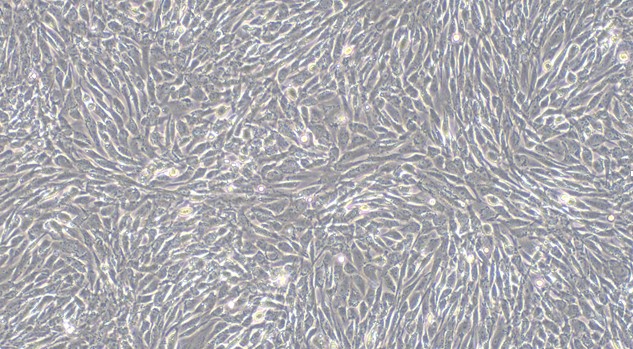
Primary Canine Umbilical Mesenchymal Stem Cells (UMSC)
Umbilical Cord-derived Mesenchymal Stem Cells, Umbilical Cord Mesenchymal Stem Cells
- UOM
- FOB US$ 1,650.00
- Quantity
Overview
Properties
- Product No.CSI015Ca01
- Organism SpeciesCanis familiaris; Canine (Dog) Same name, Different species.
- ApplicationsPrimary Cells
Research use only - Downloadn/a
- CategoryMesenchymal stem cell seriesUmbilical cord cell seriesMesenchymal stem cellsCirculatory system
- StrainDog
- Tissue SourceUmbilical
- Growth PropertiesAdherent
- Cell TypeMesenchymal Stem Cells
- DiseaseNormal
Share your citation
Upload your experimental result
Review
Leave a message
Loading...
Sign into your account
Share a new citation as an author
Upload your experimental result
Review
Please attach serial No. on instruction manual

Contact us
Please fill in the blank.
Name*
Organization
Address
E-mail address*
Telephone
Inquiry*
Verification code*
Biosafety
Primary Canine Umbilical Mesenchymal Stem Cells (UMSC) are negative for HIV-1, HBV, HCV, mycoplasma, bacteria, yeast and fungi.
Cluture conditions
Product format
Frozen 1 mL or T25 flask.
Usage
Upon receiving the cells in a T-25 flask at room temperature, immediately transfer the cells to 37°C, 5% incubator; the cells in vials, directly and immediately transfer the cells from dry ice to liquid nitrogen.
Giveaways
Increment services
-
Lysis Buffer Specific for ELISA / CLIA
-
Staining Solution for Cells and Tissue
-
Primary Cells Customized Service
-
Total Protein/DNA/RNA Extract Customized Service
-
Cell Culture Medium Customized Service
-
Immunocytochemistry (ICC) Experiment Service
-
Flow Cytometry (FCM) Experiment Service
-
Cell Function Experiment Service
-
In Situ Hybridization (ISH) Experiment Service
-
Transmission Electron Microscopy (TEM) Experiment Service
-
Scanning Electron Microscope (SEM) Experiment Service
-
MTT Cell Proliferation and Cytotoxicity Assay Kit
-
Cell Invasion Assay Service
-
Cell Wound Scratch Assay Service
-
Cell Proliferation / Toxicity Assay Service
-
Cell Colony Formation Assay Service
-
Cell Migration Assay Service
-
CCK-8 Kit
-
Serum-free 293 cell medium -
HE Stain -
Nitric Oxide Assay Kit (A012)
-
Nitric Oxide Assay Kit (A013-2)
-
Total Anti-Oxidative Capability Assay Kit(A015-2)
-
Total Anti-Oxidative Capability Assay Kit (A015-1)
-
Superoxide Dismutase Assay Kit
-
Fructose Assay Kit (A085)
-
Citric Acid Assay Kit (A128 )
-
Catalase Assay Kit
-
Malondialdehyde Assay Kit
-
Glutathione S-Transferase Assay Kit
-
Microscale Reduced Glutathione assay kit
-
Glutathione Reductase Activity Coefficient Assay Kit
-
Angiotensin Converting Enzyme Kit
-
Glutathione Peroxidase (GSH-PX) Assay Kit
-
Cloud-Clone Multiplex assay kits
