors activation in isoproterenol induced modelpubmed:28570599
- Cardioprotective effect of Notch signaling on the development of myocardial infarction complicated by diabetes mellituspubmed:29042932
- Increases in plasma corin levels following experimental myocardial infarction reflect the severity of ischemic injuryPubmed: 30192780
- Tissue suction-mediated gene transfer to the beating heart in micePubmed: 32027678
- Hormonal Response to Incremental and Continuous Exercise in Cyclists with Left Ventricle HypertrophyPubmed: 32148580
- Chlorogenic acid prevents acute myocardial infarction in rats by reducing inflammatory damage and oxidative stressPubmed: 33022535
- Norepinephrine Leads to More Cardiopulmonary Toxicities than Epinephrine by Catecholamine Overdose in RatsPubmed: 32947820
- Iron derived from autophagy-mediated ferritin degradation induces cardiomyocyte death and heart failure in mice33526170
- Pharmacological inhibition of arachidonate 12-lipoxygenase ameliorates myocardial ischemia-reperfusion injury in multiple species34536344
- Development of a novel ssDNA aptamer targeting cardiac troponin I and its clinical applications34673993
- Hydrogen therapy after resuscitation improves myocardial injury involving inhibition of autophagy in an asphyxial rat model of cardiac arrestPubmed:35495584
