Polyclonal Antibody to Intercellular Adhesion Molecule 1 (ICAM1)
CD54; BB2; P3.58; Human Rhinovirus Receptor; Major group rhinovirus receptor
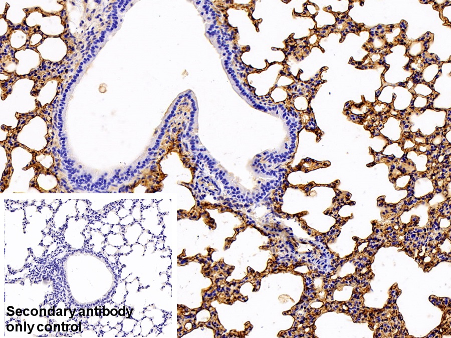
Overview
Properties
- Product No.PAA548Mu01
- Organism SpeciesMus musculus (Mouse) Same name, Different species.
- ApplicationsWB; IHC
If the antibody is used in flow cytometry, please check FCM antibodies.
Research use only - DownloadInstruction Manual
- CategoryCD & Adhesion moleculeTumor immunityInfection immunity
- SourcePolyclonal antibody preparation, Host Rabbit
- Ig Type IgG, Potency n/a
- PurificationAntigen-specific affinity chromatography followed by Protein A affinity chromatography
- LabelNone
- Immunogen RPA548Mu01-Recombinant Intercellular Adhesion Molecule 1 (ICAM1)
- Buffer FormulationPBS, pH7.4, containing 0.02% NaN3, 50% glycerol.
- TraitsLiquid, Concentration 0.36mg/mL
Sign into your account
Share a new citation as an author
Upload your experimental result
Review

Contact us
Please fill in the blank.
Specifity
The antibody is a rabbit polyclonal antibody raised against ICAM1. It has been selected for its ability to recognize ICAM1 in immunohistochemical staining and western blotting.
Usage
Western blotting: 0.01-3µg/mL;
Immunohistochemistry: 5-30µg/mL;
Immunocytochemistry: 5-30µg/mL;
Optimal working dilutions must be determined by end user.
Storage
Store at 4°C for frequent use. Stored at -20°C in a manual defrost freezer for two year without detectable loss of activity. Avoid repeated freeze-thaw cycles.
Stability
The thermal stability is described by the loss rate. The loss rate was determined by accelerated thermal degradation test, that is, incubate the protein at 37°C for 48h, and no obvious degradation and precipitation were observed. The loss rate is less than 5% within the expiration date under appropriate storage condition.
Giveaways
Increment services
-
Antibody Labeling Customized Service
-
Protein A/G Purification Column
-
Staining Solution for Cells and Tissue
-
Positive Control for Antibody
-
Tissue/Sections Customized Service
-
Phosphorylated Antibody Customized Service
-
Western Blot (WB) Experiment Service
-
Immunohistochemistry (IHC) Experiment Service
-
Immunocytochemistry (ICC) Experiment Service
-
Flow Cytometry (FCM) Experiment Service
-
Immunoprecipitation (IP) Experiment Service
-
Immunofluorescence (IF) Experiment Service
-
Buffer
-
DAB Chromogen Kit
-
SABC Kit
-
Long-arm Biotin Labeling Kit
-
Real Time PCR Experimental Service
Citations
- Changes in the vascular cell adhesion molecule-1, intercellular adhesion molecule-1 and c-reactive protein following administration of aqueous extract of piper sarmentosum on experimental.BioMed: 1476511X
- Preventive Effects of a Natural Anti-Inflammatory Agent, Astragaloside IV, on Ischemic Acute Kidney Injury in RatsPubMed: PMC3703719
- EFFECTS OF ADRIAMYCIN, CISPLATIN, AND 5-FLUOROURACIL ON THE TESTES OF ALBINO RATSResearchgate: Source
- Astragaloside IV ameliorates renal injury in streptozotocin-induced diabetic rats through inhibiting NF-κB-mediated inflammatory genes expression.Pubmed: 23434274
- Endothelial gene expression and molecular changes in response to radiosurgery in in vitro and in vivo models of cerebral arteriovenous malformationsPubmed: 24199192
- Markers of coagulation activation, endothelial stimulation, and inflammation in dogs with babesiosisPubmed: 23875771
- PO-0699 Estimation Of Adhesion Molecules Intrauterine Growth Retardation (iugr) NewbornsBmj:Source
- PO-0701 Causes Of Fetal Growth Restriction And Early Neonatal OutcomeBmj:Source
- PO-0698 Neonatal Resuscitation Practices In The Delivery Room In India: An Audit Using VideographyBmj:Source
- Anti-endothelial cell antibodies in connective tissue diseases associated with pulmonary arterial hypertensionPubmed:Pmc4015009
- Acacia ferruginea inhibits cyclophosphamide-induced immunosuppression and urotoxicity by modulating cytokines in micePubmed:24873678
- Involvement of nitric oxide with activation of Toll-like receptor 4 signaling in mice with dextran sodium sulfate-induced colitisPubmed:24992835
- The effect of therapeutic hypothermia after cardiopulmonary resuscitation on ICAM-1 and NSE levels in sudden cardiac arrest rabbitsPubmed:25111247
- Insights into the antiatherogenic molecular mechanisms of andrographolide against?Porphyromonas gingivalis-induced atherosclerosis in rabbitsPubmed:25172523
- Curcumin attenuates adhesion molecules and matrix metalloproteinase expression in hypercholesterolemic rabbitsPubmed:25282128
- Elevated levels of serum sICAM-1 in asphyxiated low birth weight newbornsPubmed:25358349
- Inflammatory response and neuronal necrosis in rats with cerebral ischemiaPubmed:25422636
- Sub-chronic Toxicity and Cardiovascular Responses in Spontaneously Hypertensive Rats after Exposure to Multiwall Carbon Nanotubes by Intratracheal InstillationPubmed:25580880
- Peroxisome Proliferator-activated Receptor-γ Agonist Pioglitazone Ameliorates White Matter Lesion and Cognitive Impairment in Hypertensive RatsPubmed:25611692
- Effect of consumption of fresh and heated virgin coconut oil on the blood pressure and inflammatory biomarkers: An experimental study in Sprague Dawley ratsSciencedirect:S2090506814000268
- Effect of magnesium sulfate and thyroxine on inflammatory markers in a rat model of hypothyroidismDoi: Abs
- Tumor Necrosis Factor-Alpha Up-Regulates ICAM-1 Expression and Release in Intestinal Myofibroblasts by Redox-Dependent and -Independent MechanismsPubMed: 26177712
- Allopurinol reduces severity of delayed neurologic sequelae in experimental carbon monoxide toxicity in ratsPubMed: 25845300
- Effect of consumption of fresh and heated virgin coconut oil on the blood pressure and inflammatory biomarkers: An experimental study inScience: Article
- Subchronic Toxicity and Cardiovascular Responses in Spontaneously Hypertensive Rats after Exposure to Multiwalled Carbon Nanotubes by Intratracheal InstillationPubMed: 25580880
- Expression of adhesion molecules, chemokines and matrix metallo- proteinases (MMPs) in viable and degenerating stage of Taenia solium metacestode in swine neurocysticercosisPubMed: 26412140
- The effect of triamcinolone acetonide or bevacizumab on the levels of proinflammatory cytokines after retinal laser photocoaCavia (Guinea pig )lation in pigmented rabbitsPubmed:27296072
- Screening the anti-gout traditional herbs from TCM using an in vitro methodscience:S1001841716301450
- Systematic phenotyping and correlation of biomarkers with lung function and histology in lung fibrosisPubmed:26993522
- A Therapeutic Insight of Niacin and Coenzyme Q10 Against Diabetic Encephalopathy in RatsPubmed:26867655
- Identification of some plasma biomarkers associated with early weaning stress in crossbred pigletsarticle:10.1007
- Tumor Necrosis Factor‐Alpha Up‐Regulates ICAM‐1 Expression and Release in Intestinal Myofibroblasts by Redox‐Dependent and‐Independent Mechanismspubmed:26177712
- Blood markers of fibrinolysis and endothelial activation in canine babesiosis.pubmed:28363279
- Protective effects of N-acetylcystein and atorvastatin against renal and hepatic injury in a rat model of intestinal ischemia-reperfusionpubmed:28273631
- Changes in blood pressure, vascular reactivity and inflammatory biomarkers following consumption of heated corn oil.pubmed:29084680
- Adhesion molecules, chemokines and matrix metallo-proteinases response after albendazole and albendazole plus steroid therapy in swine neurocysticercosispubmed:28821422
- Age‑related differences in serum MFG‑E8, TGF‑β1 and correlation to the severity of atherosclerosis determined by ultrasound.pubmed:29152651
- Identification of a panel of serum protein markers in early stage of sepsis and its validation in a cohort of patientspubmed:28655573
- Application of a new procedure for liquid chromatography/mass spectrometry profiling of plasma amino acid-related metabolites and untargeted shotgun proteomics to identify mechanisms and biomarkers of calcific aortic stenosisS0021967317311858
- Protective effect of high mobility group box-1 silence on diabetic retinopathy: an in vivo studyISSN:1936-2625/IJCEP0055881
- Global gene expression profile of cerebral ischemia-reperfusion injury in rat MCAO modelpubmed:29088811
- Protective effects of sinomenine against LPS-induced inflammation in piglets.pubmed:28757275
- Panretinal Photocoagulation Using Short-Pulse Laser Induces Less Inflammation and Macular Thickening in Patients with Diabetic Retinopathypubmed:28761761
- Toll-like receptor 2 deficiency hyperactivates the FoxO1 transcription factor and induces aging-associated cardiac dysfunction in micePubmed:29929978
- Lipoxin A4 may attenuate the progression of obesity-related glomerulopathy by inhibiting NF-κB and ERK/p38 MAPK-dependent inflammationPubmed:29499280
- Aspirin modulates the inflammatory response in a thrombus‑stimulated LMVEC modelPubmed:29568915
- Diallyl sulfide alleviates cisplatin‐induced nephrotoxicity in rats via suppressing NF‐κB downstream inflammatory proteins and p53/Puma signalling pathwayPubmed:29266336
- Rapid detection of urinary soluble intercellular adhesion molecule-1 for determination of lupus nephritis activityPubmed:29953010
- N-Acetylcysteine inhalation improves pulmonary function in patients received Liver Transplantation.Doi: 10.1042/BSR20180858
- Detoxification and activating blood circulation decoction reduces restenosis involving the TLR4/NF-κB pathway after balloon injuryPubmed: 30453089
- The anti-inflammatory and anti-oxidative effects of conbercept in treatment of macular edema secondary to retinal vein occlusionPubmed: 30558792
- L-Carnitine Supplementation Increases Trimethylamine-N-Oxide but not Markers of Atherosclerosis in Healthy Aged WomenPubmed: 30485835
- Intercellular adhesion molecule-1 (ICAM-1) associates with 24-hour ambulatory blood pressure variability in type 2 diabetes and controlsPubmed: 30716657
- The cordycepin derivative IMM-H007 improves endothelial dysfunction by suppressing vascular inflammation and promoting AMPK-dependent eNOS activation in …Pubmed: 30826323
- Cellular Metabolomics Reveal the Mechanism Underlying the Anti-Atherosclerotic Effects of Aspirin Eugenol Ester on Vascular Endothelial DysfunctionPubmed: 31261711
- Resveratrol decreases TNFα-induced ICAM-1 expression and release by Sirt-1-independent mechanism in intestinal myofibroblastsPubmed: 31233740
- Anti-Inflammatory and Anti-Apoptotic Effects of Stybenpropol A on Human Umbilical Vein Endothelial CellsPubmed: 31671764
- Vanadyl sulphate ameliorates biomarkers of endothelial injury and coagulation and thrombosis in a rat model of hyperglycaemiaPubmed: 31774317
- The role of the adipocytokines vaspin and visfatin in vascular endothelial function and insulin resistance in obese childrenPubmed: 31771561
- Association between Upper-airway Surgery and Ameliorative Risk Markers of endothelial function in obstructive Sleep ApneaPubmed: 31882827
- The effects of dietary sodium butyrate supplementation on the growth performance, carcass traits, and intestinal microbiota of growing‐finishing pigsPubmed: 32048746
- Intravitreal conbercept improves outcome of proliferative diabetic retinopathy through inhibiting inflammation and oxidative stressPubmed: 33227274
- Ginger and turmeric lipid-solubles attenuate heated oil-induced oxidative stress in the brain via the upregulation of NRF2 and improve cognitive function in ratsPubmed: 33170419
- Endothelial epithelial sodium channel involves in high-fat diet-induced atherosclerosis in low-density lipoprotein receptor-deficient micePubmed: 33065235
- Ginger and turmeric lipid-solubles attenuate heated oil-induced cardio-hepatic oxidative stress via the upregulation of NRF2 and decrease blood pressure in ratsPubmed: 33028437
- MicroRNA-217 ameliorates inflammatory damage of endothelial cells induced by oxidized LDL by targeting EGR1Pubmed: 32737769
- The Protective Effects of Butorphanol on Pulmonary Function of Patients with Obesity Undergoing Laparoscopic Bariatric Surgery: a Double-Blind Randomized …Pubmed: 32535786
- Tetramethylpyrazine Inhibits Platelet Adhesion and Inflammatory Response in Vascular Endothelial Cells by Inhibiting P38 MAPK and NF-κB Signaling Pathways
- Multi-omic signatures of atherogenic dyslipidaemia: pre-clinical target identification and validation in humans33407555
- Alpha-Lipoic Acid Plays a Role in Endometriosis: New Evidence on Inflammasome-Mediated Interleukin Production, Cellular Adhesion and Invasion33430011
- Anti-Atherogenic Effects of Orlistat on Obesity-Induced Vascular Oxidative Stress Rat Model33562069
- Association of markers of endothelial activation and dysfunction with occurrence and outcome of pulmonary hemorrhage in dogs with leptospirosis34076314
- A comparison of the effects of monotherapy with rosuvastatin, atorvastatin or ezetimibe versus combination treatment with rosuvastatin-ezetimibe and …34492054
- Dehydroepiandrosterone (DHEA) Improves the Metabolic and Haemostatic Disturbances in Rats with Male Hypogonadism
- Circulating markers of endothelial activation in canine parvoviral enteritis
