Monoclonal Antibody to Toll Like Receptor 2 (TLR2)     
     
CD282; TIL4; Toll/interleukin-1 receptor-like protein 4
Overview
Properties
- Product No.MAA663Hu25
- Organism SpeciesHomo sapiens (Human) Same name, Different species.
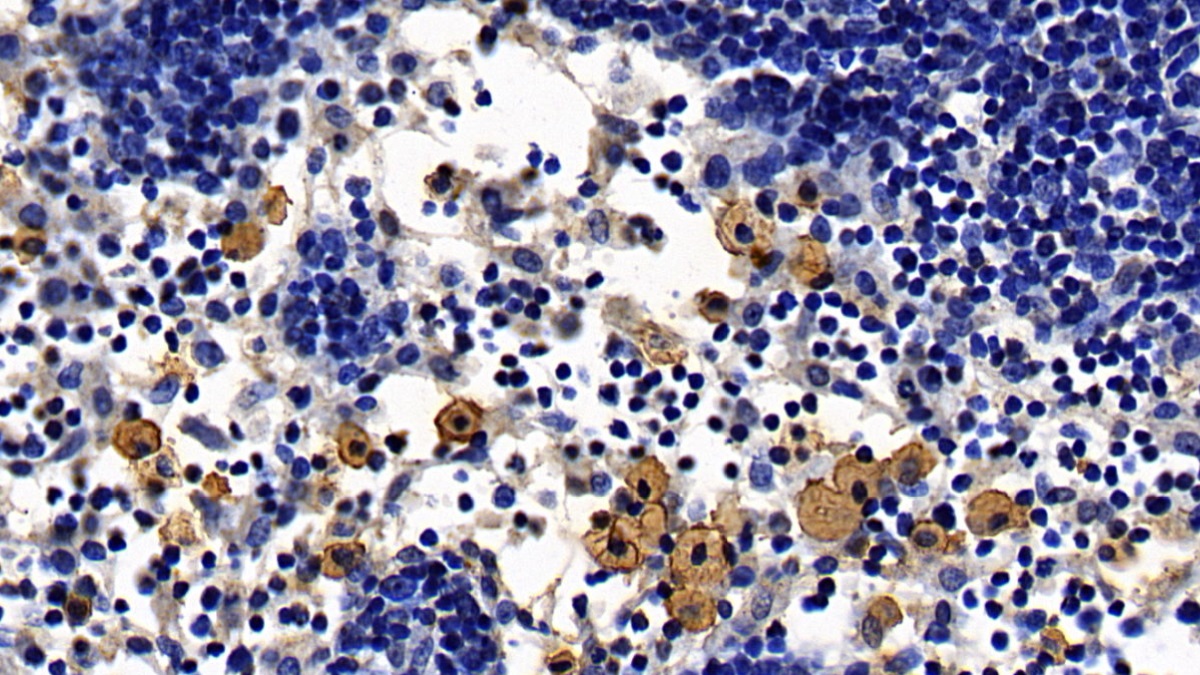
- ApplicationsIHC
 If the antibody is used in flow cytometry, please check FCM antibodies.
 Research use only
- DownloadInstruction Manual
- CategoryTumor immunityInfection immunityImmune moleculePulmonology
- SourceMonoclonal antibody preparation, Host Mouse
- Ig Isotype IgG2a Kappa, Clone Number C15
- PurificationProtein A + Protein G affinity chromatography
- LabelNone
- Immunogen RPA663Hu01-Recombinant Toll Like Receptor 2 (TLR2)
- Buffer Formulation0.01M PBS, pH7.4, containing 0.05% Proclin-300, 50% glycerol.
- TraitsLiquid, Concentration 1mg/ml
Sign into your account
Share a new citation as an author
Upload your experimental result
Review

Contact us
Please fill in the blank.
Specifity
The antibody is a mouse monoclonal antibody raised against TLR2. It has been selected for its ability to recognize TLR2 in immunohistochemical staining and western blotting.
Usage
            Western blotting: 0.5-2µg/mL;
Immunohistochemistry: 5-20µg/mL;
Immunocytochemistry: 5-20µg/mL;
Optimal working dilutions must be determined by end user.        
Storage
Store at 4°C for frequent use. Stored at -20°C in a manual defrost freezer for two year without detectable loss of activity. Avoid repeated freeze-thaw cycles.
Stability
The thermal stability is described by the loss rate. The loss rate was determined by accelerated thermal degradation test, that is, incubate the protein at 37°C for 48h, and no obvious degradation and precipitation were observed. The loss rate is less than 5% within the expiration date under appropriate storage condition.
Organism Species More: Rattus norvegicus (Rat)Giveaways
Increment services
- 
                 Antibody Labeling Customized Service Antibody Labeling Customized Service
- 
                 Protein A/G Purification Column Protein A/G Purification Column
- 
                 Staining Solution for Cells and Tissue Staining Solution for Cells and Tissue
- 
                 Positive Control  for Antibody Positive Control  for Antibody
- 
                 Tissue/Sections Customized Service Tissue/Sections Customized Service
- 
                 Phosphorylated Antibody Customized Service Phosphorylated Antibody Customized Service
- 
                 Western Blot (WB) Experiment Service Western Blot (WB) Experiment Service
- 
                 Immunohistochemistry (IHC) Experiment Service Immunohistochemistry (IHC) Experiment Service
- 
                 Immunocytochemistry (ICC) Experiment Service Immunocytochemistry (ICC) Experiment Service
- 
                 Flow Cytometry (FCM) Experiment Service Flow Cytometry (FCM) Experiment Service
- 
                 Immunoprecipitation (IP) Experiment Service Immunoprecipitation (IP) Experiment Service
- 
                 Immunofluorescence (IF) Experiment Service Immunofluorescence (IF) Experiment Service
- 
                 Buffer Buffer
- 
                 DAB Chromogen Kit DAB Chromogen Kit
- 
                 SABC Kit SABC Kit
- 
                 Long-arm Biotin Labeling Kit Long-arm Biotin Labeling Kit
- 
                 Real Time PCR Experimental Service Real Time PCR Experimental Service
Citations
- Expression of soluble Toll-like receptors in pleural effusionsCMJ: 2010823483999506297
- Baicalein Reduces Airway Injury in Allergen and IL-13 Induced Airway InflammationPubMed: PMC3639905
- TLR2 in Pleural Fluid Is Modulated by Talc Particles during PleurodesisPubMed: PMC3529880
- The Possible Role of TLR2 in Chronic Hepatitis B Patients with Precore MutationPubmed: 24187552
- Cervical and vaginal fluid soluble Toll-like receptor 2 in pregnancies complicated by preterm prelabor rupture of membranesPubmed:25028801
- Cytokines and Toll-Like Receptors in the Immune Response to Influenza VaccinationPubmed:25248345
- Correlation?between?salivary?Toll like receptor-2?concentration?and early childhood caries.Pubmed:25265998
- Membrane and soluble Toll‐like receptor 2 in patients with psoriasis treated by Goeckerman therapyPubmed:25266302
- The discriminative capacity of soluble Toll-like receptor (sTLR)2 and sTLR4 in inflammatory diseasesPubmed:25406630
- Cathelicidin related antimicrobial peptide, laminin, Toll-like receptors and chemokines levels in experimental hypersensitivity pneumonitis in micePubMed: 25834936
- Soluble Toll-Like Receptors 2 and 4 in Cerebrospinal Fluid of Patients with Acute Hydrocephalus followingAneurysmal Subarachnoid Haemorrhage.Pubmed:27223696
- The Effect of Rosuvastatin on Markers of Immune Activation in Treatment-Naive Human Immunodeficiency Virus-PatientsPubmed:26835476
- Pentraxin 3 and other inflammatory biomarkers related to atrial fibrillation in cardiac surgerypubmed:27852958
- Soluble TLR2 and 4 concentrations in cerebrospinal fluid in HIV/SIV-relatedneuropathological conditions.pubmed:27882497
- Toll-like receptors and their soluble forms differ in the knee and thumb basal osteoarthritic jointspubmed:28093922
- Features of the Pattern Recognition Receptor TLR-2 Expression and Cytokines IL-2, IL-4 Profile in Children with Food Hypersensitivity10.12988:bmgt.2018.812
- Prospective study on the significance of mucosal barrier dysfunction markers in assessing the effectiveness of the new strategy for treating food hypersensitivity in …10.22141:2224-0551.13.2.2018.129548
- Vinpocetine regulates levels of circulating TLRs in Parkinson's disease patientsPubmed: 30315378
- PROGNOSTIC ROLE OF IL-4, IL-2 AND TLR-2 FOR PREDICTING OF COURSE OF FOOD ALLERGY IN CHILDRENDoi: 10.29256/v.02.02.2018.escbm71
- STUDY OF THE ACTION OF CHROMIUM-CONTAINING BIOPREPARATIONS FROM SPIRULINA ON INSULIN ACTIVITY IN RATSDoi: 10.29256/v.02.02.2018.escbm72
- Opuntioside, opuntiol and its metallic nanoparticles attenuate adjuvant-induced arthritis: Novel suppressors of Toll-like receptors-2 and-4
- Aberrant DNA methylation of the toll-like receptors 2 and 6 genes in patients with obstructive sleep apneaPubmed: 32069296
- ASSOCIATIONS BETWEEN EFFICACY OF THE THERAPY AND CIRCADIAN FLUCTUATIONS OF ENDOTHELIAL NITRIC OXIDE SYNTHASE WITH TOLL-LIKE …Pubmed: 32242853
- ДОбОвА вАРІАбЕЛЬНІСТЬ РІвНЯ РОзЧИННИХ ТОЛ-пОДІбНИХ РЕцЕпТОРІв 2 в СИРОвАТцІ КРОвІ ЖІНОК, ХвОРИХ НА РЕвМАТОїДНИй АРТРИТ: зв' …
- FEATURES OF MYOCARDIAL REMODELING IN MEN WITH POST-INFARCTION CARDIOSCLEROSIS AND ITS RELATIONSHIP WITH TOLL-LIKE …
- Levels of toll-like receptors 2 and 4 in serum of men with postinfarction cardiosclerosis and its relationship with antiphospholipid syndrome components
- A value of soluble Toll‐like receptor 2 and 4 in vaginally obtained amniotic fluid for the prediction of histological chorioamnionitis34244993
- Altered innate immune profile in blood of systemic mastocytosis patientsPubmed:35734269

 
         
    
     
                 
                 
                                 
                                