Monoclonal Antibody to Ubiquitin Carboxyl Terminal Hydrolase L1 (UCHL1)
PARK5; PGP9.5; Uch-L1; Neuron cytoplasmic protein 9.5; Ubiquitin thioesterase L1; Ubiquitin carboxyl-terminal hydrolase isozyme L1
Overview
Properties
- Product No.MAG945Hu25
- Organism SpeciesHomo sapiens (Human) Same name, Different species.
- ApplicationsWB; IHC; ICC/IF
If the antibody is used in flow cytometry, please check FCM antibodies.
Research use only - Downloadn/a
- CategoryEnzyme & Kinase
- SourceMonoclonal antibody preparation, Host Mouse
- Ig Isotype IgG1 Kappa, Clone Number C3
- PurificationProtein A + Protein G affinity chromatography
- LabelNone
- Immunogen RPG945Hu01-Recombinant Ubiquitin Carboxyl Terminal Hydrolase L1 (UCHL1)
- Buffer Formulation0.01M PBS, pH7.4, containing 0.05% Proclin-300, 50% glycerol.
- TraitsLiquid, Concentration 1mg/mL
Sign into your account
Share a new citation as an author
Upload your experimental result
Review

Contact us
Please fill in the blank.
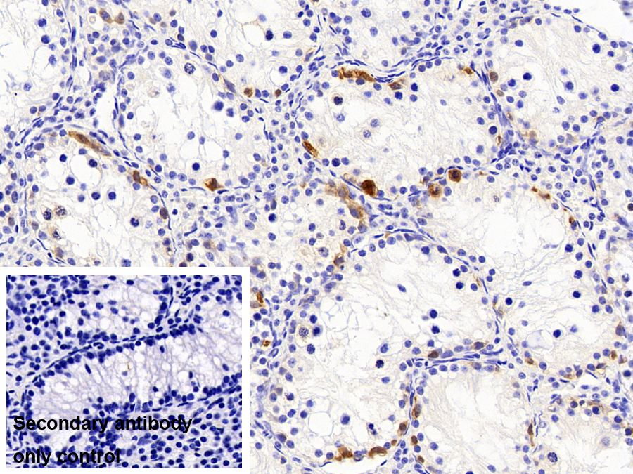
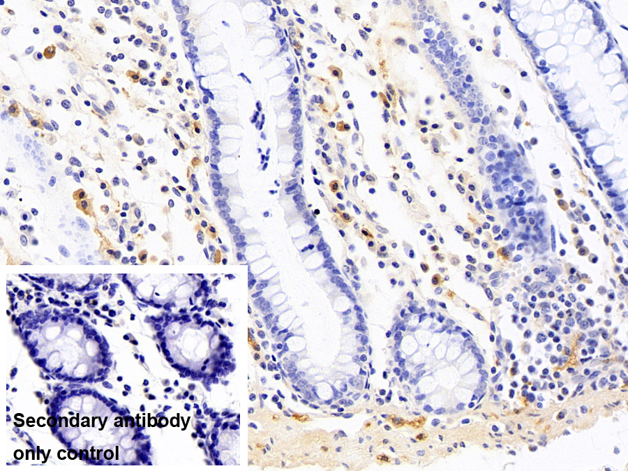
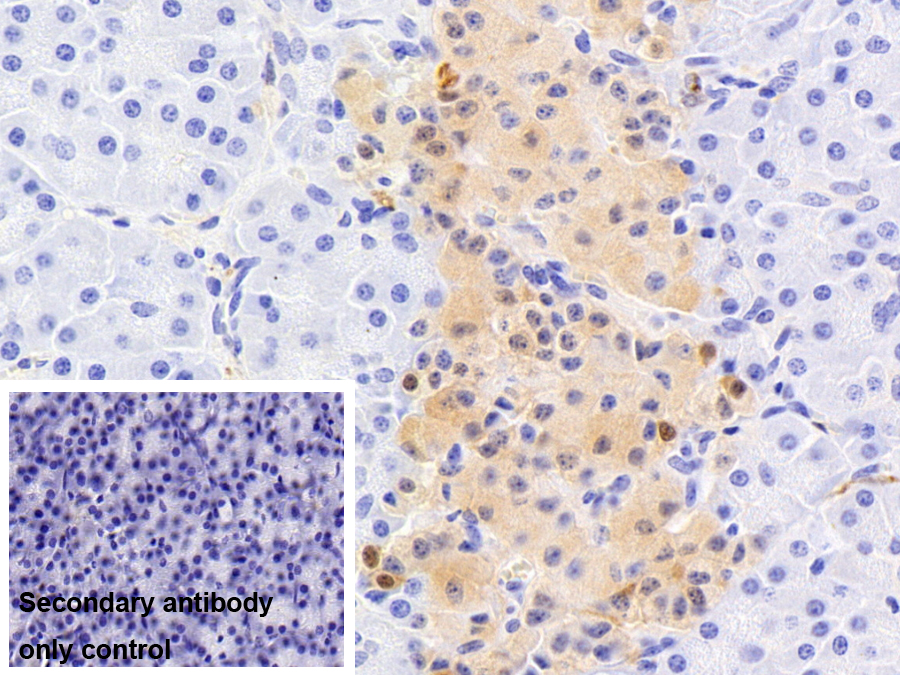
Specifity
The antibody is a mouse monoclonal antibody raised against UCHL1. It has been selected for its ability to recognize UCHL1 in immunohistochemical staining and western blotting.
Usage
Western blotting: 0.01-2µg/mL;
Immunohistochemistry: 5-20µg/mL;
Immunofluorescence: 5-20µg/mL;
Optimal working dilutions must be determined by end user.
Storage
Store at 4°C for frequent use. Stored at -20°C in a manual defrost freezer for two year without detectable loss of activity. Avoid repeated freeze-thaw cycles.
Stability
The thermal stability is described by the loss rate. The loss rate was determined by accelerated thermal degradation test, that is, incubate the protein at 37°C for 48h, and no obvious degradation and precipitation were observed. The loss rate is less than 5% within the expiration date under appropriate storage condition.
Organism Species More: Rattus norvegicus (Rat), Sus scrofa; Porcine (Pig)Giveaways
Increment services
-
Antibody Labeling Customized Service
-
Protein A/G Purification Column
-
Staining Solution for Cells and Tissue
-
Positive Control for Antibody
-
Tissue/Sections Customized Service
-
Phosphorylated Antibody Customized Service
-
Western Blot (WB) Experiment Service
-
Immunohistochemistry (IHC) Experiment Service
-
Immunocytochemistry (ICC) Experiment Service
-
Flow Cytometry (FCM) Experiment Service
-
Immunoprecipitation (IP) Experiment Service
-
Immunofluorescence (IF) Experiment Service
-
Buffer
-
DAB Chromogen Kit
-
SABC Kit
-
Long-arm Biotin Labeling Kit
-
Real Time PCR Experimental Service
Citations
- Changes of ubiquitin C-terminal hydrolase-L1 levels in serum and urine of patients with white matter lesionsPubMed: 26232084
- Increased plasma UCH-L1 after aneurysmal subarachnoid hemorrhage is associated with unfavorable neurological outcomePubmed:26810533
- Serum Carnosine Dipeptidase 1 and Ubiquitin C - Terminal Hydrolase L1 as Markers of Brain Damage in Patients after Carotid Endarterectomy mnstemps:135
- Activation of hepatic stellate cells by the ubiquitin C-terminal hydrolase 1 protein secreted from hepatitis C virus-infected hepatocytespubmed:28667290
- Relationships between markers of neurologic and endothelial injury during critical illness and long-term cognitive impairment and disabilityPubmed:29523900
- Serum concentration of ubiquitin c-terminal hydrolase-L1 in detecting severity of traumatic brain injuryarticle:10.1088
- Peripheral blood biomarkers in aneurysmal subarachnoid hemorrhageISBN:978-952-03-0750-9
- Association of neuronal repair biomarkers with delirium among survivors of critical illnessPubmed: 31896448
- BDNF and IL-8, But Not UCHL-1 and IL-11, Are Markers of Brain Injury in Children Caused by Mild Head TraumaPubmed: 32987792
